NOLC1 Recombinant Monoclonal Antibody
-
中文名稱:NOLC1 Recombinant Monoclonal Antibody
-
貨號:CSB-RA027798A0HU
-
規格:¥1320
-
圖片:
-
Western Blot
Positive WB detected in: HEK293 whole cell lysate(30μg), MCF-7 whole cell lysate(30μg), A549 whole cell lysate(30μg)
All lanes: NOLC1 antibody at 1:1000
Secondary
Goat polyclonal to rabbit IgG at 1/40000 dilution
Predicted band size: 74 kDa
Observed band size: 110 kDa
Exposure time:1min -
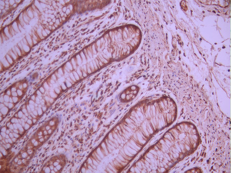
IHC image of CSB-RA027798A0HU diluted at 1:100 and staining in paraffin-embedded human colorectal cancer performed on a Leica BondTM system. After dewaxing and hydration, antigen retrieval was mediated by high pressure in a citrate buffer (pH 6.0). Section was blocked with 10% normal goat serum 30min at RT. Then primary antibody (1% BSA) was incubated at 4°C overnight. The primary is detected by a Goat anti-rabbit polymer IgG labeled by HRP and visualized using 0.05% DAB.
-
Immunofluorescence staining of Hela cell with CSB-RA027798A0HU at 1:50 , counter-stained with DAPI. The cells were fixed in 4% formaldehyde, permeabilized using 0.2% Triton X-100 and blocked in 10% normal Goat Serum. The cells were then incubated with the antibody overnight at 4°C. The secondary antibody was Alexa Fluor 488-congugated AffiniPure Goat Anti-Rabbit IgG(H+L).
-
Overlay Peak curve showing HepG2 cells stained with CSB-RA027798A0HU (red line) at 1:100. The cells were fixed in 4% formaldehyde and permeated by 0.2% TritonX-100 for 10min. Then 10% normal goat serum to block non-specific protein-protein interactions followed by the antibody (1ug/1*106cells) for 45min at 4℃. The secondary antibody used was FITC-conjugated goat anti-rabbit IgG (H+L) at 1/200 dilution for 35min at 4℃.Control antibody (green line) was Rabbit IgG (1ug/1*106cells) used under the same conditions. Acquisition of >10, 000 events was performed.
-
-
其他:
產品詳情
-
Uniprot No.:
-
基因名:NOLC1
-
別名:140 kDa nucleolar phosphoprotein antibody; HCV NS5A trans regulated protein 13 antibody; HCV NS5A transactivated protein 13 antibody; HCV NS5A-transactivated protein 13 antibody; Hepatitis C virus NS5A transactivated protein 13 antibody; Hepatitis C virus NS5A-transactivated protein 13 antibody; KIAA0035 antibody; NOLC 1 antibody; NOLC1 antibody; NOLC1_HUMAN antibody; NOPP 130 antibody; NOPP 140 antibody; NOPP130 antibody; Nopp140 antibody; NS5ATP13 antibody; Nucleolar 130 kDa protein antibody; Nucleolar and coiled body phosphoprotein 1 antibody; Nucleolar and coiled body phosphprotein 1 antibody; Nucleolar and coiled-body phosphoprotein 1 antibody; Nucleolar phosphoprotein p130 antibody; Nucleolar protein p130 antibody; P130 antibody
-
反應種屬:Human
-
免疫原:A synthesized peptide from human NOLC1 protein
-
免疫原種屬:Homo sapiens (Human)
-
標記方式:Non-conjugated
-
克隆類型:Monoclonal
-
抗體亞型:Rabbit IgG
-
純化方式:Affinity-chromatography
-
克隆號:1D9
-
濃度:It differs from different batches. Please contact us to confirm it.
-
保存緩沖液:Rabbit IgG in 10mM phosphate buffered saline , pH 7.4, 150mM sodium chloride, 0.05% BSA, 0.02% sodium azide and 50% glycerol.
-
產品提供形式:Liquid
-
應用范圍:ELISA, WB, IHC, IF, FC
-
推薦稀釋比:
Application Recommended Dilution WB 1:500-1:5000 IHC 1:50-1:200 IF 1:50-1:200 FC 1:50-1:200 -
Protocols:
-
儲存條件:Upon receipt, store at -20°C or -80°C. Avoid repeated freeze.
