MET
MET,即肝細胞生長因子受體,別名c-Met。它起源于肝細胞生長因子(HGF)的發現,是HGF的唯一高親和力受體。作用機制上,MET通過與HGF結合,激活其酪氨酸激酶活性,進而促進細胞增殖、遷移和分化。MET在胚胎發育、組織再生和傷口愈合中發揮重要作用,同時也是腫瘤發生發展的關鍵因子,其異常激活與多種癌癥相關。
熱銷產品
Recombinant Human Hepatocyte growth factor receptor (MET), partial (Active) (CSB-MP013714HU)
驗證數據
(Tris-Glycine gel) Discontinuous SDS-PAGE (reduced) with 5% enrichment gel and 15% separation gel.
Activity
Measured by its binding ability in a functional ELISA. Immobilized MET at 2 μg/ml can bind Anti-MET recombinant antibody, the EC50 is 2.379-3.094 ng/ml.
MET Recombinant Monoclonal Antibody (CSB-RA634199A0HU)
驗證數據
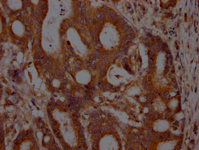
IHC image of CSB-RA634199A0HU diluted at 1:100 and staining in paraffin-embedded human breast cancer performed on a Leica BondTM system. After dewaxing and hydration, antigen retrieval was mediated by high pressure in a citrate buffer (pH 6.0). Section was blocked with 10% normal goat serum 30min at RT. Then primary antibody (1% BSA) was incubated at 4℃ overnight. The primary is detected by a Goat anti-rabbit IgG polymer labeled by HRP and visualized using 0.05% DAB.
IHC image of CSB-RA634199A0HU diluted at 1:100 and staining in paraffin-embedded human colon cancer performed on a Leica BondTM system. After dewaxing and hydration, antigen retrieval was mediated by high pressure in a citrate buffer (pH 6.0). Section was blocked with 10% normal goat serum 30min at RT. Then primary antibody (1% BSA) was incubated at 4℃ overnight. The primary is detected by a Goat anti-rabbit IgG polymer labeled by HRP and visualized using 0.05% DAB.
MET Antibodies
MET for Homo sapiens (Human)
| 產品貨號 | 產品名稱 | 種屬反應性 | 應用類型 |
|---|---|---|---|
| CSB-PA013714GA01HU | MET Antibody | Human,Mouse,Rat | ELISA,WB |
| CSB-PA890092 | Phospho-MET (Tyr1234) Antibody | Human,Mouse,Rat | ELISA,WB |
| CSB-PA446172 | Phospho-MET (Tyr1349) Antibody | Human,Mouse,Rat | ELISA,WB |
| CSB-PA047827 | Met Antibody | Human,Mouse,Rat | ELISA,WB |
| CSB-PA267782 | MET (Ab-154) Antibody | Human,Mouse,Rat | ELISA,WB |
| CSB-PA562889 | MET (Ab-1003) Antibody | Human,Mouse,Rat | ELISA,WB,IHC |
| CSB-PA153714 | Phospho-MET (Tyr1234/1235) Antibody | Human,Mouse,Rat | ELISA, WB |
| CSB-PA933202 | MET Antibody | Human,Mouse,Rat | ELISA, WB, IF |
| CSB-PA832684 | Phospho-MET (Tyr1003) Antibody | Human,Mouse,Rat | ELISA,WB |
| CSB-PA988938 | MET (Ab-1003) Antibody | Human,Mouse,Rat | ELISA,WB,IHC,IF |
| CSB-PA955702 | MET (Ab-1234) Antibody | Human,Mouse,Rat | ELISA,WB |
| CSB-PA080821 | MET (Ab-1313) Antibody | Human,Mouse,Rat | ELISA,WB |
| CSB-PA000574 | Phospho-MET (Y1234) Antibody | Human,Mouse,Rat,Monkey | WB, ELISA |
| CSB-PA000575 | Phospho-MET (Y1349) Antibody | Human,Mouse,Rat | WB, ELISA |
| CSB-PA003231 | MET Antibody | Human | WB, ELISA |
| CSB-PA003232 | MET Antibody | Human,Mouse,Rat | WB, IF, ELISA |
| CSB-PA003233 | MET Antibody | Human,Mouse,Rat | WB, IF, ELISA |
| CSB-PA010181 | Phospho-MET (Y1356) Antibody | Human,Mouse,Rat | WB, ELISA |
| CSB-PA010182 | Phospho-MET (Y1003) Antibody | Human,Mouse,Rat | WB, IHC, IF, ELISA |
| CSB-PA010183 | MET Antibody | Human | IF, ELISA |
