YWHAE Antibody
-
中文名稱:YWHAE兔多克隆抗體
-
貨號:CSB-PA902567
-
規格:¥1100
-
圖片:
-
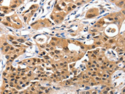
The image on the left is immunohistochemistry of paraffin-embedded Human colon cancer tissue using CSB-PA902567(YWHAE Antibody) at dilution 1/100, on the right is treated with synthetic peptide. (Original magnification: ×200)
-
The image on the left is immunohistochemistry of paraffin-embedded Human lung cancer tissue using CSB-PA902567(YWHAE Antibody) at dilution 1/100, on the right is treated with synthetic peptide. (Original magnification: ×200)
-
Gel: 12%SDS-PAGE, Lysate: 40 μg, Lane 1-2: Human brain malignant glioma tissue, Human laryngocarcinoma tissue, Primary antibody: CSB-PA902567(YWHAE Antibody) at dilution 1/2200, Secondary antibody: Goat anti rabbit IgG at 1/8000 dilution, Exposure time: 30 seconds
-
-
其他:
產品詳情
-
Uniprot No.:
-
基因名:
-
別名:14 3 3 E antibody; 14 3 3 epsilon antibody; 14 3 3E antibody; 14-3-3 protein epsilon antibody; 14-3-3E antibody; 1433E_HUMAN antibody; Epididymis luminal protein 2 antibody; FLJ45465 antibody; FLJ53559 antibody; HEL2 antibody; KCIP 1 antibody; KCIP1 antibody; MDCR antibody; MDS antibody; Mitochondrial import stimulation factor L subunit antibody; Protein kinase C inhibitor protein1 antibody; Tyrosine 3 monooxygenase/tryptophan 5 monooxygenase activation protein; epsilon antibody; Tyrosine 3 monooxygenase/tryptophan 5 monooxygenase activation protein; epsilon polypeptide antibody; Tyrosine 3/tryptophan 5 monooxygenase activation protein epsilon polypeptide antibody; YWHAE antibody
-
宿主:Rabbit
-
反應種屬:Human,Mouse,Rat
-
免疫原:Synthetic peptide of Human YWHAE
-
免疫原種屬:Homo sapiens (Human)
-
標記方式:Non-conjugated
-
抗體亞型:IgG
-
純化方式:Antigen affinity purification
-
濃度:It differs from different batches. Please contact us to confirm it.
-
保存緩沖液:-20°C, pH7.4 PBS, 0.05% NaN3, 40% Glycerol
-
產品提供形式:Liquid
-
應用范圍:ELISA,WB,IHC
-
推薦稀釋比:
Application Recommended Dilution ELISA 1:2000-1:10000 WB 1:1000-1:5000 IHC 1:100-1:300 -
Protocols:
-
儲存條件:Upon receipt, store at -20°C or -80°C. Avoid repeated freeze.
-
貨期:Basically, we can dispatch the products out in 1-3 working days after receiving your orders. Delivery time maybe differs from different purchasing way or location, please kindly consult your local distributors for specific delivery time.
-
用途:For Research Use Only. Not for use in diagnostic or therapeutic procedures.
相關產品
靶點詳情
-
功能:Adapter protein implicated in the regulation of a large spectrum of both general and specialized signaling pathways. Binds to a large number of partners, usually by recognition of a phosphoserine or phosphothreonine motif. Binding generally results in the modulation of the activity of the binding partner. Positively regulates phosphorylated protein HSF1 nuclear export to the cytoplasm.