-
貨期:Basically, we can dispatch the products out in 1-3 working days after receiving your orders. Delivery time maybe differs from different purchasing way or location, please kindly consult your local distributors for specific delivery time.
-
用途:For Research Use Only. Not for use in diagnostic or therapeutic procedures.
相關產品
靶點詳情
-
功能:Nucleolar protein that acts as a regulator of RNA polymerase I by connecting RNA polymerase I with enzymes responsible for ribosomal processing and modification. Required for neural crest specification: following monoubiquitination by the BCR(KBTBD8) complex, associates with TCOF1 and acts as a platform to connect RNA polymerase I with enzymes responsible for ribosomal processing and modification, leading to remodel the translational program of differentiating cells in favor of neural crest specification. Involved in nucleologenesis, possibly by playing a role in the maintenance of the fundamental structure of the fibrillar center and dense fibrillar component in the nucleolus. It has intrinsic GTPase and ATPase activities.
-
基因功能參考文獻:
- In this study, the disordered feature of Nopp140 and the effect of CK2alpha on the structure of Nopp140 were examined using single-molecule fluorescence resonance energy transfer (smFRET) and electron paramagnetic resonance (EPR). PMID: 27297113
- D120 and R195 of H5N1 influenza virus NS1 were crucial for the binding to host NOLC1. PMID: 25645906
- pRb2/p130 cytoplasmic delocalization can lead to cell cycle deregulation PMID: 25205458
- our study demonstrated that DNA methylation is a key mechanism of silenced NOLC1 expression in human hepatocellular carcinoma cells, and NOLC1 gene hypermethylation of the four CpG dinucleotides is a potential biomarker for hepatocellular carcinoma. PMID: 23970161
- A Nopp140 fragment (residues 568-596) and inositol hexakisphosphate competitively bind to the catalytic subunit of CK2 (CK2alpha), and phospho-Ser574 of Nopp140 significantly enhances its interaction with CK2alpha. PMID: 24218616
- H5N1 viral NS1 interacts with host NOLC1 protein. PMID: 23188192
- Structural disorder and local order of hNopp140 PMID: 22906532
- The regulation of NOCL1 protein is a critical role for the transcription NF-kB and cAMP response element-bing protein PMID: 21266110
- NOPP140 is involved in a PKA signaling pathway that leads to agp activation PMID: 12167624
- These data show that Nopp140 reversibly associates with snoRNPs in a phosphorylation-dependent manner, but this association has no effect on pseudouridylation of rRNA. PMID: 12446766
- Hypoxia induces substantial p130 dephosphorylation and nuclear accumulation, leading to the formation of E2F4/p130 complexes and increased occupancy of E2F4 and p130 at the RAD51 and BRCA1 promoters. PMID: 17001309
- hNopp140 serves as a negative regulator of CK2 and InsP(6) stimulates the activity of CK2 by blocking the interaction between hNopp140 and CK2 PMID: 17038328
- Evolutionarily conserved multisubunit protein complex that contains p130 and E2F4 mediates the repression of cell cycle-dependent genes in quiescence. PMID: 17531812
- hNopp140, a scaffold protein, is involved in the nucleolar assembly, fusion, and maintenance PMID: 18253863
- InsP(6) specifically binds to CK2alpha and disrupts the interaction between CK2alpha and Nopp140 with an IC(50) value of 25 microM, thereby attenuating the Nopp140-mediated repression of CK2 activity. PMID: 18790693
- The functional deficiency in spinal muscular atrophy cells is associated with decreased localization of the snoRNP chaperone Nopp140 in Cajal bodies that correlates with disease severity. PMID: 19129172
- Nopp140 could be a component implicated in the early steps of pre-rRNA processing. PMID: 19381672
- both NOLC1 and tumor protein 53 work together synergistically to activate the MDM2 promoter in NPC cells. PMID: 19541936
顯示更多
收起更多
-
亞細胞定位:Nucleus, nucleolus. Cytoplasm.
-
數據庫鏈接:
Most popular with customers
-
-
Phospho-YAP1 (S127) Recombinant Monoclonal Antibody
Applications: ELISA, WB, IHC
Species Reactivity: Human
-
-
-
-
-
-