| CSB-PA010184 | MET Antibody | Human,Mouse,Rat | WB, ELISA |
| CSB-PA063357 | MET Antibody | Human,Mouse,Rat | ELISA,WB,IHC |
| CSB-PA694564 | MET Antibody | Human,Mouse,Rat | ELISA,IHC |
| CSB-PA376125 | MET Antibody | Human,Mouse,Rat | IHC,ELISA |
| CSB-PA013714LA01HU | MET Antibody | Human | ELISA, IHC, IF |
| CSB-PA013714LB01HU | MET Antibody, HRP conjugated | Human | ELISA |
| CSB-PA013714LC01HU | MET Antibody, FITC conjugated | Human | |
| CSB-PA013714LD01HU | MET Antibody, Biotin conjugated | Human | ELISA |
| CSB-RA983271A0HU | MET Recombinant Monoclonal Antibody | Human | ELISA, WB, IHC, IF, FC |
| CSB-RA634199A0HU | MET Recombinant Monoclonal Antibody | Human | ELISA, IHC |
| CSB-RA013714MA1HU | MET Recombinant Monoclonal Antibody | Human | ELISA, IF, FC |
MET Proteins
MET Proteins for Mus musculus (Mouse)
| 產品貨號 | 產品名稱 | 來源 |
|---|---|---|
| CSB-YP013714MO CSB-EP013714MO CSB-BP013714MO CSB-MP013714MO CSB-EP013714MO-B |
Recombinant Mouse Hepatocyte growth factor receptor (Met), partial | Yeast E.coli Baculovirus Mammalian cell In Vivo Biotinylation in E.coli |
MET Proteins for Homo sapiens (Human)
| 產品貨號 | 產品名稱 | 來源 |
|---|---|---|
| CSB-YP013714HU CSB-EP013714HU CSB-BP013714HU CSB-EP013714HU-B |
Recombinant Human Hepatocyte growth factor receptor (MET), partial | Yeast E.coli Baculovirus In Vivo Biotinylation in E.coli |
| CSB-EP013714HU1(M) | Recombinant Human Hepatocyte growth factor receptor (MET) (N375S), partial | E.coli |
| CSB-EP013714HU1 | Recombinant Human Hepatocyte growth factor receptor (MET), partial | E.coli |
| CSB-AP003691HU | Recombinant Human Hepatocyte growth factor receptor (MET), partial (Active) | Mammalian cell |
| CSB-MP013714HU | Recombinant Human Hepatocyte growth factor receptor (MET), partial (Active) | Mammalian cell |
| CSB-MP013714HUc7 | Recombinant Human Hepatocyte growth factor receptor (MET), partial (Active) | Mammalian cell |
MET Proteins for Felis catus (Cat) (Felis silvestris catus)
| 產品貨號 | 產品名稱 | 來源 |
|---|---|---|
| CSB-YP013714CA CSB-EP013714CA CSB-BP013714CA CSB-MP013714CA CSB-EP013714CA-B |
Recombinant Cat Hepatocyte growth factor receptor (MET), partial | Yeast E.coli Baculovirus Mammalian cell In Vivo Biotinylation in E.coli |
MET Proteins for Rattus norvegicus (Rat)
| 產品貨號 | 產品名稱 | 來源 |
|---|---|---|
| CSB-YP013714RA CSB-EP013714RA CSB-BP013714RA CSB-MP013714RA CSB-EP013714RA-B |
Recombinant Rat Hepatocyte growth factor receptor (Met), partial | Yeast E.coli Baculovirus Mammalian cell In Vivo Biotinylation in E.coli |
MET Proteins for Papio anubis (Olive baboon)
| 產品貨號 | 產品名稱 | 來源 |
|---|---|---|
| CSB-YP013714ERI CSB-EP013714ERI CSB-BP013714ERI CSB-MP013714ERI CSB-EP013714ERI-B |
Recombinant Papio anubis Hepatocyte growth factor receptor (MET), partial | Yeast E.coli Baculovirus Mammalian cell In Vivo Biotinylation in E.coli |
MET Proteins for Echinops telfairi (Lesser hedgehog tenrec)
| 產品貨號 | 產品名稱 | 來源 |
|---|---|---|
| CSB-YP013714EJK CSB-EP013714EJK CSB-BP013714EJK CSB-MP013714EJK CSB-EP013714EJK-B |
