GBA Recombinant Monoclonal Antibody
-
中文名稱:GBA重組抗體
-
貨號:CSB-RA869334A0HU
-
規格:¥1320
-
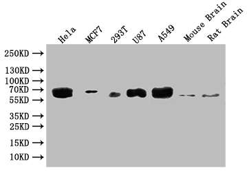
圖片:
-
其他:
產品詳情
-
產品描述:CSB-RA869334A0HU GBA重組單克隆抗體是針對葡糖腦苷脂酶(GBA)靶點開發的高特異性科研工具,適用于酶聯免疫吸附(ELISA)和蛋白質免疫印跡(WB)實驗。該抗體采用重組技術制備,具有批次間一致性強、背景信號低等優勢,其WB實驗推薦使用稀釋范圍為1:500至1:5000,經嚴格驗證可清晰識別天然及重組GBA蛋白。GBA作為溶酶體水解酶關鍵成員,參與糖脂代謝調控,其功能異常與戈謝病及帕金森病等神經退行性疾病密切相關。本產品可為研究溶酶體儲存障礙發病機制、神經退行過程中蛋白功能變化以及相關藥物靶點篩選提供可靠支持,適用于細胞模型、組織樣本或體外表達系統中的蛋白定性及半定量分析,為病理機制探索和基礎醫學研究提供高效解決方案。
-
Uniprot No.:
-
基因名:GBA
-
別名:Glucosylceramidase (EC 3.2.1.45) (Acid beta-glucosidase) (Alglucerase) (Beta-glucocerebrosidase) (Beta-GC) (D-glucosyl-N-acylsphingosine glucohydrolase) (Imiglucerase), GBA, GC GLUC
-
反應種屬:Human, Rat, Mouse
-
免疫原:A synthesized peptide derived from human GBA
-
免疫原種屬:Homo sapiens (Human)
-
標記方式:Non-conjugated
-
克隆類型:Monoclonal
-
抗體亞型:Rabbit IgG
-
純化方式:Affinity-chromatography
-
克隆號:4H4
-
濃度:It differs from different batches. Please contact us to confirm it.
-
保存緩沖液:Rabbit IgG in 10mM phosphate buffered saline , pH 7.4, 150mM sodium chloride, 0.05% BSA, 0.02% sodium azide and 50% glycerol.
-
產品提供形式:Liquid
-
應用范圍:ELISA, WB
-
推薦稀釋比:
Application Recommended Dilution WB 1:500-1:2000 -
Protocols:
-
儲存條件:Upon receipt, store at -20°C or -80°C. Avoid repeated freeze.
-
貨期:Basically, we can dispatch the products out in 1-3 working days after receiving your orders. Delivery time maybe differs from different purchasing way or location, please kindly consult your local distributors for specific delivery time.
-
用途:For Research Use Only. Not for use in diagnostic or therapeutic procedures.
相關產品
靶點詳情
-
功能:Glucosylceramidase that catalyzes, within the lysosomal compartment, the hydrolysis of glucosylceramide/GlcCer into free ceramide and glucose. Thereby, plays a central role in the degradation of complex lipids and the turnover of cellular membranes. Through the production of ceramides, participates in the PKC-activated salvage pathway of ceramide formation. Also plays a role in cholesterol metabolism. May either catalyze the glucosylation of cholesterol, through a transglucosylation reaction that transfers glucose from glucosylceramide to cholesterol. The short chain saturated C8:0-GlcCer and the mono-unsaturated C18:0-GlcCer being the most effective glucose donors for that transglucosylation reaction. Under specific conditions, may alternatively catalyze the reverse reaction, transferring glucose from cholesteryl-beta-D-glucoside to ceramide. Finally, may also hydrolyze cholesteryl-beta-D-glucoside to produce D-glucose and cholesterol.
