免疫組化(IHC)抗體
免疫組織化學(IHC)利用抗原和抗體特異性結合的原理,結合免疫學、組織學和生物化學技術通過化學反應使標記抗體的顯色劑(熒光染劑、酶、金屬離子、同位素等)顯色來確定組織細胞內抗原,對其進行定位、定性及定量的研究。
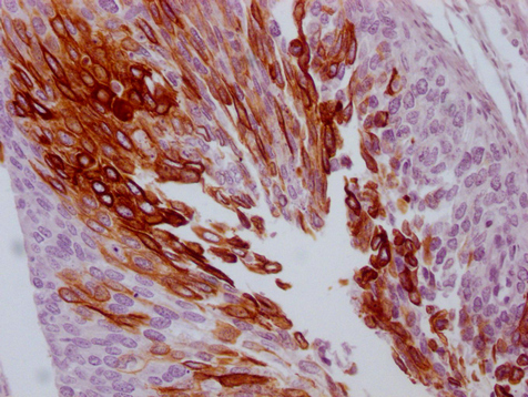
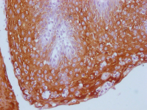
華美生物提供一系列免疫組化(IHC)抗體,經臨床病理樣本驗證,具備高特異性、高靈敏度、定位準確等特點。
應用場景:
- 形態科學:包括病理學、神經內科學、生物學、病原微生物的檢測、皮膚病學、器官移植等;
- 分子生物學研究:對研究的大分子進行定位,進而深入研究其功能;
- 基礎醫學研究:了解生物標志物和差異表達蛋白在生物組織不同部位的分布和定位;
- 腫瘤病理學診斷:確定腫瘤的分期和分級、良性或惡性腫瘤、轉移來源以定位原發腫瘤等。
注意:本公司提供的產品僅用于科研,不用于臨床診斷。
選擇您所需要的產品:
部分產品展示:

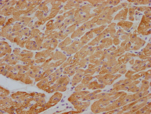
Human heart tissue
1:100

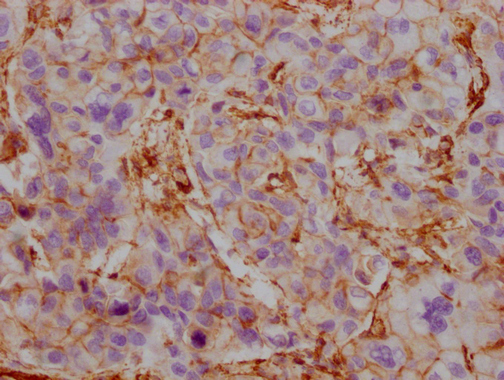
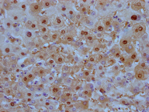
Human liver cancer
1:100

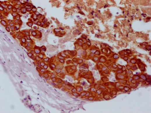
Human tonsil tissue
1:100

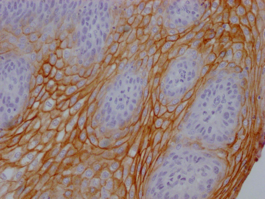
Human skin tissue
1:100


















