VPS4A Antibody
-
中文名稱:VPS4A兔多克隆抗體
-
貨號:CSB-PA891974DSR2HU
-
規格:¥880
-
圖片:
-
Western Blot
Positive WB detected in: U87 whole cell lysate(20μg), MCF7 whole cell lysate(20μg), HepG2 whole cell lysate(20μg), A549 whole cell lysate(20μg), 293 whole cell lysate(20μg)
All lanes: VPS4A antibody at 1:1000
Secondary
Goat polyclonal to rabbit IgG at 1/20000 dilution
Predicted band size: 49 kDa
Observed band size: 49 kDa
Exposure time: 120s -
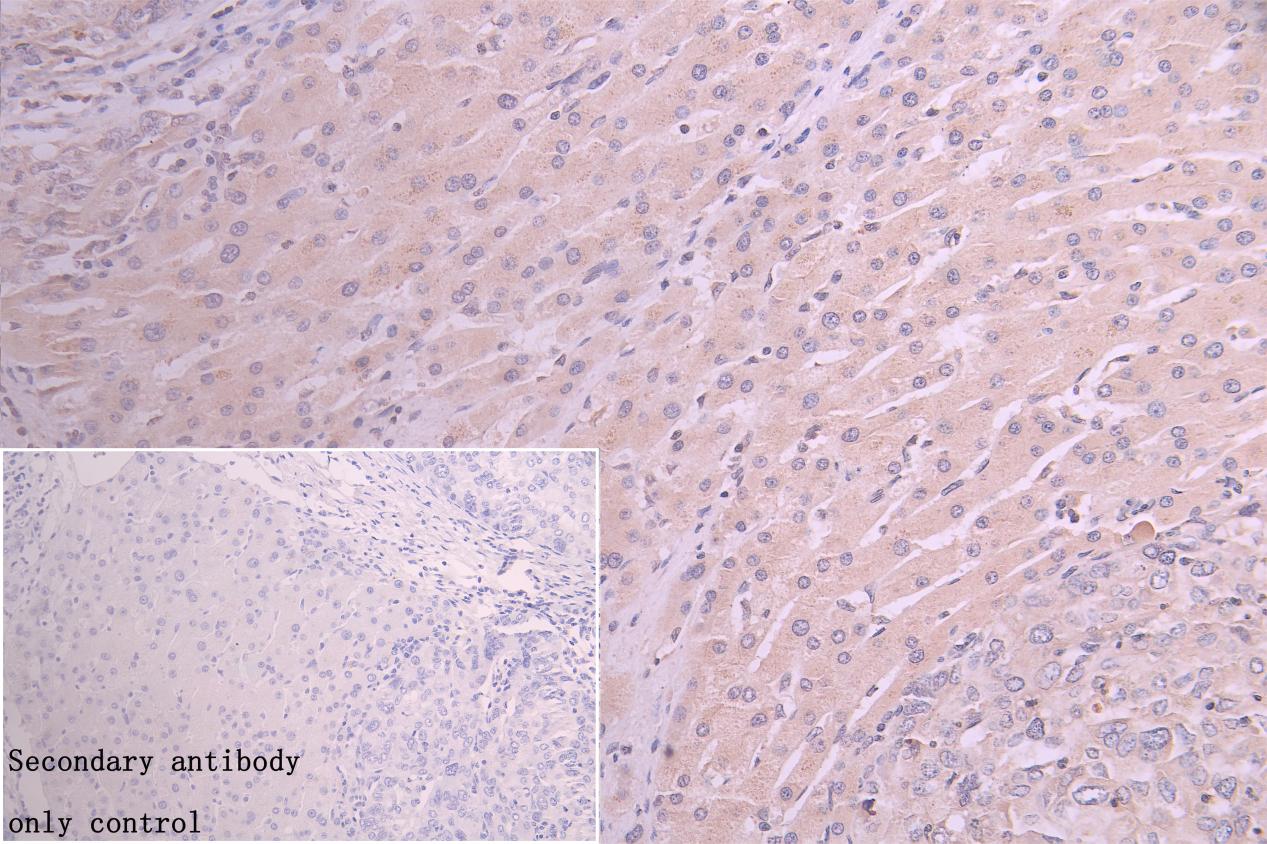
IHC image of CSB-PA891974DSR2HU diluted at 1:150 and staining in paraffin-embedded human liver cancer performed on a Leica BondTM system. After dewaxing and hydration, antigen retrieval was mediated by high pressure in a citrate buffer (pH 6.0). Section was blocked with 10% normal goat serum 30min at RT. Then primary antibody (1% BSA) was incubated at 4°C overnight. The primary is detected by a Goat anti-rabbit polymer IgG labeled by HRP and visualized using 0.05% DAB. Secondary antibody only control: uses 1% BSA instead of primary antibody
-
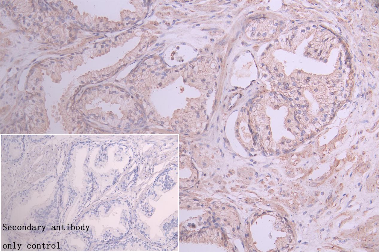
IHC image of CSB-PA891974DSR2HU diluted at 1:150 and staining in paraffin-embedded human prostatecancer performed on a Leica BondTM system. After dewaxing and hydration, antigen retrieval was mediated by high pressure in a citrate buffer (pH 6.0). Section was blocked with 10% normal goat serum 30min at RT. Then primary antibody (1% BSA) was incubated at 4°C overnight. The primary is detected by a Goat anti-rabbit polymer IgG labeled by HRP and visualized using 0.05% DAB. Secondary antibody only control: uses 1% BSA instead of primary antibody
-
-
其他:
產品詳情
-
產品描述:
Generating the polyclonal antibody against the recombinant human VPS4A protein (1-120aa) involves immunizing a rabbit with the target antigen, collecting the resulting rabbit serum, and purifying the antibody-containing serum through antigen affinity chromatography.
