HDAC3 Recombinant Monoclonal Antibody
-
中文名稱:HDAC3重組抗體
-
貨號:CSB-RA906662A0HU
-
規格:¥1320
-
圖片:
-
Western Blot
Positive WB detected in: Hela whole cell lysate, HL60 whole cell lysate, U251 whole cell lysate, K562 whole cell lysate, 293T whole cell lysate
All lanes: HDAC3 antibody at 1:2000
Secondary
Goat polyclonal to rabbit IgG at 1/50000 dilution
Predicted band size: 49, 50 kDa
Observed band size: 49 kDa -
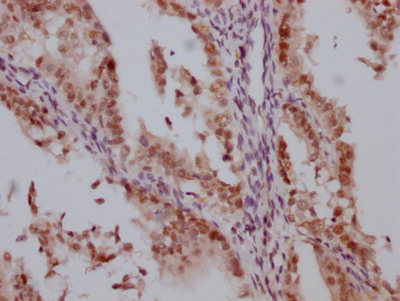
IHC image of CSB-RA906662A0HU diluted at 1:100 and staining in paraffin-embedded human endometrial cancer performed on a Leica BondTM system. After dewaxing and hydration, antigen retrieval was mediated by high pressure in a citrate buffer (pH 6.0). Section was blocked with 10% normal goat serum 30min at RT. Then primary antibody (1% BSA) was incubated at 4℃ overnight. The primary is detected by a Goat anti-rabbit IgG polymer labeled by HRP and visualized using 0.05% DAB.
-
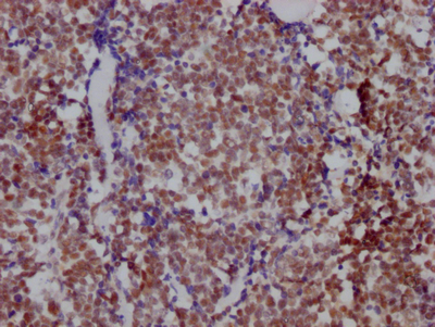
IHC image of CSB-RA906662A0HU diluted at 1:100 and staining in paraffin-embedded human lung cancer performed on a Leica BondTM system. After dewaxing and hydration, antigen retrieval was mediated by high pressure in a citrate buffer (pH 6.0). Section was blocked with 10% normal goat serum 30min at RT. Then primary antibody (1% BSA) was incubated at 4℃ overnight. The primary is detected by a Goat anti-rabbit IgG polymer labeled by HRP and visualized using 0.05% DAB.
-
-
其他:
產品詳情
-
產品描述:CSB-RA906662A0HU HDAC3重組單克隆抗體是針對組蛋白去乙酰化酶3(HDAC3)研發的高特異性檢測工具,適用于多種實驗場景。HDAC3作為表觀遺傳調控核心酶,通過催化組蛋白去乙酰化參與染色質重塑、細胞周期調控及代謝平衡等重要生物學過程,其異常表達與腫瘤發生、神經功能紊亂及代謝性疾病密切相關。本抗體經ELISA、蛋白質印跡(WB)及免疫組化(IHC)嚴格驗證,在WB實驗中可識別目標蛋白并呈現清晰條帶,推薦使用稀釋比為1:500-1:5000;在IHC應用中能精準定位組織樣本中HDAC3的亞細胞分布,推薦稀釋比為1:50-1:200。其高批次間一致性和低交叉反應性為基因表達調控、疾病機制探索及藥物靶點驗證等研究提供可靠支持,尤其適用于癌癥生物學、神經科學及代謝研究領域的基礎科研,助力研究者深入解析HDAC3在細胞分化、病理進程中的分子作用網絡。
-
Uniprot No.:
-
基因名:
-
別名:Histone deacetylase 3 (HD3) (EC 3.5.1.98) (RPD3-2) (SMAP45), HDAC3
-
反應種屬:Human
-
免疫原:A synthesized peptide derived from human HDAC3
-
免疫原種屬:Homo sapiens (Human)
-
標記方式:Non-conjugated
-
克隆類型:Monoclonal
-
抗體亞型:Rabbit IgG
-
純化方式:Affinity-chromatography
-
克隆號:4D4
-
濃度:It differs from different batches. Please contact us to confirm it.
