-
中文名稱:MET重組抗體
-
貨號:CSB-RA983271A0HU
-
規格:¥1320
-
圖片:
-
Western Blot
Positive WB detected in: 293T whole cell lysate, Hela whole cell lysate, L02 whole cell lysate, PC-3 whole cell lysate, A549 whole cell lysate
All lanes: MET antibody at 1:1500
Secondary
Goat polyclonal to rabbit IgG at 1/50000 dilution
Predicted band size: 156, 158, 86 kDa
Observed band size: 156 kDa -
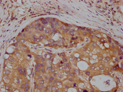
IHC image of CSB-RA983271A0HU diluted at 1:100 and staining in paraffin-embedded human colon cancer performed on a Leica BondTM system. After dewaxing and hydration, antigen retrieval was mediated by high pressure in a citrate buffer (pH 6.0). Section was blocked with 10% normal goat serum 30min at RT. Then primary antibody (1% BSA) was incubated at 4℃ overnight. The primary is detected by a Goat anti-rabbit IgG polymer labeled by HRP and visualized using 0.05% DAB.
-
IHC image of CSB-RA983271A0HU diluted at 1:100 and staining in paraffin-embedded human liver cancer performed on a Leica BondTM system. After dewaxing and hydration, antigen retrieval was mediated by high pressure in a citrate buffer (pH 6.0). Section was blocked with 10% normal goat serum 30min at RT. Then primary antibody (1% BSA) was incubated at 4℃ overnight. The primary is detected by a Goat anti-rabbit IgG polymer labeled by HRP and visualized using 0.05% DAB.
-
Immunofluorescence staining of Hela Cells with CSB-RA983271A0HU at 1:50, counter-stained with DAPI. The cells were fixed in 4% formaldehyde and blocked in 10% normal Goat Serum. The cells were then incubated with the antibody overnight at 4℃. Nuclear DNA was labeled in blue with DAPI. The secondary antibody was FITC-conjugated AffiniPure Goat Anti-Rabbit IgG (H+L).
-
Overlay histogram showing Hela cells stained with CSB-RA983271A0HU (red line) at 1:50. The cells were fixed in 4% formaldehyde (15min) and permeated by 0.2% TritonX-100 for 10min. Then 10% normal goat serum to block non-specific protein-protein interactions followed by the antibody (1ug/1*106cells) for 45min at 4℃.The secondary antibody used was FITC-conjugated goat anti-rabbit IgG (H+L) at 1/200 dilution for 30min at 4℃. Control antibody (green line) was Rabbit IgG (1μg/1*106 cells) used under the same conditions. Acquisition of >10,000 events was performed.
-
-
其他:
產品詳情
-
產品描述:MET重組單克隆抗體(CSB-RA983271A0HU)是針對原癌基因MET編碼的肝細胞生長因子受體開發的高特異性科研工具。該抗體經嚴格驗證可支持ELISA、Western Blot(WB)、免疫組化(IHC)、免疫熒光(IF)和流式細胞術(FC)等多種實驗體系,推薦工作濃度覆蓋WB(1:500-1:5000)、IHC(1:50-1:200)、IF(1:20-1:200)及FC(1:20-1:200)的寬泛檢測范圍。作為調控細胞增殖、遷移和血管生成的關鍵受體酪氨酸激酶,MET蛋白的異常激活與多種實體瘤的發生發展密切相關。本產品適用于腫瘤微環境研究、轉移機制探索及靶向治療基礎研究,可在細胞裂解液、石蠟包埋組織切片等多種樣本中穩定檢測MET蛋白的表達分布特征,其流式檢測能力還可用于活細胞表面受體的動態分析。通過多平臺驗證的優異性能,該抗體為腫瘤生物學研究、信號通路解析及藥物作用機制探索提供了可靠的工具支持。
-
Uniprot No.:
-
基因名:
-
別名:Hepatocyte growth factor receptor (HGF receptor) (EC 2.7.10.1) (HGF/SF receptor) (Proto-oncogene c-Met) (Scatter factor receptor) (SF receptor) (Tyrosine-protein kinase Met), MET
-
反應種屬:Human
-
免疫原:A synthesized peptide derived from human Met (c-Met)
-
免疫原種屬:Homo sapiens (Human)
-
標記方式:Non-conjugated
-
克隆類型:Monoclonal
-
抗體亞型:Rabbit IgG
-
純化方式:Affinity-chromatography
-
克隆號:2D12
-
濃度:It differs from different batches. Please contact us to confirm it.
