SENP1 Recombinant Monoclonal Antibody
-
中文名稱:SENP1重組抗體
-
貨號:CSB-RA150103A0HU
-
規格:¥1320
-
圖片:
-
Western Blot
Positive WB detected in: Hela whole cell lysate, PC3 whole cell lysate
All lanes: SENP1 antibody at 1:2000
Secondary
Goat polyclonal to rabbit IgG at 1/50000 dilution
Predicted band size: 74 kDa
Observed band size: 72-95 kDa -
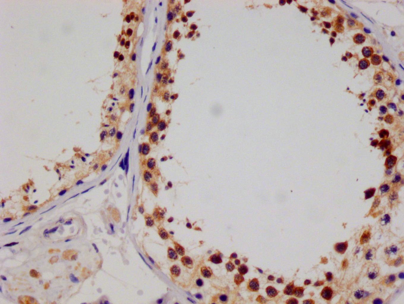
IHC image of CSB-RA150103A0HU diluted at 1:100 and staining in paraffin-embedded human testis tissue performed on a Leica BondTM system. After dewaxing and hydration, antigen retrieval was mediated by high pressure in a citrate buffer (pH 6.0). Section was blocked with 10% normal goat serum 30min at RT. Then primary antibody (1% BSA) was incubated at 4°C overnight. The primary is detected by a Goat anti-rabbit polymer IgG labeled by HRP and visualized using 0.05% DAB.
-
Immunofluorescence staining of PC-3 cell with CSB-RA150103A0HU at 1:50, counter-stained with DAPI. The cells were fixed in 4% formaldehyde and blocked in 10% normal Goat Serum. The cells were then incubated with the antibody overnight at 4°C. The secondary antibody was Alexa Fluor 527-congugated AffiniPure Goat Anti-Rabbit IgG(H+L).
-
Overlay Peak curve showing K562 cells stained with CSB-RA150103A0HU (red line) at 1:100. The cells were fixed in 4% formaldehyde and permeated by 0.2% TritonX-100. Then 10% normal goat serum to block non-specific protein-protein interactions followed by the antibody (1ug/1*106cells) for 45min at 4℃. The secondary antibody used was FITC-conjugated Goat Anti-rabbit IgG(H+L) at 1:200 dilution for 35min at 4℃.Control antibody (green line) was rabbit IgG (1ug/1*106cells) used under the same conditions. Acquisition of >10,000 events was performed.
-
-
其他:
產品詳情
-
產品描述:SENP1重組單克隆抗體(CSB-RA150103A0HU)是針對SUMO特異性蛋白酶1(SENP1)的高特異性檢測工具。SENP1作為SUMO蛋白修飾系統的關鍵調控因子,通過催化SUMO前體蛋白的成熟化及底物去SUMO化修飾,參與細胞周期調控、基因表達調控及DNA損傷修復等重要生物學過程。本抗體經多種實驗驗證:在蛋白印跡(WB)中可精準識別內源性SENP1蛋白,推薦稀釋比例1:500-1:2000;免疫組織化學(IHC)實驗顯示清晰的組織特異性染色(1:50-1:200);免疫熒光(IF)技術可準確呈現亞細胞定位(1:50-1:200);流式細胞術(FC)分析證實其在細胞水平的高靈敏度檢測(1:50-1:200)。該抗體具有嚴格的種屬反應性(人源樣本已驗證)和優異的批次間一致性,適用于研究SUMO修飾通路在腫瘤發生、神經退行性疾病及心血管病理中的分子機制,為蛋白質相互作用研究、信號轉導通路分析及疾病相關分子標志物探索提供可靠工具。
-
Uniprot No.:
-
基因名:SENP1
-
別名:Sentrin-specific protease 1 (EC 3.4.22.-) (Sentrin/SUMO-specific protease SENP1), SENP1
-
反應種屬:Human
-
免疫原:A synthesized peptide derived from human SENP1
-
免疫原種屬:Homo sapiens (Human)
-
標記方式:Non-conjugated
-
克隆類型:Monoclonal
-
抗體亞型:Rabbit IgG
-
純化方式:Affinity-chromatography
-
克隆號:25H2
-
濃度:It differs from different batches. Please contact us to confirm it.
