VTN Antibody
-
中文名稱:VTN兔多克隆抗體
-
貨號:CSB-PA025944ESR1HU
-
規格:¥440
-
圖片:
-
Western blot
All lanes: Vitronectin antibody at 12μg/ml + HepG2 whole cell lysate
Secondary
Goat polyclonal to rabbit IgG at 1/10000 dilution
Predicted band size: 54 kDa
Observed band size: 54 kDa -
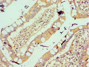
Immunohistochemistry of paraffin-embedded human small intestine tissue using CSB-PA025944ESR1HU at dilution of 1:100
-
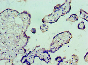
Immunohistochemistry of paraffin-embedded human placenta tissue using CSB-PA025944ESR1HU at dilution of 1:100
-
Immunoprecipitating VTN in NIH/3T3 whole cell lysate
Lane 1: Rabbit control IgG instead of CSB-PA025944ESR1HU in NIH/3T3 whole cell lysate. For western blotting, a HRP-conjugated Protein G antibody was used as the secondary antibody (1/2000)
Lane 2: CSB-PA025944ESR1HU (8μg) + NIH/3T3 whole cell lysate (500μg)
Lane 3: NIH/3T3 whole cell lysate (10μg)
-
-
其他:
產品詳情
-
產品名稱:Rabbit anti-Homo sapiens (Human) VTN Polyclonal antibody
-
Uniprot No.:
-
基因名:
-
別名:Complement S Protein antibody; Epibolin antibody; S Protein antibody; S-protein antibody; Serum Spreading Factor antibody; Serum-spreading factor antibody; Somatomedin B antibody; Somatomedin-B antibody; V75 antibody; Vitronectin antibody; Vitronectin V10 subunit antibody; Vitronectin V65 subunit antibody; VN antibody; VNT antibody; VTN antibody; VTNC_HUMAN antibody
-
宿主:Rabbit
-
反應種屬:Human
-
免疫原:Recombinant Human Vitronectin protein (364-478AA)
-
免疫原種屬:Homo sapiens (Human)
-
標記方式:Non-conjugated
-
克隆類型:Polyclonal
-
抗體亞型:IgG
-
純化方式:Antigen Affinity Purified
-
濃度:It differs from different batches. Please contact us to confirm it.
-
保存緩沖液:PBS with 0.02% sodium azide, 50% glycerol, pH7.3.
-
產品提供形式:Liquid
-
應用范圍:ELISA, WB, IHC, IP
-
推薦稀釋比:
Application Recommended Dilution WB 1:500-1:5000 IHC 1:20-1:200 IP 1:200-1:2000 -
Protocols:
-
儲存條件:Upon receipt, store at -20°C or -80°C. Avoid repeated freeze.
-
貨期:Basically, we can dispatch the products out in 1-3 working days after receiving your orders. Delivery time maybe differs from different purchasing way or location, please kindly consult your local distributors for specific delivery time.
-
用途:For Research Use Only. Not for use in diagnostic or therapeutic procedures.
相關產品
靶點詳情
-
功能:Vitronectin is a cell adhesion and spreading factor found in serum and tissues. Vitronectin interact with glycosaminoglycans and proteoglycans. Is recognized by certain members of the integrin family and serves as a cell-to-substrate adhesion molecule. Inhibitor of the membrane-damaging effect of the terminal cytolytic complement pathway.; Somatomedin-B is a growth hormone-dependent serum factor with protease-inhibiting activity.