-
保存緩沖液:Rabbit IgG in 10mM phosphate buffered saline , pH 7.4, 150mM sodium chloride, 0.05% BSA, 0.02% sodium azide and 50% glycerol.
-
產品提供形式:Liquid
-
應用范圍:ELISA, WB, IHC, IF, FC
-
推薦稀釋比:
Application Recommended Dilution WB 1:500-1:5000 IHC 1:50-1:200 IF 1:20-1:200 FC 1:20-1:200 -
Protocols:
-
儲存條件:Upon receipt, store at -20°C or -80°C. Avoid repeated freeze.
-
貨期:Basically, we can dispatch the products out in 1-3 working days after receiving your orders. Delivery time maybe differs from different purchasing way or location, please kindly consult your local distributors for specific delivery time.
-
用途:For Research Use Only. Not for use in diagnostic or therapeutic procedures.
引用文獻
- Smartphone Enabled Upconversion Nanoparticle-based Lateral Flow Strip for Ultra-Low Concentration of Methamphetamine Detection W Wang,Sensors and Actuators B: Chemical,2022
相關產品
靶點詳情
-
功能:Receptor tyrosine kinase that transduces signals from the extracellular matrix into the cytoplasm by binding to hepatocyte growth factor/HGF ligand. Regulates many physiological processes including proliferation, scattering, morphogenesis and survival. Ligand binding at the cell surface induces autophosphorylation of MET on its intracellular domain that provides docking sites for downstream signaling molecules. Following activation by ligand, interacts with the PI3-kinase subunit PIK3R1, PLCG1, SRC, GRB2, STAT3 or the adapter GAB1. Recruitment of these downstream effectors by MET leads to the activation of several signaling cascades including the RAS-ERK, PI3 kinase-AKT, or PLCgamma-PKC. The RAS-ERK activation is associated with the morphogenetic effects while PI3K/AKT coordinates prosurvival effects. During embryonic development, MET signaling plays a role in gastrulation, development and migration of muscles and neuronal precursors, angiogenesis and kidney formation. In adults, participates in wound healing as well as organ regeneration and tissue remodeling. Promotes also differentiation and proliferation of hematopoietic cells. May regulate cortical bone osteogenesis.; (Microbial infection) Acts as a receptor for Listeria monocytogenes internalin InlB, mediating entry of the pathogen into cells.
-
基因功能參考文獻:
- the miR-19a/c-Met pathway plays a critical role in acquired resistance to gefitinib and that the manipulation of miR-19a might provide a therapeutic strategy for overcoming acquired gefitinib resistance. PMID: 28592790
- The expression of C-Met and HER2 protein in lung adenocarcinoma is highly correlated, and whether it is synergistic in the targeted therapy of lung adenocarcinoma deserves further study. PMID: 29400000
- MET overexpression was more frequently found in high grade myxofibrosarcoma and the epithelioid variant. Chromosome 7 polysomy, rather than MET gene regional amplification, might account for the overexpression. of MET protein. PMID: 30126419
- miR-449a suppresses hepatocellular carcinoma tumorigenesis by down-regulating activity in the c-Met/ERK pathway. PMID: 30108016
- We found MET amplifications in two cases of endometrial clear-cell carcinoma with mixed features. PMID: 29633423
- Regarding gene mutation abundance, NGS enables the detection of low-abundant ctDNA in blood based on ultra-deep sequencing, and our patient benefited from crizotinib despite the low abundance of MET exon 14 skipping. These data indicate that we can choose targeted therapy despite the low abundance of gene mutations. PMID: 29110851
- The interplay of dual MET/HER2 overexpression in the AKT and ERK pathways for esophageal cancer is described. Therefore, combination therapy could be a novel strategy for EAC with amplification of both MET and HER2. PMID: 29223420
- MET inactivation in the context of the BRAF-activating mutation is driven through a negative feedback loop involving inactivation of PP2A phosphatase, which in turn leads to phosphorylation on MET inhibitory Ser985. PMID: 30224486
- MET Exon 14 Skipping Mutations in Non-small Cell Lung Cancer PMID: 30037377
- MET activation, by either METex14 mutations or amplification, is characteristic of a subset of early stage NSCLCs and may coexist with ERBB2 amplification. PMID: 29139039
- Results demonstrate that serum level of miR-658 is significantly lower in the NM group than in the DM group. Meanwhile, the levels of PAX3 and MET are lower in the NM group than in the DM group too. Both overexpression and silence of miR-658 significantly up-regulate or down-regulate the levels of PAX3 and MET in gastric cell lines. PMID: 29630524