-
保存緩沖液:Rabbit IgG in 10mM phosphate buffered saline , pH 7.4, 150mM sodium chloride, 0.05% BSA, 0.02% sodium azide and 50% glycerol.
-
產品提供形式:Liquid
-
應用范圍:ELISA, WB, IHC, IF, FC
-
推薦稀釋比:
Application Recommended Dilution WB 1:500-1:2000 IHC 1:50-1:200 IF 1:50-1:200 FC 1:50-1:200 -
Protocols:
-
儲存條件:Upon receipt, store at -20°C or -80°C. Avoid repeated freeze.
-
貨期:Basically, we can dispatch the products out in 1-3 working days after receiving your orders. Delivery time maybe differs from different purchasing way or location, please kindly consult your local distributors for specific delivery time.
-
用途:For Research Use Only. Not for use in diagnostic or therapeutic procedures.
相關產品
靶點詳情
-
功能:Protease that catalyzes two essential functions in the SUMO pathway. The first is the hydrolysis of an alpha-linked peptide bond at the C-terminal end of the small ubiquitin-like modifier (SUMO) propeptides, SUMO1, SUMO2 and SUMO3 leading to the mature form of the proteins. The second is the deconjugation of SUMO1, SUMO2 and SUMO3 from targeted proteins, by cleaving an epsilon-linked peptide bond between the C-terminal glycine of the mature SUMO and the lysine epsilon-amino group of the target protein. Deconjugates SUMO1 from HIPK2. Deconjugates SUMO1 from HDAC1 and BHLHE40/DEC1, which decreases its transcriptional repression activity. Deconjugates SUMO1 from CLOCK, which decreases its transcriptional activation activity. Deconjugates SUMO2 from MTA1. Deconjugates SUMO1 from METTL3. Desumoylates CCAR2 which decreases its interaction with SIRT1. Deconjugates SUMO1 from GPS2.
-
基因功能參考文獻:
- Results in this present study showed that SENP1 was a risk factor for poor non-small cell lung cancer prognosis. And also demonstrated that the overexpression of SENP1 in non-small cell lung cancer was related to chemotherapy resistance. PMID: 30043429
- SENP1 is a crucial c-Myc deSUMOylating enzyme that positively regulates c-Myc's stability and activity. PMID: 30305424
- endothelial SENP1-mediated SUMOylation drives graft arteriosclerosis by regulating the synergistic effect of GATA2 and NF-kappaB and consequent endothelial dysfunction. PMID: 28569748
- Results showed that the expression of SENP1 was remarkably upregulated in osteosarcoma cells (OS) cells. SENP1 positively regulated HIF-1alpha expression level in the setting of hypoxic; subsequently, its depletion markedly ameliorated VEGF production triggered by hypoxia. PMID: 28796315
- These results suggest that the miR-133a-3p-SENP1 axis might play a role in cell proliferation and cell cycle regulation of colorectal cancer cells. PMID: 28748780
- Despite the requirement of all three nucleoporins for accurate NHEJ, only Nup153 is needed for proper nuclear import of 53BP1 and SENP1-dependent sumoylation of 53BP1. Data support the role of Nup153 as an important regulator of 53BP1 activity and efficient NHEJ. PMID: 28576968
- miR-185 was significantly downregulated in RCC tissues and cell lines. SENP1 was a direct target of miR-186, and SENP1 mRNA expression was reversely correlated with miR-186 in RCC tissues. PMID: 28550686
- Treatment of cells with streptonigrin resulted in increased global SUMOylation levels and reduced level of hypoxia inducible factor alpha (HIF1alpha). These findings inform both the design of SENP1 targeting strategy and the modification of streptonigrin to improve its efficacy for possible future clinical use. PMID: 29481054
- SENP1 promotes cell proliferation and disease progression in clear cell renal cell carcinoma, possibly through deSUMOylating and stabilizing HIF-1alpha, leading to increased expression of key glycolytic enzymes and enhanced glycolytic flux. PMID: 27741516
