GPI Recombinant Monoclonal Antibody
-
中文名稱:GPI重組抗體
-
貨號:CSB-RA130853A0HU
-
規格:¥1320
-
圖片:
-
Western Blot
Positive WB detected in: A549 whole cell lysate, U251 whole cell lysate,MCF7 whole cell lysate,HELA whole cell lysate,PC-3 whole cell lysate
All lanes: Glucose 6 phosphate isomerase antibody at 1:1000
Secondary
Goat polyclonal to rabbit IgG at 1/50000 dilution
Predicted band size: 63 kDa
Observed band size: 63 kDa -
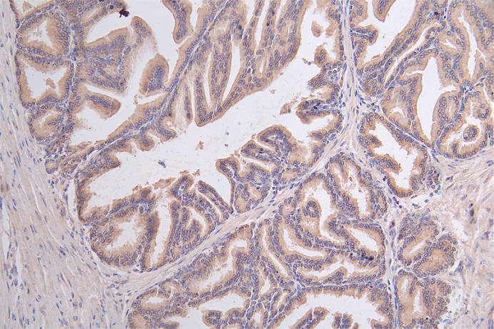
IHC image of CSB-RA130853A0HU diluted at 1:50 and staining in paraffin-embedded human prostate tissue performed on a Leica BondTM system. After dewaxing and hydration, antigen retrieval was mediated by high pressure in a citrate buffer (pH 6.0). Section was blocked with 10% normal goat serum 30min at RT. Then primary antibody (1% BSA) was incubated at 4°C overnight. The primary is detected by a Goat anti-rabbit polymer IgG labeled by HRP and visualized using 0.45% DAB.
-
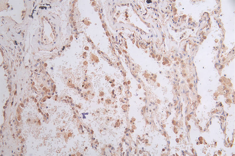
IHC image of CSB-RA130853A0HU diluted at 1:50 and staining in paraffin-embedded human lung cancer performed on a Leica BondTM system. After dewaxing and hydration, antigen retrieval was mediated by high pressure in a citrate buffer (pH 6.0). Section was blocked with 10% normal goat serum 30min at RT. Then primary antibody (1% BSA) was incubated at 4°C overnight. The primary is detected by a Goat anti-rabbit polymer IgG labeled by HRP and visualized using 0.45% DAB.
-
Overlay Peak curve showing A549 cells stained with CSB-RA130853A0HU (red line) at 1:50. The cells were fixed in 4% formaldehyde and permeated by 0.2% TritonX-100. Then 10% normal goat serum to block non-specific protein-protein interactions followed by the antibody (1μg/1*106cells) for 45min at 4℃. The secondary antibody used was FITC-conjugated Goat Anti-rabbit IgG(H+L) at 1:200 dilution for 35min at 4℃.Control antibody (green line) was rabbit IgG (1μg/1*106cells) used under the same conditions. Acquisition of >10,000 events was performed.
-
-
其他:
產品詳情
-
產品描述:CSB-RA130853A0HU GPI重組單克隆抗體是針對葡萄糖-6-磷酸異構酶(GPI)的高特異性科研工具。GPI作為糖代謝關鍵酶,催化葡萄糖-6-磷酸與果糖-6-磷酸的互變反應,同時參與細胞遷移調控和炎癥信號傳導,其異常表達與腫瘤進展及自身免疫性疾病密切相關。本抗體經多種平臺嚴格驗證,在Western Blot中可清晰識別天然及重組GPI蛋白,免疫組化實驗能準確定位組織切片中的抗原分布,流式細胞術則有效檢測細胞表面及胞內表達水平,推薦使用稀釋度分別為1:500-2000、1:50-200和1:50-200。該產品采用重組表達技術生產,具備高批次間一致性,適用于代謝通路研究、腫瘤微環境分析以及炎癥性疾病模型的分子機制探索,特別是為類風濕性關節炎相關研究提供可靠檢測工具。通過ELISA平臺驗證的線性檢測范圍確保定量研究的精確性,適用于細胞培養模型、病理樣本分析等多種實驗體系。
-
Uniprot No.:
-
基因名:GPI
-
別名:Glucose-6-phosphate isomerase (GPI) (EC 5.3.1.9) (Autocrine motility factor) (AMF) (Neuroleukin) (NLK) (Phosphoglucose isomerase) (PGI) (Phosphohexose isomerase) (PHI) (Sperm antigen 36) (SA-36), GPI
-
反應種屬:Human
-
免疫原:A synthesized peptide derived from Human GPI
-
免疫原種屬:Homo sapiens (Human)
-
標記方式:Non-conjugated
-
克隆類型:Monoclonal
-
抗體亞型:Rabbit IgG
-
純化方式:Affinity-chromatography
-
克隆號:12A4
-
濃度:It differs from different batches. Please contact us to confirm it.
