-
中文名稱:SMOC2兔多克隆抗體
-
貨號:CSB-PA169309
-
規格:¥1100
-
圖片:
-
The image on the left is immunohistochemistry of paraffin-embedded Human cervical cancer tissue using CSB-PA169309(SMOC2 Antibody) at dilution 1/30, on the right is treated with synthetic peptide. (Original magnification: ×200)
-
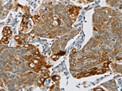
The image on the left is immunohistochemistry of paraffin-embedded Human liver cancer tissue using CSB-PA169309(SMOC2 Antibody) at dilution 1/30, on the right is treated with synthetic peptide. (Original magnification: ×200)
-
Gel: 8%SDS-PAGE, Lysate: 40 μg, Lane: Human placenta tissue, Primary antibody: CSB-PA169309(SMOC2 Antibody) at dilution 1/250, Secondary antibody: Goat anti rabbit IgG at 1/8000 dilution, Exposure time: 5 minutes
-
-
其他:
產品詳情
-
Uniprot No.:
-
基因名:
-
別名:bA270C4A.1 antibody; bA37D8.1 (secreted modular calcium binding protein 2) antibody; bA37D8.1 antibody; dJ421D16.1 (novel thyroglobulin type 1 repeat containing protein) antibody; dJ421D16.1 antibody; MST117 antibody; MSTP117 antibody; MSTP140 antibody; Secreted modular calcium binding protein 2 antibody; Secreted modular calcium-binding protein 2 antibody; SMAP 2 antibody; SMAP-2 antibody; SMAP2 antibody; SMOC 2 antibody; SMOC-2 antibody; SMOC2 antibody; SMOC2_HUMAN antibody; Smooth muscle associated protein 2 antibody; Smooth muscle-associated protein 2 antibody; SPARC related modular calcium binding 2 antibody; SPARC-related modular calcium-binding protein 2 antibody
-
宿主:Rabbit
-
反應種屬:Human,Mouse
-
免疫原:Synthetic peptide of Human SMOC2
-
免疫原種屬:Homo sapiens (Human)
-
標記方式:Non-conjugated
-
抗體亞型:IgG
-
純化方式:Antigen affinity purification
-
濃度:It differs from different batches. Please contact us to confirm it.
-
保存緩沖液:-20°C, pH7.4 PBS, 0.05% NaN3, 40% Glycerol
-
產品提供形式:Liquid
-
應用范圍:ELISA,WB,IHC
-
推薦稀釋比:
Application Recommended Dilution ELISA 1:1000-1:2000 WB 1:200-1:1000 IHC 1:25-1:100 -
Protocols:
-
儲存條件:Upon receipt, store at -20°C or -80°C. Avoid repeated freeze.
-
貨期:Basically, we can dispatch the products out in 1-3 working days after receiving your orders. Delivery time maybe differs from different purchasing way or location, please kindly consult your local distributors for specific delivery time.
-
用途:For Research Use Only. Not for use in diagnostic or therapeutic procedures.
引用文獻
- METTL3 Silencing Suppresses Cardiac Fibrosis Post Myocardial Infarction via m6A Modification of SMOC2 Y He, X Pan, Z Liu, P Zuo, Z Sheng,Journal of Cellular and Molecular Medicine,2025
相關產品
靶點詳情
-
功能:Promotes matrix assembly and cell adhesiveness. Can stimulate endothelial cell proliferation, migration, as well as angiogenesis.
-
基因功能參考文獻:
- SMOC2 was highly expressed in both peritoneal and endometrioma lesions. Considering that the genes studied participate either directly or indirectly in cellular processes that can lead to cell migration, angiogenesis, and inappropriate invasion, it is possible that the deregulation of these genes caused the development and maintenance of ectopic tissue. PMID: 28678915
- The expression of Smoc2 was significantly higher in hepatocellular carcinoma (HCC) tissues compared with corresponding non-tumor liver tissues. Smoc2 promotes the proliferation of HCC cells through accelerating cell cycle progression. PMID: 28018113
- L1-mediated CRC progression involves the acquisition of a stem cell-like phenotype, and that SMOC-2 elevation is necessary for L1-mediated induction of more aggressive/invasive CRC properties. PMID: 25915847
- could not detect an association between SMOC2 gene and AMD. This study tests the candidacy of SMOC2 gene to the etiology of AMD PMID: 22964816
- SMOC2 SNP may play a role in autoimmune thyroid disease susceptibility as a dominant polymorphism. PMID: 23463390
- mutation in exon 8 of the SMOC2 gene linked to oligodontia PMID: 23317772
- Homozygosity mapping and candidate prioritization identify mutations, missed by whole-exome sequencing, in SMOC2, causing major dental developmental defects PMID: 22152679
- The variant rs13208776 in SMOC2 gene does not play a major role in increasing the risk of vitiligo in Jordanian Arab patients. PMID: 20965805
- SMOC2 is a risk locus for generalized vitiligo and perhaps other autoimmune diseases PMID: 19890347
- identification of gene, chromosome mapping PMID: 12741954
- SMOC-2 is a novel angiogenic factor that potentiates angiogenic effects of growth factors PMID: 16774925
- We tested association between SMOC2 polymorphisms and FEV(1) and FVC. SMOC2 might play an important role in the determination of FEV(1) and FVC PMID: 17204727
- Although this study specifies rat, the authors studied and discussed the human gene in this study as well. PMID: 12031507
顯示更多
收起更多
-
相關疾病:Dentin dysplasia 1 (DTDP1)
-
亞細胞定位:Secreted, extracellular space, extracellular matrix, basement membrane.
-
數據庫鏈接:















