ACVRL1 Recombinant Monoclonal Antibody
-
中文名稱:ACVRL1重組抗體
-
貨號:CSB-RA555022A0HU
-
規格:¥1320
-
圖片:
-
Western Blot
Positive WB detected in: Daudi whole cell lysate, U87 whole cell lysate
All lanes: ACVRL1 antibody at 1:2000
Secondary
Goat polyclonal to rabbit IgG at 1/50000 dilution
Predicted band size: 57 kDa
Observed band size: 65 kDa -
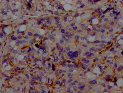
IHC image of CSB-RA555022A0HU diluted at 1:100 and staining in paraffin-embedded human liver cancer performed on a Leica BondTM system. After dewaxing and hydration, antigen retrieval was mediated by high pressure in a citrate buffer (pH 6.0). Section was blocked with 10% normal goat serum 30min at RT. Then primary antibody (1% BSA) was incubated at 4℃ overnight. The primary is detected by a Goat anti-rabbit IgG polymer labeled by HRP and visualized using 0.05% DAB.
-
-
其他:
產品詳情
-
產品描述:CSB-RA555022A0HU ACVRL1重組單克隆抗體是針對激活素受體樣激酶1(ACVRL1/ALK1)研發的高特異性檢測工具。該抗體識別的靶蛋白ACVRL1是TGF-β超家族的重要成員,作為I型跨膜受體參與調控血管生成和內皮細胞功能,其功能異常與遺傳性出血性毛細血管擴張癥(HHT)及肺動脈高壓等疾病密切相關。經多種技術平臺驗證,本抗體在Western Blot中可清晰識別目標蛋白,在免疫組化中能準確顯示組織樣本中ACVRL1的定位表達,同時在ELISA體系中展現出穩定可靠的檢測性能,推薦工作濃度分別為WB 1:500-1:5000、IHC 1:50-1:200。該重組單克隆抗體采用先進技術制備,具有高親和力和嚴格的批次間一致性,適用于探索血管發育調控機制、內皮細胞信號轉導研究以及相關疾病模型的分子機制解析等科研領域,為研究TGF-β/BMP信號通路及血管相關疾病提供優質實驗材料。
-
Uniprot No.:
-
基因名:
-
別名:ACVRL1; ACVRLK1; ALK1; Serine/threonine-protein kinase receptor R3; SKR3; Activin receptor-like kinase 1; ALK-1; TGF-B superfamily receptor type I; TSR-I
-
反應種屬:Human,Rat,Mouse
-
免疫原:A synthesized peptide derived from human ACVRL1
-
免疫原種屬:Homo sapiens (Human)
-
標記方式:Non-conjugated
-
克隆類型:Monoclonal
-
抗體亞型:Rabbit IgG
-
純化方式:Affinity-chromatography
-
克隆號:8B6
-
濃度:It differs from different batches. Please contact us to confirm it.
-
保存緩沖液:Rabbit IgG in 10mM phosphate buffered saline , pH 7.4, 150mM sodium chloride, 0.05% BSA, 0.02% sodium azide and 50% glycerol.
-
產品提供形式:Liquid
-
應用范圍:ELISA, WB, IHC
-
推薦稀釋比:
Application Recommended Dilution WB 1:500-1:5000 IHC 1:50-1:200 -
Protocols:
-
儲存條件:Upon receipt, store at -20°C or -80°C. Avoid repeated freeze.
-
貨期:Basically, we can dispatch the products out in 1-3 working days after receiving your orders. Delivery time maybe differs from different purchasing way or location, please kindly consult your local distributors for specific delivery time.
-
用途:For Research Use Only. Not for use in diagnostic or therapeutic procedures.
相關產品
靶點詳情
-
功能:Type I receptor for TGF-beta family ligands BMP9/GDF2 and BMP10 and important regulator of normal blood vessel development. On ligand binding, forms a receptor complex consisting of two type II and two type I transmembrane serine/threonine kinases. Type II receptors phosphorylate and activate type I receptors which autophosphorylate, then bind and activate SMAD transcriptional regulators. May bind activin as well.