-
基因功能參考文獻:
- results support YWHAE being a risk gene for Major Depressive Disorder in the Han Chinese population. PMID: 28414084
- YWHAE silencing induces cell proliferation, invasion and migration through the up-regulation of CDC25B and MYC in gastric cancer cells. PMID: 27863420
- we report recurrent BCOR exon 16 internal tandem duplications and YWHAE-NUTM2B fusions in half of infantile soft tissue undifferentiated round cell sarcoma and most primitive myxoid mesenchymal tumor of infancy cases, but not in other pediatric sarcomas. PMID: 26945340
- For metastatic YWHAE-rearranged HG-ESS, prolonged disease control following diagnosis was seen, with notable responses to anthracycline-based therapy. This emphasizes the need for appropriate molecular testing of uterine mesenchymal malignancies. PMID: 28390819
- phosphorus NMR and time-resolved tryptophan fluorescence measurements suggest that 14-3-3zeta interacts with the kinase domain of ASK1 in close proximity to its active site, thus indicating this interaction might block its accessibility and/or affect its conformation. PMID: 27514745
- The 14-3-3 family is dysregulated in schizophrenia, perhaps owing to specific regulatory mechanisms; the expression of the 14-3-3 epsilon, theta and zeta isoforms could be useful indicators of disease severity. PMID: 27030512
- Studies show that patients with clear cell sarcoma of the kidney (CCSK) and the fusion YWHAE-NUTM2B/E were relatively young, had low tumor volumes, and did not present with stage I disease which fail to identify an explicit clinical phenotype. PMID: 26542179
- Data show that the NS3 protein of dengue virus bound to 14-3-3 epsilon protein (14-3-3varepsilon) and prevented translocation of retinoic acid-inducible gene-I protein (RIG-I) to the adaptor MAVS protein and thereby blocked antiviral signaling. PMID: 26998762
- Report mutually exclusive BCOR internal tandem duplications and YWHAE-NUTM2 fusions in clear cell sarcoma of kidney. PMID: 27000436
- CEP131 is the key regulatory target of MK2 and 14-3-3 in centriolar satellite remodeling. PMID: 26616734
- 14-3-3epsilon might directly bind to CD13, which transmits its signal in chondrocytes to induce a catabolic phenotype similar to that observed in osteoarthritis. PMID: 26208633
- DAPK2-induced apoptosis is negatively regulated by Akt and 14-3-3 proteins. PMID: 26047703
- These data demonstrate a novel role for HDAC6 in controlling 14-3-3zeta binding activity. PMID: 25770209
- YWHAE-FAM22 rearrangement is associated with endometrial stromal sarcomas. PMID: 25244606
- Results suggest a specific role for YWHAE single nucleotide polymorphisms in the pathophysiology of schizophrenia. PMID: 25105667
- Cleft lip/palate has been found associated with 17p13.3 duplication involving a single candidate gene (YWHAE) in a father and his son. PMID: 23901910
- Data show that two isoforms of the 14-3-3 family, 14-3-3epsilon and 14-3-3 gamma, can stabilize Cdt2 independent of each other when overexpressed. PMID: 25154416
- These results suggest a possible role for the YWHAE genotype in the early development of the OFC sulcogyral pattern in patients with schizophrenia. PMID: 24561237
- data indicate that 14-3-3 is required for Bim expression and that it has an anti-cancer effect under pERK1/2 inhibition in 143B cells PMID: 24536031
- for endometrial sarcoma cases with high-grade morphology we recommend to test for YWHAE rearrangements by FISH break-apart PMID: 23599159
- YWHAE polymorphisms may be a genetic risk factor for HIV-associated neurocognitive disorder (HAND). PMID: 23982958
- Data indicate that 14-3-3 zeta, gamma, epsilon, and tau isoforms but not the sigma protein hydrolyze ATP. PMID: 24269678
- Carriers of the YWHAE*C allele of rs3752826 polymorphism have increased risk of suicidal behavior. PMID: 24450199
- findings suggest that FAK expression is correlated with and upregulated by 14-3-3epsilon via activation of NFkappaB PMID: 22934705
- interaction between NAV2 and 14-3-3epsilon PMID: 24161943
- 14-3-3epsilon associates with TAK1 in a phosphorylation-dependent manner to determine the cell fate of Bleomycin-treated HCC cells PMID: 23472066
- YWHAE gene duplication is associated with developmental, behavioral and brain abnormalities. PMID: 23813913
- 14-3-3epsilon may act as an important regulator in modulating tumor metastasis by promoting epithelial-mesenchymal transition as well as cell migration. PMID: 23483955
- The subcellular localization of full-length human MLF1 is 14-3-3epsilon-independent. PMID: 23271436
