PDP1 Antibody
-
中文名稱:PDP1兔多克隆抗體
-
貨號:CSB-PA113942
-
規格:¥1100
-
圖片:
-
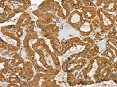
The image on the left is immunohistochemistry of paraffin-embedded Human thyroid cancer tissue using CSB-PA113942(PDP1 Antibody) at dilution 1/30, on the right is treated with fusion protein. (Original magnification: ×200)
-
The image on the left is immunohistochemistry of paraffin-embedded Human cervical cancer tissue using CSB-PA113942(PDP1 Antibody) at dilution 1/30, on the right is treated with fusion protein. (Original magnification: ×200)
-
-
其他:
產品詳情
-
Uniprot No.:
-
基因名:PDP1
-
別名:[Pyruvate dehydrogenase [acetyl transferring]] phosphatase 1; mitochondrial antibody; [Pyruvate dehydrogenase [acetyl-transferring]]-phosphatase 1 antibody; FLJ32517 antibody; Gm1024 antibody; MGC119646 antibody; mitochondrial antibody; PDH antibody; PDP 1 antibody; PDP antibody; Pdp1 antibody; PDP1_HUMAN antibody; PDPC 1 antibody; PDPC antibody; PPM2C antibody; Protein phosphatase 2C antibody; protein phosphatase 2C; magnesium dependent; catalytic subunit antibody; Pyruvate dehydrogenase (Lipoamide) phosphatase phosphatase antibody; Pyruvate dehydrogenase phosphatase catalytic subunit 1 antibody; Pyruvate dehydrogenase phosphatase; catalytic subunit 1 antibody; RP23 203A12.1 antibody
-
宿主:Rabbit
-
反應種屬:Human,Mouse,Rat
-
免疫原:Fusion protein of Human PDP1
-
免疫原種屬:Homo sapiens (Human)
-
標記方式:Non-conjugated
-
抗體亞型:IgG
-
純化方式:Antigen affinity purification
-
濃度:It differs from different batches. Please contact us to confirm it.
-
保存緩沖液:-20°C, pH7.4 PBS, 0.05% NaN3, 40% Glycerol
-
產品提供形式:Liquid
-
應用范圍:ELISA,IHC
-
推薦稀釋比:
Application Recommended Dilution ELISA 1:2000-1:5000 IHC 1:30-1:150 -
Protocols:
-
儲存條件:Upon receipt, store at -20°C or -80°C. Avoid repeated freeze.
-
貨期:Basically, we can dispatch the products out in 1-3 working days after receiving your orders. Delivery time maybe differs from different purchasing way or location, please kindly consult your local distributors for specific delivery time.
-
用途:For Research Use Only. Not for use in diagnostic or therapeutic procedures.
相關產品
靶點詳情
-
功能:Catalyzes the dephosphorylation and concomitant reactivation of the alpha subunit of the E1 component of the pyruvate dehydrogenase complex.
-
基因功能參考文獻:
- High PDH expression is associated with glucose intolerance. PMID: 28148899
- YB-1 phosphorylation at Ser-102 is an important prerequisite for CCL5 promoter activation during macrophage differentiation PMID: 24962578
- the pyruvate dehydrogenase complex is regulated by Tyr phosphorylation of PDP1, which toggles recruitment between ACAT1 and SIRT3 PMID: 24486017
- Although 7 days of bed rest induced whole body glucose intolerance, exercise-induced PDH regulation in skeletal muscle was not changed, suggesting that exercise-induced PDH regulation in skeletal muscle is maintained in glucose-intolerant individuals. PMID: 21680880
- catalytic subunit of PDP1 crystals belonged to space group P4(1)2(1)2 or P4(3)2(1)2, with unit-cell parameters a = b = 65.1, c = 216.1 A. PMID: 20208177
- pyruvate dehydrogenase phosphatase PDP1 is down-regulated in circulating lymphocytes of obese subjects because it is poorly sensitive to magnesium/calcium; this defect is attenuated when plasma insulin is greatly enhanced PMID: 15897476
- Lower accumulation of free ADP and AMP after the FAT-adapt trial may be responsible for the decreased glycogenolysis and PDH activation during sprinting. PMID: 16188909
- Functional characterization of the bovine counterpart. PMID: 8396421
- Functional characterization of the rat counterpart. PMID: 9651365
- In cultured skin fibroblasts from three patients with congenital lactic acidemia due to a defect in activation of the pyruvate dehydrogenase complex, the PDP-activity was significantly reduced to 50.7%, 64.6% and 63.1% of that of control fibroblasts. PMID: 1327585
- In postmortem tissue samples, from male child with metabolic acidosis, PDK normally reduced PDH-activity in ATP-presence. Addition of Ca++ and Mg++ did not restored PDH-activity. The defect was attributed to a markedly reduced PDP-activity. PMID: 172850
顯示更多
收起更多
-
相關疾病:Pyruvate dehydrogenase phosphatase deficiency (PDP deficiency)
-
亞細胞定位:Mitochondrion matrix.
-
蛋白家族:PP2C family
-
數據庫鏈接:
Most popular with customers
-
-
YWHAB Recombinant Monoclonal Antibody
Applications: ELISA, WB, IHC, IF, FC
Species Reactivity: Human, Mouse, Rat
-
Phospho-YAP1 (S127) Recombinant Monoclonal Antibody
Applications: ELISA, WB, IHC
Species Reactivity: Human
-
-
-
-
-