-
基因功能參考文獻:
- Heterozygous SNP, rs372023206, was found in all tested patients with idiopathic pulmonary hypertension (heterozygosity). PMID: 29350394
- ENG, ACVRL1, and SMAD4 mutations result in different phenotypes in hereditary hemorrhagic telangiectasia PMID: 30251589
- ENG mutation carriers were more likely than ACVRL1 mutation carriers to have pAVMs (P < 0.001) or multiple lesions (P = 0.03), and to undergo procedural intervention (P = 0.02). The HHT severity score was significantly higher in ENG than in ACVRL1 (P = 0.02). PMID: 29048420
- These studies identified pathways mediating LDLR-independent uptake of LDL may provide unique opportunities to block the initiation of LDL accumulation in the vessel wall or augment hepatic LDLR-dependent clearance of LDL. PMID: 27869117
- We have identified a novel role for ALK1 in cardiac remodeling PMID: 28820968
- The present study showed that deletion-duplication mutations in the BMPR2 or ACVRL1 genes may not be associated with non-regression of Pulmonary arterial hypertension. PMID: 28290170
- Study identified 2 non-synonymous missense mutations: c.C652T, p.R218W in ACVRL1, c.C717G, p.D239E in SGCD in Chinese population with total anomalous pulmonary venous return. PMID: 28412737
- Mutations in ACVRL1 gene encoding for transforming growth factor (TGF)-[beta] superfamily have been identified in Pulmonary Arterial Hypertension. PMID: 28582316
- Treatment-related telangiectasia was noted in 7% of patients, suggesting in vivo inhibition of the ALK-1 pathway. PMID: 26655846
- Data indicate that simultaneous targeting of molecules that control distinct phases of angiogenesis, such as ALK1 and VEGFR, is a valid strategy for treatment of metastatic renal cell carcinoma (mRCC). PMID: 27248821
- Study showed that rs706819, rs2293094, and rs11169953 polymorphisms in the ACVRL1 gene are associated with higher susceptibility to brain arteriovenous malformations. PMID: 28927913
- c.1027C > T(p.Gln343) mutation within the ACVRL1 gene in family with hereditary hemorrhagic telangiectasia PMID: 27381467
- Bone morphogenetic protein (BMP)9 and BMP10 are high affinity ligands for activin receptor-like kinase 1 (ALK1). PMID: 27528761
- Activin receptor-like kinase (ALK)1 is a transforming growth factor beta (TGF-beta) type I receptor predominantly expressed in actively proliferating endothelial cells (ECs). PMID: 27528762
- Two novel missense mutations and two recurrent mutations in the ACVRL1 gene are associated with pulmonary arterial hypertension in in Chinese families. PMID: 27316748
- ALK1 expression and microvessel density are increased in oral lichen planus , particularly in atrophic/erosive OLP type. PMID: 26662187
- The genetic-interactions among BMPR-2, ALK-1, and 5-HTT polymorphisms, elevated BMP-2 and 5-HT levels and differential gene expression substantiated the strong genetic contribution in high altitude pulmonary edema pathophysiology. PMID: 27196063
- Study of four patients with pulmonary arterial hypertension associated with human immunodeficiency virus infection found predisposing mutations in the BMPR2, ACVRL1 and ENG genes. PMID: 26897508
- The preponderance of ACVRL1 mutations was due to founder mutations, specifically, c.830C>A (p.Thr277Lys), which was found in 24 families from the same geographical area of Norway. PMID: 25970827
- Report interaction between ALK1 signaling and connexin40 in the development of arteriovenous malformations. PMID: 26821948
- Short hairpin-mediated downregulation of either ALK5 or ALK1 resulted in a strong inhibition of TGFbeta-induced chondrogenesis. PMID: 26720610
- This work was designed to examine the pathogenicity of 23 nucleotide variations in ACVRL1 gene detected in more than 400 Hereditary Hemorrhagic Telangiectasia syndrome patients. PMID: 26176610
- The ACVRL1 c.314-35A>G polymorphism is associated with organ vascular malformations in hereditary hemorrhagic telangiectasia patients with ENG mutations, but not in patients with ACVRL1 mutations. PMID: 25847705
- bone morphogenic proteins within the serum of cell culture medium are potent inducers of endothelial Hey1 and Hey2 gene expression within the first few hours after medium change PMID: 25799559
- endoglin and ALK1 have been identified as potential therapeutic targets for antibody treatment in various cancers. PMID: 25279424
- Mutations in ACVRL1 gene is not associated with pulmonary arterial hypertension. PMID: 24936649
