LGR6 Recombinant Monoclonal Antibody
-
中文名稱:LGR6重組抗體
-
貨號:CSB-RA156336A0HU
-
規格:¥1320
-
圖片:
-
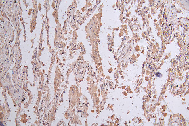
IHC image of CSB-RA156336A0HU diluted at 1:50 and staining in paraffin-embedded human lung cancer performed on a Leica BondTM system. After dewaxing and hydration, antigen retrieval was mediated by high pressure in a citrate buffer (pH 6.0). Section was blocked with 10% normal goat serum 30min at RT. Then primary antibody (1% BSA) was incubated at 4°C overnight. The primary is detected by a Goat anti-rabbit polymer IgG labeled by HRP and visualized using 0.26% DAB.
-
Immunofluorescence staining of hela with CSB-RA156336A0HU at 1:20, counter-stained with DAPI. The cells were fixed in 4% formaldehyde and blocked in 10% normal Goat Serum. The cells were then incubated with the antibody overnight at 4°C. The secondary antibody was Alexa Fluor 500-congugated AffiniPure Goat Anti-Rabbit IgG(H+L).
-
Overlay Peak curve showing Hela cells surface stained with CSB-RA156336A0HU (red line) at 1:50. Then 10% normal goat serum to block non-specific protein-protein interactions followed by the antibody (1μg/1*106cells) for 45min at 4℃. The secondary antibody used was FITC-conjugated Goat Anti-rabbit IgG(H+L) at 1:200 dilution for 35min at 4℃.Control antibody (green line) was rabbit IgG (1μg/1*106cells) used under the same conditions. Acquisition of >10,000 events was performed.
-
-
其他:
產品詳情
-
產品描述:CSB-RA156336A0HU LGR6重組單克隆抗體是經過嚴格驗證的高特異性科研工具,靶向LGR6(Leucine-rich repeat-containing G-protein coupled receptor 6),該蛋白屬于G蛋白偶聯受體家族成員,在干細胞調控及組織再生中發揮重要作用,尤其與表皮干細胞分化、毛囊發育及腫瘤發生相關。本抗體通過ELISA實驗驗證可特異性識別天然及重組LGR6蛋白,免疫組化(IHC)實驗顯示其在石蠟包埋組織中能清晰定位細胞膜表達,免疫熒光(IF)染色呈現高分辨率的亞細胞定位信號,流式細胞術(FC)進一步證實其適用于活細胞表面抗原檢測。推薦工作濃度為IHC/IF/FC 1:50-1:200,可滿足多樣本類型的實驗需求。該產品適用于干細胞生物學、組織再生機制研究、腫瘤微環境分析及發育生物學等領域,尤其為探索LGR6在表皮穩態維持、癌癥干細胞標志物篩選等方向提供可靠檢測工具。本產品僅供科學研究使用,需根據實驗體系優化具體條件。
-
Uniprot No.:
-
基因名:
-
別名:Leucine-rich repeat-containing G-protein coupled receptor 6, LGR6
-
反應種屬:Human
-
免疫原:A synthesized peptide derived from Human LGR6
-
免疫原種屬:Homo sapiens (Human)
-
標記方式:Non-conjugated
-
克隆類型:Monoclonal
-
抗體亞型:Rabbit IgG
-
純化方式:Affinity-chromatography
-
克隆號:15G3
-
濃度:It differs from different batches. Please contact us to confirm it.
-
保存緩沖液:Rabbit IgG in 10mM phosphate buffered saline , pH 7.4, 150mM sodium chloride, 0.05% BSA, 0.02% sodium azide and 50% glycerol.
-
產品提供形式:Liquid
-
應用范圍:ELISA, IHC, IF, FC
-
推薦稀釋比:
Application Recommended Dilution IHC 1:50-1:200 IF 1:50-1:200 FC 1:50-1:200 -
Protocols:
-
儲存條件:Upon receipt, store at -20°C or -80°C. Avoid repeated freeze.
-
貨期:Basically, we can dispatch the products out in 1-3 working days after receiving your orders. Delivery time maybe differs from different purchasing way or location, please kindly consult your local distributors for specific delivery time.
-
用途:For Research Use Only. Not for use in diagnostic or therapeutic procedures.
相關產品
靶點詳情
-
功能:Receptor for R-spondins that potentiates the canonical Wnt signaling pathway and acts as a marker of multipotent stem cells in the epidermis. Upon binding to R-spondins (RSPO1, RSPO2, RSPO3 or RSPO4), associates with phosphorylated LRP6 and frizzled receptors that are activated by extracellular Wnt receptors, triggering the canonical Wnt signaling pathway to increase expression of target genes. In contrast to classical G-protein coupled receptors, does not activate heterotrimeric G-proteins to transduce the signal. May act as a tumor suppressor.
-
基因功能參考文獻:
- Inhibition of LGR6 promoted the osteogenic differentiation of bone marrow stromal cells in vitro. PMID: 29625528
- Lgr6 has a tumorpromoting role in the development of colorectal cancer. PMID: 29693156
- Lgr6 marks mammary gland progenitor cells that can initiate tumours, and cells of luminal breast tumours required for efficient tumour maintenance. PMID: 27798604
- Two of the three monoclonal antibodies recognized the large N-terminal extracellular domain of leucine rich repeat containing G protein-coupled receptor 6 (LGR6), and competitively blocked the binding of R-spondin 1, which is known to be the ligand for LGR6. PMID: 28013222
- LGR6 expression is significantly downregulated in human masticatory mucosa during wound healing PMID: 28005267
- Overexpression of wild-type LGR6 in HeLa cells leads to increased cell migration. PMID: 22615920
顯示更多
收起更多
-
亞細胞定位:Cell membrane; Multi-pass membrane protein.
-
蛋白家族:G-protein coupled receptor 1 family
-
數據庫鏈接:
Most popular with customers
-
-
YWHAB Recombinant Monoclonal Antibody
Applications: ELISA, WB, IHC, IF, FC
Species Reactivity: Human, Mouse, Rat
-
Phospho-YAP1 (S127) Recombinant Monoclonal Antibody
Applications: ELISA, WB, IHC
Species Reactivity: Human
-
-
-
-
-















