PHGDH Monoclonal Antibody
-
中文名稱:PHGDH Monoclonal Antibody
-
貨號:CSB-MA281265
-
規格:¥1320
-
圖片:
-
Flow cytometric analysis of Phosphoglycerate dehydrogenase expression in C2C12 cells using Phosphoglycerate dehydrogenase antibody. Green, isotype control; red, Phosphoglycerate dehydrogenase.
-
Immunocytochemical staining of C2C12 cells with Phosphoglycerate dehydrogenase antibody. Nuclei were stained blue with DAPI; Phosphoglycerate dehydrogenase was stained magenta with Alexa Fluor? 647. Images were taken using Leica stellaris 5. Protein abundance based on laser Intensity and smart gain: Medium. Scale bar, 20 μm.
-
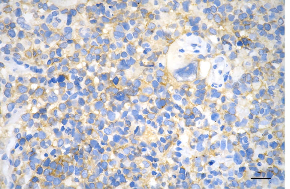
Immunohistochemistry was performed on paraffin-embedded human glioblastoma using phosphoglycerate dehydrogenase antibody. Antigen retrieval was done in sodium citrate buffer (pH 6.0). DAB was used for detection, with hematoxylin counterstaining. Images were acquired using a Nikon Ci-L Plus microscope (40× objective). Scale bar: 25 μm.
-
Western blotting analysis using phosphoglycerate dehydrogenase antibody. Total cell lysates (30 μg) from various cell lines were loaded and separated by SDS-PAGE. The blot was incubated with phosphoglycerate dehydrogenase antibody and HRP-conjugated goat anti-mouse secondary antibody respectively.
-
-
其他:
產品詳情
-
產品名稱:Mouse anti-Homo sapiens (Human) PHGDH Monoclonal antibody
-
Uniprot No.:
-
基因名:
-
別名:PHGDH; Phosphoglycerate Dehydrogenase; D-3-Phosphoglycerate Dehydrogenase; SERA; GDH; PDG; 2-Oxoglutarate Reductase; Malate Dehydrogenase; EC 1.1.1.95; 3-PGDH; Epididymis Secretory Protein Li 113; 3-Phosphoglycerate Dehydrogenase; EC 1.1.1.399; EC 1.1.1.37; HEL-S-113; EC 1.1.1; PHGDHD; 3PGDH; PGDH3; NLS1; PGAD; NLS; PGD
-
宿主:Mouse
-
反應種屬:Human, Mouse, Rat
-
免疫原:Recombinant Human PHGDH protein
-
免疫原種屬:Homo sapiens (Human)
-
標記方式:Non-conjugated
-
克隆類型:Monoclonal
-
抗體亞型:Mouse IgG2a
-
純化方式:Affinity-chromatography
-
克隆號:4G2
-
濃度:It differs from different batches. Please contact us to confirm it.
-
保存緩沖液:PBS (pH 7.4) containing 50% glycerol, and 0.02% sodium azide.
-
產品提供形式:Liquid
-
應用范圍:ELISA, WB, FC, ICC, IHC
-
推薦稀釋比:
Application Recommended Dilution WB 1:500-1:2500 FC 1:200-1:2000 ICC 1:100-1:1000 IHC 1:100-1:200 -
Protocols:
-
儲存條件:Upon receipt, store at -20°C or -80°C. Avoid repeated freeze.
-
貨期:Basically, we can dispatch the products out in 1-3 working days after receiving your orders. Delivery time maybe differs from different purchasing way or location, please kindly consult your local distributors for specific delivery time.
-
用途:For Research Use Only. Not for use in diagnostic or therapeutic procedures.
相關產品
靶點詳情
-
功能:Catalyzes the reversible oxidation of 3-phospho-D-glycerate to 3-phosphonooxypyruvate, the first step of the phosphorylated L-serine biosynthesis pathway. Also catalyzes the reversible oxidation of 2-hydroxyglutarate to 2-oxoglutarate and the reversible oxidation of (S)-malate to oxaloacetate.