-
基因功能參考文獻:
- Chinese type 2 Gaucher disease patients have a similar phenotype to other ethnic groups and have a high prevalence of the c.1448T>C (p.Leu483Pro) mutation and recombination alleles. PMID: 29934114
- The binding affinities of a-1-C-alkyl 1,4-dideoxy-1,4-imino-d-arabinitol (DAB) derivatives, which act as pharmacological chaperones for beta-glucocerebrosidase, abruptly increased upon elongation of their alkyl chain. In this study, the primary causes of such an increase in binding affinity were analyzed using proteinligand docking and molecular dynamics simulations. PMID: 30340368
- The POLG1 CAG repeat length variation and the GBA p.L444P variant are associated with Parkinson's disease in the Finnish population PMID: 29029963
- that GBA variant E326K may fully account for the primary association signal observed at chromosome 1q22 in previous GWAS of PD PMID: 28830825
- lipid dyshomeostasis by GBA1 deficiency leads to decreased alpha-synuclein tetramers and increased alpha-synuclein monomers, which may provide the building blocks for phospho-Ser129-positive aggregates in GBA1-Parkinson's disease induced pluripotent stem cell-derived dopaminergic neurons PMID: 29311330
- This study found that 10/13 Parkinson's disease parents had a severe mutation and only 3/10 carried a mild mutation (binomial test P < 0.05). Using an unbiased methodology, this study showed that carriers of severe GBA mutations are at higher risk for Parkinson's disease relative to carriers of the mild mutations. PMID: 27864021
- The mutation spectrum of GBA exhibits ethnic and regional disparity in Asian patients. L444P was the most frequent mutation accounted for 47.7% in southern Chinese patients. The L444P homozygote genotype was associated with severe type 1 Gaucher disease. PMID: 27865684
- These results indicated activation of Unfolded Protein Response (UPR) in different cell types derived from Gaucher disease patients, highlighting the generality of this process in this disease. They also showed that the UPR-regulated CHOP transcription factor induces transcription of the GBA1 gene. PMID: 27856178
- The aims in the present study were to validate the P338-X1 GBA kit (MRC-Holland) for Multiplex Ligation-dependent Probe Amplification (MLPA) and to detect large deletions and/or duplications in GBA1 in Gaucher disease (GD) patients from Southern Brazil. Although larger deletions/duplications do not appear to be frequent in GD, the P338-X1 GBA kit for MLPA appears to be a good method for GBA1 analysis. PMID: 27825739
- The data of this study suggested that the prominent cognitive impairment in Glucocerebrosidase (GBA)-associated Parkinson disease seems not primarily associated with specific Abeta and Tau profiles in CSF. PMID: 29094781
- This study demonstrated that GBA status appears to be an important predictor for non-motor symptom disease progression, after deep brain stimulation surgery. PMID: 28777757
- The results of this study support a connection between the loss of beta-glucocerebrosidase-1 function, cholesterol accumulation, and the disruption of cellular homeostasis in GBA1-PD. PMID: 28779532
- comparative analysis of motor and non-motor features in LRRK2 and GBA mutation carriers and non-carriers conducted in a cohort from Brazil, a country with a highly miscegenated population. Similarly to other studies, our results suggest that mutations in GBA and LRRK2 influence the clinical signs of the Parkinson's disease, with significant implications for handling of specific patient groups. PMID: 28991672
- This study showed that Lysosomal defects GBA associated familial Parkinson's disease. PMID: 28894968
- In longitudinally assessed, autopsied Parkinson disease cases, those with GBA mutations had a younger age at death but there was no evidence for clinical or neuropathological differences compared to cases without GBA mutations. PMID: 28834018
- Low Glucosylceramidase serum levels are associated with Gaucher disease. PMID: 28356566
- these findings highlight the critical role of GBA1 in mediating enhanced self-consumption of intracellular components and endomembranes, leading to autophagic cell death. PMID: 28574511
- examined the effect of heterozygous mutation status on 736 community-dwelling older adults without dementia or Parkinson's disease over an average of 6 years, 28 of whom had a single GBA mutation (primarily N370S); carriers showed greater decline in verbal memory over time;results suggest an effect, but an overall limited burden, of harboring a single GBA mutation in aging mutation carriers PMID: 28728889
- dose effect of mutations in the GBA gene on Parkinson's disease phenotype; severity of Parkinson's disease phenotype is related to the burden of GBA mutations with Gaucher disease-Parkinson's disease patients manifesting a more severe phenotype PMID: 28012950
- This study shown GBA genetic variants for Parkinson's disease are associated with the risk of incident Parkinson's disease in the general population and with impairment in daily functioning in individuals without clinical parkinsonism. PMID: 27269966
- This study showed that GBA L444P and SNCA Rep-1 were also associated with depression in Parkinson's disease. PMID: 27745782
- Parkinson's disease is associated with mutations in GBA. Ashkenazi Jews GBA carriers were singled at a significantly earlier age at diagnosis compared to noncarriers. PMID: 27449028
- GBA mutations are also an important risk factor for DLB development in the Spanish population, are associated with earlier disease onset, and are more prevalent in men. PMID: 27027900
- These results demonstrate the diagnostic usefulness of MLPA in the detection of GBA deletions and recombinations PMID: 27802905
