YWHAQ Antibody
-
中文名稱:YWHAQ兔多克隆抗體
-
貨號:CSB-PA184783
-
規格:¥1100
-
圖片:
-
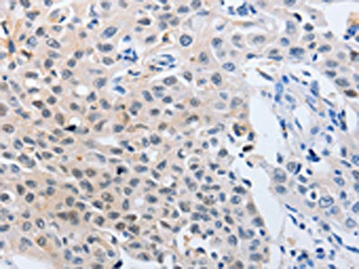
The image on the left is immunohistochemistry of paraffin-embedded Human ovarian cancer tissue using CSB-PA184783(YWHAQ Antibody) at dilution 1/50, on the right is treated with synthetic peptide. (Original magnification: ×200)
-
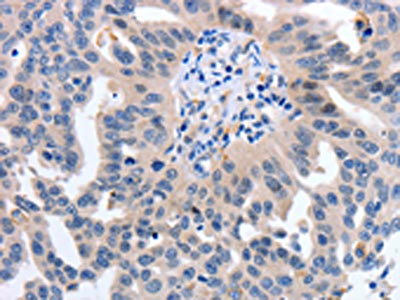
The image on the left is immunohistochemistry of paraffin-embedded Human lung cancer tissue using CSB-PA184783(YWHAQ Antibody) at dilution 1/50, on the right is treated with synthetic peptide. (Original magnification: ×200)
-
Gel: 10+12%SDS-PAGE, Lysate: 40 μg, Lane 1-4: Mouse brain tissue, A549 cells, human lymphoma tissue, hela cells, Primary antibody: CSB-PA184783(YWHAQ Antibody) at dilution 1/950, Secondary antibody: Goat anti rabbit IgG at 1/8000 dilution, Exposure time: 1 minute
-
-
其他:
產品詳情
-
Uniprot No.:
-
基因名:
-
別名:14-3-3 protein T cell antibody; 14-3-3 protein T-cell antibody; 14-3-3 protein tau antibody; 14-3-3 protein theta antibody; 1433T_HUMAN antibody; IC5 antibody; Protein HS1 antibody; Protein tau antibody; YWHAQ tyrosine 3 monooxygenase/tryptophan 5-monooxygenase activation protein, theta polypeptide antibody; Ywhaq antibody
-
宿主:Rabbit
-
反應種屬:Human,Mouse,Rat
-
免疫原:Synthetic peptide of Human YWHAQ
-
免疫原種屬:Homo sapiens (Human)
-
標記方式:Non-conjugated
-
抗體亞型:IgG
-
純化方式:Antigen affinity purification
-
濃度:It differs from different batches. Please contact us to confirm it.
-
保存緩沖液:-20°C, pH7.4 PBS, 0.05% NaN3, 40% Glycerol
-
產品提供形式:Liquid
-
應用范圍:ELISA,WB,IHC
-
推薦稀釋比:
Application Recommended Dilution ELISA 1:2000-1:10000 WB 1:1000-1:5000 IHC 1:25-1:100 -
Protocols:
-
儲存條件:Upon receipt, store at -20°C or -80°C. Avoid repeated freeze.
-
貨期:Basically, we can dispatch the products out in 1-3 working days after receiving your orders. Delivery time maybe differs from different purchasing way or location, please kindly consult your local distributors for specific delivery time.
-
用途:For Research Use Only. Not for use in diagnostic or therapeutic procedures.
相關產品
靶點詳情
-
功能:Adapter protein implicated in the regulation of a large spectrum of both general and specialized signaling pathways. Binds to a large number of partners, usually by recognition of a phosphoserine or phosphothreonine motif. Binding generally results in the modulation of the activity of the binding partner. Negatively regulates the kinase activity of PDPK1.