Recombinant Echinops telfairi Hepatocyte growth factor receptor (MET), partial | Yeast E.coli Baculovirus Mammalian cell In Vivo Biotinylation in E.coli |
MET Proteins for Ovis aries (Sheep)
| 產品貨號 | 產品名稱 | 來源 |
|---|---|---|
| CSB-YP600726SH CSB-EP600726SH CSB-BP600726SH CSB-MP600726SH CSB-EP600726SH-B |
Recombinant Sheep Hepatocyte growth factor receptor (MET), partial | Yeast E.coli Baculovirus Mammalian cell In Vivo Biotinylation in E.coli |
MET Proteins for Loxodonta africana (African elephant)
| 產品貨號 | 產品名稱 | 來源 |
|---|---|---|
| CSB-YP608846LJC CSB-EP608846LJC CSB-BP608846LJC CSB-MP608846LJC CSB-EP608846LJC-B |
Recombinant Loxodonta africana Hepatocyte growth factor receptor (MET), partial | Yeast E.coli Baculovirus Mammalian cell In Vivo Biotinylation in E.coli |
MET Proteins for Rhinolophus ferrumequinum (Greater horseshoe bat)
| 產品貨號 | 產品名稱 | 來源 |
|---|---|---|
| CSB-YP641335RKD CSB-EP641335RKD CSB-BP641335RKD CSB-MP641335RKD CSB-EP641335RKD-B |
Recombinant Rhinolophus ferrumequinum Hepatocyte growth factor receptor (MET), partial | Yeast E.coli Baculovirus Mammalian cell In Vivo Biotinylation in E.coli |
MET Proteins for Pongo abelii (Sumatran orangutan)
| 產品貨號 | 產品名稱 | 來源 |
|---|---|---|
| CSB-YP641336PYX CSB-EP641336PYX CSB-BP641336PYX CSB-MP641336PYX CSB-EP641336PYX-B |
Recombinant Pongo abelii Hepatocyte growth factor receptor (MET), partial | Yeast E.coli Baculovirus Mammalian cell In Vivo Biotinylation in E.coli |
MET Proteins for Gorilla gorilla gorilla (Lowland gorilla)
| 產品貨號 | 產品名稱 | 來源 |
|---|---|---|
| CSB-YP641337GGZ CSB-EP641337GGZ CSB-BP641337GGZ CSB-MP641337GGZ CSB-EP641337GGZ-B |
Recombinant Gorilla gorilla gorilla Hepatocyte growth factor receptor (MET), partial | Yeast E.coli Baculovirus Mammalian cell In Vivo Biotinylation in E.coli |
MET Proteins for Eulemur macaco macaco (Black lemur)
| 產品貨號 | 產品名稱 | 來源 |
|---|---|---|
| CSB-YP642260EPG CSB-EP642260EPG CSB-BP642260EPG CSB-MP642260EPG CSB-EP642260EPG-B |
Recombinant Eulemur macaco macaco Hepatocyte growth factor receptor (MET), partial | Yeast E.coli Baculovirus Mammalian cell In Vivo Biotinylation in E.coli |
MET Proteins for Chlorocebus aethiops (Green monkey) (Cercopithecus aethiops)
| 產品貨號 | 產品名稱 | 來源 |
|---|---|---|
| CSB-YP645340DSU CSB-EP645340DSU CSB-BP645340DSU CSB-MP645340DSU CSB-EP645340DSU-B |
Recombinant Chlorocebus aethiops Hepatocyte growth factor receptor (MET), partial | Yeast E.coli Baculovirus Mammalian cell In Vivo Biotinylation in E.coli |
MET Proteins for Microcebus murinus (Lesser mouse lemur)
| 產品貨號 | 產品名稱 | 來源 |
|---|---|---|
| CSB-YP647700MFU CSB-EP647700MFU CSB-BP647700MFU CSB-MP647700MFU CSB-EP647700MFU-B |
Recombinant Microcebus murinus Hepatocyte growth factor receptor (MET), partial | Yeast E.coli Baculovirus Mammalian cell In Vivo Biotinylation in E.coli |
MET Proteins for Callicebus moloch (Dusky titi monkey)
| 產品貨號 | 產品名稱 | 來源 |
|---|---|---|
| CSB-YP647703CYE CSB-EP647703CYE CSB-BP647703CYE CSB-MP647703CYE CSB-EP647703CYE-B |
Recombinant Callicebus moloch Hepatocyte growth factor receptor (MET), partial | Yeast E.coli Baculovirus Mammalian cell In Vivo Biotinylation in E.coli |
