ALDOA Recombinant Monoclonal Antibody
-
中文名稱:ALDOA重組抗體
-
貨號:CSB-RA571479A0HU
-
規格:¥1320
-
圖片:
-
Western Blot
Positive WB detected in: Hela whole cell lysate, HepG2 whole cell lysate, NIH/3T3 whole cell lysate, A549 whole cell lysate, Mouse Liver whole cell lysate, Rat Liver whole cell lysate
All lanes: Aldolase antibody at 1:1000
Secondary
Goat polyclonal to rabbit IgG at 1/50000 dilution
Predicted band size: 40, 46 kDa
Observed band size: 40 kDa -
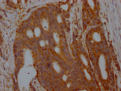
IHC image of CSB-RA571479A0HU diluted at 1:100 and staining in paraffin-embedded human colon cancer performed on a Leica BondTM system. After dewaxing and hydration, antigen retrieval was mediated by high pressure in a citrate buffer (pH 6.0). Section was blocked with 10% normal goat serum 30min at RT. Then primary antibody (1% BSA) was incubated at 4℃ overnight. The primary is detected by a Goat anti-rabbit IgG polymer labeled by HRP and visualized using 0.05% DAB.
-
Immunofluorescence staining of Hela Cells with CSB-RA571479A0HU at 1:50, counter-stained with DAPI. The cells were fixed in 4% formaldehyde, permeated by 0.2% TritonX-100, and blocked in 10% normal Goat Serum. The cells were then incubated with the antibody overnight at 4℃. Nuclear DNA was labeled in blue with DAPI. The secondary antibody was FITC-conjugated AffiniPure Goat Anti-Rabbit IgG (H+L).
-
-
其他:
產品詳情
-
產品描述:ALDOA重組單克隆抗體(產品編號CSB-RA571479A0HU)是針對果糖二磷酸醛縮酶A(Aldolase A)研發的高特異性科研用抗體。ALDOLA是糖酵解通路的關鍵酶,參與細胞能量代謝調控,其表達異常與腫瘤增殖、代謝性疾病及肌肉相關病理過程密切相關。本抗體采用重組表達技術制備,經多種實驗驗證顯示優異性能:在Western Blot中能清晰檢測目標蛋白條帶,推薦使用稀釋比為1:500-1:5000;免疫組化(IHC)實驗在1:50-1:200范圍內可準確顯示組織樣本中ALDOLA的定位分布;免疫熒光(IF)在1:20-1:200稀釋條件下呈現高信噪比的亞細胞定位信號,同時適用于ELISA檢測。適用于研究糖代謝重編程機制、腫瘤微環境能量供給、肌肉相關疾病模型等科研領域,為體外培養細胞、動物模型組織切片及蛋白樣本的分析提供可靠工具。該抗體具有批次穩定性高、交叉反應性低的特點,適用于多平臺實驗的標準化需求。
-
Uniprot No.:
-
基因名:
-
別名:Fructose-bisphosphate aldolase A (EC 4.1.2.13) (Lung cancer antigen NY-LU-1) (Muscle-type aldolase), ALDOA, ALDA
-
反應種屬:Human, Mouse, Rat
-
免疫原:A synthesized peptide derived from human Aldolase
-
免疫原種屬:Homo sapiens (Human)
-
標記方式:Non-conjugated
-
克隆類型:Monoclonal
-
抗體亞型:Rabbit IgG
-
純化方式:Affinity-chromatography
-
克隆號:7D8
-
濃度:It differs from different batches. Please contact us to confirm it.
-
保存緩沖液:Rabbit IgG in 10mM phosphate buffered saline , pH 7.4, 150mM sodium chloride, 0.05% BSA, 0.02% sodium azide and 50% glycerol.
-
產品提供形式:Liquid
-
應用范圍:ELISA, WB, IHC, IF
-
推薦稀釋比:
Application Recommended Dilution WB 1:500-1:5000 IHC 1:50-1:200 IF 1:20-1:200 -
Protocols:
-
儲存條件:Upon receipt, store at -20°C or -80°C. Avoid repeated freeze.
-
貨期:Basically, we can dispatch the products out in 1-3 working days after receiving your orders. Delivery time maybe differs from different purchasing way or location, please kindly consult your local distributors for specific delivery time.
-
用途:For Research Use Only. Not for use in diagnostic or therapeutic procedures.
相關產品
靶點詳情
-
功能:Plays a key role in glycolysis and gluconeogenesis. In addition, may also function as scaffolding protein.
