VAV2 Recombinant Monoclonal Antibody
-
中文名稱:VAV2 Recombinant Monoclonal Antibody
-
貨號:CSB-RA876906A0HU
-
規格:¥1320
-
圖片:
-
Western Blot
Positive WB detected in: HepG2 whole cell lysate(30μg), HeLa whole cell lysate(30μg), U-251MG whole cell lysate(30μg), HT-29 whole cell lysate(30μg), A431 whole cell lysate(30μg), Mouse liver tissue lysate(30μg)
All lanes: VAV2 antibody at 1:1000
Secondary
Goat polyclonal to rabbit IgG at 1/40000 dilution
Predicted band size: 101 kDa
Observed band size: 101 kDa
Exposure time:1min -
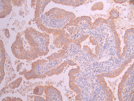
IHC image of CSB-RA876906A0HU diluted at 1:100 and staining in paraffin-embedded human endometrial cancer/endometrial carcinoma performed on a Leica BondTM system. After dewaxing and hydration, antigen retrieval was mediated by high pressure in a citrate buffer (pH 6.0). Section was blocked with 10% normal goat serum 30min at RT. Then primary antibody (1% BSA) was incubated at 4°C overnight. The primary is detected by a Goat anti-rabbit polymer IgG labeled by HRP and visualized using 0.05% DAB.
-
Overlay Peak curve showing Hela cells stained with CSB-RA876906A0HU (red line) at 1:100. The cells were fixed in 4% formaldehyde and permeated by 0.2% TritonX-100 for 10min. Then 10% normal goat serum to block non-specific protein-protein interactions followed by the antibody (1ug/1*106cells) for 45min at 4℃. The secondary antibody used was FITC-conjugated goat anti-rabbit IgG (H+L) at 1/200 dilution for 35min at 4℃.Control antibody (green line) was Rabbit IgG (1ug/1*106cells) used under the same conditions. Acquisition of >10,000 events was performed.
-
-
其他:
產品詳情
-
Uniprot No.:
-
基因名:
-
別名:Guanine nucleotide exchange factor VAV2 (VAV-2), VAV2
-
反應種屬:Human, Mouse
-
免疫原:A synthesized peptide from human VAV2 protein
-
免疫原種屬:Homo sapiens (Human)
-
標記方式:Non-conjugated
-
克隆類型:Monoclonal
-
抗體亞型:Rabbit IgG
-
純化方式:Affinity-chromatography
-
克隆號:5B10
-
濃度:It differs from different batches. Please contact us to confirm it.
-
保存緩沖液:Preservative: 0.03% Proclin 300
Constituents: 50% Glycerol, 0.01M PBS, PH 7.4 -
產品提供形式:Liquid
-
應用范圍:ELISA, WB, IHC, FC
-
推薦稀釋比:
Application Recommended Dilution WB 1:500-1:2000 IHC 1:50-1:200 FC 1:50-1:200 -
Protocols:
-
儲存條件:Upon receipt, store at -20°C or -80°C. Avoid repeated freeze.
-
貨期:Basically, we can dispatch the products out in 1-3 working days after receiving your orders. Delivery time maybe differs from different purchasing way or location, please kindly consult your local distributors for specific delivery time.
-
用途:For Research Use Only. Not for use in diagnostic or therapeutic procedures.
相關產品
靶點詳情
-
功能:Guanine nucleotide exchange factor for the Rho family of Ras-related GTPases. Plays an important role in angiogenesis. Its recruitment by phosphorylated EPHA2 is critical for EFNA1-induced RAC1 GTPase activation and vascular endothelial cell migration and assembly.
