NSDHL Recombinant Monoclonal Antibody
-
中文名稱:NSDHL重組抗體
-
貨號:CSB-RA843829A0HU
-
規格:¥1320
-
圖片:
-
Western Blot
Positive WB detected in: HepG2 whole cell lysate, Hela whole cell lysate, PC-3 whole cell lysate, HEK293 whole cell lysate
All lanes: NSDHL antibody at 1:1000
Secondary
Goat polyclonal to rabbit IgG at 1/50000 dilution
Predicted band size: 42 kDa
Observed band size: 42 kDa -
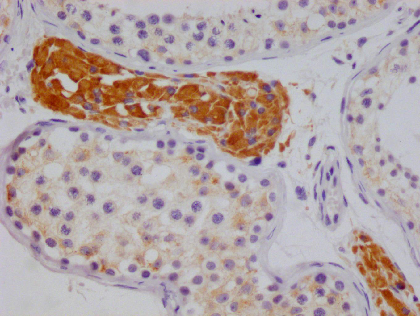
IHC image of CSB-RA843829A0HU diluted at 1:100 and staining in paraffin-embedded human testis tissue performed on a Leica BondTM system. After dewaxing and hydration, antigen retrieval was mediated by high pressure in a citrate buffer (pH 6.0). Section was blocked with 10% normal goat serum 30min at RT. Then primary antibody (1% BSA) was incubated at 4°C overnight. The primary is detected by a Goat anti-rabbit polymer IgG labeled by HRP and visualized using 0.05% DAB.
-
-
其他:
產品詳情
-
產品描述:CSB-RA843829A0HU NSDHL重組單克隆抗體是針對NAD(P)依賴性類固醇脫氫酶樣蛋白(NSDHL)研發的高特異性檢測工具。該靶標蛋白作為膽固醇生物合成途徑中C-4固醇脫羧酶復合物的關鍵組分,參與羊毛甾醇向膽固醇轉化的關鍵步驟,在細胞膜穩態維持和脂代謝調控中發揮重要作用。本抗體經多種實驗驗證,在Western Blot中可特異性識別內源性NSDHL蛋白,推薦工作濃度1:500-1:2000,顯示清晰的檢測信號且背景干擾低;在免疫組織化學應用中(推薦稀釋度1:50-1:200)能準確呈現蛋白在組織樣本中的亞細胞定位。其單克隆特性確保批次間高度一致性,適用于膽固醇代謝通路研究、脂質相關疾病模型構建及分子互作機制探索等科研領域,為研究膽固醇合成異常相關疾病的分子基礎提供可靠工具。
-
Uniprot No.:
-
基因名:NSDHL
-
別名:Sterol-4-alpha-carboxylate 3-dehydrogenase, decarboxylating (EC 1.1.1.170) (Protein H105e3), NSDHL, H105E3
-
反應種屬:Human
-
免疫原:A synthesized peptide derived from human NSDHL
-
免疫原種屬:Homo sapiens (Human)
-
標記方式:Non-conjugated
-
克隆類型:Monoclonal
-
抗體亞型:Rabbit IgG
-
純化方式:Affinity-chromatography
-
克隆號:20F2
-
濃度:It differs from different batches. Please contact us to confirm it.
-
保存緩沖液:Rabbit IgG in 10mM phosphate buffered saline , pH 7.4, 150mM sodium chloride, 0.05% BSA, 0.02% sodium azide and 50% glycerol.
-
產品提供形式:Liquid
-
應用范圍:ELISA, WB, IHC
-
推薦稀釋比:
Application Recommended Dilution WB 1:500-1:2000 IHC 1:50-1:200 -
Protocols:
-
儲存條件:Upon receipt, store at -20°C or -80°C. Avoid repeated freeze.
-
貨期:Basically, we can dispatch the products out in 1-3 working days after receiving your orders. Delivery time maybe differs from different purchasing way or location, please kindly consult your local distributors for specific delivery time.
-
用途:For Research Use Only. Not for use in diagnostic or therapeutic procedures.
相關產品
靶點詳情
-
功能:Catalyzes the NAD(P)(+)-dependent oxidative decarboxylation of the C4 methyl groups of 4-alpha-carboxysterols in post-squalene cholesterol biosynthesis. Plays also a role in the regulation of the endocytic trafficking of EGFR.
-
基因功能參考文獻:
- Here we present the case of a 9-year-old Chinese girl born with the typical clinical features of CHILD syndrome. Evaluation of the skin lesions confirmed the diagnosis and led to identification of a heterozygous point mutation in exon 8 of the NSDHL gene. PMID: 26459993
- Our findings expand the spectrum of mutations in NSDHL in CHILD syndrome, and indicate that large exon deletions may be not rare. PMID: 26014843
- A novel missense mutation in the NSDHL gene identified in a Lithuanian family by targeted next-generation sequencing causes CK syndrome. PMID: 25900314
- human NSDHL protein and mouse Nsdhl mRNA were expressed in tissues synthesizing cholesterol and steroids and in all peripheral tissues affected by CHILD or CK syndromes. PMID: 22113624
- found that males with intellectual disability in another reported family with an NSDHL mutation (c.1098 dup [p.Arg367SerfsX33]) have CKS PMID: 21129721
- The missense mutation of the NSDHL gene is detected in CHILD syndrome. PMID: 19906044
- Lethality of Nsdhl deficient mouse embryos is rescued by transgenic mice expressing human Nsdhl. PMID: 19880419
- NAD(P)H steroid dehydrogenase-like protein is localized to lipid droplets PMID: 12837764
- NSDHL, an enzyme involved in cholesterol synthesis, traffics through the Golgi and accumulates on ER membranes and on the surface of lipid droplets. PMID: 14506130
- microarray analysis of gene expression related to NSDHL sterol dehydrogenase in embryonic fibroblasts PMID: 15805545
- A novel missense mutation (R199H) in exon 6 of the NSDHL gene was identified in a small subset of sporadic verruciform xanthomas. PMID: 16230564
- NAD(P) dependent steroid dehydrogenase-like (NSDHL)-shRNA sequences were designed and tested for their effectiveness. PMID: 17498944
顯示更多
收起更多
-
相關疾病:Congenital hemidysplasia with ichthyosiform erythroderma and limb defects (CHILD); CK syndrome (CKS)
-
亞細胞定位:Endoplasmic reticulum membrane; Single-pass membrane protein. Lipid droplet.
-
蛋白家族:3-beta-HSD family
-
組織特異性:Brain, heart, liver, lung, kidney, skin and placenta.
-
數據庫鏈接:
Most popular with customers
-
-
YWHAB Recombinant Monoclonal Antibody
Applications: ELISA, WB, IHC, IF, FC
Species Reactivity: Human, Mouse, Rat
-
Phospho-YAP1 (S127) Recombinant Monoclonal Antibody
Applications: ELISA, WB, IHC
Species Reactivity: Human
-
-
-
-
-