-
基因功能參考文獻:
- Insulin resistance and age independently predicted VTN levels. VTN may be a candidate target for the appraisal of hepatic insulin resistance in patients with type 2 diabetes. PMID: 29780059
- The 10 kDa C-terminal fragment of the ECM protein vitronectin (VTN) was then selected as a promising circulating biomarker in discriminating Nonalcoholic steatohepatitis. PMID: 29463024
- The authors observed that exposure of Burkholderia pseudomallei and the closely related yet avirulent Burkholderia thailandensis to human plasma increased epithelial cell invasion by >20 fold. Receptor blocking studies with RGD-domain containing peptide and alphaV beta3 blocking antibody identified complement-activated vitronectin as the factor facilitating this invasion. PMID: 28186697
- Additionally, the authors utilized vitroenctin-derived peptides to map the minimal Rickettsia conorii Adr1/human vitronectin interaction to the C-terminal region of vitronectin. PMID: 28299286
- We show that small N-terminal fragments of VN consistent with processing of the RGD motif are present in liquid biopsies of cancer patients as well as in the urine of healthy individuals. PMID: 27189837
- Serum vitronectin levels are elevated in human glioma, as well as are independently associated with pathologic grade based on WHO classification and 5-year poor prognosis. Moreover, this biomarker significantly discriminates gliomas from controls, other non-glioma brain tumors and other non-tumor neurological diseases, distinguishes high-grade gliomas from low-grade gliomas, and predicts 5-year progression and mortality. PMID: 27871448
- Elevated serum VN levels represented high diagnostic value and had close relation to clinicopathological factors and early recurrence, suggesting that serum VN might be a useful diagnostic and prognostic marker for HCC. PMID: 27802203
- We confirmed increased levels of C1R and VTN in sera from patients with Joint hypermobility syndrome by western blot analyses PMID: 26709396
- This study examines the complexes of PAI-1 with tissue-type and urokinase-type plasminogen activator and vitronectin revealed by changes in the conformation and dynamics of the reactive center loop. PMID: 26548921
- Ail-expressing Yersinia pestis strains bind vitronectin - a host protein with functions in cell attachment, fibrinolysis and inhibition of the complement system. PMID: 26377177
- High expression of VN in tumor cells independently indicated poor clinical prognosis in patients with osteosarcoma. PMID: 26617861
- The mean level of PAI-1 was 23.02 +/- 15 (8.2-71.19) ng/mL and vitronectin was 83.10% +/- 23.77% (12%-126%) in the tumor group. PMID: 24770328
- Bacterial protein-E and host vitronectin play a role in the attachment to bronchial epithelial cells and is also involved in the subsequent intracellular invasion of nontypeable Haemophilus influenzae. PMID: 26572616
- P. aeruginosa isolates obtained from CF patients significantly bound vitronectin. Porin D was defined as a novel P. aeruginosa vitronectin-receptor PMID: 26047937
- Lpd of P. aeruginosa is a surface exposed moonlighting protein that binds two human terminal pathway inhibitors, vitronectin and clusterin PMID: 26368530
- The VN level may be relevant as a clinical biomarker for adverse cardiovascular outcomes not only in patients with ischemic heart disease undergoing coronary interventions. PMID: 24823429
- Vitronectin expression in the airways of subjects with asthma and chronic obstructive pulmonary disease PMID: 25768308
- Gpm1 in Candida albicans attaches to human endothelial cells and to keratinocytes via the adhesive protein vitronectin PMID: 24625558
- Vitronectin is identified as a common constituent of amyloid deposits in 175 formalin-fixed and paraffin-embedded tissue samples from a large variety of different amyloid diseases. PMID: 26101327
- Hic interacts with vitronectin and simultaneously with Factor H, and both human proteins may contribute to colonisation and invasive disease caused by serotype 3 pneumococci. PMID: 25181963
- VTN plays a significant role in the malignant growth of tumor. PMID: 25179307
- Melanoma cell adhesion to vitronectin is dependent on beta-1,6-branched N-glycans. PMID: 24687613
- A total of 17 site-specific N-glycopeptides were completely identified in all of the three N-glycosylation sites of vitronectin in human plasma, including 12 N-glycopeptides first reported. PMID: 25374123
- The presence of VN on the material surfaces enhanced cell-mediated FN reorganization and secretion. PMID: 23899674
- serum levels of both fibronectin and vitronectin may be the diagnostic markers in melanoma patients, but not markers of prognosis PMID: 24999757
- Authors demonstrate that an evolutionarily conserved rickettsial antigen, Adr1/RC1281, interacts with human vitronectin and is sufficient to mediate resistance to serum killing when expressed at the outer-membrane. PMID: 24286496