-
保存緩沖液:Rabbit IgG in 10mM phosphate buffered saline , pH 7.4, 150mM sodium chloride, 0.05% BSA, 0.02% sodium azide and 50% glycerol.
-
產品提供形式:Liquid
-
應用范圍:ELISA, WB, IHC
-
推薦稀釋比:
Application Recommended Dilution WB 1:500-1:5000 IHC 1:50-1:200 -
Protocols:
-
儲存條件:Upon receipt, store at -20°C or -80°C. Avoid repeated freeze.
-
貨期:Basically, we can dispatch the products out in 1-3 working days after receiving your orders. Delivery time maybe differs from different purchasing way or location, please kindly consult your local distributors for specific delivery time.
-
用途:For Research Use Only. Not for use in diagnostic or therapeutic procedures.
相關產品
靶點詳情
-
功能:Responsible for the deacetylation of lysine residues on the N-terminal part of the core histones (H2A, H2B, H3 and H4), and some other non-histone substrates. Histone deacetylation gives a tag for epigenetic repression and plays an important role in transcriptional regulation, cell cycle progression and developmental events. Histone deacetylases act via the formation of large multiprotein complexes. Participates in the BCL6 transcriptional repressor activity by deacetylating the H3 'Lys-27' (H3K27) on enhancer elements, antagonizing EP300 acetyltransferase activity and repressing proximal gene expression. Probably participates in the regulation of transcription through its binding to the zinc-finger transcription factor YY1; increases YY1 repression activity. Required to repress transcription of the POU1F1 transcription factor. Acts as a molecular chaperone for shuttling phosphorylated NR2C1 to PML bodies for sumoylation. Contributes, together with XBP1 isoform 1, to the activation of NFE2L2-mediated HMOX1 transcription factor gene expression in a PI(3)K/mTORC2/Akt-dependent signaling pathway leading to endothelial cell (EC) survival under disturbed flow/oxidative stress. Regulates both the transcriptional activation and repression phases of the circadian clock in a deacetylase activity-independent manner. During the activation phase, promotes the accumulation of ubiquitinated ARNTL/BMAL1 at the E-boxes and during the repression phase, blocks FBXL3-mediated CRY1/2 ubiquitination and promotes the interaction of CRY1 and ARNTL/BMAL1. The NCOR1-HDAC3 complex regulates the circadian expression of the core clock gene ARTNL/BMAL1 and the genes involved in lipid metabolism in the liver. Serves as a corepressor of RARA, causing its deacetylation and inhibition of RARE DNA element binding. In association with RARA, plays a role in the repression of microRNA-10a and thereby in the inflammatory response. Interacts with SETD5.
-
基因功能參考文獻:
- The HDAC3 mRNA was expressed more in glioma than in the normal glial cell line. Low HDAC3 mRNA expression levels predicted better overall survival. PMID: 30053564
- in rheumatoid arthritis peripheral blood mononuclear cells, the activity and expression of HDAC3 is decreased, which is accompanied with enhanced histone acetyltransferase activity PMID: 30402512
- High HDAC3 expression is closely correlated with ER-negative expression, PR-negative expression, HER2 overexpression, PT stage, and clinical stage of breast tumors. PMID: 29680858
- these findings indicate that AKAP12 may be a potential prognostic predictor and therapeutic target for the treatment of colorectal cancer in combination with HDAC3 PMID: 29484387
- CHD5 was identified as a direct target of miR-454. CHD5 was downregulated in GC tissues/cell lines and the expresssion of CHD5 inversely correlated with the level of miR-454 in GC tissues. Taken together, these observations indicate that HDAC3 is associated with GC cell growth via the miR-454-mediated targeting of CHD5. PMID: 29115379
- DANCR associated with EZH2 and HDAC3 to epigenetically silence lncRNA-LET and then regulated gastric cancer cells migration and invasion. PMID: 28951520
- Data show there is allosteric communication between the inositol-binding site and the active sites in histone deacetylases HDAC1 and HDAC3. PMID: 27109927