-
基因功能參考文獻:
- VAV2 polymorphisms associate with cardiovascular risk factors and target organ damage. PMID: 28157227
- Study found that Vav2, is overexpressed in human prostate cancer and enhanced AR and AR splicing variant activity. PMID: 28811363
- High VAV2 expression is associated with breast cancer. PMID: 26910843
- Manipulating steroidogenic factor-1 (SF-1) and nucleotide exchange factor VAV-2 (VAV2) abundance in cultured adrenocortical carcinoma (ACC) cells indicate that VAV2 was a critical factor for SF-1-induced cytoskeletal remodeling and invasion in culture and in vivo (chicken chorioallantoic membrane) models. PMID: 28270555
- Data indicate that phosphorylated cortactin recruits Vav2 to activate Rac3 and promote invadopodial maturation in invasive breast cancer cells. PMID: 28356423
- autocrine VEGF and IL-8 promoted endothelial cell migration via the Src/Vav2/Rac1/PAK1 signaling pathway. PMID: 28278510
- We concluded that Vav2 might promote invasion and metastasis of gastric cancer by regulating some invasion and metastasis-related genes. PMID: 28459214
- work suggested that EphB3 acted as a tumor promoter in Papillary Thyroid Cancer by increasing the in vitro migration as well as the in vivo metastasis of Papillary Thyroid Cancer cells through regulating the activities of Vav2 and Rho GTPases in a kinase-dependent manner. PMID: 27986811
- The crystal structure of the complex between a phosphorylated PPxY motif of TXNIP and the SH2 domain of Vav2 reveals a conserved recognition mechanism. PMID: 26919541
- Our data provide the first evidence to implicate VAV2 in glucose-induced Rac1 activation, actin remodelling and glucose-stimulated insulin secretion in pancreatic beta cells. PMID: 26224100
- VAV2 is required for Met signaling in the perinuclear endosome. PMID: 24835487
- Authors propose a model whereby vimentin promotes FAK stabilization through VAV2-mediated Rac1 activation. This model may explain why vimentin expressing metastatic lung cancer cells are more motile and invasive. PMID: 24858039
- Data suggest a coordination between paxillin kinase linker (PKL)/Vav2 signaling and PKL/beta-PIX signaling during cell migration. PMID: 23615439
- the guanine nucleotide exchange factor (GEF) Vav2 is identified as a candidate partner for KCC3. PMID: 23724134
- Two variants of VAV2 and VAV3, rs2156323 and rs2801219, respectively, were identified in Japanese patients with primary open angle glaucoma, normal tension glaucoma, and developmental glaucoma. PMID: 23402756
- Upregulation of Rac1 activity by Wnt3a temporally correlated with enhanced p120-catenin binding to Rac1 and Vav2. PMID: 22946057
- Studies indicate relevance of P-Rex1 and P-Rex2a, in breast tumorigenesis, and suggest that the exchange factors Vav2 and Vav3 play synergistic roles in breast cancer by sustaining tumor growth, neoangiogenesis, and metastasis. PMID: 23033535
- Data indicate that Vav2 and Vav3 controlled a vast transcriptional program in breast cancer cells through mechanisms that were shared between the two proteins, isoform-specific or synergistic. PMID: 23033540
- The structural basis for the interaction between Arap3 and Vav2, hydrophobic pockets and binding specificity. PMID: 22750419
- VAV2 specifically interacts with activated Galpha(q) but not with Galpha(s) subunits, competing with parathyroid hormone receptor for coupling to Galpha(q). PMID: 22554804
- Type IV pili producing Neisseria gonorrhoeae triggers a phosphotyrosine-dependent Cav1-Vav2-RhoA signaling cascade that elicits cytoskeletal rearrangements and effectively impedes bacterial uptake into host cells. PMID: 20808760
- VAV2 has been identified as a candidate gene in a genome-wide association study of German multiple sclerosis patients. PMID: 20598377
- present data indicate a lack of involvement of variations in NTF4, VAV2, and VAV3 with glaucoma pathogenesis in an Indian population. PMID: 20463313
- Data strongly suggest that VAV2 and VAV3 genes are susceptibility loci in Japanese primary open-angle glaucoma. PMID: 20140222
- Together, we suggest that balanced Vav2 activity is necessary for optimal neurite outgrowth and promotes branching by targeting GEF activity to branch points. PMID: 20298788
- Vav2 can regulate growth factors receptor signalling by slowing receptor internalization and degradation through its interaction with endosome-associated proteins. PMID: 20140013
- Interaction of L2 with Vav2 was mediated by the N-terminus of L2 and independent of the N-terminus of Vav2. PMID: 19451809
- RhoA knockdown intensified the Vav2-induced disruption of acini, leading to more aggressive cell outgrowth and branching morphogenesis. PMID: 19826000
- Critical but distinct roles for the pleckstrin homology and cysteine-rich domains as positive modulators of Vav2 signaling and transformation. PMID: 11909943
- Vav2 and Tiam1 may act as downstream effectors of Src, thereby regulating Rac1-dependent pathways that participate in Src-induced cell transformation PMID: 12810717
- Rap1 promotes cell spreading by localizing a subset of Rac GEFs to sites of active lamellipodia extension PMID: 15479739
- Vav2-mediated nucleotide exchange of Rho GTPases follows the Theorell-Chance catalytic mechanism in which Vav2.Rho GTPase complex is the major species during the exchange process and Vav2.GDP-Mg2+.Rho GTPase ternary complex is present only transiently. PMID: 15850391
- The EGFR/Vav2/Rac1 axis is a crucial pathway for the acquisition of motile and invasive properties of most head and neck squamous cell carcinoma cells. PMID: 17234718
- Vav2 acts downstream of VEGF to activate Rac1. PMID: 17686471
- IMC-C225 cross-links integrins with EGFR, leading to Vav2-dependent activation of RhoA PMID: 18829495
- Vav2 is a GDP/GTP exchange factor (GEF) for Rac in vivo. PMID: 11448999
顯示更多
收起更多
-
組織特異性:Widely expressed.
-
數據庫鏈接:
Most popular with customers
-
-
YWHAB Recombinant Monoclonal Antibody
Applications: ELISA, WB, IHC, IF, FC
Species Reactivity: Human, Mouse, Rat
-
Phospho-YAP1 (S127) Recombinant Monoclonal Antibody
Applications: ELISA, WB, IHC
Species Reactivity: Human
-
-
-
-
-















