UBA1 Antibody
-
中文名稱:UBA1兔多克隆抗體
-
貨號:CSB-PA339675
-
規格:¥1100
-
圖片:
-
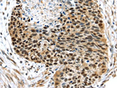
The image on the left is immunohistochemistry of paraffin-embedded Human esophagus cancer tissue using CSB-PA339675(UBA1 Antibody) at dilution 1/40, on the right is treated with synthetic peptide. (Original magnification: ×200)
-
Gel: 6%SDS-PAGE,Lysate: 40 μg,,Primary antibody: CSB-PA339675(UBA1 Antibody) at dilution 1/400 dilution,Secondary antibody: Goat anti rabbit IgG at 1/8000 dilution,Exposure time: 1 minute
-
-
其他:
產品詳情
-
Uniprot No.:
-
基因名:
-
別名:A1S9 antibody; A1S9 protein antibody; A1S9T and BN75 temperature sensitivity complementing antibody; A1S9T antibody; A1ST antibody; AMCX1 antibody; CFAP124 antibody; CTD-2522E6.1 antibody; GXP 1 antibody; GXP1 antibody; MGC4781 antibody; POC20 antibody; POC20 centriolar protein homolog antibody; Protein A1S9 antibody; SMAX2 antibody; Uba1 antibody; UBA1, ubiquitin-activating enzyme E1 homolog A antibody; UBA1_HUMAN antibody; UBA1A antibody; UBE 1 antibody; UBE 1X antibody; UBE1 antibody; UBE1X antibody; Ubiquitin activating enzyme E1 antibody; Ubiquitin-activating enzyme E1 antibody; Ubiquitin-like modifier-activating enzyme 1 antibody
-
宿主:Rabbit
-
反應種屬:Human,Mouse,Rat
-
免疫原:Synthetic peptide of Human UBA1
-
免疫原種屬:Homo sapiens (Human)
-
標記方式:Non-conjugated
-
抗體亞型:IgG
-
純化方式:Antigen affinity purification
-
濃度:It differs from different batches. Please contact us to confirm it.
-
保存緩沖液:-20°C, pH7.4 PBS, 0.05% NaN3, 40% Glycerol
-
產品提供形式:Liquid
-
應用范圍:ELISA,WB,IHC
-
推薦稀釋比:
Application Recommended Dilution ELISA 1:1000-1:2000 WB 1:200-1:1000 IHC 1:30-1:150 -
Protocols:
-
儲存條件:Upon receipt, store at -20°C or -80°C. Avoid repeated freeze.
-
貨期:Basically, we can dispatch the products out in 1-3 working days after receiving your orders. Delivery time maybe differs from different purchasing way or location, please kindly consult your local distributors for specific delivery time.
-
用途:For Research Use Only. Not for use in diagnostic or therapeutic procedures.
相關產品
靶點詳情
-
功能:Catalyzes the first step in ubiquitin conjugation to mark cellular proteins for degradation through the ubiquitin-proteasome system. Activates ubiquitin by first adenylating its C-terminal glycine residue with ATP, and thereafter linking this residue to the side chain of a cysteine residue in E1, yielding a ubiquitin-E1 thioester and free AMP. Essential for the formation of radiation-induced foci, timely DNA repair and for response to replication stress. Promotes the recruitment of TP53BP1 and BRCA1 at DNA damage sites.
-
基因功能參考文獻:
- Polyubiquitination and proteasomal degradation of ezrin and CUGBP1 require Uba6, but not Uba1, and that Uba6 is involved in the control of ezrin localization and epithelial morphogenesis. These data suggest that distinctive substrate pools exist for Uba1 and Uba6 that reflect non-redundant biological roles for Uba6. PMID: 28134249
- Results from a study on gene expression variability markers in early-stage human embryos shows that UBA1 is a putative expression variability marker for the 3-day, 8-cell embryo stage. PMID: 26288249
- recent findings put UBA1 at the center of cellular homeostasis and neurodegeneration [review] PMID: 26432019
- A ubiquitin shuttle DC-UbP reconciles protein ubiquitination and deubiquitination via linking UbE1 and USP5 enzymes. PMID: 25207809
- Conjugation of the ubiquitin activating enzyme UBE1 with the ubiquitin-like modifier FAT10 targets it for proteasomal degradation PMID: 25768649
- Ubiquitin-activating enzyme is necessary for 17beta-estradiol-induced breast cancer cell proliferation and migration. PMID: 25138535
- We expressed and purified the N-terminal domains of human E1 and determined their crystal structures, which contain inactive adenylation domain (IAD) and the first catalytic cysteine half-domain (FCCH) PMID: 25209502
- Diminished ubiquitylation phenotype observed in enteropathogenic Escherichia coli infected cells corresponds to a strong reduction in the abundance of both Ube1 and Uba6. PMID: 22999844
- Decrease in free ubiquitin levels under stress allows NEDD8 to be conjugated through Ube1. PMID: 22370482
- UBA1 knockdown impairs formation of ubiquitin conjugates at DNA double-strand breaks. PMID: 22456334
- Data show that largazole and ester/keto analogs inhibit ubiquitin E1 activation. PMID: 22279528
- In conclusion, nUBE1L is a novel human E1 like gene highly expressed in adult testis, which plays key role in ubiquitin system, and accordingly influences spermatogenesis and male fertility. PMID: 15202508
- analysis of ATP.Mg2+ binding in the catalytic cycle of ubiquitin-activating enzyme PMID: 16595681
- unusual type of regulation at the level of the E1 enzyme is likely to affect numerous cellular processes and may represent a strategy to coordinate multiple phenotypic changes upon differentiation by using E1 as a "master switch." PMID: 17060614
- Human Uba6 and Ube1 have distinct preferences for E2 charging in vitro, and their specificity depends in part on their C-terminal ubiquitin-fold domains, which recruit E2s PMID: 17597759
- Large-scale mutation analysis in genes resulted in detection of 3 rare novel variants in exon 15 of UBE1 that segregate with X-linked infantile spinal muscular atrophy. PMID: 18179898
- high-level expression of UBE1 was seen inextranodal NK/T cell lymphoma, nasal type; there was no significant difference between UBE1 expression and patients' outcome PMID: 18661401
顯示更多
收起更多
-
相關疾?。?/div>Spinal muscular atrophy X-linked 2 (SMAX2)亞細胞定位:Cytoplasm. Mitochondrion. Nucleus.; [Isoform 1]: Nucleus.; [Isoform 2]: Cytoplasm.蛋白家族:Ubiquitin-activating E1 family組織特異性:Detected in erythrocytes (at protein level). Ubiquitous.數據庫鏈接:
Most popular with customers
-
-
YWHAB Recombinant Monoclonal Antibody
Applications: ELISA, WB, IHC, IF, FC
Species Reactivity: Human, Mouse, Rat
-
Phospho-YAP1 (S127) Recombinant Monoclonal Antibody
Applications: ELISA, WB, IHC
Species Reactivity: Human
-
-
-
-
-