- A novel function for glucocerebrosidase as a regulator of sterylglucoside metabolism has been summarized. (Review) PMID: 28596107
- Mutant GBA proteins cause increases in alpha-synuclein levels, while an inhibition of GBA by alpha-synuclein has been also demonstrated in Gaucher disease patients with Parkinson disease. (Review) PMID: 26965692
- GBA mutations as risk factors for PD and point to lysosomal dysfunction as a mechanism contributing to PD etiology. PMID: 27255555
- Parkinson patient who carry mutations in the GBA gene demonstrates more significant cognitive decline compared to idiopathic parkinson patients. PMID: 27401793
- Mesenchymal stem cells with reduced GBA activity are prone to apoptosis and senescence due to impaired autophagy and DNA repair capacity. PMID: 28098348
- Local lysosomal conditions may be even more critical for some mutant lysosomal hydrolases, e.g. for mutant GBA1 . In Niemann-Pick disease type C disease, characterized by the cholesterol primary storage, GlcCer secondary accumulation could be triggered by SM secondary accumulation. PMID: 28126847
- the GBA1 gene, its role in Gaucher disease, and its link with Parkinson disease (Review) PMID: 26860875
- the decrease in enzymatic activity of lysosomal hydrolases in GBA mutation carriers may contribute to Parkinson disease pathogenesis by increasing the level of neurotoxic oligomeric alpha-synuclein species. PMID: 27780739
- the important contribution of GBA (L444P and N370S) mutations to parkinsonism in Brazilian families. PMID: 27777137
- In a Flanders-Belgian cohort, carrier status of a heterozygous glucocerebrosidase (GBA) mutation was a strong genetic risk factor for Parkinson's disease (PD). The GBA mutation frequency of 4.5% is comparable to previously reported data in other European PD patient cohorts. PMID: 27397011
- Rab7 accumulated in GCase deficient cells, supporting the notion that lysosomal recycling is impaired. Since recombinant GCase can reverse ALR impairment, we anticipate that strategies to restore GCase activity in the brains of both sporadic patients with PD and those with GBA1 mutations will improve autophagy lysosomal pathway, preventing the accumulation of a-synuclein and spread of pathology. PMID: 27378698
- course of motor and non-motor symptoms as well as treatment-related motor complications could be influenced by GBA variants PMID: 28030538
- The anti-enterovirus 71 activity of GBA1 was bimodal: endogenous GBA1 restricted cell surface expression levels of scavenger receptor class B, member 2 (SCARB2), also known as lysosomal integral membrane protein 2 (LIMP-2), and exogenous recombinant GBA1 interfered with enterovirus 71 to interact with SCARB2 outside the cell. PMID: 28141506
- identified the significant associations of the GBA L444P mutation and DYRK1A rs8126696 T allele with the earlier age at onset (AAO) in Parkinson's disease (PD) patients, and the A allele at MS4A6A rs610932 with the delayed AAO of PD. PMID: 27085534
- Results suggest that GBA1 mutations confer greater risk of neuropsychiatric morbidity in Parkinson disease, and that sex may affect this association PMID: 27772789
- Although a common ancestry among Southern Italian and Swedish Norrbottnian GD patients could not be investigated, the beta glucosidase genotype [L444P]+[L444P] is the most frequently encountered in Southern Italy PMID: 28003644
- Mutations in the GBA gene pathogenic for neuropathic GD and complex alleles shift longitudinal cognitive decline in PD into "high gear." PMID: 27717005
- In the clinical continuum between PD and DLB, patients with GBA mutations seem to localize midway, with carriers of severe mutations closer to DLB than to idiopathic PD. PMID: 27632223
- GBA variants predict a more rapid progression of cognitive dysfunction and motor symptoms in patients with Parkinson's. PMID: 27571329
- Mutations in the GBA gene were associated with more severe motor and cognitive dysfunction, supporting a specific contribution of the GBA gene or lysosome function in Lewy body disease among Ashkenazi Jews. PMID: 27723861
- GBA enzyme activity in Parkinson disease patients was lower in GBA mutation carriers vs. non-GBA carriers. PMID: 26857292
- Combination of chemo drug with beta-glucosidase 1 inhibitor sensitized hepatocellular carcinoma (HCC) cells to chemotherapy. Our data support b-glucosidase 1 as a HCC biomarker due to its prognosis significance PMID: 26849828
- the study supported that GBA mutations were a risk factor for Parkinson's disease in the European population PMID: 26868973
- The clinical phenotype of GBA-associated neurodegenerative disease is more heterogeneous than previously assumed, including phenotypes not usually associated with underlying alpha-synucleinopathies. PMID: 26549049
- there has been a boom in studies investigating the role of glucocerebrosidase in the pathology of Parkinson's disease. This merits a comprehensive review of the current cell biological processes and pathological pictures involving Parkinson's disease associated with GBA mutations PMID: 26743617
- GBA mutations were found to be a common genetic risk factor for Parkinson disease in Eastern Canadian patients. PMID: 26000814
顯示更多
收起更多
-
相關疾病:Gaucher disease (GD); Gaucher disease 1 (GD1); Gaucher disease 2 (GD2); Gaucher disease 3 (GD3); Gaucher disease 3C (GD3C); Gaucher disease perinatal lethal (GDPL); Parkinson disease (PARK)
-
亞細胞定位:Lysosome membrane; Peripheral membrane protein; Lumenal side.
-
蛋白家族:Glycosyl hydrolase 30 family
-
數據庫鏈接:
Most popular with customers
-
-
YWHAB Recombinant Monoclonal Antibody
Applications: ELISA, WB, IHC, IF, FC
Species Reactivity: Human, Mouse, Rat
-
Phospho-YAP1 (S127) Recombinant Monoclonal Antibody
Applications: ELISA, WB, IHC
Species Reactivity: Human
-
-
-
-
-