-
基因功能參考文獻:
- Results showed that ALDOA was upregulated in renal cell carcinoma (RCC) samples and cell lines and significantly associated with metastasis and survival. Overall, data revealed that ALDOA functions as a tumor promoter, plays a prominent role in proliferation, migration, and invasion of RCC cells with high expression, and may promote EMT and activate the Wnt/betacatenin signaling pathway. PMID: 29693182
- The results indicate that ALDOA and PGK1 may indicate resistance to cisplatin in osteosarcoma PMID: 29199648
- Knockdown of ALDOA in QBC939 and RBE cells attenuated the cell proliferation and induced a higher apoptosis rate. PMID: 30121648
- Silencing aldolase A suppressed colon cancer cell proliferation and invasion and inhibited the epithelial-mesenchymal transition phenotype. Aldolase A protein expression in colon cancer was related to tumor location, tumor clinical stage and survival. PMID: 29453983
- mir-122 and its targets G6PC3, ALDOA and CS play roles in the hypoxia responses that regulate glucose and energy metabolism and can serve as hypoxia biomarkers. PMID: 27793029
- Aldolase A promotes lung cancer metastasis via PHD-mediated stabilization of HIF-1alpha and the subsequent activation of MMP9. PMID: 28610954
- Findings show that ALDOA expression is up-regulated in colorectal cancer (CRC) and is a hypoxia-inducible prognostic factor that is closely related to CRC malignancy. PMID: 28000858
- Overexpression of ALDOA is associated with colorectal cancer. PMID: 27468721
- In vitro and in vivo results demonstrated that ALDOA was associated with proliferation and metastasis of pancreatic cancer cells. PMID: 26854714
- Study shows that PI3K directly coordinates glycolysis with cytoskeletal dynamics in an AKT-independent manner. Growth factors or insulin stimulate the PI3K-dependent activation of Rac, leading to disruption of the actin cytoskeleton, release of filamentous actin-bound aldolase A, and an increase in aldolase activity. PMID: 26824656
- Our results expand the clinical spectrum of aldolase A deficiency to isolated temperature-dependent rhabdomyolysis, and suggest that thermolability may be tissue specific. We also propose a treatment for this severe disease PMID: 25392908
- Study provides evidence supporting a critical functional role of ALDOA in osteosarcoma progression, metastasis and perhaps chemoresistance. PMID: 25215901
- ALDOC, Aldolase A (ALDOA) and Aldolase B (ALDOB) activate Wnt signaling. PMID: 24993527
- ALDOA is highly expressed in lung squamous cell carcinoma (LSCC) and its expression level is correlated with LSCC metastasis, grades, differentiation status and poor prognosis. PMID: 24465716
- The expression of ALDOA and/or SULT1A3 is significantly higher. PMID: 22949271
- The results presented here point to ALDA as a factor involved in the regulation of cells proliferation. PMID: 23886627
- The new prognostic biomarkers GRP78, Fructose-bisphosphate Aldolase A (ALDOA), Carbonic Anhydrase I (CA1) and Peptidyl-prolyl cis-trans isomerase A or Cyclophilin A (PPIA)) provided good survival prediction for TNM stage I-IV patients. PMID: 22996014
- ALDOA is a target gene of the BACH1 transcription factor according to ChIP-seq analysis in HEK 293 cells. PMID: 21555518
- Data that aldolase forms a complex with ARNO/Arf6 and the V-ATPase and that it may contribute to remodeling of the actin cytoskeleton. PMID: 21307348
- Posttranslational nitration of aldolase A may be an important pathway that regulates mast cell phenotype and function. PMID: 20511553
- ALDOA is involved in keratinocyte migration following the induction of lamellipodia formation, and ALDOA-related migration is enhanced by EGF PMID: 20362419
- melanoma antigen expressed in G361, a representative melanoma cell line/ reacted with autoantibodies in patient sera PMID: 20181627
- Gly346 is crucial for the correct conformation and function of aldolase A, because it governs the entry/release of the substrates into/from the enzyme cleft, and/or allows important C-terminal residues to approach the active site. PMID: 14766013
- The existence of highly AMP-sensitive muscle-like FBPase, activity of which is regulated by metabolite-dependent interaction with aldolase enables the precise regulation of muscle energy expenditures. PMID: 18214967
- Results identify VDAC2 and aldolase A as membrane proteins of K562 cells with increased expression under iron deprivation. PMID: 18278581
- Aldolase A may play a role in the radio-response of human cells, probably in nuclei, in addition to its glycolytic role in the cytosol. PMID: 18328256
- ZNF224 recruits the arginine methyltransferase PRMT5 on the transcriptional repressor complex of the aldolase A gene PMID: 19741270
顯示更多
收起更多
-
相關疾病:Glycogen storage disease 12 (GSD12)
-
亞細胞定位:Cytoplasm, myofibril, sarcomere, I band. Cytoplasm, myofibril, sarcomere, M line.
-
蛋白家族:Class I fructose-bisphosphate aldolase family
-
數據庫鏈接:
Most popular with customers
-
-
YWHAB Recombinant Monoclonal Antibody
Applications: ELISA, WB, IHC, IF, FC
Species Reactivity: Human, Mouse, Rat
-
Phospho-YAP1 (S127) Recombinant Monoclonal Antibody
Applications: ELISA, WB, IHC
Species Reactivity: Human
-
-
-
-
-















