APOC3
APOC3,即載脂蛋白C3,別名Apo-C3,是肝臟合成的一種血漿蛋白,與脂質代謝緊密相關。它通過抑制脂蛋白脂酶和肝脂酶的活性,調控血漿中脂蛋白的代謝與清除,進而影響血脂水平。APOC3水平異常升高與多種脂質代謝障礙疾病如高甘油三酯血癥緊密相關,增加心血管疾病風險。因此,APOC3成為研究血脂調控和心血管疾病治療的重要靶點。對APOC3的深入研究有助于揭示脂質代謝的復雜機制,為開發新型降脂藥物提供科學依據。
熱銷產品
Recombinant Human Apolipoprotein C-III (APOC3) (CSB-EP001933HU)
驗證數據
(Tris-Glycine gel) Discontinuous SDS-PAGE (reduced) with 5% enrichment gel and 15% separation gel.
APOC3 Recombinant Monoclonal Antibody (CSB-RA925915A0HU)
驗證數據
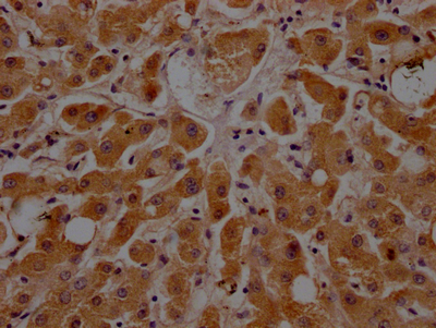
IHC image of CSB-RA925915A0HU diluted at 1:100 and staining in paraffin-embedded human liver tissue performed on a Leica BondTM system. After dewaxing and hydration, antigen retrieval was mediated by high pressure in a citrate buffer (pH 6.0). Section was blocked with 10% normal goat serum 30min at RT. Then primary antibody (1% BSA) was incubated at 4℃ overnight. The primary is detected by a Goat anti-rabbit IgG polymer labeled by HRP and visualized using 0.05% DAB.
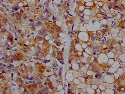
IHC image of CSB-RA925915A0HU diluted at 1:100 and staining in paraffin-embedded human liver cancer performed on a Leica BondTM system. After dewaxing and hydration, antigen retrieval was mediated by high pressure in a citrate buffer (pH 6.0). Section was blocked with 10% normal goat serum 30min at RT. Then primary antibody (1% BSA) was incubated at 4℃ overnight. The primary is detected by a Goat anti-rabbit IgG polymer labeled by HRP and visualized using 0.05% DAB.
APOC3 Antibodies
APOC3 for Homo sapiens (Human)
| 產品貨號 | 產品名稱 | 種屬反應性 | 應用類型 |
|---|---|---|---|
| CSB-PA12197A0Rb | APOC3 Antibody | Human, Rat | ELISA, WB, IHC |
| CSB-PA006112 | APOC3 Antibody | Human | WB, ELISA |
| CSB-RA925915A0HU | APOC3 Recombinant Monoclonal Antibody | Human | ELISA, IHC |
APOC3 Proteins
APOC3 Proteins for Canis familiaris (Dog) (Canis lupus familiaris)
| 產品貨號 | 產品名稱 | 來源 |
|---|---|---|
| CSB-YP001933DO CSB-EP001933DO CSB-BP001933DO CSB-MP001933DO CSB-EP001933DO-B |
Recombinant Dog Apolipoprotein C-III (APOC3) | Yeast E.coli Baculovirus Mammalian cell In Vivo Biotinylation in E.coli |
APOC3 Proteins for Bos taurus (Bovine)
| 產品貨號 | 產品名稱 | 來源 |
|---|---|---|
| CSB-YP001933BO CSB-EP001933BO CSB-BP001933BO CSB-MP001933BO CSB-EP001933BO-B |
Recombinant Bovine Apolipoprotein C-III (APOC3) | Yeast E.coli Baculovirus Mammalian cell In Vivo Biotinylation in E.coli |
APOC3 Proteins for Mus musculus (Mouse)
| 產品貨號 | 產品名稱 | 來源 |
|---|---|---|
| CSB-YP001933MO CSB-BP001933MO CSB-MP001933MO CSB-EP001933MO-B |