- Results show that proteasomal degradation of HDAC1 and HDAC3 by Vpr counteracts HIV-1 latency to reactivate the viral promoter. PMID: 27550312
- the NCOR/HDAC3 complex is a major suppressor of differentiation in rhabdomyosarcoma PMID: 27956629
- These findings indicate the importance of developing HDAC3-selective inhibitors, and their combined use with osimertinib, for treating EGFR-mutated lung cancers carrying the BIM deletion polymorphism PMID: 27986747
- HDAC3-mediated p53 acetylation and oligomerization is induced by apoptosis caused by delphinidin in prostate cancer cells PMID: 27462923
- Knockdown of either Xist or SPEN expression in breast cancer cells suppressed the expression of PHLPP1, a phosphatase in AKT dephosphorylation, and was correlated with increased HDAC3 recruitment to the PHLPP1 promoter. PMID: 27248326
- Data show that BRCA2 was required for HDAC2/3 association with acetylated BubR1 in nocodazole (Noc)-arrested cells. PMID: 28985013
- Data show that the nuclear HDAC3 and cytoplasmic CDH1 have independent prognostic value in pancreatic cancer and provide targets for prognostic therapeutics. PMID: 26918727
- HDAC3 uniquely primes Ucp1 and the thermogenic transcriptional program to maintain a critical capacity for thermogenesis in brown adipose tissue that can be rapidly engaged upon exposure to dangerously cold temperature PMID: 28614293
- The low expression of HDAC3 and overexpession of inflammatory cytokines (IL-18, IL-12 and TNF-alpha) in intrahepatic cholestasis of pregnancy may be involved in liver cell apoptosis and in the pathophysiology of the disease. PMID: 28697498
- SNP rs14251 was found to be significant (and rs2530223 to be nominally significantly associated with the increasing risk of SCZ susceptibility in Han Chinese individuals, suggesting this gene as a potential genetic modifier for SCZ development. PMID: 27573569
- Inhibition of HDAC3 with targeted therapy could benefit treatment of the diseases associated with sGCbeta1 down-regulation and/or deficiency such as cancer and several vascular-related diseases. PMID: 27279362
- that histone deacetylase 3 interaction with MeCP2 positively regulates a subset of neuronal genes through FOXO deacetylation, and disruption of HDAC3 contributes to cognitive and social impairment PMID: 27428650
- miRNA1236 regulates hypoxia-induced epithelial-mesenchymal transformation and metastasis by repressing HDAC3 and SENP1 expression. PMID: 27177472
- class I HDACs (HDAC1, 2, 3 and 8) play a major role in regulating extracellular matrix and Epithelial-mesenchymal transition, whereas class IIa HDACs (HDAC4 and 5) are less effective. PMID: 27420561
- Histone deacetylase 3 regulates the inflammatory gene expression programme of rheumatoid arthritis fibroblast-like synoviocytes. PMID: 27457515
- Study demonstrated an association of elevated HDAC3 activity and HDAC3 mRNA expression in patients with type 2 diabetes (T2DM) which was positively correlated with proinflammation and insulin resistance. PMID: 27904654
- HDAC3 upregulation is associated with hepatocellular carcinoma. PMID: 27342975
- High HDAC3 expression is associated with pancreatic cancer. PMID: 26745602
- These findings pinpoint that TGF-beta represses miR-30d through a Smad2/3-HDAC3-NCoR repression complex and provide novel insights into a potential target for the treatment of podocyte injury-associated glomerulopathies. PMID: 26432290
- Results show the direct regulation of CAGE expression by HDAC3 and that HDAC3-CAGE axis regulates the activation of EGFR. HDAC3 targets CAGE to regulate the tumorigenic potential and angiogenic potential of cancer cells. PMID: 26883907
- HDAC3 knockdown or HDAC3 inhibition was associated with simultaneous upregulation of the expression of miR130a and downregulation of the expression of TNF1alpha in peripheral blood mononuclear cells. PMID: 26531724
- Data suggest that complexes of HDAC3-H1.3 with NCOR1 and NCOR2/SMRT accumulate on chromatin in synchronized HeLa cells in late G2 phase and mitosis; deacetylation activity of HDAC3 is activated via phosphorylation of Ser-424 by CK2 only in mitosis. PMID: 26663086