- Molecular dynamics simulations showed that binding of the beta-grasp domain of SUMO1 induces significant conformational and dynamic changes in SENP1, including widening of the exosite cleft and quenching of nanosecond dynamics in all but a distal region. PMID: 27576863
- GATA1 is an essential downstream target of SENP1 and that the differential expression and response of GATA1 and Bcl-xL are a key mechanism underlying chronic mountain sickness pathology. PMID: 27821551
- miRNA1236 regulates hypoxia-induced epithelial-mesenchymal transformation and metastasis by repressing HDAC3 and SENP1 expression. PMID: 27177472
- SENP1 deSUMOylated SMAD4 to promote EMT via up-regulating E-cadherin in prostate cancer cells. Therefore, SENP1 is a potential target for treatment of advanced prostate cancer. PMID: 28417919
- The variability of the SENP1 and SENP2 genes may play a role in breast cancer occurrence. PMID: 27178176
- this study elucidated that SENP1 is essential for triple-negative breast cancer cell proliferation and migration in vitro, as well as tumor formation and metastasis in vivo PMID: 27573572
- Hepatocellular carcinoma cells express a high level of Senp1 which is induced by HGF/c-Met signals. Senp1 silencing reduces the HGF-induced proliferation and migration of HCC cells, induces HCC cell apoptosis and growth arrest, and epithelial-to-mesenchymal transition, with increase of E-cadherin and ZO-1 expression, decrease of fibronectin and N-cadherin expression. PMID: 26695141
- a significant role of SENP1 in the regulation of cell migration and invasion in neuroblastoma PMID: 25816890
- A key role for SENP1 in astrocytoma development and apoptosis.SENP1 inhibition promotes cell apoptosis by regulating NF-kappa B/Akt signaling pathways. PMID: 27693211
- Genetic interactions of SNPs in CARD14, SENP1 and VEGFA might represent a functional mechanism in the pathogenesis of high altitude polycythemia. PMID: 26852650
- SENP1 desensitizes hypoxic ovarian cancer cells to cisplatin by up-regulating HIF-1alpha PMID: 26548925
- SENP1 expression has strong prognostic impact in a molecularly defined subset of cancers. This is per se not surprising as the biologic impact of each individual molecular event is likely to be dependent on its cellular environment. PMID: 26202067
- SENP1 was expressed in human islets, and its mRNA level was unchanged in islets from donors with T2D. In cultured islets, overexpressed SENP1-GFP colocalized with secretory granules at the plasma membrane PMID: 26389676
- SENP1 uses remote substrate binding for conformational flexibility and activation PMID: 25263960
- SENP1 up-regulation in diseased heart is mediated via calcineurin-NFAT/MEF2C-PGC-1alpha pathway. PMID: 25446185
- Over-expression of small ubiquitin-like modifier proteases 1 predicts chemo-sensitivity and poor survival in non-small cell lung cancer.( PMID: 25430449
- low expression of miR-145 was correlated with high expression of SENP1 in Prostate cancer cell line and the SENP1 3'-untranslated region was a regulative target of miR-145 in vitro. PMID: 25645686
- results delineate a key role for Senp1in IL-6 induced proliferation and survival of MM cells, suggesting it may be a potential new therapeutic target in MM PMID: 25791478
- SENP1 deficiency exacerbates ischemia-reperfusion injury in cardiomyocytes via a HIF1alpha-dependent pathway. PMID: 25082844
- SENP1 was upregulated in PDAC tissues; overexpressed SENP1 was associated with lymph node metastasis and TNM stage. PMID: 25217324
