TARDBP Recombinant Monoclonal Antibody
-
中文名稱:TARDBP Recombinant Monoclonal Antibody
-
貨號:CSB-RA588229A0HU
-
規格:¥1320
-
圖片:
-
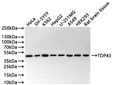
Western Blot
Positive WB detected in: HeLa whole cell lysate(30μg), SH-SY5Y whole cell lysate(30μg), K562 whole cell lysate(30μg), HepG2 whole cell lysate(30μg), U-251MG whole cell lysate(30μg), A549 whole cell lysate(30μg), HEK293 whole cell lysate(30μg), Rat brain tissue lysate(30μg)
All lanes: TDP43 antibody at 1:1000
Secondary
Goat polyclonal to rabbit IgG at 1/50000 dilution
Predicted band size: 45 kDa
Observed band size: 45 kDa
Exposure time: 2min -
IHC image of CSB-RA588229A0HU diluted at 1:100 and staining in paraffin-embedded human glioma cancer performed on a Leica BondTM system. After dewaxing and hydration, antigen retrieval was mediated by high pressure in a citrate buffer (pH 6.0). Section was blocked with 10% normal goat serum 30min at RT. Then primary antibody (1% BSA) was incubated at 4°C overnight. The primary is detected by a Goat anti-rabbit polymer IgG labeled by HRP and visualized using 0.05% DAB.
-
Overlay Peak curve showing Hela cells stained with CSB-RA588229A0HU (red line) at 1:100. The cells were fixed in 4% formaldehyde and permeated by 0.2% TritonX-100 for 10min. Then 10% normal goat serum to block non-specific protein-protein interactions followed by the antibody (1ug/1*106cells) for 45min at 4℃. The secondary antibody used was FITC-conjugated goat anti-rabbit IgG (H+L) at 1/200 dilution for 35min at 4℃.Control antibody (green line) was Rabbit IgG (1ug/1*106cells) used under the same conditions. Acquisition of >10,000 events was performed.
-
-
其他:
產品詳情
-
Uniprot No.:
-
基因名:
-
別名:ALS10 antibody; OTTHUMP00000002171 antibody; OTTHUMP00000002172 antibody; OTTHUMP00000002173 antibody; TADBP_HUMAN antibody; TAR DNA binding protein 43 antibody; TAR DNA binding protein antibody; TAR DNA-binding protein 43 antibody; TARDBP antibody; TDP 43 antibody; TDP-43 antibody; TDP43 antibody
-
反應種屬:Human, Rat
-
免疫原:A synthesized peptide derived from human TARDBP
-
免疫原種屬:Homo sapiens (Human)
-
標記方式:Non-conjugated
-
克隆類型:Monoclonal
-
抗體亞型:Rabbit IgG
-
純化方式:Affinity-chromatography
-
克隆號:6B3
-
濃度:It differs from different batches. Please contact us to confirm it.
-
保存緩沖液:Rabbit IgG in 10mM phosphate buffered saline , pH 7.4, 150mM sodium chloride, 0.05% BSA, 0.02% sodium azide and 50% glycerol.
-
產品提供形式:Liquid
-
應用范圍:ELISA, WB, IHC, FC
-
推薦稀釋比:
Application Recommended Dilution WB 1:500-1:2000 IHC 1:50-1:200 FC 1:50-1:200 -
Protocols:
-
儲存條件:Upon receipt, store at -20°C or -80°C. Avoid repeated freeze.
-
貨期:Basically, we can dispatch the products out in 1-3 working days after receiving your orders. Delivery time maybe differs from different purchasing way or location, please kindly consult your local distributors for specific delivery time.
-
用途:For Research Use Only. Not for use in diagnostic or therapeutic procedures.
