PDHA1 Recombinant Monoclonal Antibody
-
中文名稱:PDHA1 Recombinant Monoclonal Antibody
-
貨號:CSB-RA189996A0HU
-
規格:¥1320
-
圖片:
-
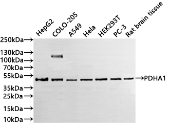
Western Blot
Positive WB detected in: HepG2 whole cell lysate(20μg),COLO-205 whole cell lysate(20μg), A549 whole cell lysate(20μg), Hela whole cell lysate(20μg),HEK293T whole cell lysate(20μg),PC-3 whole cell lysate(20μg),Rat brain tissue lysate(20μg)
All lanes: PDHA1 antibody at 1:1000
Secondary
Goat polyclonal to rabbit IgG at 1/40000 dilution
Predicted band size: 43 kDa
Observed band size: 45 kDa
Exposure time:1min -
IHC image of CSB-RA189996A0HU diluted at 1:100 and staining in paraffin-embedded human stomach tissue performed on a Leica BondTM system. After dewaxing and hydration, antigen retrieval was mediated by high pressure in a citrate buffer (pH 6.0). Section was blocked with 10% normal goat serum 30min at RT. Then primary antibody (1% BSA) was incubated at 4°C overnight. The primary is detected by a Goat anti-rabbit polymer IgG labeled by HRP and visualized using 0.05% DAB.
-
Overlay Peak curve showing Hela cells stained with CSB-RA189996A0HU (red line) at 1:100. The cells were fixed in 4% formaldehyde and permeated by 0.2% TritonX-100 for 10min. Then 10% normal goat serum to block non-specific protein-protein interactions followed by the antibody (1ug/1*106cells) for 45min at 4℃. The secondary antibody used was FITC-conjugated goat anti-rabbit IgG (H+L) at 1/200 dilution for 35min at 4℃.Control antibody (green line) was Rabbit IgG (1ug/1*106cells) used under the same conditions. Acquisition of >10,000 events was performed.
-
-
其他:
產品詳情
-
Uniprot No.:
-
基因名:
-
別名:ODPA_HUMAN antibody; PDH antibody; PDHA antibody; PDHA1 antibody; PDHCE1A antibody; PDHE1 A type I antibody; PDHE1-A type I antibody; PHE1A antibody; Pyruvate Dehydrogenase (lipoamide) alpha 1 antibody; Pyruvate dehydrogenase complex, E1 alpha polypeptide 1 antibody; Pyruvate Dehydrogenase E1 alpha antibody; Pyruvate dehydrogenase E1 component subunit alpha antibody; Pyruvate dehydrogenase E1 component subunit alpha, somatic form, mitochondrial antibody
-
反應種屬:Human, Rat
-
免疫原:A synthesized peptide derived from human PDHA1
-
免疫原種屬:Homo sapiens (Human)
-
標記方式:Non-conjugated
-
克隆類型:Monoclonal
-
抗體亞型:Rabbit IgG
-
純化方式:Affinity-chromatography
-
克隆號:5D9
-
濃度:It differs from different batches. Please contact us to confirm it.
-
保存緩沖液:Rabbit IgG in 10mM phosphate buffered saline , pH 7.4, 150mM sodium chloride, 0.05% BSA, 0.02% sodium azide and 50% glycerol.
-
產品提供形式:Liquid
-
應用范圍:ELISA, WB, IHC, FC
-
推薦稀釋比:
Application Recommended Dilution WB 1:500-1:2000 IHC 1:50-1:200 FC 1:50-1:200 -
Protocols:
-
儲存條件:Upon receipt, store at -20°C or -80°C. Avoid repeated freeze.
-
貨期:Basically, we can dispatch the products out in 1-3 working days after receiving your orders. Delivery time maybe differs from different purchasing way or location, please kindly consult your local distributors for specific delivery time.
-
用途:For Research Use Only. Not for use in diagnostic or therapeutic procedures.
相關產品
靶點詳情
-
功能:The pyruvate dehydrogenase complex catalyzes the overall conversion of pyruvate to acetyl-CoA and CO(2), and thereby links the glycolytic pathway to the tricarboxylic cycle.