- Data suggest that up-regulation of SENP1 down-regulates insulin secretion and impairs intracellular calcium signaling in islet beta-cells; this secretory dysfunction is due to SENP1-induced apoptosis of islet beta-cells. PMID: 25139051
- our data demonstrate that the miR-138/SENP1 cascade is relative to radiosensitization in lung cancer cells and is a potential radiotherapy target. PMID: 24691972
- cadmium-induction enhances AR transcriptional activity by decreasing AR SUMOylation PMID: 25014244
- Many nucleoporins are mislocalized and, in some cases, reduced in level when SENP1 and SENP2 are codepleted. PMID: 24196834
- Data suggest that small ubiquitin-like modifier (SUMO)-specific protease 1 (SENP1) expression might contribute to the malignant progression of prostate cancer and as a potential prognostic factor for biochemical recurrence after prostatectomy. PMID: 23089540
- Chromosome segregation depends on precise spatial and temporal control of sumoylation in mitosis; SENP1 and SENP2 are important mediators of this control. PMID: 24048451
- The SENP1 levels are influenced by the presence of Nup153, whereas SENP2 is not sensitive to changes in Nup153 abundance. PMID: 22688647
- Results show the contribution of SENP1 to the progression of prostate cancer, and suggest that SENP1 may be a prognostic marker. PMID: 22733136
- A critical role for SENP1-mediated desumoylation in promoting Pin1 function during tumorigenesis. PMID: 23633483
- Data show that the loss of OCT4 expression under hypoxia can be triggered by sumoylation, which was regulated by the SUMO1 peptidase SENP1. PMID: 23002208
- mutation of K364 to arginine (R) or deSumoylation by small ubiquitin-like modifier (Sumo)-specific protease-1, a nuclear deSumoylase, enhanced the transactivation capacity of LEDGF and its cellular abundance PMID: 22748127
- de-SUMOylation is essential for SENP1 modulating XBP1 transcriptional activity. PMID: 22370484
- SENP1 might play a role in cell cycle regulation of colon cancer cells PMID: 21669491
- crystal structure of human SENP1 was redetermined at 2.4 A degrees resolution with Rwork and Rfree values of 23.1% and 31.3%, respectively PMID: 21505236
- Could use the urinary hTERT, SENP1, PPP1CA, and MCM5 mRNA to detect bladder cancer recurrence. PMID: 21106093
- Induction of SENP1 in endothelial cells contributes to hypoxia-driven VEGF expression and angiogenesis. PMID: 20841360
- epigenetic control of MMP-1 expression via histone H4 acetylation PMID: 20079608
- co-localizes with Herpes simplex virus 1 ICP0 in cell nucleus PMID: 12466471
- SENP1's ability to enhance AR-dependent transcription is not mediated through desumoylation of AR, but rather through its ability to deconjugate histone deacetylase 1 (HDAC1), thereby reducing its deacetylase activity. PMID: 15199155
- p300 is essential for SENP1 to enhance c-Jun-dependent transcription because SENP1 can desumoylate the CRD1 domain of p300, thereby releasing the cis-repression of CRD1 on p300 PMID: 15701643
- HIPK2 is a desumoylation target for the SUMO-specific protease SENP1 that shuttles between the cytoplasm and the nucleus. PMID: 16253240
顯示更多
收起更多
-
亞細胞定位:Nucleus. Cytoplasm. Note=Shuttles between cytoplasm and nucleus.
-
蛋白家族:Peptidase C48 family
-
組織特異性:Highly expressed in testis. Expressed at lower levels in thymus, pancreas, spleen, liver, ovary and small intestine.
-
數據庫鏈接:
Most popular with customers
-
-
YWHAB Recombinant Monoclonal Antibody
Applications: ELISA, WB, IHC, IF, FC
Species Reactivity: Human, Mouse, Rat
-
-
-
-
-
-















