APOC3 Antibody
-
中文名稱:APOC3兔多克隆抗體
-
貨號:CSB-PA12197A0Rb
-
規格:¥440
-
圖片:
-
Western blot
All lanes: APOC3 antibody at 2µg/ml + Rat liver tissue
Secondary
Goat polyclonal to rabbit lgG at 1/15000 dilution
Predicted band size: 11 kDa
Observed band size: 11 kDa -
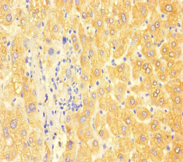
Immunohistochemistry of paraffin-embedded human liver cancer using CSB-PA12197A0Rb at dilution of 1:100
-
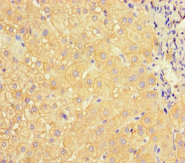
Immunohistochemistry of paraffin-embedded human liver tissue using CSB-PA12197A0Rb at dilution of 1:100
-
-
其他:
產品詳情
-
產品名稱:Rabbit anti-Homo sapiens (Human) APOC3 Polyclonal antibody
-
Uniprot No.:
-
基因名:
-
別名:APOC3 antibody; APO C3 antibody; Apo CIII antibody; Apo-CIII antibody; APOC 3 antibody; ApoC III antibody; ApoC-III antibody; APOC3 antibody; APOC3_HUMAN antibody; ApoCIII antibody; Apolipoprotein C III antibody; Apolipoprotein C-III antibody; Apolipoprotein C3 antibody; ApolipoproteinCIII antibody; MGC150353 antibody
-
宿主:Rabbit
-
反應種屬:Human, Rat
-
免疫原:Recombinant Human Apolipoprotein C-III protein (21-99AA)
-
免疫原種屬:Homo sapiens (Human)
-
標記方式:Non-conjugated
本頁面中的產品,APOC3 Antibody (CSB-PA12197A0Rb),的標記方式是Non-conjugated。對于APOC3 Antibody,我們還提供其他標記。見下表:
-
克隆類型:Polyclonal
-
抗體亞型:IgG
-
純化方式:>95%, Protein G purified
-
濃度:It differs from different batches. Please contact us to confirm it.
-
保存緩沖液:Preservative: 0.03% Proclin 300
Constituents: 50% Glycerol, 0.01M PBS, PH 7.4 -
產品提供形式:Liquid
-
應用范圍:ELISA, WB, IHC
-
推薦稀釋比:
Application Recommended Dilution WB 1:1000-1:5000 IHC 1:20-1:200 -
Protocols:
-
儲存條件:Upon receipt, store at -20°C or -80°C. Avoid repeated freeze.
-
貨期:Basically, we can dispatch the products out in 1-3 working days after receiving your orders. Delivery time maybe differs from different purchasing way or location, please kindly consult your local distributors for specific delivery time.
-
用途:For Research Use Only. Not for use in diagnostic or therapeutic procedures.
相關產品
靶點詳情
-
功能:Component of triglyceride-rich very low density lipoproteins (VLDL) and high density lipoproteins (HDL) in plasma. Plays a multifaceted role in triglyceride homeostasis. Intracellularly, promotes hepatic very low density lipoprotein 1 (VLDL1) assembly and secretion; extracellularly, attenuates hydrolysis and clearance of triglyceride-rich lipoproteins (TRLs). Impairs the lipolysis of TRLs by inhibiting lipoprotein lipase and the hepatic uptake of TRLs by remnant receptors. Formed of several curved helices connected via semiflexible hinges, so that it can wrap tightly around the curved micelle surface and easily adapt to the different diameters of its natural binding partners.