相關產品
靶點詳情
-
功能:RNA-binding protein that is involved in various steps of RNA biogenesis and processing. Preferentially binds, via its two RNA recognition motifs RRM1 and RRM2, to GU-repeats on RNA molecules predominantly localized within long introns and in the 3'UTR of mRNAs. In turn, regulates the splicing of many non-coding and protein-coding RNAs including proteins involved in neuronal survival, as well as mRNAs that encode proteins relevant for neurodegenerative diseases. Plays a role in maintaining mitochondrial homeostasis by regulating the processing of mitochondrial transcripts. Regulates also mRNA stability by recruiting CNOT7/CAF1 deadenylase on mRNA 3'UTR leading to poly(A) tail deadenylation and thus shortening. In response to oxidative insult, associates with stalled ribosomes localized to stress granules (SGs) and contributes to cell survival. Participates also in the normal skeletal muscle formation and regeneration, forming cytoplasmic myo-granules and binding mRNAs that encode sarcomeric proteins. Plays a role in the maintenance of the circadian clock periodicity via stabilization of the CRY1 and CRY2 proteins in a FBXL3-dependent manner. Negatively regulates the expression of CDK6. Regulates the expression of HDAC6, ATG7 and VCP in a PPIA/CYPA-dependent manner.
-
基因功能參考文獻:
- TDP-43 deposition leads to targeted RNA instability in amyotrophic lateral sclerosis and frontotemporal dementia PMID: 30030424
- CHCHD10 mutations have a role in cytoplasmic TDP-43 accumulation and synaptic integrity PMID: 28585542
- Study confirms the high expression of hTDP-43 in the CNS, increased microgliosis and motor deficits, exhibiting further prominent ALS/FTLD pathologies, such as cytoplasmic and insoluble TDP-43 in TAR6/6 mice. This model represents not only pathological TDP-43 expression but also disease-relevant posttranslational changes. PMID: 29787578
- The relevance of contact-independent cell-to-cell transfer of TDP-43 and SOD1 in amyotrophic lateral sclerosis. PMID: 28711596
- Findings highlight that the phosphatase regulator, GADD34, also functions as a kinase scaffold in response to chronic oxidative stress and recruits CK1 and oxidized TDP-43 to facilitate its phosphorylation, as seen in TDP-43 proteinopathies. PMID: 29109149
- We identified impaired RNA metabolism, secondary to TDP-43 loss of function, as a possible pathological mechanism of HSPB8 toxicity, leading to muscle and nerve degeneration PMID: 29029362
- the introduction of SOD1(G93A) and TDP43(A315T), established Amyotrophic lateral sclerosis (ALS)-related mutations, changed the subcellular expression and localization of RNAs within the neurons, showing a spatial specificity to either the soma or the axon. Altogether, we provide here the first combined inclusive profile of mRNA and miRNA expression in two ALS models at the subcellular level PMID: 28300211
- These data provide structural detail for the established mechanistic role of the well-folded TDP-43 NTD in splicing and link this function to liquid-liquid phase separation. PMID: 29438978
- TDP43 alters most splicing events with splicing factor SRSF3 in triple-negative breast cancer. PMID: 29581274
- Of the whole cohort of patients with Motor Neuron Disease and Frontotemporal Dementia, 1 patient harboured a mutation in the TAR DNA-binding protein (TARDBP) gene. PMID: 29886477
- Study demonstrated TDP-43/pTDP-43 deposition in skin nerves in ALS patients. Although the mechanisms underlying TDP-43 in ALS are currently unknown, its detection is of interest, and the deposition may occur not only in ALS but also during the aging process which is based on observations of the present study. PMID: 29804146
- Both ALS and FTD patients presented with higher TDP-43 and tauT levels compared to the control group. The combination of biomarkers in the form of the TDP-43 x tauT / tauP-181 formula achieved the best discrimination between ALS or FTD and controls, with sensitivities and specificities >0.8. PMID: 28848086
- TDP-43 turnover and toxicity depend in part upon the endocytosis pathway. TDP-43 inhibits endocytosis, and co-localizes strongly with endocytic proteins, including in amyotrophic lateral sclerosis patient tissue. PMID: 29233983
- more selective group of neurons appears to be affected in frontotemporal lobar degeneration (FTLD)-TDP and FTLD-FUS than in FTLD-tau PMID: 28984110
- study found a high frequency of the TARDBP p.M337 V mutation in familial amyotrophic lateral sclerosis (ALS) in south-eastern China; the TARDBP-linked ALS patients showed a benign disease course and prolonged survival PMID: 29621978
