XPNPEP1 Recombinant Monoclonal Antibody
-
中文名稱:XPNPEP1重組抗體
-
貨號:CSB-RA878859MA1HU
-
規格:¥1320
-
圖片:
-
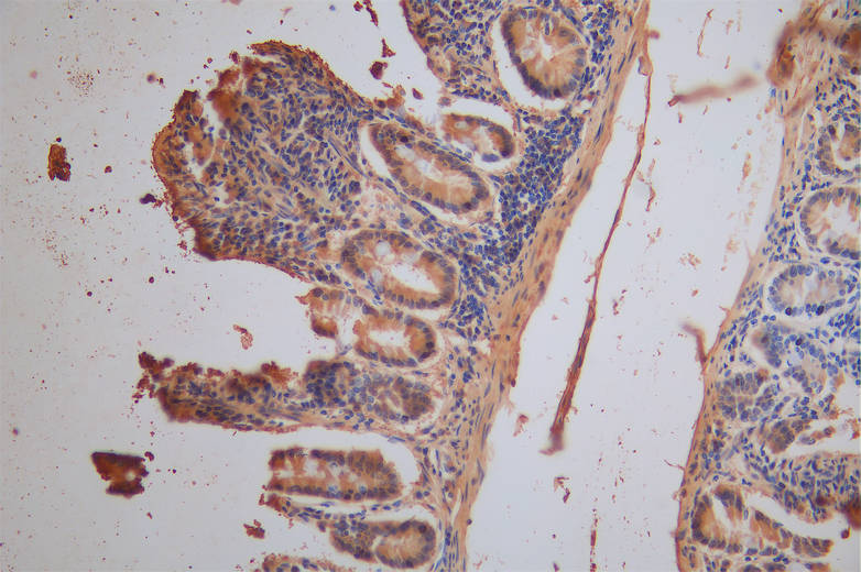
IHC image of CSB-RA878859MA1HU diluted at 1:200 and staining in paraffin-embedded human small intestine tissue performed on a Leica BondTM system. After dewaxing and hydration, antigen retrieval was mediated by high pressure in a citrate buffer (pH 6.0). Section was blocked with 10% normal goat serum 30min at RT. Then primary antibody (1% BSA) was incubated at 4°C overnight. The primary is detected by a Goat anti-Mouse IgG labeled by HRP and visualized using 0.05% DAB.
-
Overlay Peak curve showing JK cells stained with CSB-RA878859MA1HU (red line) at 1:300. The cells were fixed in 4% formaldehyde (15min) and permeated by 0.2% TritonX-100 for 10min. Then 10% normal goat serum to block non-specific protein-protein interactions followed by the antibody (1ug/1*106cells) for 45min at 4℃. The secondary antibody used was FITC-conjugated Goat Anti-Mouse IgG(H+L) at 1/200 dilution for 35 min at 4°C. Isotype control antibody (green line) was mouse IgG1 (1μg/1*106cells) used under the same conditions. Acquisition of >10,005 events was performed.
-
-
其他:
產品詳情
-
產品描述:CSB-RA878859MA1HU XPNPEP1重組單克隆抗體是針對氨肽酶P(XPNPEP1)靶點開發的高特異性科研工具。該抗體通過重組技術制備,具有批次穩定性和高親和力,經ELISA、免疫組化(IHC)及流式細胞術(FC)多平臺驗證,在推薦稀釋比例范圍內(IHC 1:20-1:200,FC 1:20-1:200)表現出優異的目標蛋白結合能力。XPNPEP1作為細胞外基質調節酶,參與血管緊張素、緩激肽等活性肽的代謝調控,在心血管穩態和腎臟功能研究中具有重要價值。本產品適用于體外培養細胞或組織樣本中XPNPEP1的定位檢測及表達水平分析,可支持血管生物學、代謝性疾病機制、藥物靶點篩選等基礎研究領域。其單克隆特性確保實驗數據的高度可重復性,特別適用于需要長期追蹤蛋白動態變化的實驗體系,為探索XPNPEP1在細胞信號傳導及病理生理過程中的功能提供可靠工具。
-
Uniprot No.:
-
基因名:XPNPEP1
-
別名:Aminoacylproline aminopeptidase antibody; aminopeptidase P, cytosolic antibody; APP1 antibody; Cytosolic aminopeptidase P antibody; RP11 451M19.1 antibody; sAmp antibody; Soluble aminopeptidase P antibody; soluble antibody; X Pro aminopeptidase 1 antibody; X prolyl aminopeptidase (aminopeptidase P) 1 antibody; X prolyl aminopeptidase (Aminopeptidase P) 1 soluble antibody; X prolyl aminopeptidase 1 antibody; X prolyl aminopeptidase 1 soluble antibody; X-Pro aminopeptidase 1 antibody; X-prolyl aminopeptidase 1 antibody; Xaa Pro aminopeptidase 1 antibody; Xaa-Pro aminopeptidase 1 antibody; XPNPEP 1 antibody; XPNPEP antibody; xpnpep1 antibody; XPNPEPL antibody; XPNPEPL1 antibody; XPP1_HUMAN antibody
-
反應種屬:Human
-
免疫原:Recombinant Human XPNPEP1 protein
-
免疫原種屬:Homo sapiens (Human)
-
標記方式:Non-conjugated
-
克隆類型:Monoclonal
-
抗體亞型:Mouse IgG
-
純化方式:Affinity-chromatography
-
克隆號:4D12
-
濃度:It differs from different batches. Please contact us to confirm it.
-
保存緩沖液:Preservative: 0.03% Proclin 300
Constituents: 50% Glycerol, 0.01M PBS, PH 7.4 -
產品提供形式:Liquid
-
應用范圍:ELISA, IHC, FC
-
推薦稀釋比:
Application Recommended Dilution IHC 1:20-1:200 FC 1:20-1:200 -
Protocols:
-
儲存條件:Upon receipt, store at -20°C or -80°C. Avoid repeated freeze.
-
貨期:Basically, we can dispatch the products out in 1-3 working days after receiving your orders. Delivery time maybe differs from different purchasing way or location, please kindly consult your local distributors for specific delivery time.
-
用途:For Research Use Only. Not for use in diagnostic or therapeutic procedures.
相關產品
靶點詳情
-
功能:Contributes to the degradation of bradykinin. Catalyzes the removal of a penultimate prolyl residue from the N-termini of peptides, such as Arg-Pro-Pro.
-
基因功能參考文獻:
- Alanine replacement of Arg535 destabilizes the AMPP dimer and guanidine hydrochloride restores the native monomer-dimer equilibrium. It is proposed that Arg535 plays an important role in AMMP catalysis and in stabilization of the catalytically active dimeric state PMID: 29351301
- These data suggest that progesterone-induced increases in AP-P may contribute to the development of oral contraceptive pill-induced hypertension in susceptible Women. PMID: 19126663
-
亞細胞定位:Cytoplasm.
-
蛋白家族:Peptidase M24B family
-
組織特異性:Expressed in all tissues tested, including pancreas, heart, muscle, kidney, liver, lung and brain. Highest levels in pancreas.
-
數據庫鏈接:
Most popular with customers
-
-
YWHAB Recombinant Monoclonal Antibody
Applications: ELISA, WB, IHC, IF, FC
Species Reactivity: Human, Mouse, Rat
-
Phospho-YAP1 (S127) Recombinant Monoclonal Antibody
Applications: ELISA, WB, IHC
Species Reactivity: Human
-
-
-
-
-