- The ERK/MAPK pathway is involved in the pathogenesis of gastric cancer; RKIP and 14-3-3epsilon exert an opposite effect on this pathway and the cells possibly via both direct and indirect reactions with the elements in this pathway. PMID: 22899242
- the -458G>T YWHAE variant contributes to the abnormal myocardial morphogenesis characteristic of LVNC as well as abnormal brain development, and implicate YWHAE as a novel candidate gene in pediatric cardiomyopathies. PMID: 23266643
- YWHAE gene contribute to the phenotype of small 17p13.3 chromosomal duplication in Miller-Dieker syndrome PMID: 23035971
- results suggest that YWHAE does play a major role in bipolar disorder in the Han Chinese population. PMID: 23140658
- These results showed that IgE is produced during malaria, and that the negative correlation between levels of IgE to 14-3-3 epsilon protein and parasitemia in asymptomatic malaria supports a role for these IgE molecules in defense mechanisms. PMID: 22984113
- Data obtained, which have never previously been reported, were used to modify the published 14-3-3 crystal structure using molecular modeling. PMID: 22580067
- When evaluating high-grade uterine sarcomas, cyclin D1 can be included in the immuno-histochemical panel as an indicator of YWHAE-FAM22endometrial stromal sarcoma. PMID: 22982899
- results indicate that the dosage effect of YWHAE varies from severe to very mild structural brain abnormalities, and suggest that the expression of YWHAE is associated with a complex mechanism of neuronal development PMID: 22887762
- 14-3-3epsilon is essential for the stable interaction of RIG-I with TRIM25, which facilitates RIG-I ubiquitination and initiation of innate immunity against hepatitis C virus and other pathogenic RNA viruses. PMID: 22607805
- Tumors with YWHAE-FAM22 rearrangements constitute a distinct group of endometrial stromal sarcoma (ESS), which is associated with high-grade morphology and aggressive clinical behavior compared to JAZF1 ESS. PMID: 22456610
- Collectively, these results identify a novel locus of apoptosomal regulation wherein MAPK signalling promotes Rsk-catalysed Apaf-1 phosphorylation and consequent binding of 14-3-3varepsilon, resulting in decreased cellular responsiveness to cytochrome c. PMID: 22246185
- Data present the high-resolution crystal structure of this binding motif [MLF1(29-42)pSer34] in complex with 14-3-3epsilon and analyse the interaction with isothermal titration calorimetry. PMID: 22151054
- Fluorescence in situ hybridization analysis demonstrated absolute specificity of YWHAE-FAM22A/B genetic rearrangement for high-grade endometrial stromal sarcoma. PMID: 22223660
- YWHAE does not play a major role in schizophrenia, major depressive disorder or bipolar disorder in the Han Chinese populatio PMID: 21184166
- Data suggest a regulatory circuitry involving Smad4 dependent up-regulation of KRT23 (directly or indirectly) which in turn modulates the interaction between KRT23 and 14-3-3epsilon leading to a cytoplasmic sequestration of 14-3-3epsilon. PMID: 21492476
- Results suggest that ERK and p38 MAPK regulate subcellular localization of Prdx6 by activation of 14-3-3epsilon as a chaperone protein, resulting in its translocation to acidic organelles. PMID: 21346153
- Overexpression of 14-3-3epsilon predicts tumour metastasis and poor survival in hepatocellular carcinoma PMID: 21401702
- For the first time, we found that TNF-alpha stimulation enhances the interactions between 14-3-3 epsilon and some key components in the mitogen-activated protein kinase (MAPK) signal module which is located at the immediate upstream of NF-kappaB. PMID: 20462248
- The 14-3-3 epsilon, zeta and theta may be involved in tumorigenesis of meningioma and be efficient markers for predicting the degree of malignancy in meningioma. PMID: 20388496
- Decreased expression of 14-3-3epsilon in contributes to the initiation and progression of laryngeal carcinoma by affecting apoptosis and invasion. PMID: 20565895
- the identification of a novel splicing variant of human 14-3-3 epsilon (14-3-3 epsilon sv), derived from a novel exon 1' insertion is reported. PMID: 20417184
顯示更多
收起更多
-
亞細胞定位:Nucleus. Cytoplasm. Melanosome.
-
蛋白家族:14-3-3 family
-
數據庫鏈接:
Most popular with customers
-
-
YWHAB Recombinant Monoclonal Antibody
Applications: ELISA, WB, IHC, IF, FC
Species Reactivity: Human, Mouse, Rat
-
Phospho-YAP1 (S127) Recombinant Monoclonal Antibody
Applications: ELISA, WB, IHC
Species Reactivity: Human
-
-
-
-
-















