UQCRC1 Antibody
-
中文名稱:UQCRC1兔多克隆抗體
-
貨號:CSB-PA025667ESR2HU
-
規格:¥440
-
圖片:
-
Western blot
All lanes: UQCRC1 antibody at 2.5µg/ml
Lane 1: Mouse large intestine tissue
Lane 2: Mouse kidney tissue
Lane 3: Mouse brain tissue
Lane 4: LO2 whole cell lysate
Lane 5: Hela whole cell lysate
Lane 6: HepG2 whole cell lysate
Lane 7: MCF-7 whole cell lysate
Secondary
Goat polyclonal to rabbit IgG at 1/10000 dilution
Predicted band size: 53 kDa
Observed band size: 53 kDa -
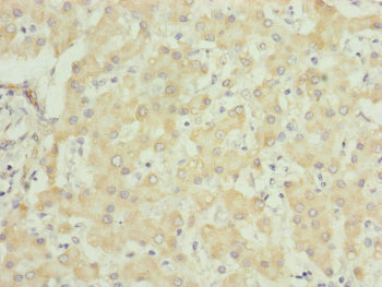
Immunohistochemistry of paraffin-embedded human liver tissue using CSB-PA025667ESR2HU at dilution of 1:100
-
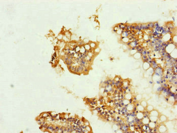
Immunohistochemistry of paraffin-embedded human small intestine tissue using CSB-PA025667ESR2HU at dilution of 1:100
-
-
其他:
產品詳情
-
產品名稱:Rabbit anti-Homo sapiens (Human) UQCRC1 Polyclonal antibody
-
Uniprot No.:
-
基因名:
-
別名:Complex III subunit 1 antibody; Core protein I antibody; Cytochrome b-c1 complex subunit 1 antibody; cytochrome b-c1 complex subunit 1; mitochondrial antibody; D3S3191 antibody; mitochondrial antibody; OTTHUMP00000164820 antibody; QCR1 antibody; QCR1_HUMAN antibody; Ubiquinol cytochrome c reductase complex core protein 1 antibody; ubiquinol-cytochrome c reductase core protein I antibody; Ubiquinol-cytochrome-c reductase complex core protein 1 antibody; UQCR1 antibody; Uqcrc1 antibody
-
宿主:Rabbit
-
反應種屬:Human, Mouse
-
免疫原:Recombinant Human Cytochrome b-c1 complex subunit 1, mitochondrial protein (156-480AA)
-
免疫原種屬:Homo sapiens (Human)
-
標記方式:Non-conjugated
-
克隆類型:Polyclonal
-
抗體亞型:IgG
-
純化方式:Antigen Affinity Purified
-
濃度:It differs from different batches. Please contact us to confirm it.
-
保存緩沖液:PBS with 0.02% sodium azide, 50% glycerol, pH7.3.
-
產品提供形式:Liquid
-
應用范圍:ELISA, WB, IHC
-
推薦稀釋比:
Application Recommended Dilution WB 1:1000-1:5000 IHC 1:20-1:200 -
Protocols:
-
儲存條件:Upon receipt, store at -20°C or -80°C. Avoid repeated freeze.
-
貨期:Basically, we can dispatch the products out in 1-3 working days after receiving your orders. Delivery time maybe differs from different purchasing way or location, please kindly consult your local distributors for specific delivery time.
-
用途:For Research Use Only. Not for use in diagnostic or therapeutic procedures.
相關產品
靶點詳情
-
功能:Component of the ubiquinol-cytochrome c oxidoreductase, a multisubunit transmembrane complex that is part of the mitochondrial electron transport chain which drives oxidative phosphorylation. The respiratory chain contains 3 multisubunit complexes succinate dehydrogenase (complex II, CII), ubiquinol-cytochrome c oxidoreductase (cytochrome b-c1 complex, complex III, CIII) and cytochrome c oxidase (complex IV, CIV), that cooperate to transfer electrons derived from NADH and succinate to molecular oxygen, creating an electrochemical gradient over the inner membrane that drives transmembrane transport and the ATP synthase. The cytochrome b-c1 complex catalyzes electron transfer from ubiquinol to cytochrome c, linking this redox reaction to translocation of protons across the mitochondrial inner membrane, with protons being carried across the membrane as hydrogens on the quinol. In the process called Q cycle, 2 protons are consumed from the matrix, 4 protons are released into the intermembrane space and 2 electrons are passed to cytochrome c. The 2 core subunits UQCRC1/QCR1 and UQCRC2/QCR2 are homologous to the 2 mitochondrial-processing peptidase (MPP) subunits beta-MPP and alpha-MPP respectively, and they seem to have preserved their MPP processing properties. May be involved in the in situ processing of UQCRFS1 into the mature Rieske protein and its mitochondrial targeting sequence (MTS)/subunit 9 when incorporated into complex III (Probable).
-
基因功能參考文獻:
- dysregulated UQCRC1 and UQCRFS1 are involved in impaired mitochondrial electron transport chain function. PMID: 27845902
- Gene expression level of UQCRC1 is significantly higher in AD patients when compared to normal controls. PMID: 26943237
- UQCRC1 was highly expressed in breast and ovarian tumors PMID: 16775426
- This protein has been found differentially expressed in the dorsolateral prefrontal cortex from patients with schizophrenia. PMID: 19110265
-
亞細胞定位:Mitochondrion inner membrane; Peripheral membrane protein; Matrix side.
-
蛋白家族:Peptidase M16 family, UQCRC1/QCR1 subfamily
-
數據庫鏈接:
Most popular with customers
-
-
YWHAB Recombinant Monoclonal Antibody
Applications: ELISA, WB, IHC, IF, FC
Species Reactivity: Human, Mouse, Rat
-
Phospho-YAP1 (S127) Recombinant Monoclonal Antibody
Applications: ELISA, WB, IHC
Species Reactivity: Human
-
-
-
-
-