- The interaction between uPAR and vitronectin triggers ligand-independent adhesion signalling by integrins. PMID: 25168639
- A strong linkage disequilibrium was found in vitronectin promoter in Chinese with vascular disease. PMID: 23041018
- Vn competes with hTSP-1 for binding to Atl repeats and vice versa. In conclusion, this study identifies the Atl repeats as bacterial adhesive structures interacting with the human glycoproteins hTSP-1 and Vn. PMID: 24371140
- increased expression levels of VN protein and mRNA in placental maternal-fetal interface of EOSP may be involved in adhesion and repair of placental infarct lesions. PMID: 23124223
- Interaction of vitronectin with integrin alphavbeta3 results in the continued activation of the kinase mTOR. PMID: 23722547
- In conclusion, the head domains of UspA2/2H have extensive sequence polymorphism without losing vitronectin-binding capacity promoting a general evasion of the host immune system. PMID: 23474333
- study highlights that ascites-derived fibronectin and vitronectin exhibit different properties depending on the ascites PMID: 23811340
- An isogenic nontypeable Haemophilus influenzae 3655Deltahpf mutant devoid of protein F displayed a reduced binding of vitronectin, and was consequently more sensitive to killing by human serum compared with the wild type. PMID: 23387957
- The choline-binding protein PspC of Streptococcus pneumoniae interacts with the C-terminal heparin-binding domain of vitronectin. PMID: 23603906
- Importance of vitronectin and its interaction with the urokinase receptor in tumor growth. PMID: 23327926
- There was no difference in serum vitronectin levels between Behcet's disease patients and control subjects, and there was no statistically significant difference between vitronectin levels in Behcet patients with and without ocular involvement. PMID: 22810367
- In this study, the authors demonstrate meningococcal interactions with vitronectin via a novel adhesin, Msf (meningococcal surface fibril, previously NhhA or Hsf). PMID: 22050461
- higgh plasms levels is associated with the risk of metabolic syndrome and type 2 diabetes mellitus PMID: 21800006
- A series of truncated vitronectin molecules revealed that the C-terminal domain comprising vitronectin(353-363) harboured the major binding region for Haemophilus influenzae protein E. PMID: 21542857
- High serum vitronectin is associated with breast cancer. PMID: 21253761
- PAI-2 is capable of inhibiting uPA in the presence of PAI-1, particularly on adherent cells in the presence of vitronectin PMID: 21316840
- Thrombospondin 1, fibronectin, and vitronectin are differentially dependent upon RAS, ERK1/2, and p38 for induction of vascular smooth muscle cell chemotaxis. PMID: 21193465
- The results provide the first evidence for vitronectin gene expression in urothelial cells. PMID: 21048021
- Plasminogen activator inhibitor-1 and vitronectin expression level and stoichiometry regulate vascular smooth muscle cell migration through physiological collagen matrices PMID: 20492459
- expression of vitronectin at the periphery of mesothelial cells and within ovarian cancer cell clusters suggests a potential role for this molecule during intraperitoneal implantation of ovarian cancer cells PMID: 20121701
- This study directly reveals the binding mode between the N-terminal domain of UspA2 Moraxella catarrhalis and the C-terminal part of vitronectin and thus sheds light upon the mechanism of Moraxella catarrhalis-dependent serum resistance. PMID: 20199596
- Data reveal that multimeric VTNC attenuate Cyr61 binding to immobilized VTNC, while monomeric VTNC was ineffective. PMID: 20195466
- A fragment of vitronectin containing the RGD integrin binding site showed similar binding affinity as that of full vitronectin protein to purified integrin alphavbeta3 but had diminished cell adhesion and spreading function in vivo. PMID: 20600001
- Neisseria meningitidis Opc expressed in acapsulate as well as capsulate bacteria can increase human brain endothelial cell line adhesion and entry by first binding to serum vitronectin PMID: 20502634
顯示更多
收起更多
-
亞細胞定位:Secreted, extracellular space.; Parasitophorous vacuole.
-
組織特異性:Expressed in the retina pigment epithelium (at protein level). Expressed in plasma (at protein level). Expressed in serum (at protein level).
-
數據庫鏈接:
Most popular with customers
-
-
YWHAB Recombinant Monoclonal Antibody
Applications: ELISA, WB, IHC, IF, FC
Species Reactivity: Human, Mouse, Rat
-
Phospho-YAP1 (S127) Recombinant Monoclonal Antibody
Applications: ELISA, WB, IHC
Species Reactivity: Human
-
-
-
-
-
VDAC1 Recombinant Monoclonal Antibody
Applications: ELISA, WB, IHC
Species Reactivity: Human, Mouse, Rat















