PDP1 Antibody
-
中文名稱:PDP1兔多克隆抗體
-
貨號:CSB-PA878946LA01HU
-
規格:¥440
-
圖片:
-
Western Blot
Positive WB detected in: SH-SY5Y whole cell lysate
All lanes: PDP1 antibody at 3.6µg/ml
Secondary
Goat polyclonal to rabbit IgG at 1/50000 dilution
Predicted band size: 62, 64 kDa
Observed band size: 62 kDa -
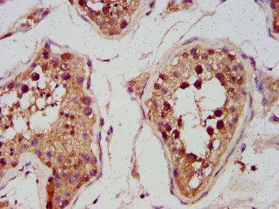
IHC image of CSB-PA878946LA01HU diluted at 1:600 and staining in paraffin-embedded human testis tissue performed on a Leica BondTM system. After dewaxing and hydration, antigen retrieval was mediated by high pressure in a citrate buffer (pH 6.0). Section was blocked with 10% normal goat serum 30min at RT. Then primary antibody (1% BSA) was incubated at 4°C overnight. The primary is detected by a biotinylated secondary antibody and visualized using an HRP conjugated SP system.
-
-
其他:
產品詳情
-
產品名稱:Rabbit anti-Homo sapiens (Human) PDP1 Polyclonal antibody
-
Uniprot No.:
-
基因名:PDP1
-
別名:[Pyruvate dehydrogenase [acetyl transferring]] phosphatase 1; mitochondrial antibody; [Pyruvate dehydrogenase [acetyl-transferring]]-phosphatase 1 antibody; FLJ32517 antibody; Gm1024 antibody; MGC119646 antibody; mitochondrial antibody; PDH antibody; PDP 1 antibody; PDP antibody; Pdp1 antibody; PDP1_HUMAN antibody; PDPC 1 antibody; PDPC antibody; PPM2C antibody; Protein phosphatase 2C antibody; protein phosphatase 2C; magnesium dependent; catalytic subunit antibody; Pyruvate dehydrogenase (Lipoamide) phosphatase phosphatase antibody; Pyruvate dehydrogenase phosphatase catalytic subunit 1 antibody; Pyruvate dehydrogenase phosphatase; catalytic subunit 1 antibody; RP23 203A12.1 antibody
-
宿主:Rabbit
-
反應種屬:Human
-
免疫原:Recombinant Human [Pyruvate dehydrogenase [acetyl-transferring]]-phosphatase 1, mitochondrial protein (1-154AA)
-
免疫原種屬:Homo sapiens (Human)
-
標記方式:Non-conjugated
本頁面中的產品,PDP1 Antibody (CSB-PA878946LA01HU),的標記方式是Non-conjugated。對于PDP1 Antibody,我們還提供其他標記。見下表:
-
克隆類型:Polyclonal
-
抗體亞型:IgG
-
純化方式:>95%, Protein G purified
-
濃度:It differs from different batches. Please contact us to confirm it.
-
保存緩沖液:Preservative: 0.03% Proclin 300
Constituents: 50% Glycerol, 0.01M PBS, pH 7.4 -
產品提供形式:Liquid
-
應用范圍:ELISA, WB, IHC
-
推薦稀釋比:
Application Recommended Dilution WB 1:500-1:5000 IHC 1:500-1:1000 -
Protocols:
-
儲存條件:Upon receipt, store at -20°C or -80°C. Avoid repeated freeze.
-
貨期:Basically, we can dispatch the products out in 1-3 working days after receiving your orders. Delivery time maybe differs from different purchasing way or location, please kindly consult your local distributors for specific delivery time.
-
用途:For Research Use Only. Not for use in diagnostic or therapeutic procedures.
相關產品
靶點詳情
-
功能:Catalyzes the dephosphorylation and concomitant reactivation of the alpha subunit of the E1 component of the pyruvate dehydrogenase complex.
-
基因功能參考文獻:
- High PDH expression is associated with glucose intolerance. PMID: 28148899
- YB-1 phosphorylation at Ser-102 is an important prerequisite for CCL5 promoter activation during macrophage differentiation PMID: 24962578
- the pyruvate dehydrogenase complex is regulated by Tyr phosphorylation of PDP1, which toggles recruitment between ACAT1 and SIRT3 PMID: 24486017
- Although 7 days of bed rest induced whole body glucose intolerance, exercise-induced PDH regulation in skeletal muscle was not changed, suggesting that exercise-induced PDH regulation in skeletal muscle is maintained in glucose-intolerant individuals. PMID: 21680880
- catalytic subunit of PDP1 crystals belonged to space group P4(1)2(1)2 or P4(3)2(1)2, with unit-cell parameters a = b = 65.1, c = 216.1 A. PMID: 20208177
- pyruvate dehydrogenase phosphatase PDP1 is down-regulated in circulating lymphocytes of obese subjects because it is poorly sensitive to magnesium/calcium; this defect is attenuated when plasma insulin is greatly enhanced PMID: 15897476
- Lower accumulation of free ADP and AMP after the FAT-adapt trial may be responsible for the decreased glycogenolysis and PDH activation during sprinting. PMID: 16188909
- Functional characterization of the bovine counterpart. PMID: 8396421
- Functional characterization of the rat counterpart. PMID: 9651365
- In cultured skin fibroblasts from three patients with congenital lactic acidemia due to a defect in activation of the pyruvate dehydrogenase complex, the PDP-activity was significantly reduced to 50.7%, 64.6% and 63.1% of that of control fibroblasts. PMID: 1327585
- In postmortem tissue samples, from male child with metabolic acidosis, PDK normally reduced PDH-activity in ATP-presence. Addition of Ca++ and Mg++ did not restored PDH-activity. The defect was attributed to a markedly reduced PDP-activity. PMID: 172850
顯示更多
收起更多
-
相關疾病:Pyruvate dehydrogenase phosphatase deficiency (PDP deficiency)
-
亞細胞定位:Mitochondrion matrix.
-
蛋白家族:PP2C family
-
數據庫鏈接:
Most popular with customers
-
YWHAB Recombinant Monoclonal Antibody
Applications: ELISA, WB, IHC, IF, FC
Species Reactivity: Human, Mouse, Rat
-
Phospho-YAP1 (S127) Recombinant Monoclonal Antibody
Applications: ELISA, WB, IHC
Species Reactivity: Human
-
-
-
-
-
-















