ANXA2 Antibody
-
中文名稱:ANXA2兔多克隆抗體
-
貨號:CSB-PA980450
-
規格:¥1100
-
圖片:
-
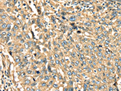
The image on the left is immunohistochemistry of paraffin-embedded Human lung cancer tissue using CSB-PA980450(ANXA2 Antibody) at dilution 1/40, on the right is treated with fusion protein. (Original magnification: ×200)
-
Gel: 8%SDS-PAGE, Lysate: 30 μg, Lane 1-2: 293T cells, HepG2 cells, Primary antibody: CSB-PA980450(ANXA2 Antibody) at dilution 1/540, Secondary antibody: Goat anti rabbit IgG at 1/8000 dilution, Exposure time: 30 seconds
-
-
其他:
產品詳情
-
Uniprot No.:
-
基因名:
-
別名:Annexin A2 antibody; Annexin II antibody; Annexin II; heavy chain antibody; Annexin-2 antibody; ANX 2 antibody; ANX2 antibody; ANX2L4 antibody; ANXA2 antibody; ANXA2_HUMAN antibody; arylsulfatase B antibody; CAL1H antibody; Calpactin I heavy chain antibody; calpactin I heavy polypeptide (p36) antibody; Calpactin I heavy polypeptide antibody; Calpactin-1 heavy chain antibody; chromobindin 8 antibody; Chromobindin-8 antibody; Epididymis secretory protein Li 270 antibody; HEL S 270 antibody; LIP2 antibody; Lipocortin II antibody; LPC2 antibody; LPC2D antibody; p36 antibody; P36 protein antibody; PAP-IV antibody; Placental anticoagulant protein IV antibody; Protein I antibody
-
宿主:Rabbit
-
反應種屬:Human,Mouse,Rat
-
免疫原:Fusion protein of Human ANXA2
-
免疫原種屬:Homo sapiens (Human)
-
標記方式:Non-conjugated
-
抗體亞型:IgG
-
純化方式:Antigen affinity purification
-
濃度:It differs from different batches. Please contact us to confirm it.
-
保存緩沖液:-20°C, pH7.4 PBS, 0.05% NaN3, 40% Glycerol
-
產品提供形式:Liquid
-
應用范圍:ELISA,WB,IHC
-
推薦稀釋比:
Application Recommended Dilution ELISA 1:1000-1:5000 WB 1:500-1:2000 IHC 1:30-1:150 -
Protocols:
-
儲存條件:Upon receipt, store at -20°C or -80°C. Avoid repeated freeze.
-
貨期:Basically, we can dispatch the products out in 1-3 working days after receiving your orders. Delivery time maybe differs from different purchasing way or location, please kindly consult your local distributors for specific delivery time.
-
用途:For Research Use Only. Not for use in diagnostic or therapeutic procedures.
相關產品
靶點詳情
-
功能:Calcium-regulated membrane-binding protein whose affinity for calcium is greatly enhanced by anionic phospholipids. It binds two calcium ions with high affinity. May be involved in heat-stress response. Inhibits PCSK9-enhanced LDLR degradation, probably reduces PCSK9 protein levels via a translational mechanism but also competes with LDLR for binding with PCSK9.
