PHGDH Antibody
-
中文名稱:PHGDH兔多克隆抗體
-
貨號:CSB-PA03255A0Rb
-
規格:¥440
-
圖片:
-
Western blot
All lanes: PHGDH antibody at 2µg/ml
Lane 1: EC109 whole cell lysate
Lane 2: 293T whole cell lysate
Secondary
Goat polyclonal to rabbit IgG at 1/15000 dilution
Predicted band size: 57 kDa
Observed band size: 57 kDa -
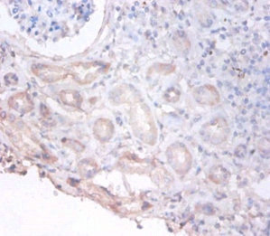
Immunohistochemistry of paraffin-embedded human kidney tissue using CSB-PA03255A0Rb at dilution of 1:100
-
Immunofluorescent analysis of MCF-7 cells using CSB-PA03255A0Rb at dilution of 1:100 and Alexa Fluor 488-congugated AffiniPure Goat Anti-Rabbit IgG(H+L)
-
Immunofluorescent analysis of PC-3 cells using CSB-PA03255A0Rb at dilution of 1:100 and Alexa Fluor 488-congugated AffiniPure Goat Anti-Rabbit IgG(H+L)
-
-
其他:
產品詳情
-
產品名稱:Rabbit anti-Homo sapiens (Human) PHGDH Polyclonal antibody
-
Uniprot No.:
-
基因名:
-
別名:3 PGDH antibody; 3-PGDH antibody; 3-phosphoglycerate dehydrogenase antibody; 3PGDH antibody; D-3-phosphoglycerate dehydrogenase antibody; EC 1.1.1.95 antibody; Epididymis secretory protein Li 113 antibody; HEL S 113 antibody; NLS antibody; NLS1 antibody; PDG antibody; PGAD antibody; PGD antibody; PGDH antibody; PGDH3 antibody; Phgdh antibody; PHGDHD antibody; Phosphoglycerate dehydrogenase antibody; SERA antibody; SERA_HUMAN antibody
-
宿主:Rabbit
-
反應種屬:Human
-
免疫原:Recombinant Human D-3-phosphoglycerate dehydrogenase protein (2-251AA)
-
免疫原種屬:Homo sapiens (Human)
-
標記方式:Non-conjugated
本頁面中的產品,PHGDH Antibody (CSB-PA03255A0Rb),的標記方式是Non-conjugated。對于PHGDH Antibody,我們還提供其他標記。見下表:
-
克隆類型:Polyclonal
-
抗體亞型:IgG
-
純化方式:>95%, Protein G purified
-
濃度:It differs from different batches. Please contact us to confirm it.
-
保存緩沖液:Preservative: 0.03% Proclin 300
Constituents: 50% Glycerol, 0.01M PBS, PH 7.4 -
產品提供形式:Liquid
-
應用范圍:ELISA, WB, IHC, IF
-
推薦稀釋比:
Application Recommended Dilution WB 1:500-1:2000 IHC 1:20-1:200 IF 1:50-1:200 -
Protocols:
-
儲存條件:Upon receipt, store at -20°C or -80°C. Avoid repeated freeze.
-
貨期:Basically, we can dispatch the products out in 1-3 working days after receiving your orders. Delivery time maybe differs from different purchasing way or location, please kindly consult your local distributors for specific delivery time.
-
用途:For Research Use Only. Not for use in diagnostic or therapeutic procedures.
相關產品
靶點詳情
-
功能:Catalyzes the reversible oxidation of 3-phospho-D-glycerate to 3-phosphonooxypyruvate, the first step of the phosphorylated L-serine biosynthesis pathway. Also catalyzes the reversible oxidation of 2-hydroxyglutarate to 2-oxoglutarate and the reversible oxidation of (S)-malate to oxaloacetate.