- this is the first report on the regulation mechanism of SIRT7 gene, in which, HDAC3 collaborated with C/EBPalpha to occupy its responding element in the upstream region of SIRT7 gene and repressed its expression in human cells. PMID: 26704017
- Among the class II HDACs, HDAC4 interacted with both MR and HDAC3 after aldosterone stimulation. The nuclear translocation of HDAC4 was mediated by protein kinase A (PKA) and protein phosphatases (PP) PMID: 26305553
- miR-335 exerted apoptotic effects and inhibited ubiquitination of HDAC3 in anti-cancer drug-resistant cancer cell lines. miR-335 negatively regulated the invasion, migration, and growth rate of cancer cells. PMID: 25997740
- Data suggest, in chronic hepatitis C virus infection, HDAC9 (histone deacetylase 9) induction in liver regulates hepatic gluconeogenesis and systemic insulin resistance via deacetylation of FoxO1 (Forkhead box O 1) and HDAC3 (histone deacetylase 3). PMID: 26420860
- These data suggest that HDAC3 indirectly modulates tubulin acetylation PMID: 26450925
- The inhibition of the transcriptional activity of BCL9-2 by WWOX and HDAC3 constitutes a new molecular mechanism and provides new insight for a broad range of cancers. PMID: 25678599
- These observations suggested that HDAC3 plays an important role in the pathological courses of spinal cord injury by regulating miR-130a expression PMID: 25973054
- Time-course analysis revealed that HDAC6, HDAC3, and acetylated histone H3 protein levels are significantly inhibited. PMID: 25307283
- Aberrant overexpression of HDACs in basal cells of IPF lungs may contribute to the bronchiolisation process in this disease. Similarly, generation and apoptosis resistance of IPF fibroblasts are mediated by enhanced activity of HDAC enzymes. PMID: 26359372
- Sequencing of HDAC3 revealed six single-nucleotide polymorphisms. The G allele of rs2530223 was significantly associated with the number of acute medications/month used and with the number of days/month in which medications were used PMID: 26542778
- HDAC3 is an essential target to disrupt HIV-1 latency, and inhibition of HDAC2 may also contribute to the effort to purge and eradicate latent HIV-1 infection. PMID: 25136952
- HDAC3 contributes to vasculogenic mimicry in gliomas, possibly through the PI3K/ERK-MMPs-laminin5gamma2 signaling pathway. PMID: 25940092
- our results uncovered a mechanism by which PINK1-HDAC3 network mediates p53 inhibitory loop in response to oxidative stress-induced damage. PMID: 25305081
- SOX4 interacts with EZH2 and HDAC3 to suppress microRNA-31 in invasive esophageal cancer cells. PMID: 25644061
- PML-mediated suppression of IL-6-induced STAT3 activation by disrupting interactions between STAT3 and HDAC3. PMID: 25892518
- c-Myc contributes to the epigenetic regulation of HPP1 via the dominant recruitment of HDAC3. PMID: 24919179
- Data point to HDAC3 as a potential drug target for preserving beta cells against lipotoxicity in diabetes. PMID: 25610877
- Htt aggregates impair nuclear proteasome activity through the inhibition of HDAC3 PMID: 25380050
- These results demonstrate that mutant H3K27M can be specifically identified with high specificity and sensitivity using an H3K27M antibody and immunohistochemistry to detect high-grade astrocytomas. PMID: 25200321
- Findings reveal strong expression of HDAC3 in patients with pancreatic cancer and suggest that HDAC3 participates in the pathogenesis and progression of pancreatic cancer. PMID: 25070540
- dysbindin-1 formed a protein complex with HDAC3 in human neuroblastoma cells PMID: 25196196
顯示更多
收起更多
-
亞細胞定位:Nucleus. Cytoplasm. Cytoplasm, cytosol.
-
蛋白家族:Histone deacetylase family, HD type 1 subfamily
-
組織特異性:Widely expressed.
-
數據庫鏈接:
Most popular with customers
-
-
YWHAB Recombinant Monoclonal Antibody
Applications: ELISA, WB, IHC, IF, FC
Species Reactivity: Human, Mouse, Rat
-
Phospho-YAP1 (S127) Recombinant Monoclonal Antibody
Applications: ELISA, WB, IHC
Species Reactivity: Human
-
-
-
-
-















