Phospho-ATRIP (Ser224) Antibody
-
中文名稱:磷酸化-ATRIP (Ser224)兔多克隆抗體
-
貨號:CSB-PA832812
-
規格:¥2454
-
圖片:
-
Western blot analysis of extracts from 292 cells, treated with UV (15mins), using ATRIP (Phospho-Ser224) antibody. The lane on the right is treated with the synthesized peptide.
-
Western blot analysis of extracts from 293 cells (Lane 2) and Hela cells (Lane 3), using ATRIP (Phospho-Ser224) Antibody. The lane on the left is treated with synthesized peptide.
-
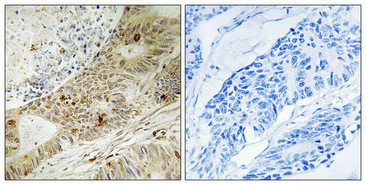
Immunohistochemistry analysis of paraffin-embedded human colon carcinoma tissue, using ATRIP (Phospho-Ser224) antibody. The picture on the right is treated with the synthesized peptide.
-
-
其他:
產品詳情
-
產品名稱:Rabbit anti-Homo sapiens (Human) ATRIP Polyclonal antibody
-
Uniprot No.:
-
基因名:ATRIP
-
宿主:Rabbit
-
反應種屬:Human
-
免疫原:Peptide sequence around phosphorylation site of serine 224 (H-V-S(p)-P-R) derived from Human ATRIP.
-
免疫原種屬:Homo sapiens (Human)
-
克隆類型:Polyclonal
-
純化方式:Antibodies were produced by immunizing rabbits with synthetic phosphopeptide and KLH conjugates. Antibodies were purified by affinity-chromatography using epitope-specific phosphopeptide. Non-phospho specific antibodies were removed by chromatogramphy usi
-
濃度:It differs from different batches. Please contact us to confirm it.
-
產品提供形式:Liquid
-
應用范圍:ELISA,WB,IHC
-
推薦稀釋比:
Application Recommended Dilution WB 1:500-1:1000 IHC 1:50-1:100 -
Protocols:
-
儲存條件:Upon receipt, store at -20°C or -80°C. Avoid repeated freeze.
-
貨期:Basically, we can dispatch the products out in 1-3 working days after receiving your orders. Delivery time maybe differs from different purchasing way or location, please kindly consult your local distributors for specific delivery time.
-
用途:For Research Use Only. Not for use in diagnostic or therapeutic procedures.
相關產品
靶點詳情
-
功能:Required for checkpoint signaling after DNA damage. Required for ATR expression, possibly by stabilizing the protein.
-
基因功能參考文獻:
- ATRIP deacetylation by SIRT2 promotes ATR-ATRIP binding to replication protein A-single-stranded DNA to drive ATR activation and thus facilitate recovery from replication stress. PMID: 26854234
- ATRIP SUMOylation promotes ATR activation by providing a unique type of protein glue that boosts multiple protein interactions along the ATR pathway PMID: 24990965
- Data on crystal structure of BRCA1 binding with phosphopeptides suggest that C-terminal domain of BRCA1 interacts with ATRIP and BAAT1 with preferences for specific side chains; in ATRIP, phospho-Ser239 and Phe242 are the main interacting residues. PMID: 24073851
- Data indicate that ATRIP is a direct target gene of HIF-1, and the increased ATRIP then activates the ATR signaling pathway under hypoxia. PMID: 23454212
- our analysis exposes an overlapping clinical manifestation between the disorders but allows an expanded spectrum of clinical features for ATR-ATRIP Seckel Syndrome to be defined PMID: 23144622
- as an ATR-associated kinase, Nek1 enhances the stability and activity of ATR-ATRIP before DNA damage, priming ATR-ATRIP for a robust DNA damage response PMID: 23345434
- ATRIP may function outside the context of the canonical ATR damage signaling pathway during HSV-1 infection to participate in the viral life cycle. PMID: 20861269
- data suggest that RPA-coated ssDNA is the critical structure at sites of DNA damage that recruits the ATR-ATRIP complex and facilitates its recognition of substrates for phosphorylation and the initiation of checkpoint signaling PMID: 12791985
- there are at least two in vitro ATR-ATRIP DNA binding complexes, one which binds DNA with high affinity in an RPA-dependent manner and a second, which binds DNA with lower affinity in an RPA-independent manner PMID: 14724280
- Collectively, our results suggest that the ATR-mediated phosphorylation of ATRIP at Ser-68 and -72 is dispensable for the initial response to DNA damage. PMID: 15451423
- N-terminal domain of the ATRIP protein contributes to the cell cycle checkpoint by regulating the intranuclear localization of ATR PMID: 15527801
- ATRIP is required for ATR accumulation at intranuclear foci induced by DNA damage. PMID: 15743907
- ATRIP oligomerization is essential for the function of the ATM and Rad3-related (ATR)-ATRIP complex, which exists in higher order oligomeric states within cells PMID: 16027118
- The expression of dimerization-defective ATRIP diminishes the maintenance of replication forks during treatment with DNA replication inhibitors. PMID: 16176973
- support the idea of a multistep model for ATR activation that requires separable localization and activation functions of ATRIP PMID: 17339343
- a direct physical interaction between BRCA1 and ATRIP is required for the checkpoint function of ATR PMID: 17616665
- ATRIP is a CDK2 substrate, and CDK2-dependent phosphorylation of S224 regulates the ability of ATR-ATRIP to promote cell cycle arrest in response to DNA damage PMID: 17638878
顯示更多
收起更多
-
亞細胞定位:Nucleus. Note=Redistributes to discrete nuclear foci upon DNA damage.
-
蛋白家族:ATRIP family
-
組織特異性:Ubiquitous.
-
數據庫鏈接:
Most popular with customers
-
-
YWHAB Recombinant Monoclonal Antibody
Applications: ELISA, WB, IHC, IF, FC
Species Reactivity: Human, Mouse, Rat
-
-
-
-
-
-















