CD44 Recombinant Monoclonal Antibody
-
中文名稱:CD44重組抗體
-
貨號:CSB-RA292372A0HU
-
規格:¥1320
-
圖片:
-
Western Blot
Positive WB detected in: A549 whole cell lysate, MCF7 whole cell lysate, HepG2 whole cell lysate
All lanes: CD44 antibody at 1:1000
Secondary
Goat polyclonal to rabbit IgG at 1/50000 dilution
Predicted band size: 81 kDa
Observed band size: 81 kDa -
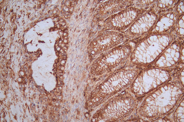
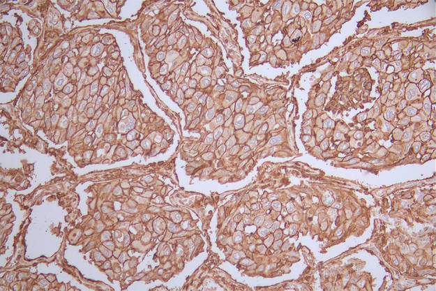
IHC image of CSB-RA292372A0HU diluted at 1:50 and staining in paraffin-embedded human rectal cancer performed on a Leica BondTM system. After dewaxing and hydration, antigen retrieval was mediated by high pressure in a citrate buffer (pH 6.0). Section was blocked with 10% normal goat serum 30min at RT. Then primary antibody (1% BSA) was incubated at 4°C overnight. The primary is detected by a Goat anti-rabbit polymer IgG labeled by HRP and visualized using 0.51% DAB.
-
IHC image of CSB-RA292372A0HU diluted at 1:50 and staining in paraffin-embedded human lung cancer performed on a Leica BondTM system. After dewaxing and hydration, antigen retrieval was mediated by high pressure in a citrate buffer (pH 6.0). Section was blocked with 10% normal goat serum 30min at RT. Then primary antibody (1% BSA) was incubated at 4°C overnight. The primary is detected by a Goat anti-rabbit polymer IgG labeled by HRP and visualized using 0.51% DAB.
-
Immunofluorescence staining of Hela with CSB-RA292372A0HU at 1:25, counter-stained with DAPI. The cells were fixed in 4% formaldehyde and blocked in 10% normal Goat Serum. The cells were then incubated with the antibody overnight at 4°C. The secondary antibody was Alexa Fluor 515-congugated AffiniPure Goat Anti-Rabbit IgG(H+L).
-
Overlay Peak curve showing Hela cells surface stained with CSB-RA292372A0HU (red line) at 1:50. Then 10% normal goat serum to block non-specific protein-protein interactions followed by the antibody (1μg/1*106cells) for 45min at 4℃. The secondary antibody used was FITC-conjugated Goat Anti-rabbit IgG(H+L) at 1:200 dilution for 35min at 4℃.Control antibody (green line) was rabbit IgG (1μg/1*106cells) used under the same conditions. Acquisition of >10,000 events was performed.
-
-
其他:
產品詳情
-
產品描述:CD44重組單克隆抗體(CUSABIO貨號:CSB-RA292372A0HU)是針對CD44靶點開發的高特異性科研工具,該靶標作為跨膜黏附分子,在細胞遷移、免疫應答及腫瘤轉移等過程中發揮重要作用。本抗體經多種技術平臺嚴格驗證,可廣泛應用于ELISA、蛋白質印跡(WB)、免疫組化(IHC)、免疫熒光(IF)及流式細胞術(FC),推薦工作濃度分別為WB 1:500-1:2000、IHC 1:50-1:200、IF/FC 1:50-1:200。實驗數據顯示其在WB中能特異性識別天然及變性條件下的靶蛋白,IHC分析可清晰顯示組織切片中的細胞膜定位特征,流式檢測則有效區分細胞表面CD44表達水平。該產品適用于腫瘤生物學、干細胞微環境研究及炎癥機制探索等領域,特別在解析細胞黏附介導的信號傳導、腫瘤侵襲性評估及免疫細胞表型分析等科研方向具有重要應用價值。
-
Uniprot No.:
-
基因名:
-
別名:CD44 antigen (CDw44) (Epican) (Extracellular matrix receptor III) (ECMR-III) (GP90 lymphocyte homing/adhesion receptor) (HUTCH-I) (Heparan sulfate proteoglycan) (Hermes antigen) (Hyaluronate receptor) (Phagocytic glycoprotein 1) (PGP-1) (Phagocytic glycoprotein I) (PGP-I) (CD antigen CD44), CD44, LHR MDU2 MDU3 MIC4
-
反應種屬:Human
-
免疫原:A synthesized peptide derived from Human CD44
-
免疫原種屬:Homo sapiens (Human)
-
標記方式:Non-conjugated
-
克隆類型:Monoclonal
-
抗體亞型:Rabbit IgG
-
純化方式:Affinity-chromatography
-
克隆號:19H12
-
濃度:It differs from different batches. Please contact us to confirm it.