- describe here two cases of apparently sporadic amyotrophic lateral sclerosis associated with mutations, respectively, in SOD1 and TARDP genes PMID: 27494151
- Study indicates that there are at least two common patterns of TDP-43 and tau protein misfolding in human brain aging. In patients lacking substantial Alzheimer's disease pathology, cerebral age-related TDP-43 with sclerosis (CARTS) cases tend to have tau neurofibrillary tangles in the hippocampal dentate granule neurons, providing a potential proxy indicator of CARTS. PMID: 28281308
- Depletion of TAF15, FUS and TDP-43 in human-induced pluripotent stem cell-derived motor neurons affects different genes. PMID: 27378374
- TDP-43 mislocalisation into axons precedes cell death in cortical neurons, and that cytoskeletal structure and function is impaired by expression of either TDP-43 wild-type or mutant constructs in vitro. PMID: 29787572
- TDP-43 impairs the induction of multiple key stress genes required to protect from disease by reducing the recruitment of the chromatin remodeler Chd1 to chromatin. PMID: 29153328
- The mutation of TARDBP caused amyotrophic lateral sclerosis PMID: 29478603
- Cytoplasmic TDP-43 mislocalization and aggregation is a pathological hallmark of amyotrophic lateral sclerosis and frontotemporal lobar degeneration. TDP-43 is an RNA-binding protein with a prion-like domain that promotes TDP-43 misfolding. [review] PMID: 27920024
- SOD1 mutations were present in 20% of familial amyotrophic lateral sclerosis (ALS) patients and 1.9% of sporadic ALS patients, while FUS mutations were responsible for 13.3% of familial ALS cases, and TARDBP mutations were rare in either familial or sporadic ALS cases. PMID: 27604643
- an alpha-helical component in the centre (residues 320-340) of the C-terminal domain is related to the protein's self-association and LLPS. Systematically analysing ALS-related TDP-43 mutants (G298S, M337V, and Q331K) in different buffer conditions at different temperatures, we prove that this phase separation is driven by hydrophobic interactions but is inhibited by electrostatic repulsion. PMID: 28988034
- the present study did not demonstrate oxidative phosphorylation defects in TDP-43 mutants PMID: 28482850
- both FUS and TDP43 colocalize with active RNA polymerase II at sites of DNA damage along with the DNA damage repair protein, BRCA1, and FUS and TDP43 participate in the prevention or repair of R loop-associated DNA damage, a manifestation of aberrant transcription and/or RNA processing PMID: 27849576
- The data of this study suggest that TDP-43 pathology is associated with age and exacerbated by the presence of concomitant Alzheimer's disease pathology. PMID: 27495267
- The A382T mutation in TARDBP caused a reduction in the ability of cells to respond to stress through loss of TDP-43 function in stress granule nucleation. The pathogenetic action revealed in study model does not seem to be mediated by changes in the localization of the TDP-43 protein. PMID: 28172957
- TDP-43 competes with other splicing factors for binding to cryptic exons and can repress cryptic exon inclusion. PMID: 28549443
- Study shows that TDP-43 is deposited in the olfactory bulb in Alzheimer's disease, albeit of low frequency. The deposition appears to be a late occurrence compared to TDP-43 deposition in other brain regions. PMID: 26810591
- ALS-mutant linked TDP-43 mutations expressed at moderate levels in a pattern mimicking endogenous TDP-43 also cause toxicity in a non-cell autonomous manner. Eliminating mutant TDP-43Q331K synthesis in a proportion of motor neurons delayed disease onset, reduced aberrant nuclear morphology in those neurons at early disease stages, and almost eliminated age-dependent accelerated death of those motor neurons. PMID: 28357566
- Study reports that cryptic exon incorporation occurred not only in Alzheimer' disease brains exhibiting TDP-43 pathology, but also in neurons lacking cytoplasmic inclusion but exhibiting nuclear clearance of TDP-43. PMID: 28332094
- Acetylation of the protein triggers TDP-43 pathology in cultured cells and mouse skeletal muscle, which can be cleared through an HSF1-dependent chaperone mechanism that disaggregates the protein. PMID: 28724966
- These studies showed that physiological oligomerization of TDP-43 is mediated through its N-terminal domain, which forms functional and dynamic oligomers antagonizing pathologic aggregation. PMID: 28663553