The purified VPS4A polyclonal antibody has been characterized by ELISA, WB, and IHC to confirm their specificity and sensitivity to VPS4A. This antibody can react with human, mouse, and rat VPS4A proteins. VPS4A mainly catalyzes the disassembly of ESCRT complexes, which are involved in the sorting and trafficking of membrane proteins in the endocytic pathway. It is also implicated in cytokinesis and virus budding.
-
產品名稱:Rabbit anti-Homo sapiens (Human) VPS4A Polyclonal antibody
-
Uniprot No.:
-
基因名:
-
別名:hVPS4 antibody; Protein SKD2 antibody; SKD1 antibody; SKD1 homolog antibody; SKD1A antibody; SKD2 antibody; Vacuolar protein sorting 4 homolog A antibody; Vacuolar protein sorting 4, yeast, homolog of, A antibody; Vacuolar protein sorting factor 4A antibody; Vacuolar protein sorting-associated protein 4A antibody; vacuolar sorting protein 4 antibody; VPS4 antibody; VPS4-1 antibody; Vps4a antibody; VPS4A_HUMAN antibody
-
宿主:Rabbit
-
反應種屬:Human
-
免疫原:Synthetic peptide of human VPS4A
-
免疫原種屬:Homo sapiens (Human)
-
標記方式:Non-conjugated
-
克隆類型:Polyclonal
-
抗體亞型:IgG
-
純化方式:Antigen Affinity Purified
-
濃度:It differs from different batches. Please contact us to confirm it.
-
保存緩沖液:-20°C, pH7.4 PBS, 0.05% NaN3, 40% Glycerol
-
產品提供形式:Liquid
-
應用范圍:ELISA, WB, IHC
-
推薦稀釋比:
Application Recommended Dilution WB 1:1000-1:5000 IHC 1:20-1:200 -
Protocols:
-
儲存條件:Upon receipt, store at -20°C or -80°C. Avoid repeated freeze.
-
貨期:Basically, we can dispatch the products out in 1-3 working days after receiving your orders. Delivery time maybe differs from different purchasing way or location, please kindly consult your local distributors for specific delivery time.
-
用途:For Research Use Only. Not for use in diagnostic or therapeutic procedures.
相關產品
靶點詳情
-
功能:Involved in late steps of the endosomal multivesicular bodies (MVB) pathway. Recognizes membrane-associated ESCRT-III assemblies and catalyzes their disassembly, possibly in combination with membrane fission. Redistributes the ESCRT-III components to the cytoplasm for further rounds of MVB sorting. MVBs contain intraluminal vesicles (ILVs) that are generated by invagination and scission from the limiting membrane of the endosome and mostly are delivered to lysosomes enabling degradation of membrane proteins, such as stimulated growth factor receptors, lysosomal enzymes and lipids. Involved in cytokinesis: retained at the midbody by ZFYVE19/ANCHR and CHMP4C until abscission checkpoint signaling is terminated at late cytokinesis. It is then released following dephosphorylation of CHMP4C, leading to abscission. VPS4A/B are required for the exosomal release of SDCBP, CD63 and syndecan.; (Microbial infection) In conjunction with the ESCRT machinery also appears to function in topologically equivalent membrane fission events, such as the terminal stages of cytokinesis and enveloped virus budding (HIV-1 and other lentiviruses).
