ZFP36L2 Antibody
-
中文名稱:ZFP36L2兔多克隆抗體
-
貨號:CSB-PA605333
-
規格:¥1100
-
圖片:
-
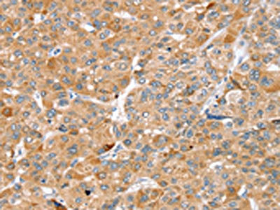
The image on the left is immunohistochemistry of paraffin-embedded Human liver cancer tissue using CSB-PA605333(ZFP36L2 Antibody) at dilution 1/45, on the right is treated with synthetic peptide. (Original magnification: ×200)
-
Gel: 8%SDS-PAGE, Lysate: 40 μg, Lane: NIH/3T3 cells, Primary antibody: CSB-PA605333(ZFP36L2 Antibody) at dilution 1/550, Secondary antibody: Goat anti rabbit IgG at 1/8000 dilution, Exposure time: 30 seconds
-
-
其他:
產品詳情
-
Uniprot No.:
-
基因名:
-
別名:BRF2 antibody; Butyrate response factor 2 antibody; C3H1 type-like 2 antibody; EGF response factor 2 antibody; EGF-response factor 2 antibody; ERF 2 antibody; ERF-2 antibody; ERF2 antibody; Protein TIS11D antibody; RNF162C antibody; TIS11D antibody; TISD_HUMAN antibody; ZFP36 like 2 antibody; ZFP36 ring finger protein like 2 antibody; ZFP36-like 2 antibody; Zfp36l2 antibody; Zinc finger protein 36 antibody; Zinc finger protein 36, C3H type like 1 antibody; zinc finger protein 36, C3H type like 2 antibody; Zinc finger protein 36, C3H1 type like 2 antibody; Zinc finger protein, C3H type, 36 like 2 antibody
-
宿主:Rabbit
-
反應種屬:Human,Mouse
-
免疫原:Synthetic peptide of Human ZFP36L2
-
免疫原種屬:Homo sapiens (Human)
-
標記方式:Non-conjugated
-
抗體亞型:IgG
-
純化方式:Antigen affinity purification
-
濃度:It differs from different batches. Please contact us to confirm it.
-
保存緩沖液:-20°C, pH7.4 PBS, 0.05% NaN3, 40% Glycerol
-
產品提供形式:Liquid
-
應用范圍:ELISA,WB,IHC
-
推薦稀釋比:
Application Recommended Dilution ELISA 1:1000-1:2000 WB 1:200-1:1000 IHC 1:25-1:100 -
Protocols:
-
儲存條件:Upon receipt, store at -20°C or -80°C. Avoid repeated freeze.
-
貨期:Basically, we can dispatch the products out in 1-3 working days after receiving your orders. Delivery time maybe differs from different purchasing way or location, please kindly consult your local distributors for specific delivery time.
-
用途:For Research Use Only. Not for use in diagnostic or therapeutic procedures.
相關產品
靶點詳情
-
功能:Zinc-finger RNA-binding protein that destabilizes several cytoplasmic AU-rich element (ARE)-containing mRNA transcripts by promoting their poly(A) tail removal or deadenylation, and hence provide a mechanism for attenuating protein synthesis. Acts as a 3'-untranslated region (UTR) ARE mRNA-binding adapter protein to communicate signaling events to the mRNA decay machinery. Functions by recruiting the CCR4-NOT deadenylase complex and probably other components of the cytoplasmic RNA decay machinery to the bound ARE-containing mRNAs, and hence promotes ARE-mediated mRNA deadenylation and decay processes. Binds to 3'-UTR ARE of numerous mRNAs. Promotes ARE-containing mRNA decay of the low-density lipoprotein (LDL) receptor (LDLR) mRNA in response to phorbol 12-myristate 13-acetate (PMA) treatment in a p38 MAPK-dependent manner. Positively regulates early adipogenesis by promoting ARE-mediated mRNA decay of immediate early genes (IEGs). Plays a role in mature peripheral neuron integrity by promoting ARE-containing mRNA decay of the transcriptional repressor REST mRNA. Plays a role in ovulation and oocyte meiotic maturation by promoting ARE-mediated mRNA decay of the luteinizing hormone receptor LHCGR mRNA. Acts as a negative regulator of erythroid cell differentiation: promotes glucocorticoid-induced self-renewal of erythroid cells by binding mRNAs that are induced or highly expressed during terminal erythroid differentiation and promotes their degradation, preventing erythroid cell differentiation. In association with ZFP36L1 maintains quiescence on developing B lymphocytes by promoting ARE-mediated decay of several mRNAs encoding cell cycle regulators that help B cells progress through the cell cycle, and hence ensuring accurate variable-diversity-joining (VDJ) recombination process and functional immune cell formation. Together with ZFP36L1 is also necessary for thymocyte development and prevention of T-cell acute lymphoblastic leukemia (T-ALL) transformation by promoting ARE-mediated mRNA decay of the oncogenic transcription factor NOTCH1 mRNA.
-
基因功能參考文獻:
- Significantly mutated gene ZFP36L2 displayed strong antiproliferation function in Esophageal Squamous Cell Carcinoma but not in Esophageal Adenocarcinomas. PMID: 28860350
- silencing ZFP36L2 inhibited cancer cell aggressiveness in pancreatic ductal adenocarcinoma cell lines, and overexpression of ZFP36L2 was confirmed in pancreatic ductal adenocarcinoma clinical specimens PMID: 27862697
- Study of the role of the C-terminal residues in the structure of unbound TIS11d, the E220A mutant and the truncation mutant lacking the last two residues (D219/E220) using molecular dynamics, NMR spectroscopy, and biochemical methods PMID: 25809263
- Data suggest that the dysregulation of TIS11D function is associated with the pathogenesis of certain types of leukemia. PMID: 21109922
- ZFP36L2 gene expression is decreased in both classic and follicular variants of papillary thyroid carcinoma. PMID: 21509594
- Multiple nanosecond timescale molecular dynamics trajectories of TIS11d wild-type and E157R/E195K mutant with different RNA sequences were performed to investigate the molecular basis for RNA binding specificities of this TZF domain. PMID: 20506496
- Sequence specificity in RNA recognition is achieved by a network of intermolecular hydrogen bonds, mostly between TIS11d main-chain functional groups and the Watson-Crick edges of the bases PMID: 14981510
- These data suggest TIS11D as a candidate p53 target gene that may be part of the network of genes responsible for p53-dependent apoptosis. PMID: 17172869
顯示更多
收起更多
-
相關疾病:Defects in ZFP36L2 may be a cause of leukemias. Frameshfits mutations disrupting ZFP36L2 have been found in a patient with acute myeloid leukemia (PubMed:21109922).
-
亞細胞定位:Nucleus. Cytoplasm.
-
組織特異性:Expressed mainly in the basal epidermal layer, weakly in the suprabasal epidermal layers. Expressed in epidermal keratinocytes (at protein level).
-
數據庫鏈接:
Most popular with customers
-
-
YWHAB Recombinant Monoclonal Antibody
Applications: ELISA, WB, IHC, IF, FC
Species Reactivity: Human, Mouse, Rat
-
Phospho-YAP1 (S127) Recombinant Monoclonal Antibody
Applications: ELISA, WB, IHC
Species Reactivity: Human
-
-
-
-
-