-
基因功能參考文獻:
- Mechanistic studies revealed that FOXD2AS1 upregulated the expression of the miR206 target gene ANXA2 in hepatocellular carcinoma by acting as a miR206 sponge. PMID: 30272362
- study has localised AnxA2/S100A10 complexes to key anatomical locations in the placenta and suggests a role for this complex in amniotic epithelium, trophoblasts and syncytium, in addition to its well-known roles in endothelial cells PMID: 30143909
- Inhibition of ANXA2 will affect the expression of downstream targets and downstream signaling pathways, leading to the suppression of the malignant progression of tumors. PMID: 30355917
- our data suggest that overexpression of peroxiredoxin-2, annexin A2, and heat shock protein beta-1 was correlated with tumor invasion, metastasis, and poor prognosis, and therefore, these proteins may serve as potential diagnostic and therapeutic biomarkers. PMID: 29332450
- aptamer wh6 can block MM cell adhesion to ANXA2 and block the proliferation of MM cells induced by ANXA2 PMID: 29906496
- The results demonstrated that ANX2 and stromal tenascin C regulated invasion in addition to stemness and anoikis resistance, which are crucial for metastasis in the progression of pancreatic ductal adenocarcinoma. PMID: 29749431
- highly expressed in gastric cancer, related to tumor size, histological differentiation, lymph node metastasis PMID: 29097873
- models for annexin A2-mediated vesicle aggregation mechanisms. PMID: 29567212
- Our profiling data provided a rich source for further study of the molecular mechanisms of acquired drug resistance inneuroblastoma ( NB). Further study may determine the role of ANXA2 as a prognostic biomarker and a potential therapeutic target for patients with multidrug-resistant NB. PMID: 28814318
- These results suggested that increased ANXA2 and less expressed beta-catenin were correlated to adenomyosis-associated dysmenorrhea PMID: 28547742
- These data suggested that Annexin A2 induces cisplatin resistance of non-small cell lung cancer (NSCLC)via regulation of JNK/c-Jun/p53 signaling, and provided an evidence that blockade of Annexin A2 could serve as a novel therapeutic approach for overcoming drug resistance in NSCLCs PMID: 28886730
- Results show that Anxa2-Tyr23 phosphorylation is necessary for proliferation, invasion, and metastasis of breast cancer cells in vitro and in vivo. Tyr23-phosphorylated Anxa2 binds to STAT3 and serves as a key regulator of STAT3 signaling. PMID: 28470457
- annexin A2 can potentially predict the development of pre-eclampsia. The low annexin A2 levels (<0.89 ng/ml) together with higher blood pressure and proteinuria constitute a higher risk to develop preeclampsia. PMID: 28501283
- Variants in the Annexin A2 (ANXA2) gene directly influence plasma LDL-C levels. PMID: 28456096
- this study showed that Annexin A2 inhibition suppresses proliferation and invasion in ovarian cancer via beta-catenin/EMT, proposing the potential role of Annexin A2 in the prevention and treatment of ovarian cancer PMID: 28440436
- FNDC3B and ANXA2 expression correlate negatively with patient survival in hepatocellular carcinoma PMID: 27385217
- UBAP2 formed a complex with Annexin A2 and promoted the degradation of Annexin A2 protein by ubiquitination, and then inhibited HCC progression. PMID: 27121050
- results indicate that ANXA2 plays an important role to enhance the malignant behaviors of Hepatocellular carcinoma cells, and the enhancement is closely based on its remodeling to cell structures PMID: 27060670
- Thus, tight regulation of AnxA2 function is an integral aspect of cellular homeostasis. The presence of AnxA2 in cancer cell-derived exosomes, as well as the potential regulation of exosomal AnxA2 by phosphorylation or other PTMs, are topics of great interes PMID: 28867585
- Restoration of miR-101 expression reversed chemoresistance of drug-resistant gastric cancer cells by inhibiting viability and enhancing apoptosis via targeting ANXA2. PMID: 28609840
- Annexin 2A (ANXA2) is over-expressed in Glioblastoma (GBM) and positively correlates with patient outcome. PMID: 27429043
- Results confirm that both circRNA expression and even ANXA2 expression could be used as biomarkers of RR-MS with good values of specificity and sensitivity. PMID: 28651352
- This study demonstrated that the expression level of AnxA2 was significantly higher in recurrent adamantinomatous craniopharyngioma compared with primary ones. AND AnxA2(+) adamantinomatous craniopharyngioma cells exhibited enhanced proliferation and migration ability compared with AnxA2(-) adamantinomatous craniopharyngioma cells. PMID: 27640198