-
基因功能參考文獻:
- PHGDH expression is regulated by PlncRNA-1 in breast cancer. PMID: 29626321
- Study provides evidence that a unique metabolic program is activated in a lung adenocarcinoma subset, described by PHGDH, which confers cell growth. PMID: 28614715
- Data indicate that the expression of PHGDH is increased in pancreatic cancer and is an independent molecular prognostic factor for pancreatic cancer patients. In addition, PHGDH controls cell proliferation, migration and invasion abilities. PMID: 29128633
- Data show there was a significant negative correlation between PHGDH copy-number alteration and EPAS1 (HIF2A) expression. PMID: 28951458
- Therefore, we show for the first time that the nuclear localization of Cat L and its substrate Cux1can be positively regulated by Snail NLS and importin beta1, suggesting that Snail, Cat L and Cux1 all utilize importin beta1 for nuclear import. PMID: 28698143
- High PHGDH expression is associated with idiopathic pulmonary fibrosis. PMID: 27836973
- This report present 6 individuals from 3 unrelated families with infantile serine biosynthesis defect due to PGDH deficiency. PMID: 28135894
- Overexpression of Phgdh may be generally associated with CK5 cells, and oncogenic function may be determined by isoform expression. PMID: 26026368
- High expression of PHGDH is associated with Colon Cancer. PMID: 26439504
- p53-mediated repression of PHGDH enhances the apoptotic response upon serine starvation in melanoma cells. PMID: 25404730
- Phosphoglycerate Dehydrogenase deficiency is associated with Neu-Laxova syndrome. PMID: 25152457
- We report on the identification of homozygous mutations in PHGDH and serine deficiency in individuals with Neu-Laxova syndrome. This disorder thus seems to be an extremely severe expression of PHGDH deficiency. PMID: 24836451
- PHGDH overexpression is found in cervical cancer, in particular, in bigger tumors and with advanced stages. Its expression is positively correlated with squamous cell carcinoma antigen level PMID: 24247658
- The potential mechanisms by which PHGDH promotes cancer are discussed. PMID: 21981974
- in some cancer cells a relatively large amount of glycolytic carbon is diverted into serine and glycine metabolism through phosphoglycerate dehydrogenase. PMID: 21804546
- results reveal that certain breast cancers are dependent upon increased serine pathway flux caused by PHGDH overexpression and demonstrate the utility of in vivo negative-selection RNAi screens for finding potential anticancer targets PMID: 21760589
- Studies in bacteria showed that addition of substrate at the active site is ordered, with HPAP binding before NADH. Also, NADH can compete with the substrate for binding to the allosteric site and thereby eliminate the substrate inhibition. PMID: 19388702
- The crystal structure of Mycobacterium tuberculosis D-3-phosphoglycerate dehydrogenase has been solved with bound effector, 1-serine, and substrate, hydroxypyruvic acid phosphate. The human enzyme was also examined. PMID: 18627175
- The frequency of antibodies to Phgdh is much higher in patients with autoimmune hepatitis than in patients with other types of hepatitis or normal controls. PMID: 19497206
- PHGDH is expressed in cytoplasm of stromal and glandular cells in endometrium; expression is relatively high in proliferative phase and lower in secretory phase. Data suggest expression of PHGDH in endometrium is regulated by HOXA10. PMID: 19778996
- we conclude that this mutation impairs the folding and/or assembly of PHGDH but has minimal effects on the activity or stability of that portion of the V490M mutant that reaches a mature conformation PMID: 11751922
- These data suggest that missense mutations associated with 3-PGDH deficiency either primarily affect substrate binding or result in very low residual enzymatic activity. PMID: 19235232
- a coding PHGDH SNP (rs543703) was weakly associated with the development of schizophrenia in Korean population PMID: 19404161
顯示更多
收起更多
-
相關疾病:Phosphoglycerate dehydrogenase deficiency (PHGDHD); Neu-Laxova syndrome 1 (NLS1)
-
蛋白家族:D-isomer specific 2-hydroxyacid dehydrogenase family
-
數據庫鏈接:
Most popular with customers
-
-
YWHAB Recombinant Monoclonal Antibody
Applications: ELISA, WB, IHC, IF, FC
Species Reactivity: Human, Mouse, Rat
-
Phospho-YAP1 (S127) Recombinant Monoclonal Antibody
Applications: ELISA, WB, IHC
Species Reactivity: Human
-
-
-
-
-















