SMOC2
SMOC2,全稱為分泌性酸性富含半胱氨酸/骨連接蛋白/BM-40家族成員,別名包括SPARC2、SMAP2等。該蛋白在胚胎發育和傷口愈合過程中高度表達,參與細胞間質蛋白的組裝,刺激內皮細胞增殖和遷移,以及血管生成活性。SMOC2蛋白與肺功能密切相關,其分泌性基因產物包含Kazal結構域、胸球蛋白1型結構域和EF手鈣結合結構域。在腫瘤生長和心肌缺血中,SMOC2蛋白可能作為血管生成的調控靶點。目前,SMOC2蛋白已被研究用于制備檢測或治療子宮內膜癌和卵巢癌的藥物,顯示出其在疾病診斷和治療中的潛在應用價值。
熱銷產品
Recombinant Human SPARC-related modular calcium-binding protein 2 (SMOC2) (CSB-EP884462HU)
驗證數據
(Tris-Glycine gel) Discontinuous SDS-PAGE (reduced) with 5% enrichment gel and 15% separation gel.
驗證數據
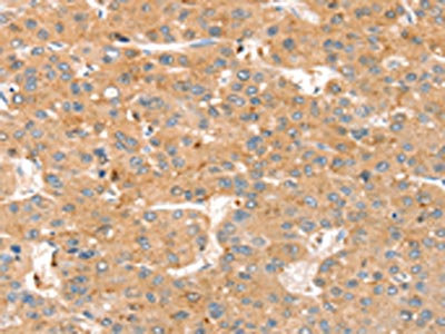
The image on the left is immunohistochemistry of paraffin-embedded Human liver cancer tissue using CSB-PA210932(SMOC2 Antibody) at dilution 1/35, on the right is treated with synthetic peptide. (Original magnification: ×200)
Human SPARC-related modular calcium-binding protein 2(SMOC2) ELISA kit (CSB-EL021843HU)
驗證數據
貨號:CSB-EL021843HU
規格:96T/48T
靈敏度:0.039 ng/mL
檢測范圍:0.156 ng/mL-10 ng/mL
These standard curves are provided for demonstration only. A standard curve should be generated for each set of samples assayed.
SMOC2 Antibodies
SMOC2 for Homo sapiens (Human)
| 產品貨號 | 產品名稱 | 種屬反應性 | 應用類型 |
|---|---|---|---|
| CSB-PA210932 | SMOC2 Antibody | Human,Mouse | ELISA,IHC |
| CSB-PA169309 | SMOC2 Antibody | Human,Mouse | ELISA,WB,IHC |
SMOC2 Proteins
SMOC2 Proteins for Homo sapiens (Human)
| 產品貨號 | 產品名稱 | 來源 |
|---|---|---|
| CSB-YP884462HU CSB-BP884462HU CSB-MP884462HU CSB-EP884462HU-B |
Recombinant Human SPARC-related modular calcium-binding protein 2 (SMOC2) | Yeast Baculovirus Mammalian cell In Vivo Biotinylation in E.coli |
| CSB-EP884462HU | Recombinant Human SPARC-related modular calcium-binding protein 2 (SMOC2) | E.coli |
SMOC2 ELISA Kit
SMOC2 ELISA Kit for Homo sapiens (Human)
| 產品貨號 | 產品名稱 | 樣本類型 | 靈敏度 |
|---|---|---|---|
| CSB-EL021843HU | Human SPARC-related modular calcium-binding protein 2(SMOC2) ELISA kit | serum, plasma, cell culture supernates, tissue homogenates | 0.039 ng/mL |