- MiR-206 inhibits the development of epithelial ovarian cancer cell by directly targeting c-Met and inhibiting the c-Met/AKT/mTOR signaling pathway. PMID: 29807226
- These results suggest that gastric cancer progression is not associated with a unique signaling pathway and that a feedback loop may exist between the HGF/c-Met and Notch1 signaling pathways, which may result in therapeutic resistance. PMID: 29781036
- Comparative analysis revealed a strong association between MET expression and MET amplification (85% concurrence) in primary stomach tumors and matched liver metastasis. Survival analyses revealed that both MET amplification and MET overexpression were prognostic of poor outcomes. PMID: 29790169
- High c-met expression is associated with oral squamous cell carcinoma. PMID: 29286169
- FOXO1 serves as an important linker between HER2 and MET signaling pathways through negative crosstalks and is a key regulator of the acquired lapatinib resistance in HER2-positive GC cells. PMID: 28343375
- analysis of how the cMET blockade augments radiation therapy in patients with NF2 PMID: 29440379
- these findings highlight the relevance of cross-species protein interactions between murine feeder cells and human epithelial cells in 3T3-J2 co-culture and demonstrate that STAT6 phosphorylation occurs in response to MET activation in epithelial cells. However, STAT6 nuclear translocation does not occur in response to HGF, precluding the transcriptional activity of STAT6. PMID: 29771943
- c-Met-activated Mesenchymal Stem Cells (MSC) pre-exposed to hypoxia interact with PrPC at the site of ischemic injury to increase the efficiency of MSC transplantation. PMID: 29705776
- A novel G-quadruplex motif formed in the Human MET promoter region. PMID: 29054971
- a METex14 del mutation-positive NSCLC patient who responded to crizotinib but later relapsed, demonstrated a mixed response to glesatinib including reduction in size of a MET Y1230H mutation-positive liver metastasis and concurrent loss of detection of this mutation in plasma DNA. Together, these data demonstrate that glesatinib exhibits a distinct mechanism of target inhibition and can overcome resistance to PMID: 28765324
- This study demonstrates that simultaneous inhibition of c-Met and Src signaling in MD-MSCs triggers apoptosis and reveals vulnerable pathways that could be exploited to develop NF2 therapies. PMID: 28775147
- prolonged treatment of single HGF/c-Met or Hh inhibitor leads to resistance to these single inhibitors, likely because the single c-Met treatment leads to enhanced expression of Shh, and vice versa. Targeting both the HGF/c-Met and Hh pathways simultaneously overcame the resistance to the single-inhibitor treatment and led to a more potent antitumor effect in combination with the chemotherapy treatment. PMID: 28864680
- We identified unique and tumor-specific tyrosine phosphorylation rewiring in tumors resistant to treatment with the irreversible third-generation EGFR-inhibitor, osimertinib, or the novel dual-targeting EGFR/Met antibody, JNJ-61186372. PMID: 28830985
- TGF-beta negatively controls the HGF/c-MET pathway by regulating of stemness in glioblastoma. PMID: 29238047
- The preclinical efficacy and safety data provide a clear rationale for the ongoing clinical studies of Sym015 in patients with MET-amplified tumors. PMID: 28679766
- High MET expression is associated with malignant pleural mesothelioma. PMID: 28560410
- the results of real-time PCR and western blotting revealed that Huaier extract decreased p65 and c-Met expression and increased IkappaBalpha expression, while paclitaxel increased p65 expression and reduced IkappaBalpha and c-Met expression.The molecular mechanisms may be involved in the inhibition of the NF-kappaB pathway and c-Met expression PMID: 29039556
- Data found that the expression of c-Met was significantly increased in human oral squamous cell carcinoma (OSCC) tissues than in normal mucosa adjacent to the tumor, but was not correlated with clinicopathological parameters. Also, further findings indicated the potential role of c-Met in the progression of OSCC. PMID: 29115556
- Our data show that S49076 exerts its cytotoxic activity at low doses on MET-dependent cells through MET inhibition, whereas it inhibits growth of MET-independent cells at higher but clinically relevant doses by targeting Aurora B PMID: 28619752
- MET expression was shown to be significantly reduced in the superior temporal gyrus cortex of autism spectrum disorders individuals. PMID: 28322981
- In SCCHN, immunohistochemical overexpression of c-MET above cut-off levels III and particularly II was associated with inferior survival outcomes and advanced disease PMID: 29103754