-
基因功能參考文獻:
- ApoCIII may mediate the effects of ANGPTL8 on triglyceride metabolism. PMID: 30021607
- The S2 allele of the SstI polymorphism in the apoC3 gene is associated with plasma apoCIII levels in the Li population. In combination with unfavorable lipid profiles, this might contribute to susceptibility to atherosclerosis. PMID: 29162127
- Data indicate effects of a loss-of-function Ala43Thr substitution in apolipoprotein C3 (APOC3) rs147210663. PMID: 29237685
- the present study demonstrates major modifications of the proteome in patients with cerebral lacunar infarction(LACI). The ApoC-III enrichment of the HDL of patients with cerebral lacunar infarction may cause a reduction in the anti-inflammatory ability of HDL, which may contribute to the progression of the disease PMID: 29115584
- C3(QK) variant is a gain-of-function mutation that can stimulate VLDL1 production, through enhanced DNL PMID: 28887372
- Review/Meta-analysis: APOC3 polymorphisms were not association with increased risk of ischemic stroke PMID: 28865324
- rs4225 in the 3'-UTR of APOC3 might contribute to the risk of coronary heart disease by interfering with miR-4271 binding. PMID: 27624799
- APOC3 modulates HDL structure and function, while it selectively promotes BAT metabolic activation PMID: 28701354
- apoC-III potently inhibits triglyceride hydrolysis when LPL is bound to GPIHBP1 PMID: 28694296
- apolipoprotein C3 and atherosclerosis PMID: 28441154
- intestinal apoC-III overexpression results in the secretion of smaller, less dense chylomicron particles along with reduced triacylglycerol secretion from the intestine PMID: 28159868
- Aromatic residues in the C terminus of apolipoprotein C-III mediate lipid binding and LPL inhibition PMID: 28159869
- No evidence that APOC3 3'UTR variant SstI modulates expression of liver/intestinal miRNAs in hypertriglyceridemia. PMID: 27794214
- A rare variant in APOC3(rs138326449) has been associated with triglyceride, very low-density lipoprotein, and high-density lipoprotein levels, as well as risk of coronary heart disease. Effects are unlikely to be solely predictable by the action of APOC3 through LPL. PMID: 27114411
- both human APOC3 A43T heterozygotes and mice expressing human APOC3 A43T display markedly reduced circulating apoC-III levels. In mice, this reduction is due to impaired binding of A43T apoC-III to lipoproteins and accelerated renal catabolism of free apoC-III. PMID: 28825717
- Gene-level meta-analysis with other studies reporting burden signals at APOC3 provides robust evidence for a replicable cardioprotective rare variant aggregation PMID: 27146844
- studied the associations of apoC-III, endothelial function and diabetic peripheral neuropathy PMID: 28641786
- Plasma levels of proprotein convertase subtilisin/kexin type 9 (PCSK9), apolipoprotein C-III (apoC3) and small dense low density lipoprotein cholesterol (sdLDL-C) showed significant interactions with current dyslipidemias, and were predictive in the screening. PMID: 27713142
- Novel sequencing techniques are detecting rare variants with larger effect sizes (eg, APOC3) , which may further improve on Cardiovascular disease risk prediction. PMID: 27650930
- The APOC3 rs2070666 A allele is a risk factor for NAFLD independent of obesity, dyslipidemia, and PNPLA3 rs738409, and it might contribute to increased liver fat content in Chinese Han population. PMID: 27059980
- plasma levels significantly associated with the development and severity of metabolic syndrome PMID: 28245894
- ApoC-III levels are significantly associated with incident coronary artery disease risk. Elevated levels of remnant lipoproteins, small dense low-density lipoprotein, and low-grade inflammation may explain this association. PMID: 28473441
- The authors findings confirm an association of APOC3 with gout. PMID: 27094595
- Accumulating evidence indicates that apolipoprotein C-III is a multifaceted protein which not only regulates triglyceride metabolism, but also participates in the atherosclerotic lesion formation and several other pathological processes involved in atherosclerosis. PMID: 27770802
- Our results showed that APOC3 was closely associated with the inflammatory process in ECs, and that this process was characterized by the increased expression of TNF-alpha. Inflammatory processes further disrupted the tight junctions (TJs) between HUVECs by causing increased expression of JAM-1. PMID: 27619170
- review of its clinical implications and targeted therapies[review] PMID: 27318213