-
基因功能參考文獻:
- Chk1 and 14-3-3 proteins cooperate to inactivate the transcriptional repressor functions of atypical E2F proteins. This mechanism might be of particular importance to cancer cells, since they are exposed frequently to DNA-damaging therapeutic reagents. PMID: 29363506
- results suggest that PKC SUMOylation is an important regulator of the 14-3-3 and GluK2a protein complex and may contribute to regulate the decay kinetics of kainate receptor-excitatory postsynaptic currents PMID: 28837400
- Results show that 14-3-3zeta promotes cell proliferation, migration and invasion in lung adenocarcinoma. 14-3-3zeta upregulates MUC1 expression through enhancing MUC1/NFkappaB feedback loop. Its high expression is associated with poor survival in lung adenocarcinoma patients. PMID: 28901525
- TGFbetaR1 signaling was involved in 14-3-3zeta-mediated cell proliferation and metastasis of lung squamous cell carcinoma cells. PMID: 27764818
- Loss of Par3 promotes metastatic behavior in lung adenocarcinoma cells through 14-3-3zeta protein. PMID: 27588399
- this study reveals that 14-3-3zeta plays a critical role in Wnt5a/ROR1 signaling, leading to enhanced CLL migration and proliferation. PMID: 28465528
- Our results indicate that TRIM25 is associated with cisplatin resistance and 14-3-3sigma-MDM2-p53 signaling pathway is involved in this process, suggesting targeting TRIM25 may be a potential strategy for the reversal of cisplatin resistance. PMID: 28867193
- Up-regulation of 14-3-3zeta in response to pVHL is important for the recruitment of PI3K to the cell membrane and for stabilization of soluble beta-catenin. PMID: 28666999
- The 14-3-3 family is dysregulated in schizophrenia, perhaps owing to specific regulatory mechanisms; the expression of the 14-3-3 epsilon, theta and zeta isoforms could be useful indicators of disease severity. PMID: 27030512
- High urine 14-3-3 expression is associated with Advanced Stage in Patients with Clear Cell Renal Cell Carcinoma. PMID: 27039779
- Levels of 14-3-3 protein predict poorer radiographic outcomes in inflammatory polyarthritis patients. PMID: 26832367
- Study shows that 14-3-3 zeta/delta is important in the extracellular vesicles mediated induction of colon malignant phenotype, suggesting its role as a potential target for therapeutic interventions. PMID: 26231887
- the effects of cell viability, migration and invasion were mediated in 14-3-3zeta-dependent manner while that of cell apoptosis was mediated in 14-3-3zeta-independent manner. PMID: 26054824
- 14-3-3zeta reduces DNA damage by interacting with and stabilizing proliferating cell nuclear antigen PMID: 25169136
- phosphorylation of HS1 tyrosines at positions 222, 378 and 397 was required for transendothelial migration of NK cells. PMID: 25723543
- Mimitin and 14-3-3 protein zeta/delta are potential markers of paclitaxel resistance and prognostic factors in ovarian cancer. PMID: 26033570
- 14-3-3S is an interesting protein biomarker with the potential to further improve the accuracy of differential diagnostic process of hepatocellular tumors. PMID: 25448011
- The observed participation of 14-3-3 tau in the regulation of the placental epigenome may participate in the molecular mechanisms that govern the pathological process of preeclampsia, although this requires further evaluation. PMID: 25305692
- Epigenetic silencing of 14-3-3sigma occurred more frequently in the chronic inflammation group than in cancer patients and healthy controls. PMID: 25041782
- 14-3-3epsilon is involved in the regulation of cell cycle control, apoptosis, adhesion, carbohydrate metabolism, and nucleic acid metabolism. PMID: 24363202
- CCL20 and 14-3-3 zeta are molecules that play a putative role during tumorgenesis in pancreas, and may therefore be new parameters for histological diagnosis and discrimination between pancreatic neoplasms and chronic pancreatitis. PMID: 24629487
- Significant down-regulation of brain 14-3-3 levels were identified during prion infection. PMID: 24135906
- In this minireview, we focus on mechanisms of the 14-3-3 protein-dependent regulation of three important 14-3-3 binding partners: yeast neutral trehalase Nth1, regulator of G-protein signaling 3 (RGS3), and phosducin. [review] PMID: 24564655
- Using gene reporter assays, we show that promoter variations in 11 intrinsic apoptosis genes, including ADPRT, APAF1, BCL2, BAD, BID, MCL1, BIRC4, BCL2L1, ENDOG, YWHAB, and YWHAQ, influence promoter activity in an allele-specific manner. PMID: 24038028