-
保存緩沖液:Rabbit IgG in 10mM phosphate buffered saline , pH 7.4, 150mM sodium chloride, 0.05% BSA, 0.02% sodium azide and 50% glycerol.
-
產品提供形式:Liquid
-
應用范圍:ELISA, WB, IHC, FC
-
推薦稀釋比:
Application Recommended Dilution WB 1:500-1:2000 IHC 1:50-1:200 FC 1:50-1:200 -
Protocols:
-
儲存條件:Upon receipt, store at -20°C or -80°C. Avoid repeated freeze.
-
貨期:Basically, we can dispatch the products out in 1-3 working days after receiving your orders. Delivery time maybe differs from different purchasing way or location, please kindly consult your local distributors for specific delivery time.
-
用途:For Research Use Only. Not for use in diagnostic or therapeutic procedures.
相關產品
靶點詳情
-
功能:In the cytoplasm, catalyzes the conversion of glucose-6-phosphate to fructose-6-phosphate, the second step in glycolysis, and the reverse reaction during gluconeogenesis. Besides it's role as a glycolytic enzyme, also acts as a secreted cytokine: acts as an angiogenic factor (AMF) that stimulates endothelial cell motility. Acts as a neurotrophic factor, neuroleukin, for spinal and sensory neurons. It is secreted by lectin-stimulated T-cells and induces immunoglobulin secretion.
-
基因功能參考文獻:
- Study demonstrated a novel pathway regulating hypoxia-induced angiogenesis in rheumatoid arthritis mediated by glucose-6-phosphate isomerase. PMID: 28067317
- Our data suggest that glucose-6-phosphate isomerase gene polymorphism may serve as potential biomarkers to predict the overall survival of hepatocellular carcinoma. PMID: 27288297
- Mutation p.Gln413Arg fs*24 is the first frameshift null mutation to be described in GPI deficiency. Molecular modeling suggests that the structural change induced by the p.Gly87Ala pathogenic variant has direct impact in the structural arrangement of the region close to the active site of the enzyme. PMID: 27519939
- The 2 cysteines in hGPIc-c are prone to form disulfides upon oxidation. hGPIc-c could induce arthritis in both B10.Q and B10Q.Ncf1*/* mice, whereas hGPIs-s immunization did not induce disease at all, showing that these disulfides are critical for the arthritis-inducing immune response. The cysteines at position 330 and 333 are not crucial for TCR recognition. GILT expression affects hGPI-c-c processing at the CXXC motif. PMID: 29127146
- These results suggested that E4P by directly interacting with extracellular HPI/AMF may be an effective strategy to deter BCSC growth and progression. PMID: 28648642
- The silencing of PGI/AMF decreased the levels of phosphorylated Akt (-71.9%, P<0.001) compared with the scrambled siRNA, as well as the levels of the stemness marker, SOX2 (-61.7%, P<0.01). Taken together, these findings suggest that PGI/AMF silencing decreases migration, tumorsphere formation as well as the proportion of on the side population cells in glioblastoma U87 cells. PMID: 26936801
- NLK is able to promote cell proliferation and type II collagen synthesis during in vitro chondrocyte propagation. PMID: 26573126
- Suggest tha AMF/PGI-mediated tumorigenesis occurs through MAPK-ERK signaling in endometrial carcinoma. PMID: 26308071
- Study supports a role for AMF mediating epithelial-mesenchymal transition in endometrial cancer (EC) through MAPK signaling. Therefore, AMF may provide a potential prognostic and therapeutic target in preventing EC progression. PMID: 26201353
- Results showed an increase in GPI and AMFR in clear cell-renal cell carcinoma cells, and their colocalization on plasma membrane. Kaplan-Meier curves showed significant differences in survival among groups of patients with high versus low GPI. PMID: 26579829
- The association of ENO1 and GPI with postthaw sperm viability and motility was confirmed using Pearson's linear correlation. ENO1 and GPI can be used as markers of human sperm freezability before starting the cryopreservation procedure. PMID: 25910678
- High GPI expression is associated with metastatic phenotype of breast cancer. PMID: 24440856
- PGI is a moonlighting protein that functions as a cytosolic enzyme involved in glycolysis and gluconeogenesis, and as cytokine through binding to its cell surface receptor. PMID: 11004567
- Serum anti-GPI autoantibodies are useful for the diagnosis of rheumatoid arthritis in Chinese patients. PMID: 23773638
- Findings suggest that autocrine motility factor (AMF)-HER2 interaction might be a novel target for therapeutic management of patients with breast cancer, whose disease is resistant to trastuzumab. PMID: 23248119
- For PGI, an extended active site in which residues in the first, second, and third layers around the reacting substrate are predicted. PMID: 21970785
- GPI is a target gene of the BACH1 transcription factor according to ChIP-seq analysis in HEK 293 cells. PMID: 21555518