-
基因功能參考文獻:
- PHGDH expression is regulated by PlncRNA-1 in breast cancer. PMID: 29626321
- Study provides evidence that a unique metabolic program is activated in a lung adenocarcinoma subset, described by PHGDH, which confers cell growth. PMID: 28614715
- Data indicate that the expression of PHGDH is increased in pancreatic cancer and is an independent molecular prognostic factor for pancreatic cancer patients. In addition, PHGDH controls cell proliferation, migration and invasion abilities. PMID: 29128633
- Data show there was a significant negative correlation between PHGDH copy-number alteration and EPAS1 (HIF2A) expression. PMID: 28951458
- Therefore, we show for the first time that the nuclear localization of Cat L and its substrate Cux1can be positively regulated by Snail NLS and importin beta1, suggesting that Snail, Cat L and Cux1 all utilize importin beta1 for nuclear import. PMID: 28698143
- High PHGDH expression is associated with idiopathic pulmonary fibrosis. PMID: 27836973
- This report present 6 individuals from 3 unrelated families with infantile serine biosynthesis defect due to PGDH deficiency. PMID: 28135894
- Overexpression of Phgdh may be generally associated with CK5 cells, and oncogenic function may be determined by isoform expression. PMID: 26026368
- High expression of PHGDH is associated with Colon Cancer. PMID: 26439504
- p53-mediated repression of PHGDH enhances the apoptotic response upon serine starvation in melanoma cells. PMID: 25404730
- Phosphoglycerate Dehydrogenase deficiency is associated with Neu-Laxova syndrome. PMID: 25152457
- We report on the identification of homozygous mutations in PHGDH and serine deficiency in individuals with Neu-Laxova syndrome. This disorder thus seems to be an extremely severe expression of PHGDH deficiency. PMID: 24836451
- PHGDH overexpression is found in cervical cancer, in particular, in bigger tumors and with advanced stages. Its expression is positively correlated with squamous cell carcinoma antigen level PMID: 24247658
- The potential mechanisms by which PHGDH promotes cancer are discussed. PMID: 21981974
- in some cancer cells a relatively large amount of glycolytic carbon is diverted into serine and glycine metabolism through phosphoglycerate dehydrogenase. PMID: 21804546
- results reveal that certain breast cancers are dependent upon increased serine pathway flux caused by PHGDH overexpression and demonstrate the utility of in vivo negative-selection RNAi screens for finding potential anticancer targets PMID: 21760589
- Studies in bacteria showed that addition of substrate at the active site is ordered, with HPAP binding before NADH. Also, NADH can compete with the substrate for binding to the allosteric site and thereby eliminate the substrate inhibition. PMID: 19388702
- The crystal structure of Mycobacterium tuberculosis D-3-phosphoglycerate dehydrogenase has been solved with bound effector, 1-serine, and substrate, hydroxypyruvic acid phosphate. The human enzyme was also examined. PMID: 18627175
- The frequency of antibodies to Phgdh is much higher in patients with autoimmune hepatitis than in patients with other types of hepatitis or normal controls. PMID: 19497206
- PHGDH is expressed in cytoplasm of stromal and glandular cells in endometrium; expression is relatively high in proliferative phase and lower in secretory phase. Data suggest expression of PHGDH in endometrium is regulated by HOXA10. PMID: 19778996
- we conclude that this mutation impairs the folding and/or assembly of PHGDH but has minimal effects on the activity or stability of that portion of the V490M mutant that reaches a mature conformation PMID: 11751922
- These data suggest that missense mutations associated with 3-PGDH deficiency either primarily affect substrate binding or result in very low residual enzymatic activity. PMID: 19235232
- a coding PHGDH SNP (rs543703) was weakly associated with the development of schizophrenia in Korean population PMID: 19404161
顯示更多
收起更多
-
相關疾?。?/div>Phosphoglycerate dehydrogenase deficiency (PHGDHD); Neu-Laxova syndrome 1 (NLS1)蛋白家族:D-isomer specific 2-hydroxyacid dehydrogenase family數據庫鏈接:
Most popular with customers
-
-
YWHAB Recombinant Monoclonal Antibody
Applications: ELISA, WB, IHC, IF, FC
Species Reactivity: Human, Mouse, Rat
-
Phospho-YAP1 (S127) Recombinant Monoclonal Antibody
Applications: ELISA, WB, IHC
Species Reactivity: Human
-
-
-
-
-