- 14-3-3s not only can bind and regulate the activity of multiple phosphoproteins, but also possess moonlighting chaperone-like activity PMID: 24681339
- Data indicate that 14-3-3 zeta, gamma, epsilon, and tau isoforms but not the sigma protein hydrolyze ATP. PMID: 24269678
- Non-sigma 14-3-3 proteins synergized with ETV1 to activate transcription. PMID: 23774214
- 14-3-3 negatively regulates the RGC downstream of the PI3-kinase/Akt signaling pathway PMID: 23386617
- Data demonstrated that 14-3-3tau enhances the transcriptional activity of PR-B. PMID: 22967481
- this mini-review attempts to collect and to describe the data concerning monomers of 14-3-3.[review] PMID: 23159940
- a weak complex between RhoGAP protein ARHGAP22 and signal regulatory protein 14-3-3 has 1:2 stoichiometry and a single peptide binding mode PMID: 22952583
- An isoform-specific role for 14-3-3 protein is associated with atherosclerotic lesions of the cerebral and carotid arteries. PMID: 22405925
- Cerebrospinal fluid protein 14-3-3 detection remains an important test in the diagnosis of Creutzfeldt-Jakob disease. PMID: 23012332
- egradation of antiapoptosis protein 143-3beta induced by PrP106-126 peptide may be one of pathogenesis mechanism of prion disease PMID: 22978167
- LRFN4 complexed with 14-3-3s and NCK1 to mediate elongation in monocytic cells via Rac-1-mediated actin cytoskeleton reorganization PMID: 22677168
- 14-3-3 interacts with nonphosphorylated tau and promotes its interaction with and phosphorylation by a number of protein kinases. PMID: 21876254
- It was shown that ARF6 competes with 14-3-3 for binding to centralspindlin such that midbodies formed by centralspindlin mutants that can bind 14-3-3 but not ARF6 frequently collapse before abscission. PMID: 22580824
- autophosphorylation of Thr336 acts as an activating signal for LKB1 to recruit 14-3-3, which in turn attenuates the activation of LKB1 to keep the activity of LKB1 in check. PMID: 22575644
- 14-3-3 theta/tau and tBID have roles as predictive biomarkers of neoadjuvant chemotherapy resistance in breast cancer PMID: 22115752
- Altered 14-3-3 expression in brain can contribute to synaptic dysfunction and altered neurotransmission in chronic alcohol misuse by human subjects. PMID: 21332526
- Results suggest that the 14-3-3 protein binding affects the structure of the Galpha interaction portion of RGS3 as well as sterically blocks the interaction between the RGS domain and the Galpha subunit of heterotrimeric G proteins. PMID: 22027839
- 14-3-3 proteins mediate CaR-dependent Rho signalling and may modulate the plasma membrane expression of the CaR. PMID: 22010828
- 14-3-3beta has oncogenic potential in breast cancer via binding to ERalpha and activation of the transcriptional activity of ERalpha. PMID: 21946067
- 14-3-3 theta is a new and important regulatory protein in the TLR-2 and TLR-4 signaling suppressing the MyD88-dependent pathway PMID: 21827211
- The phosphatidylinositol transfer protein RdgBbeta binds 14-3-3 via its unstructured C-terminus, whereas its lipid-binding domain interacts with the integral membrane protein ATRAP (angiotensin II type I receptor-associated protein). PMID: 21728994
- Results suggest that 14-3-3 proteins may be associated with the formation of SOD1-containing inclusions, in FALS patients and the mutant SOD1-Tg mice. PMID: 21655264
- the toxin fusicoccin promotes binding of regulatory 14-3-3 proteins to glycoprotein Ibalpha and hampers binding to glycoprotein Ibbeta subunit. PMID: 21395556
- novel role for 14-3-3tau in the regulation of Beclin 1 expression and autophagy PMID: 20454448
- Depletion of Lats2 or 14-3-3gamma by siRNA inhibits P-body formation in response to UV. PMID: 21118956
- The study found that the 14-3-3 tau expression level with the formation of syncytiotrophoblast cells increased. PMID: 21046037
顯示更多
收起更多
-
亞細胞定位:Cytoplasm. Note=In neurons, axonally transported to the nerve terminals.
-
蛋白家族:14-3-3 family
-
組織特異性:Abundantly expressed in brain, heart and pancreas, and at lower levels in kidney and placenta. Up-regulated in the lumbar spinal cord from patients with sporadic amyotrophic lateral sclerosis (ALS) compared with controls, with highest levels of expression
-
數據庫鏈接:
Most popular with customers
-
-
YWHAB Recombinant Monoclonal Antibody
Applications: ELISA, WB, IHC, IF, FC
Species Reactivity: Human, Mouse, Rat
-
Phospho-YAP1 (S127) Recombinant Monoclonal Antibody
Applications: ELISA, WB, IHC
Species Reactivity: Human
-
-
-
-
-