-
保存緩沖液:Rabbit IgG in 10mM phosphate buffered saline , pH 7.4, 150mM sodium chloride, 0.05% BSA, 0.02% sodium azide and 50% glycerol.
-
產品提供形式:Liquid
-
應用范圍:ELISA, WB, IHC, IF, FC
-
推薦稀釋比:
Application Recommended Dilution WB 1:500-1:2000 IHC 1:50-1:200 IF 1:50-1:200 FC 1:50-1:200 -
Protocols:
-
儲存條件:Upon receipt, store at -20°C or -80°C. Avoid repeated freeze.
-
貨期:Basically, we can dispatch the products out in 1-3 working days after receiving your orders. Delivery time maybe differs from different purchasing way or location, please kindly consult your local distributors for specific delivery time.
-
用途:For Research Use Only. Not for use in diagnostic or therapeutic procedures.
相關產品
靶點詳情
-
功能:Cell-surface receptor that plays a role in cell-cell interactions, cell adhesion and migration, helping them to sense and respond to changes in the tissue microenvironment. Participates thereby in a wide variety of cellular functions including the activation, recirculation and homing of T-lymphocytes, hematopoiesis, inflammation and response to bacterial infection. Engages, through its ectodomain, extracellular matrix components such as hyaluronan/HA, collagen, growth factors, cytokines or proteases and serves as a platform for signal transduction by assembling, via its cytoplasmic domain, protein complexes containing receptor kinases and membrane proteases. Such effectors include PKN2, the RhoGTPases RAC1 and RHOA, Rho-kinases and phospholipase C that coordinate signaling pathways promoting calcium mobilization and actin-mediated cytoskeleton reorganization essential for cell migration and adhesion.
-
基因功能參考文獻:
- Interleukin-4 induces a CD44high /CD49bhigh PC3 subpopulation with tumor-initiating characteristics. PMID: 29236307
- we demonstrated that miR711mediated downregulation of CD44 expression inhibited EMT of gastric cancer cells in vitro and in vivo by downregulating vimentin protein expression and upregulating Ecadherin protein expression through transfection, qRTPCR and western blotting. PMID: 30226620
- Expression levels of MACC1, CD44, Twist1, and KiSS-1 are related to duration of overall survival among patients with colonic adenocarcinoma. PMID: 30021598
- miR-218-5p was downregulated in invasion front cells and negatively regulates oral squamous cell carcinoma invasiveness by targeting the CD44-ROCK pathway. PMID: 29990854
- our study demonstrated that miR-520b inhibits the malignancy of HNC through regulation of cancer stemness conversion by targeting CD44. PMID: 28515423
- The work identified two new host factors that may act as receptors for P. falciparum during invasion: CD44 and CD55. (Review) PMID: 29249333
- Reports indicate that high CD44 expression in ascites tumor cells (ATC) correlates with CSC and EMT phenotype, both regulated by the tumor microenvironment through several signaling pathways, including the TGF-beta signaling pathway. PMID: 30142697
- Data identified Twist1 and CD44 as novel REST targeted genes and provide new insight into the epigenetic regulation of Twist1 and CD44 by REST. PMID: 28256535
- Data show increased CD44 levels in ovarian cancer patient samples correlated with enhanced expression of the mesenchymal spliced variant CD44s (standard) and a concurrent decrease in the epithelial variants (CD44v). Moreover, CD44s was upregulated upon TGFbeta1-induced EMT, which was mediated through the downregulation of the splicing factor, ESRP1. Overexpression of CD44s induced EMT, invasion, and chemoresistance. PMID: 29130517
- The current evidence suggests that CD44 is an efficient prognostic factor in pancreatic cancer. PMID: 29683068
- the CD44-NRF2 axis might be a promising therapeutic target for the control of stress resistance and survival of CD44(high) CSC population within breast tumors. PMID: 29729523