- Expression of PFN1 mutants induces accumulation of TDP-43, and promotes conversion of normal TDP-43 into an abnormal form. These results provide new insight into the mechanisms of TDP-43 proteinopathies and other diseases associated with amyloid-like protein deposition. PMID: 27432186
- Study reports the altered expression and/or mislocalization of the TAR-DNA binding protein 43 (TDP-43) in both niemann-pick disease type C mouse and in a human neuronal model of the disease. Results extend the importance of the role of TDP-43 in neurodegenerative disease and further highlight the need to prioritize the targeting of this protein to develop novel therapeutic strategies. PMID: 27193329
- This study demonstrated that increased rates of TDP-43-associated hippocampal atrophy might occur at least 10 years before death in patient with Alzheimer disease. PMID: 28919059
- Authors observed impaired levels of glutathione (downstream Nrf2 antioxidant) in TDP-43M337V patient fibroblasts and astrocyte cultures from TDP-43Q331K mice, indicative of elevated oxidative stress and failure of some upregulated antioxidant genes to be translated into protein. PMID: 28334913
- removing the human orthologs of Hrb27c (DAZAP1) in human neuronal cell lines can correct several pre-mRNA splicing events altered by TDP-43 depletion PMID: 28575377
- TDP-43 suppressed tau expression by promoting its mRNA instability through the UG repeats of its 3-UTR. The C-terminal region of TDP-43 was required for this function.The level of TDP-43, which is decreased in AD brains, was found to correlate negatively with the tau level in human brain. PMID: 28335005
- Amyotrophic lateral sclerosis mutations disrupt phase separation mediated by alpha-helical structure in the TDP-43 low-complexity C-terminal domain. PMID: 27545621
- we demonstrated cytoplasmic TDP-43 aggregate formation in neuronal and glial cells following adenoviral transduction of WT and CTF TDP-43 under MG-132 treatment. These TDP-43 aggregates were phosphorylated and ubiquitinated and consisted of electron-dense granules. PMID: 28599005
- emphasize the importance of distinguishing cerebral age-related TDP-43 with sclerosis from late-onset frontotemporal lobar degeneration with TDP-43 pathology and from advanced Alzheimer disease with TDP-43 pathology PMID: 28467211
- Mutant and wild type human TDP-43 replacing the endogenous Drosophila gene reveals phosphorylation and ubiquitination in mutant lines in the absence of viability or lifespan defects. PMID: 28686708
- The study establishes a functional/physical partnership between FMRP and TDP-43 that mechanistically links several neurodevelopmental disorders and neurodegenerative diseases. PMID: 27518042
- By silencing TDP-43, authors saw significant inhibition of cell proliferation and metastasis in A375 and WM451 cells. TDP-43 knockdown could suppress glucose transporter type-4 (GLUT4) expression and reduce glucose uptake. PMID: 27786596
- The present study, based on 15 cases staged for pTDP-43 pathology, reports the finding that pathologically altered TDP-43 in Betz cells reacts differently than that in bulbar or spinal alpha-motoneurons. The major differences between the two types of histological profiles are discussed within the context of their possible consequences and implications for the potential further progression or spread of the pTDP-43 lesions. PMID: 27757524
- This study have shown that TDP-43-positive cytoplasmic inclusions were frequently found in the amygdala of pathologically and genetically confirmed cases of Frontotemporal Lobar Degeneration and Motor Neuron Disease. PMID: 28859337
- Results indicated that a range of disease specific TDP-43 variants are generated in amyotrophic lateral sclerosis patients with different variants being generated in sporadic and familial cases. PMID: 28122516
- heterogeneous structural reorganization and decreased stability of the truncated RRM2 domain PMID: 28793209
顯示更多
收起更多
-
相關疾病:Amyotrophic lateral sclerosis 10 (ALS10)
-
亞細胞定位:Nucleus. Cytoplasm. Cytoplasm, Stress granule.
-
組織特異性:Ubiquitously expressed. In particular, expression is high in pancreas, placenta, lung, genital tract and spleen.
-
數據庫鏈接:
Most popular with customers
-
-
YWHAB Recombinant Monoclonal Antibody
Applications: ELISA, WB, IHC, IF, FC
Species Reactivity: Human, Mouse, Rat
-
Phospho-YAP1 (S127) Recombinant Monoclonal Antibody
Applications: ELISA, WB, IHC
Species Reactivity: Human
-
-
-
-
-