- In chronic subdural hematomas, the expression of ALK-1 was slightly increased in the dura and markedly up-regulated in the outer membrane. PMID: 24305026
- P7170 inhibited the phosphorylation of AKT1. PMID: 25466244
- Endoglin and ACVRL1 contribute to several novel networks, including TGF-beta dependent and independent ones, critical for vascular function and potentially defective in hereditary hemorrhagic telangiectasia. PMID: 24319055
- Results do not replicate the association between polymorphism in ACVRL1 protein and BAVM in this Dutch population. PMID: 24323303
- Results show that mutations of ACVRL-1 protein is a genetic predisposing factor for HHT associated PH in Chinese patients PMID: 23919827
- Consistent with the aberrant upregulation of ACVRL1 and downstream Smad signaling, abrogation of EDD led to deregulated vessel development and endothelial cell motility. PMID: 24189493
- shows role of ALK-1 in many process related to cardiovascular homeostasis, and the involvement of this protein in the development of cardiovascular diseases, suggesting the possibility of using the ALK-1/smad-1 pathway as a powerful therapeutic target PMID: 23707512
- A novel intron mutation in ACVRL1 gene is associated with familial hereditary hemorrhagic telangiectasia. PMID: 23460919
- The balance in signalling through either ALK-1 or ALK-5 regulates leptin expression in mesenchymal stem cells. PMID: 22087763
- ACVRL1 gene expression is significantly corellated with advanced tumor stages and it is a useful marker for prognosis. PMID: 23447486
- Defective trafficking and retention in the endoplasmic reticulum of mutant ALK1 protein is a possible mechanism of hereditary haemorrhagic telangiectasia type 2 in some patients. PMID: 23124896
- ALK1 is upregulated in endothelial cells during vascular injury by a synergistic cooperative mechanism between KLF6 and specificity protein 1. PMID: 23048070
- Alk1 interacts with cav-1 in human dermal fibroblasts and Transforming Growth Factor beta enhances this association. PMID: 22277251
- Inheritance of ACVRL1 single nucleotide polymorphisms marginally contributed to the risk of cutaneous telangiectasiae. PMID: 22677372
- The abnormal expression of ALK1 and TGFbR2 were found to be independent contributors to nasopharyngeal carcinogenesis. PMID: 22391627
- Patients with childhood idiopathic pulmonary arterial hypertension or heritable pulmonary arterial hypertension with ALK1 mutation carriers tended to have worse outcomes than mutation noncarriers. PMID: 22632830
- The structure reveals that the high specificity of ALK1 for BMP9/10 is determined by a novel orientation of ALK1 with respect to BMP9, which leads to a unique set of receptor-ligand interactions PMID: 22718755
- Alk1 extracellular domain binds with high affinity to BMP-9. PMID: 22799562
- data suggest that both the VEGF/VEGF receptor and the BMP9/ALK1 pathways are essential for stimulating angiogenesis, and targeting both pathways simultaneously may be an attractive strategy to overcome resistance to antiangiogenesis therapy PMID: 22493445
- PTPN14 has a role in angiogenesis and/or arteriovenous fate, acting via EphrinB2 and ACVRL1/activin receptor-like kinase 1 PMID: 22233626
- Two angiogenesis-associated transcripts (Egfl7 and Acvrl1) showed lower expression in early-onset PE versus late-onset pre-eclampsia and versus gestational age-matched controls. PMID: 22013081
- insight into the potential structure of ALK1(EC) and into the structural effects of type 2 Hereditary Haemorrhagic Telangiectasia associated mutations PMID: 22028876
- A novel endoglin mutation (c.1-127C > T); and a novel ACVRL1 mutation (c.252_253insC; p.Val85fsX168). It was shown for the first time that a 5'-UTR mutation can prevent translation of endoglin among hereditary hemorrhagic telangiectasia patients. PMID: 21967607
- Studies indicate that mutations in at least five genes are thought to result in hereditary hemorrhagic telangiectasia, but mutations in ENG and ACVRL1/ALK1 cause approximately 85% of cases. PMID: 21546842
顯示更多
收起更多
-
相關疾病:Telangiectasia, hereditary hemorrhagic, 2 (HHT2)
-
亞細胞定位:Cell membrane; Single-pass type I membrane protein.
-
蛋白家族:Protein kinase superfamily, TKL Ser/Thr protein kinase family, TGFB receptor subfamily
-
數據庫鏈接:
Most popular with customers
-
-
Phospho-YAP1 (S127) Recombinant Monoclonal Antibody
Applications: ELISA, WB, IHC
Species Reactivity: Human
-
-
-
-
-
-