- Transgenic mice expressing human APOC3in the C57BL/6J background have been described. The study found that hypertriglyceridemia per se is not an independent risk factor for beta cell dysfunction in ApoC3 transgenic mice. PMID: 27226540
- ApoA-1 and ApoC-III may be used as differentiating and predictive markers for SCLC [ small cell lung cancer ]. PMID: 26996551
- The results of our meta-analysis point to a strong link between both APOA5 -1131T>C and APOC3 -455T>C polymorphisms and an increased risk of coronary heart disease . PMID: 26782469
- HDL-apoCIII has a significant and positive association with coronary heart disease . PMID: 26452348
- APOA5 -1131 T > C and APOC3 -455 T > C SNPs may play potent roles in the development and progression of coronary heart disease. (Meta-analysis) PMID: 26387083
- D25V apolipoprotein C-III is a new human amyloidogenic protein and the first conferring cardioprotection. PMID: 26790392
- The current body of literature includes several methodologically sound studies that together provide consistent evidence for an association of cardiovascular events with blood apoC-III level in total plasma or in VLDL and LDL. PMID: 26228667
- 3238C>G polymorphism of ApoC3 gene appears to augment the propensity to develop T2DM, while -482C>T to negatively affect lipid metabolism in Saudi subjects. PMID: 26247234
- Data suggest that apolipoprotein C-III (ApoCIII) adopts an alternate helical conformation on the bilayer which could have functional implications. PMID: 26301570
- Lipoprotein associated phospholipase A2 activity and apolipoprotein C3 loss-of-function variants are involved in cardiovascular disease PMID: 26117401
- genetic variants associated with elevated triglycerides and VLDL and risk of intracerebral hemorrhage PMID: 25994187
- meta-analysis demonstrates significant association between rs5128 polymorphism and higher levels of APOC3, TG, TC and LDL-C PMID: 25928461
- ApoC3 Sst I and T-455C polymorphisms might be associated with coronary heart disease risk. PMID: 24430880
- The objective of this study was to evaluate the reliability of MALDI-TOF mass spectrometry of apoC-III for the detection and characterization of congenital disorders of glycosylation-associated O-glycan defects. PMID: 25641685
- APOC3 loss-of- function mutation carriers had reduced plasma triglycerides, higher HDL-C,and a decreased burden of coronary arterial calcification. PMID: 26516010
- In examined Kyrgyz ethnic population the most frequent was heterozygous TC genotype of T455C polymorphism of apo C-III. PMID: 26625519
- In persons with T2DM, increased plasma ApoC-III is associated with higher triglycerides, less favorable cardiometabolic phenotypes, and higher coronary artery calcification, a measure of subclinical atherosclerosis. PMID: 26069232
- Obesity favors apolipoprotein E- and C-III-containing high density lipoprotein subfractions associated with risk of heart disease. PMID: 24966274
- The polymorphism T-455C in APOC3 gene and elevated serum triglycerides were associated with NAFLD. However, we did not find a significant association of C-482T polymorphism (rs2854117) of APOC3 gene with NAFLD. PMID: 25319715
- these results suggest that plasma apoA-I could be a sensitive Alzheimer's disease biomarker and individuals with low plasma levels of apoC-III are at risk for Alzheimer's disease. PMID: 24685634
- APOC3 R19X allele participants had approximately half the triglyceride levels, >20% higher high-density lipoprotein cholesterol levels, and lower low-density lipoprotein cholesterol levels compared with noncarrier participants. PMID: 25363704
- The APOC3 3238 G allele might contribute to an increased risk of coronary artery disease as a result of its effect on triglycerides and VLDL-cholesterol metabolism. PMID: 25380998
- Confirming the negative role of APOC-III in TG metabolism can be used as therapeutic target for the management of hypertriglyceridemia and reduction of ischemic cardiovascular events. PMID: 25994465
- APOC3 (-455T>C) genetic variation is involved in the susceptibility to developing NAFLD in the Southern Chinese Han population. PMID: 25320541
顯示更多
收起更多
-
相關疾病:Hyperalphalipoproteinemia 2 (HALP2)
-
亞細胞定位:Secreted.
-
蛋白家族:Apolipoprotein C3 family
-
組織特異性:Liver.
-
數據庫鏈接:
Most popular with customers
-
-
YWHAB Recombinant Monoclonal Antibody
Applications: ELISA, WB, IHC, IF, FC
Species Reactivity: Human, Mouse, Rat
-
Phospho-YAP1 (S127) Recombinant Monoclonal Antibody
Applications: ELISA, WB, IHC
Species Reactivity: Human
-
-
-
-
-