- By regulating ER calcium release, AMF/PGI interaction with gp78/AMFR therefore protects against ER stress identifying novel roles for these cancer-associated proteins in promoting tumor cell survival. PMID: 21252914
- Data suggest that elevated serum glucose-6-phosphate isomerase may be involved in the synovitis of rheumatoid arthritis and may prove useful as a serum marker for disease activity. PMID: 20810510
- Data show that effective downregulation of AMF/PGI expression and subsequent abrogation of AMF/PGI secretion, which resulted in morphologic change with reduced growth, motility, and invasion. PMID: 20978190
- autocrine motility factor/phosphoglucose isomerase against TGF-beta-induced apoptosis was correlated with its enzymatic activity PMID: 19819066
- hypoxia-induced gene in pancreatic cancer cell lines PMID: 11688991
- Overexpression induces neoplastic transformation and survival of NIH-3T3 fibroblasts. PMID: 12517804
- The results demonstrate that the enzymatic activity of PGI is not essential for either receptor binding or cytokine function of human PGI. PMID: 12527360
- crystal structure and analysis of the initial ring-opening step of catalysis PMID: 12573240
- role in regulating cell proliferation PMID: 12783864
- AMF regulates expression of Apaf-1 and caspase-9 genes via a complex signaling pathway and indirectly regulates formation of the apoptosome. (autocrine motility factor) PMID: 14566819
- The observations are consistent with a downstream mediation role of MMP-3 in Pohophoglucose isomerase/AMF-stimulated tumor cell metastasis. PMID: 14715248
- T-cell dependent peripheral polyarthritis induced by recombinant human glucose-6-phosphate isomerase in genetically unaltered mice demonstrates for the first time the induction of organ-specific disease by systemic autoimmunity. PMID: 15034067
- In addition to the findings in rheumatoid arthritis, our results indicate that GPI is not a general target of autoantibodies in juvenile idiopathic arthritis. PMID: 15290745
- Our results suggest that GPI variants may play a crucial role in the production of autoantibodies against ubiquitous GPI autoantigens. PMID: 15369782
- AMF expression significantly contributes to the aggressive phenotype of pancreatic cancer PMID: 15570012
- phosphoglucose isomerase/autocrine motility factor activities are differentially regulated by protein kinase CK2 phosphorylation PMID: 15637053
- interaction with hypoxia-inducible factor-1 drives mobility of erythroid progenitor cells PMID: 15850830
- N-glyco side-chain of AMFR is a trigger and that interaction between the 117-C-terminal part of AMF and the extracellular core protein of autocrine motility factor receptor (AMFR) is needed during AMF-AMFR interactions PMID: 16563432
- elevated G6PI levels present in patients with immune-based inflammatory arthritis may contribute to elevated levels of anti-G6PI Abs and G6PI/anti-G6PI immune complexes PMID: 16949042
- Missense mutations c.341A>T (p.Asp113Val) in exon 4 and c.663T>G (p.Asn220Lys) in exon 7 are associated with hereditary nonspherocytic hemolytic anemia. PMID: 17041899
- the receptor molecule for AMF/NLK/MF in leukemic differentiation is not gp78 PMID: 17071500
- raft-dependent endocytosis of AMF follows a distinct phosphatidylinositol 3-kinase-dependent pathway that is up-regulated in more aggressive tumor cells PMID: 17690101
- PGI/AMF is involved in oxidative stress-induced cellular senescence and should bring novel insights into the control of cellular growth leading to a new methodology for cancer treatment. PMID: 17925402
- IL-6 and Th17 play an essential role in GPI-induced arthritis PMID: 18311788
- Results of this study suggest that AMF stimulation stimulates MMP3 expression via a MAPK signaling pathway. PMID: 18485900
- Peptide fragment glucose phosphate isomerase (GPI)325-339 is identified as a major epitope in GPI-induced arthritis, with potential to induce polyarthritis. PMID: 18992137
- Mutations effect catalytic activity and structural stability of human glucose-6-phosphate isomerase. PMID: 19064002
- Expression of this protein leads to mesenchymal-topepithelial transition in breast cancer cells. PMID: 19531650
- overexpression of PGI significantly contributes to the aggressive phenotype of human colon cancer PMID: 19787266
- melanoma migration induced by AMF is mediated by autocrine production of IL-8 as a novel downstream modulator of the AMF signaling pathway PMID: 19801670
顯示更多
收起更多
-
相關疾病:Hemolytic anemia, non-spherocytic, due to glucose phosphate isomerase deficiency (HA-GPID)
-
亞細胞定位:Cytoplasm. Secreted.
-
蛋白家族:GPI family
-
數據庫鏈接:
Most popular with customers
-
-
YWHAB Recombinant Monoclonal Antibody
Applications: ELISA, WB, IHC, IF, FC
Species Reactivity: Human, Mouse, Rat
-
Phospho-YAP1 (S127) Recombinant Monoclonal Antibody
Applications: ELISA, WB, IHC
Species Reactivity: Human
-
-
-
-
-















