PAK3 Antibody
-
中文名稱:PAK3兔多克隆抗體
-
貨號:CSB-PA438958
-
規格:¥1100
-
圖片:
-
The image on the left is immunohistochemistry of paraffin-embedded Human esophagus cancer tissue using CSB-PA438958(PAK3 Antibody) at dilution 1/25, on the right is treated with synthetic peptide. (Original magnification: ×200)
-
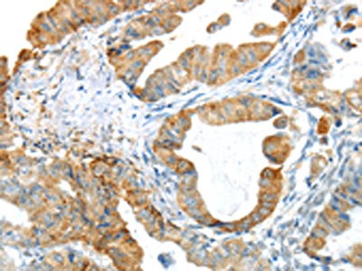
The image on the left is immunohistochemistry of paraffin-embedded Human thyroid cancer tissue using CSB-PA438958(PAK3 Antibody) at dilution 1/25, on the right is treated with synthetic peptide. (Original magnification: ×200)
-
Gel: 6%SDS-PAGE,Lysate: 40 μg,,Primary antibody: CSB-PA438958(PAK3 Antibody) at dilution 1/200 dilution,Secondary antibody: Goat anti rabbit IgG at 1/8000 dilution,Exposure time: 1 minute
-
-
其他:
產品詳情
-
Uniprot No.:
-
基因名:
-
別名:PAK3 antibody; OPHN3 antibody; Serine/threonine-protein kinase PAK 3 antibody; EC 2.7.11.1 antibody; Beta-PAK antibody; Oligophrenin-3 antibody; p21-activated kinase 3 antibody; PAK-3 antibody
-
宿主:Rabbit
-
反應種屬:Human,Mouse,Rat
-
免疫原:Synthetic peptide of Human PAK3
-
免疫原種屬:Homo sapiens (Human)
-
標記方式:Non-conjugated
-
抗體亞型:IgG
-
純化方式:Antigen affinity purification
-
濃度:It differs from different batches. Please contact us to confirm it.
-
保存緩沖液:-20°C, pH7.4 PBS, 0.05% NaN3, 40% Glycerol
-
產品提供形式:Liquid
-
應用范圍:ELISA,WB,IHC
-
推薦稀釋比:
Application Recommended Dilution ELISA 1:1000-1:2000 WB 1:200-1:1000 IHC 1:20-1:100 -
Protocols:
-
儲存條件:Upon receipt, store at -20°C or -80°C. Avoid repeated freeze.
-
貨期:Basically, we can dispatch the products out in 1-3 working days after receiving your orders. Delivery time maybe differs from different purchasing way or location, please kindly consult your local distributors for specific delivery time.
-
用途:For Research Use Only. Not for use in diagnostic or therapeutic procedures.
相關產品
靶點詳情
-
功能:Serine/threonine protein kinase that plays a role in a variety of different signaling pathways including cytoskeleton regulation, cell migration, or cell cycle regulation. Plays a role in dendrite spine morphogenesis as well as synapse formation and plasticity. Acts as downstream effector of the small GTPases CDC42 and RAC1. Activation by the binding of active CDC42 and RAC1 results in a conformational change and a subsequent autophosphorylation on several serine and/or threonine residues. Phosphorylates MAPK4 and MAPK6 and activates the downstream target MAPKAPK5, a regulator of F-actin polymerization and cell migration. Additionally, phosphorylates TNNI3/troponin I to modulate calcium sensitivity and relaxation kinetics of thin myofilaments. May also be involved in early neuronal development. In hippocampal neurons, necessary for the formation of dendritic spines and excitatory synapses; this function is dependent on kinase activity and may be exerted by the regulation of actomyosin contractility through the phosphorylation of myosin II regulatory light chain (MLC).
-
基因功能參考文獻:
- The miR-193b-3p/PAK3 axis might be a potential novel therapeutic target for OC. PMID: 29169729
- Authors have identified mutations in PAK3, CASK, and MECP2 that likely contribute to intellectual disability, and the findings extend the spectrum of mutations and phenotypes associated with X-linked intellectual disability. PMID: 28481730
- This study showed that PARK3 messenger RNA levels was significantly upregulated in subjects with schizophrenia in laminar and cellular samples. PMID: 25981171
- This study identified predicted pathogenic, hemizygous variants on chromosome X in disease genes PAK3. PMID: 25666757
- Cdc42Hs binds to the effector domain of PAK3 PMID: 25109462
- Results show elevated PAK3 expression at both the mRNA and protein level in cJun/AP-1-over-expressing Rat1a fibroblasts, as well as in transformed human fibroblasts. PMID: 23818969
- p21-Activated kinase 3 (PAK3) protein regulates synaptic transmission through its interaction with the Nck2/Grb4 protein adaptor. PMID: 21949127
- potential role of PAK3 in the progression of ACTH-producing thymic carcinoid PMID: 20960100
- PAK3 is a key regulator of synapse formation and plasticity in the hippocampus. The MRX30 mutation might contribute to the cognitive deficits underlying this form of X-linked mental retardation. PMID: 15574732
- PAK3 mutations result in a specific form of X-linked mental retardation with fairly constant clinical features. PMID: 18523455
- PAK3 codes for a splice variant that contains a 45-bp alternatively spliced exon. The exon encodes 15 aa that are inserted in the regulatory domain. PAK3b displays a high kinase activity in starved cells that is not further stimulated by active GTPases. PMID: 12464619
顯示更多
收起更多
-
相關疾病:Mental retardation, X-linked 30 (MRX30)
-
亞細胞定位:Cytoplasm.
-
蛋白家族:Protein kinase superfamily, STE Ser/Thr protein kinase family, STE20 subfamily
-
組織特異性:Restricted to the nervous system. Highly expressed in postmitotic neurons of the developing and postnatal cerebral cortex and hippocampus.
-
數據庫鏈接:
Most popular with customers
-
-
YWHAB Recombinant Monoclonal Antibody
Applications: ELISA, WB, IHC, IF, FC
Species Reactivity: Human, Mouse, Rat
-
Phospho-YAP1 (S127) Recombinant Monoclonal Antibody
Applications: ELISA, WB, IHC
Species Reactivity: Human
-
-
-
-
-