-
基因功能參考文獻:
- Case demonstrates fetal akinesia deformation sequence due to a de novo hemizygous c.498C > T splice-site mutation in the pyruvate dehydrogenase-alpha 1 (PDHA1) gene. PMID: 28495245
- Data show that metformin reduces hypoxia-inducible factor 1alpha (HIF-1alpha) gene expression and increases pyruvate dehydrogenase (PDH) expression. PMID: 27474170
- The report PDHA1 as a new component of brainstem-type Lewy bodies in idiopathic PD, DLB and PARK14, the level of PDHA1 protein being significantly decreased in the putamen and substantia nigra of patients with idiopathic Parkinson's disease . PMID: 28564592
- Findings show that serine-threonine-tyrosine kinase 1 (NOK) mediates glycolysis and nuclear pyruvate dehydrogenase complex (PDC) associated histone acetylation. PMID: 28410146
- The association of mitochondrial microphthalmia-associated transcription factor (MITF) with pyruvate dehydrogenase (PDH) emerges as an important regulator of mast cell function. Our findings indicate that PDH could arise as a new target for the manipulation of allergic diseases. PMID: 27871875
- our results show that negative PDHA1 gene expressionis associated with significantly higher cell stemness in prostate cancer cells and reduced protein expression of this gene is associated with shorter clinical outcome in prostate cancers. PMID: 28076853
- oncoprotein HBXIP enhances glucose metabolism reprogramming through suppressing SCO2 and PDHA1 in breast cancer PMID: 26309161
- Lack of PDHE1alpha protein expression is associated with Esophageal Squamous Cell Carcinoma. PMID: 26408721
- MPO and BPI in CD4(+)T-lymphocytes, and PDHA1 and MRPL42 in CD8(+) T-lymphocytes might be used as specific biomarkers of severe asthma progression. PMID: 26107902
- Phosphorylation at distinct serine and tyrosine residues inhibits PDHA1 through distinct mechanisms to impact active site accessibility. PMID: 25104357
- High HK2 expression combined with low phosphorylated PDHA1 expression in the invasive front lesions of colorectal tumors is predictive of tumor aggressiveness and survival. PMID: 25060325
- In the presence of PPARbeta/delta, Vpr induced a 3.3-fold increase in PPAR response element-driven transcriptional activity, a 1.9-fold increase in PDK4 protein expression, and a 1.6-fold increase in the phosphorylated pyruvate dehydrogenase subunit E1alpha. PMID: 23842279
- In this study the phenotypes of patients with PDH deficiency have been divided into three groups of mutations. PMID: 19517265
- Expression of the PDHA1 gene was found in all somatic cells, whereas expression of PDHA2 gene was restricted to germ cells. The switch from X-linked to autosomic gene expression occurred in spermatocytes. PMID: 22750801
- Molecular analysis of PDH1A revealed a novel hemizygous c.1045G>A mutation, predicting a p.A349T missense mutation. PMID: 22142326
- Skin fibroblast culture assay revealed PDH deficiency, confirmed by mutation analysis of the E1 alpha subunit. PMID: 21895644
- TNFalpha can inhibit pulmonary artery smooth muscle cells pyruvate dehydrogenase activity and induce a pulmonary arterial hypertension phenotype. PMID: 21809123
- We provide an efficient stepwise strategy for mutation screening in pyruvate dehydrogenase complex genes and expand the growing list of PDHA1 mutations analyzed at the structural level PMID: 21914562
- Data show that overexpression of ErbB2 maintains PDH flux by suppressing PDK4 expression in an Erk-dependent manner. PMID: 21852536
- 4 affected female patients with PDHA1 mutations who had with severe cortical atrophy, dilated ventricles, and an incomplete corpus callosum. PMID: 21723463
- We document the broad variability of clinical symptoms of pdha1 deficiency disease. We proved that normal PDHc activity may not exclude the disease. PMID: 21470495
- Novel nonsense mutation (R263X) of the E1alpha subunit in pyruvate dehydrogenase complex deficiency PMID: 20958858
- PDHA1 mutations were screened in 40 patients with biochemically demonstrated pyruvate dehydrogenase complex deficiency deficiency or strong clinical suspicion and changes with probable pathological significance were found in 20. PMID: 20002461
- AAV3-mediated transfer and expression of the pyruvate dehydrogenase E1 alpha subunit gene causes metabolic remodeling and apoptosis of human liver cancer cells. PMID: 19586787
- model of the pyruvate dehydrogenase complex formed by E2 and E2 plus the E3-binding protein and binding of the E1 and E3 components PMID: 14638692
- determinant spreading might underlie the autoimmunity against Elalpha. PMID: 14708897
- PDHA1 gene mutations may have a role in Pyruvate dehydrogenase E1 subunit deficiency PMID: 16713755
- Molecular genetic analysis of the X-chromosomal E1alpha subunit of PDH showed three new mutations in phylogenetically conserved areas of the protein: Glu358Lys in patient 1; Arg88Lys in patient 2 and 3 (brothers); and Leu216Ser in patient 4. PMID: 16967364
- Short-term elevation in plasma non-esterified fatty acids at rest increases PDH-E1alpha phosphorylation, but exercise overrules this effect and phosphorylation leads to even dephosphorylation during exercise with intralipid infusion. PMID: 17065338
- Attenuated PDHa activity contributes to the preferential oxidation of n-6 PUFA during moderate-intensity exercise. PMID: 17947500
- Resting PDH protein content and phosphorylation on PDH-E1 alpha sites 1 and 2 were higher in vastus lateralis than in triceps and deltoid as was the activity of oxidative enzymes PMID: 17957032
- two synonymous mutations expand the spectrum of rare PDHA1 splicing mutations, all of which are located in non canonical splice sites. PMID: 18023225
- Our results encourage the use of amino acid supplementation to overcome the metabolic/biochemical changes induced by PDHA1 gene specific mutations associated with mild pyruvate dehydrogenase complex phenotypes. PMID: 18398624
顯示更多
收起更多
-
相關疾病:Pyruvate dehydrogenase E1-alpha deficiency (PDHAD)
-
亞細胞定位:Mitochondrion matrix.
-
組織特異性:Ubiquitous.
-
數據庫鏈接:
Most popular with customers
-
-
YWHAB Recombinant Monoclonal Antibody
Applications: ELISA, WB, IHC, IF, FC
Species Reactivity: Human, Mouse, Rat
-
-
-
-
-
-