- These results reveal a novel positive feedback loop involving CD44S and YAP1, in which CD44S functions as both an upstream regulator and a downstream effector of YAP1 in hepatocellular carcinoma. PMID: 29649630
- CHI3L1 expression is a novel biomarker for the prognosis of gastric cancer and these findings have thus identified CHI3L1/CD44 axis as a vital pathway and potential therapeutic target in gastric cancer . PMID: 30165890
- The selective binding of HA-CH-NP/siRNA to CD44-positive tumor endothelial cells. PMID: 29890852
- Results showed that the expression of IGF1R appears to be highly correlated with the expression of ABCG2 in osteosarcoma and with the expression of CD44 in osteosarcoma patients under age of 10. PMID: 29892839
- CD44 Polymorphisms are associated with Gastric Cancer. PMID: 29802692
- verification of the presence of stem cell-like cells in the epithelial component through the immunopositivity to Oct-4 and CD44 in benign odontogenic lesions of variable biological behaviors PMID: 29971493
- The genotypes CT, CT+TT, TT, and allele T in rs13347 of CD44 may be risk factors for breast cancer. PMID: 29748526
- Peripheral blood lymphocyte subsets in patients with lung cancer are different from those in healthy people, and circulating CD44+ and CD54+ lymphocytes seem to be a promising criterion to predict survival in lung cancer patients undergoing chemotherapy PMID: 29148014
- The minority of cancer stem cells would not be detected by immunohistochemistry using panCD44. PMID: 29682524
- CD44 regulated TLR2 responses in human macrophages, whereby a reduction in CD44 levels or engagement of CD44 by its ligand (HA) or a CD44-specific Ab reduced NF-kappaB translocation and downstream proinflammatory cytokine production. PMID: 29196459
- Our results suggested that CD44 expression could be used as a marker for the prediction of gastric cancer development, particularly in patients with precancerous gastric lesions carrying AG or GG, who were selected to surveillance follow-up for gastric cancer prevention. PMID: 29445738
- CD44 polymorphism rs13347 acts as a risk factor for cancer, especially in Chinese, while the minor allele of polymorphism rs11821102 may be associated with a decreased susceptibility to cancer PMID: 28000766
- ntermediate Molecular Mass Hyaluronan and CD44 interactions on PMNs potently elicit F-actin cytoskeleton polymerization and p38- and ERK1/2-MAPK phosphorylation to enhance PMN function. PMID: 28730511
- CD44v9 in tumor specimens has potential as a novel indicator for identifying a cisplatin-chemoresistant population among urothelial cancer patients. CD44v8-10 contributes to reactive oxygen species defenses, which are involved in chemoresistance, by promoting the function of xCT, which adjusts the synthesis of glutathione. PMID: 29385995
- CD44 standard isoform was especially upregulated after high-dose X-ray irradiation. PMID: 29106581
- Upregulated miR-373 levels and simultaneously downregulated levels of CD44 and E-cadherin were noted in this study. PMID: 29307338
- MiRNA-34a suppresses invasion and metastatic in esophageal squamous cell carcinoma by regulating CD44. PMID: 29094237
- This study using syngeneic mouse models, which better model the disease in humans than conventional xenografts, suggests that NIR-PIT with anti-CD44-IR700 is a potential candidate for the treatment of Oral cavity squamous cell carcinoma PMID: 28923838
- miR214 represses endogenous CD44 expression by targeting the 3'untranslated region in HeLa, Raji and Jurkat cells. PMID: 29138813
- This analysis indicated that corilagin is mainly involved in the glycolysis pathway. Seahorse XF96 extracellular acidification rate analysis confirmed that corilagin inhibited glycolysis by downregulation of CD44 and STAT3 PMID: 28791374
- an important role for HYAL2 in CD44 alternative splicing. PMID: 29162741
- CD146 suppresses BC progression as a target of CD44-downstream signaling PMID: 29121955