- Here we present a case series of three such patients who achieved were cMET amplified and showed partial response on Crizotinib PMID: 29199685
- c-Met/beta1 integrin complex whose ligand-independent cross-activation and robust affinity for fibronectin drives invasive oncologic processes. PMID: 28973887
- tivantinib did not suppress MET signaling, and selective MET inhibitors demonstrated an antiproliferative effect only in MHCC97H, the unique cell line displaying MET gene amplification. HCC tumors with high expression of cell proliferation genes defined a group of patients with poor survival. PMID: 28246274
- Studies show that MET mutations have been found in cancer of unknown primary origin (CUP) being clustered to the SEMA and TK domain of the receptor. The biomechanical properties of MET mutants might trigger the hyper-invasive phenotype associated to CUP. [review] PMID: 29037604
- Data show that Kruppel like factor 4 (KLF4) was overexpressed in met proto-oncogene protein (c-Met)-overexpressing non-small-cell lung cancer (NSCLC) cells and tissues. PMID: 29624806
- SOCS1 attenuates migration and invasion properties of hepatocellular carcinoma cells at least partly via modulation of MET-mediated epithelial-mesenchymal transition, and controls invasive tumor growth. PMID: 29085209
- The authors reconfirmed EGFR mutation as a strong predictive marker of Non-Small-Cell Lung Cancer. However, c-MET positivity was not associated with response or progression-free survival, although c-MET overexpression correlated with some clinical characteristics. PMID: 29502124
- findings show oncogene E5 is primarily responsible for Met upregulation; E5-induced Met contributes motility of HPV-containing cells; these studies show a new role for E5 in epithelial-stromal interactions, with implications for cancer development PMID: 29609071
- EGFR T790M mutation and cMET amplification are main mechanisms leading to EGFR TKI resistance in lung adenocarcinoma. PMID: 29616327
- MET activation is associated with drug resistance in chronic myeloid leukemia. PMID: 28418880
- High glucose activated Met receptor in HK2 cells independently of HGF, via induction of integrin a5b1 and downstream signaling. This mode of Met activation was associated with tubular cell damage and apoptosis and it may represent a novel pathogenic mechanism and a treatment target in diabetic nephropathy. PMID: 28819999
- The purpose of this study was to explore gene copy number (GCN) variation of EGFR, HER2, c-MYC, and MET in patients with primary colorectal cancer. PMID: 28764718
- HGF/c-MET pathway mediates VEGFR inhibitor resistance and vascular remodeling in NSCLC. PMID: 28559461
- Because c-Met is strongly associated with pathological grade, stage and disease-specific survival, c-Met levels may have potential to predict patient prognosis and to guide clinical diagnosis and treatment of patients with renal cell carcinoma PMID: 28427859
- miR-1 is downregulated in ovarian cancer tissues, and may play a tumor suppressive role by inhibiting c-Met expression and its effects on the regulation of cell proliferation, migration and invasion PMID: 28698064
- Proto-oncogene proteins c-met (MET) mutations Y1248H and D1246N confer resistance in vitro and in vivo. PMID: 28396313
- MET overexpression is found in 23.8% of surgically resected NSCLC. MET amplification prevails in 4.6% and is associated with MET overexpression. Both have no influence on prognosis. PMID: 28838386
- study highlights the role of tissue differentiation on pathological response to neoadjuvant chemotherapy in gastric cancer and shows no impact between FOXP3, HER2 and MET expression in terms of tumor regression grading PMID: 29696715
顯示更多
收起更多
-
相關疾病:Hepatocellular carcinoma (HCC); Renal cell carcinoma papillary (RCCP); Deafness, autosomal recessive, 97 (DFNB97); Osteofibrous dysplasia (OSFD)
-
亞細胞定位:Membrane; Single-pass type I membrane protein.; [Isoform 3]: Secreted.
-
蛋白家族:Protein kinase superfamily, Tyr protein kinase family
-
組織特異性:Expressed in normal hepatocytes as well as in epithelial cells lining the stomach, the small and the large intestine. Found also in basal keratinocytes of esophagus and skin. High levels are found in liver, gastrointestinal tract, thyroid and kidney. Also
-
數據庫鏈接:
Most popular with customers
-
-
YWHAB Recombinant Monoclonal Antibody
Applications: ELISA, WB, IHC, IF, FC
Species Reactivity: Human, Mouse, Rat
-
Phospho-YAP1 (S127) Recombinant Monoclonal Antibody
Applications: ELISA, WB, IHC
Species Reactivity: Human
-
-
-
-
-