- Cercvical cancer stem cells express annexin II, an HPV co-receptor. PMID: 27008711
- Annexin A2 (ANXA2) and prostate-specific antigen (PSA) proteins measured from biopsy tumour regions are unlikely to be good biomarkers for prediction of the clinical outcome of prostate cancer presenting with apparently localized disease. PMID: 29187477
- anti-ANXA2 antibodies play a role in thrombotic mechanisms leading to recurrent pregnancy loss and placental vascular disease PMID: 27631133
- results suggest that mycoplasma induces a resistance to multiple drugs in hepatocarcinoma cells which required the interaction of P37 and Annexin A2. The pathway downstream this interaction needs to be explored PMID: 28976984
- Findings indicate that Munc13-4 supports acute WPB exocytosis by tethering WPBs to the plasma membrane via AnxA2-S100A10. PMID: 28450451
- Detecting ANXA2 and ANXA4 expression may aid the evaluation of cervical carcinoma prognosis. PMID: 27402115
- our studies show that this G-motif represents a novel and essential determinant for axonal localization of the Anxa2 mRNA mediated by the SMN complex. PMID: 28258160
- The data data suggest that interactions between HIV-1 gp120 and A2 exist, though this interaction may be indirect. PMID: 27863502
- Exosome-associated Annexin II plays an important role in angiogenesis and breast cancer metastasis. PMID: 27760843
- ANXA2 stromal expression might play a key role in aggressive tumor phenotype associated with increased EMT CTCs release, however, other factors beyond ANXA2 are responsible for coagulation activation mediated by CTCs in breast cancer patients. PMID: 28476852
- annexin A2 contributes to lung injury and fibrotic disease by mediating the fibrogenic actions of FXa. PMID: 28283478
- Annexin A2 and HB-EGF are overexpressed and are being secreted into serum in Her-2 negative breast cancer patients. PMID: 27496793
- results indicate that ANXA2 facilitates PS-ASO trafficking from early to late endosomes where it may also contribute to PS-ASO release PMID: 27378781
- Annexins A2 and A8 in endothelial cell exocytosis and the control of vascular homeostasis PMID: 27451994
- Rack1 regulated P-Glycoprotein activity, which was necessary for adriamycin-induced P-Glycoprotein - mediated phosphorylation of Anxa2 and Erk1/2. PMID: 27754360
- The presence of vascular lesions in lupus nephritis (LN) appears to be associated with significant differences in the vascular expression of ANXA2. PMID: 26511441
- expression elevated in lung squamous cell carcinoma tissue PMID: 28178129
- annexin A2 but not follistatin is expressed in hepatocellular carcinoma PMID: 26189841
- Our results place ANXA2 at the apex of a regulatory cascade that determines glioblastoma mesenchymal transformation and validate aSICS as a general methodology to uncover regulators of cancer subtypes. PMID: 27667176
- Overexpression of ANXA2 is associated with colorectal cancer. PMID: 27468721
- Annexin A2, up-regulated by IL-6, promotes ligament ossification in ankylosing spondylitis patients. PMID: 27697640
- highly specific 30 kDa plant lectin could dissociate AnxA2 from endogenous lectin galectin-3 interaction at the cell surface. This dissociation could down-regulate Bcl-2 family proteins, cell proliferation, and migration simultaneously triggering cell apoptosis PMID: 26438086
- Data show that ONECUT2, IGF2BP1, and ANXA2 proteins were confirmed to be microRNA-9 (miR-9) targets and aberrantly upregulated in hepatocellular carcinoma (HCC). PMID: 26547929
- annexin A2 and S100A10 expressions are powerful predictors of serous ovarian cancer outcome. PMID: 26925708
- expression of ANXA2 is associated with tumorigenesis and therapeutic resistance of nasopharyngeal carcinoma PMID: 26196246
- Anxa2 binds to STAT3 and promotes epithelial to mesenchymal transition in breast cancer. PMID: 26307676
- the role of Axna2 is instructive for understanding the development of RA, suppress the effect of Axna2 might provide a new potential measure for treatment of RA. PMID: 26963384
顯示更多
收起更多
-
亞細胞定位:Secreted, extracellular space, extracellular matrix, basement membrane. Melanosome. Note=In the lamina beneath the plasma membrane. Identified by mass spectrometry in melanosome fractions from stage I to stage IV. Translocated from the cytoplasm to the cell surface through a Golgi-independent mechanism.
-
蛋白家族:Annexin family
-
數據庫鏈接:
Most popular with customers
-
-
YWHAB Recombinant Monoclonal Antibody
Applications: ELISA, WB, IHC, IF, FC
Species Reactivity: Human, Mouse, Rat
-
-
-
-
-
-