- based on our data, the markers CD44 and CD24 do not reflect the features of CSC and unfavorable prognosis and do not clarify the role and clinical significance of the immunophenotype CD44+/CD24-. PMID: 28967636
- CD44s levels correlate with EGFR signature and predict poor prognosis in glioblastomas. PMID: 28716909
- This study demonstrated that expression of CD44S and CD44 splice variants CD44V3, CD44V6, and CD44V10 was significantly higher in AD patients compared to non-AD controls PMID: 28550248
- Network analysis of overlapping genes revealed the effects on tubulins (Tubb2a, Tubb3, Tubb4b), Nfe2l2, S100a4, Cd44, and Nfkb2, all of which are linked to TBI-relevant outcomes, including epileptogenesis and tissue repair PMID: 27530814
- In obese patients, hepatic CD44 was strongly upregulated in NASH patients (p=0.0008) and correlated with NAFLD activity score (NAS) (p=0.001), ballooning (p=0.003), alanine transaminase (p=0.005) and hepatic CCL2 (p<0.001) and macrophage marker CD68 (p<0.001) expression. Correction of NASH was associated with a strong decrease in liver CD44(+) cells. PMID: 28323124
- These findings suggest that CD44v and CD44s cells play differently important roles in the progression and metastasis of GBC and the isoform switch triggers epithelial-mesenchymal transition PMID: 28677740
- Results suggest significant role of CD44 variants (rs13347, rs187115 and rs11821102) in modulating individual's cancer susceptibility in Asians (meta-analysis). PMID: 27521214
- CD44v9 may be a good biomarker for prognosis prediction and for chemoprevention or biomarker-driven therapies only for Early Gastric Cancer, and it appeared to be associated with lymph node metastasis PMID: 25779358
- Tunicamycin inhibited CD44s overexpression-associated cell migration. PMID: 29377347
- Osteopontin and CD44 play important roles in the development and progression of meningioma and can be used as prognostic markers for tumor recurrence and progression as well as therapeutic targets for the development of new drugs. PMID: 29504367
- CD24 and CD44 are upregulated in human pancreatic cancer compared to chronic pancreatitis and may be related to the development of pancreatic cancer. PMID: 28659655
- our study results showed that CD44v6 is an important regulator of GC tumorigenesis, angiogenesis, and survival in an IL-6 mediated, pSTAT3-dependent manner PMID: 28507278
- expressed by rheumatoid synovial fibroblasts in a MIF allele-dependent fashion and undergoes functional regulation and activation by autocrine/paracrine MIF PMID: 27872288
- Circulating tumor cells expressing cytokeratin and tumor-initiating cell markers, including ALDH, CD133, and CD44, were identified in patients with pancreatic adenocarcinoma. These TIC-like CTCs were associated with poor prognosis after surgical resection and with an increased incidence of tumor recurrence PMID: 27789528
- High CD44 expression is associated with renal cell carcinoma. PMID: 27588469
- FAM83D promotes HCC recurrence by promoting CD44 expression and CD44+ CSCs malignancy. PMID: 27769048
- Intraperitoneal enrichment of cancer stem-like cells, from ovarian cancer cell lines or primary ovarian tumor, provides a rational approach for cancer stem-like cell isolation and characterization using CD44 and prominin-1(CD133) as selection markers. PMID: 27655682
顯示更多
收起更多
-
亞細胞定位:Cell membrane; Single-pass type I membrane protein. Cell projection, microvillus.
-
組織特異性:Isoform 10 (epithelial isoform) is expressed by cells of epithelium and highly expressed by carcinomas. Expression is repressed in neuroblastoma cells.
-
數據庫鏈接:
Most popular with customers
-
-
YWHAB Recombinant Monoclonal Antibody
Applications: ELISA, WB, IHC, IF, FC
Species Reactivity: Human, Mouse, Rat
-
Phospho-YAP1 (S127) Recombinant Monoclonal Antibody
Applications: ELISA, WB, IHC
Species Reactivity: Human
-
-
-
-
-