-
基因功能參考文獻:
- These results demonstrate that the ESCRT machinery, and in particular VPS4, plays a critical role in the early stages of PV infection. PMID: 28349933
- Continuous ESCRT-III remodelling by dynamic subunit turnover is regulated by Vps4 to mediate membrane remodelling during cytokinesis. PMID: 28604678
- associations were noted between the striatal node, hyperactivity, and the vacuolar protein sorting-associated protein 4A (VPS4A) gene in humans, and the causal role of Vps4 for hyperactivity was validated in Drosophila PMID: 27001827
- These results point to the existence of previously undetected biological functions of the FTase alpha subunit that includes control of intracellular membrane trafficking. PMID: 26551458
- these experiments suggest that miR-16 and VPS4a expression are altered in end-stage heart failure and in response to unloading with a left ventricular assist device PMID: 25033200
- Ca2+-dependent accumulation of ESCRT III-Vps4 complex following large focal injury to the cell membrane and identify the role of ALG-2 as the initiator of sequential ESCRT III-Vps4A/B complex assembly. PMID: 25534348
- Vps4A may function as a tumor suppressor, which utilizes exosomes as mediators to regulate the secretion and uptake of miRNAs in hepatoma cells; these observations provide new insights into the development of HCC. PMID: 25503676
- Vps4 stimulatory element of the cofactor Vta1 contacts the ATPase Vps4 alpha7 and alpha9 subunits to stimulate ATP hydrolysis. PMID: 25164817
- Propose that the abscission checkpoint is mediated by ANCHR and CHMP4C through retention of VPS4 at the midbody ring. PMID: 24814515
- VPS4 is required for endosomal transport of LDL cholesterol in HeLa cells. PMID: 23009658
- silencing CHMP6 and VPS4A also blocked epidermal growth factor receptor (EGFR) recycling PMID: 22231449
- VPS4, a master regulator of MVB sorting, may serve as a determinant of lysosomal targeting or extracellular secretion of alphaSYN and thereby contribute to the intercellular propagation of Lewy pathology in PD PMID: 22216284
- These results indicate that VPS4A has a direct role in membrane scission leading to HIV-1 release. PMID: 21394086
- Findings reveal new ways in which VPS4 activity is regulated and specifically directed to ESCRT-III polymers. PMID: 20805225
- It was found that neither siRNA knockdown of VPS4A and VPS4B expression nor the use of cell lines that inducibly express VPS4A or VPS4B dominant negative mutants, inhibited influenza virus budding. PMID: 20621136
- ESCRT-III/VPS4 proteins function at centrosomes to help regulate their maintenance or proliferation and then at midbodies during abscission, thereby helping ensure the ordered progression through the different stages of cell division. PMID: 20616062
- Vps4 and the ESCRT-III complex are required for the release of infectious hepatitis C virus particles. PMID: 19828764
- SKD1-dependent endosomal membrane trafficking is required for formation of autolysosomes. PMID: 11937716
- Data suggested that hVPS4 is involved in the release of components of the bilayered coat from the endosomal membrane. PMID: 15075231
- hSnf7-1 binds to itself, membranes, and the AAA+ ATPase SKD1 PMID: 15632132
- The solution structure of the N-terminal VPS4A microtubule interacting and transport (MIT) domain was reported. PMID: 16174732
- in cells expressing dominant negative VPS4a, doxorubicin accumulates in VPS4a-positive vesicles and drug sequestration is inhibited PMID: 16841193
- Upon coexpression of mutated CHMP3, CHMP4B, or CHMP4C forms, as well as of ATPase-defective Vps4A or Vps4B mutants, HBV assembly and egress were potently blocked. PMID: 17553870
- Inhibits Vesicular Stomatitis Virus budding but does not affect Semliki Forest Virus budding. PMID: 17913808
- studies reveal how the VPS4 ATPases recognize their CHMP substrates to facilitate the membrane fission events required for the release of viruses, endosomal vesicles and daughter cells PMID: 17928862
- Respiratory syncytial virus uses a Vps4-independent budding mechanism controlled by Rab11-FIP2. PMID: 18621683
- Overall, we see no role for the ESCRT pathway in influenza virus budding and the significance of the M1-VPS28 interaction remains to be determined. PMID: 19524996
- Both Vps4A and CHMP1A localized in the vicinity of viral cytoplasmic assembly compartments, sites of viral maturation that develop in Cytomegalovirus-infected cells. Thus, ESCRT machinery is involved in the final steps of HCMV replication. PMID: 19640981
顯示更多
收起更多
-
亞細胞定位:Late endosome membrane; Peripheral membrane protein. Midbody.
-
蛋白家族:AAA ATPase family
-
組織特異性:Ubiquitously expressed.
-
數據庫鏈接:
Most popular with customers
-
-
YWHAB Recombinant Monoclonal Antibody
Applications: ELISA, WB, IHC, IF, FC
Species Reactivity: Human, Mouse, Rat
-
Phospho-YAP1 (S127) Recombinant Monoclonal Antibody
Applications: ELISA, WB, IHC
Species Reactivity: Human
-
-
-
-
-