Recombinant Mouse Apolipoprotein C-III (Apoc3) | Yeast Baculovirus Mammalian cell In Vivo Biotinylation in E.coli |
| CSB-EP001933MO | Recombinant Mouse Apolipoprotein C-III (Apoc3) | E.coli |
APOC3 Proteins for Sus scrofa (Pig)
| 產品貨號 | 產品名稱 | 來源 |
|---|---|---|
| CSB-YP001933PI CSB-EP001933PI CSB-BP001933PI CSB-MP001933PI CSB-EP001933PI-B |
Recombinant Pig Apolipoprotein C-III (APOC3) | Yeast E.coli Baculovirus Mammalian cell In Vivo Biotinylation in E.coli |
APOC3 Proteins for Homo sapiens (Human)
| 產品貨號 | 產品名稱 | 來源 |
|---|---|---|
| CSB-YP001933HU CSB-BP001933HU CSB-MP001933HU CSB-EP001933HU-B |
Recombinant Human Apolipoprotein C-III (Apoc3) | Yeast Baculovirus Mammalian cell In Vivo Biotinylation in E.coli |
| CSB-EP001933HU | Recombinant Human Apolipoprotein C-III (APOC3) | E.coli |
APOC3 Proteins for Rattus norvegicus (Rat)
| 產品貨號 | 產品名稱 | 來源 |
|---|---|---|
| CSB-YP001933RA | Recombinant Rat Apolipoprotein C-III (Apoc3) | Yeast |
| CSB-EP001933RA CSB-BP001933RA CSB-MP001933RA CSB-EP001933RA-B |
Recombinant Rat Apolipoprotein C-III (Apoc3) | E.coli Baculovirus Mammalian cell In Vivo Biotinylation in E.coli |
APOC3 Proteins for Macaca fascicularis (Crab-eating macaque) (Cynomolgus monkey)
| 產品貨號 | 產品名稱 | 來源 |
|---|---|---|
| CSB-YP001933MOV | Recombinant Macaca fascicularis Apolipoprotein C-III (APOC3) | Yeast |
| CSB-EP001933MOV CSB-MP001933MOV CSB-EP001933MOV-B |
Recombinant Macaca fascicularis Apolipoprotein C-III (APOC3) | E.coli Mammalian cell In Vivo Biotinylation in E.coli |
| CSB-BP001933MOV | Recombinant Macaca fascicularis Apolipoprotein C-III (APOC3) | Baculovirus |
APOC3 Proteins for Cavia porcellus (Guinea pig)
| 產品貨號 | 產品名稱 | 來源 |
|---|---|---|
| CSB-YP001933GU CSB-EP001933GU CSB-BP001933GU CSB-MP001933GU CSB-EP001933GU-B |
Recombinant Guinea pig Apolipoprotein C-III (APOC3) | Yeast E.coli Baculovirus Mammalian cell In Vivo Biotinylation in E.coli |
APOC3 ELISA Kit
APOC3 ELISA Kit for Homo sapiens (Human)
| 產品貨號 | 產品名稱 | 樣本類型 | 靈敏度 |
|---|---|---|---|
| CSB-E13760h | Human Apolipoprotein C3,apo-C3ELISA Kit | serum, plasma, tissue homogenates | 3.9 ng/mL |
APOC3 ELISA Kit for Mus musculus (Mouse)
| 產品貨號 | 產品名稱 | 樣本類型 | 靈敏度 |
|---|---|---|---|
| CSB-EL001933MO | Mouse Apolipoprotein C-III(APOC3) ELISA kit | serum, plasma, tissue homogenates | 9.375 ng/mL |
APOC3 ELISA Kit for Rattus norvegicus (Rat)
| 產品貨號 | 產品名稱 | 樣本類型 | 靈敏度 |
|---|---|---|---|
| CSB-EL001933RA | Rat Apolipoprotein C-III(APOC3) ELISA kit | serum, plasma, tissue homogenates | 7.8 ng/mL |