MET Proteins for Pan troglodytes (Chimpanzee)
| 產品貨號 | 產品名稱 | 來源 |
|---|---|---|
| CSB-YP647705EQV CSB-EP647705EQV CSB-BP647705EQV CSB-MP647705EQV CSB-EP647705EQV-B |
Recombinant Pan troglodytes Hepatocyte growth factor receptor (MET), partial | Yeast E.coli Baculovirus Mammalian cell In Vivo Biotinylation in E.coli |
MET Proteins for Equus caballus (Horse)
| 產品貨號 | 產品名稱 | 來源 |
|---|---|---|
| CSB-YP650068HO CSB-EP650068HO CSB-BP650068HO CSB-MP650068HO CSB-EP650068HO-B |
Recombinant Horse Hepatocyte growth factor receptor (MET), partial | Yeast E.coli Baculovirus Mammalian cell In Vivo Biotinylation in E.coli |
MET Proteins for Sus scrofa (Pig)
| 產品貨號 | 產品名稱 | 來源 |
|---|---|---|
| CSB-YP651633PI CSB-EP651633PI CSB-BP651633PI CSB-MP651633PI CSB-EP651633PI-B |
Recombinant Pig Hepatocyte growth factor receptor (MET), partial | Yeast E.coli Baculovirus Mammalian cell In Vivo Biotinylation in E.coli |
MET Proteins for Callithrix jacchus (White-tufted-ear marmoset)
| 產品貨號 | 產品名稱 | 來源 |
|---|---|---|
| CSB-YP651635CYL CSB-EP651635CYL CSB-BP651635CYL CSB-MP651635CYL CSB-EP651635CYL-B |
Recombinant Callithrix jacchus Hepatocyte growth factor receptor (MET), partial | Yeast E.coli Baculovirus Mammalian cell In Vivo Biotinylation in E.coli |
MET Proteins for Otolemur garnettii (Small-eared galago) (Garnett's greater bushbaby)
| 產品貨號 | 產品名稱 | 來源 |
|---|---|---|
| CSB-YP651636OFS CSB-EP651636OFS CSB-BP651636OFS CSB-MP651636OFS CSB-EP651636OFS-B |
Recombinant Otolemur garnettii Hepatocyte growth factor receptor (MET), partial | Yeast E.coli Baculovirus Mammalian cell In Vivo Biotinylation in E.coli |
MET Proteins for Solenostemon scutellarioides (Coleus) (Coleus blumei)
| 產品貨號 | 產品名稱 | 來源 |
|---|---|---|
| CSB-YP674836SAAH CSB-EP674836SAAH CSB-BP674836SAAH CSB-MP674836SAAH CSB-EP674836SAAH-B |
Recombinant Solenostemon scutellarioides 5-methyltetrahydropteroyltriglutamate--homocysteine methyltransferase (MET), partial | Yeast E.coli Baculovirus Mammalian cell In Vivo Biotinylation in E.coli |
MET Proteins for Bos taurus (Bovine)
| 產品貨號 | 產品名稱 | 來源 |
|---|---|---|
| CSB-YP758830BO CSB-EP758830BO CSB-BP758830BO CSB-MP758830BO CSB-EP758830BO-B |
Recombinant Bovine Hepatocyte growth factor receptor (MET), partial | Yeast E.coli Baculovirus Mammalian cell In Vivo Biotinylation in E.coli |
MET Proteins for Canis familiaris (Dog) (Canis lupus familiaris)
| 產品貨號 | 產品名稱 | 來源 |
|---|---|---|
| CSB-YP762310DO CSB-EP762310DO CSB-BP762310DO CSB-MP762310DO CSB-EP762310DO-B |
Recombinant Dog Hepatocyte growth factor receptor (MET), partial | Yeast E.coli Baculovirus Mammalian cell In Vivo Biotinylation in E.coli |
MET ELISA Kit
MET ELISA Kit for Homo sapiens (Human)
| 產品貨號 | 產品名稱 | 樣本類型 | 靈敏度 |
|---|---|---|---|
| CSB-E13490h | Human hepatocyte growth factor receptor(c-MET/HGFR)ELISA Kit | serum, plasma, tissue homogenates | 7.8 pg/mL |
MET ELISA Kit for Mus musculus (Mouse)
| 產品貨號 | 產品名稱 | 樣本類型 | 靈敏度 |
|---|---|---|---|
| CSB-E13492m | Mouse Hepatocyte Growth Factor Receptor(C-MET/HGFR)ELISA Kit | serum, plasma, tissue homogenates | 0.02 ng/mL |






