TRIM63 Antibody
-
中文名稱:TRIM63兔多克隆抗體
-
貨號:CSB-PA271046
-
規格:¥1100
-
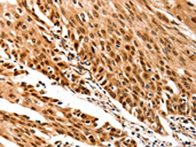
圖片:
-
The image on the left is immunohistochemistry of paraffin-embedded Human cervical cancer tissue using CSB-PA271046(TRIM63 Antibody) at dilution 1/70, on the right is treated with synthetic peptide. (Original magnification: ×200)
-
Gel: 10%SDS-PAGE, Lysate: 40 μg, Lane 1-2: NIH/3T3 cells, human fetal muscle tissue, Primary antibody: CSB-PA271046(TRIM63 Antibody) at dilution 1/1200, Secondary antibody: Goat anti rabbit IgG at 1/8000 dilution, Exposure time: 50 seconds
-
-
其他:
產品詳情
-
Uniprot No.:
-
基因名:TRIM63
-
別名:E3 ubiquitin-protein ligase TRIM63 antibody; FLJ32380 antibody; IRF antibody; Iris RING finger protein antibody; MURF 1 antibody; MURF-1 antibody; MuRF1 antibody; MURF2 antibody; Muscle specific ring finger protein 1 antibody; Muscle specific ring finger protein 2 antibody; Muscle-specific RING finger protein 1 antibody; OTTHUMP00000008701 antibody; RING finger protein 28 antibody; RNF 28 antibody; RNF28 antibody; SMRZ antibody; Striated muscle RING zinc finger protein antibody; TRI63_HUMAN antibody; TRIM 63 antibody; Trim63 antibody; Tripartite motif containing 63 antibody; tripartite motif containing 63, E3 ubiquitin protein ligase antibody; Tripartite motif containing protein 63 antibody; Tripartite motif-containing protein 63 antibody; Ubiquitin ligase TRIM63 antibody
-
宿主:Rabbit
-
反應種屬:Human,Mouse
-
免疫原:Synthetic peptide of Human TRIM63
-
免疫原種屬:Homo sapiens (Human)
-
標記方式:Non-conjugated
-
抗體亞型:IgG
-
純化方式:Antigen affinity purification
-
濃度:It differs from different batches. Please contact us to confirm it.
-
保存緩沖液:-20°C, pH7.3 PBS, 0.05% sodium azide and 50% glycerol
-
產品提供形式:Liquid
-
應用范圍:ELISA,WB,IHC
-
推薦稀釋比:
Application Recommended Dilution ELISA 1:2000-1:10000 WB 1:1000-1:5000 IHC 1:50-1:200 -
Protocols:
-
儲存條件:Upon receipt, store at -20°C or -80°C. Avoid repeated freeze.
-
貨期:Basically, we can dispatch the products out in 1-3 working days after receiving your orders. Delivery time maybe differs from different purchasing way or location, please kindly consult your local distributors for specific delivery time.
-
用途:For Research Use Only. Not for use in diagnostic or therapeutic procedures.
相關產品
靶點詳情
-
功能:E3 ubiquitin ligase. Mediates the ubiquitination and subsequent proteasomal degradation of CKM, GMEB1 and HIBADH. Regulates the proteasomal degradation of muscle proteins under amino acid starvation, where muscle protein is catabolized to provide other organs with amino acids. Inhibits de novo skeletal muscle protein synthesis under amino acid starvation. Regulates proteasomal degradation of cardiac troponin I/TNNI3 and probably of other sarcomeric-associated proteins. May play a role in striated muscle atrophy and hypertrophy by regulating an anti-hypertrophic PKC-mediated signaling pathway. May regulate the organization of myofibrils through TTN in muscle cells.
-
基因功能參考文獻:
- role of the muscle specific E3s MuRF-1 and MAFbx in skeletal muscle wasting during various pathologies, as well as their regulation by modifiable lifestyle factors, were explored (review) PMID: 26738803
- the involvement of oxidative stress in the atrophy of COPD peripheral muscle cells in vitro, via the FoxO1/MuRF1/atrogin-1 signaling pathway of the ubiquitin/proteasome system PMID: 27526027
- The mitochondrial damage-cGAS-STING-IRF3 pathway is critically involved in metabolic stress-induced endothelial inflammation. PMID: 28302626
- Altogether, these results suggest a novel function for p63 as a contributor to muscular atrophic processes via the regulation of multiple genes, including the muscle atrophy gene Trim63. PMID: 26919175
- Vitamin D3 might have an inhibitory effect on the expression of MAFbx and MuRF1 in skeletal muscle. PMID: 25876656
- MURF1 expression intended to be increased in the skeletal muscle of patients with malignant disease even before cancer related cachexia weight loss. PMID: 25760630
- TRIM63 gene expression involved in skin hyperpigmentation. PMID: 25950827
- Expression of USP19 correlates with that of MuRF1 and MAFbx/atrogin-1 in skeletal muscles PMID: 26048142
- Skeletal muscle atrophy induced by Angiotensin II involves activation of MuRF1 expression. PMID: 26137861
- These data strongly supported that rare variants in MuRF1 and MuRF2 are associated with higher penetrance and more severe clinical manifestations of hypertrophic cardiomyopathy. PMID: 24865491
- In conclusion, atrogin-1, MuRF1, FOXO1/3A, and eIF3-f mRNA, and protein levels, are differentially regulated by exercise contraction mode but not WPH supplementation combined with hypertrophy-inducing training. PMID: 24458747
- Data reveal that Titin protein is a pseudokinase with non-detectable catalytic output but is a high-affinity binding locus for MuRF1. PMID: 24850911
- both MuRF1 and MAFbx are enriched in skeletal, cardiac, and smooth muscle--REVIEW PMID: 25096180
- SMAD3 regulates transcription of MuRF-1 by increasing FoxO3 binding at a conserved FRE-SBE motif within the proximal promoter region, and by increasing FoxO3 protein content and transcriptional activity. PMID: 24920680
- In MuRF1 the COS-box mediates the in vivo targeting of sarcoskeletal structures and points to the pharmacological relevance of the COS domain for treating MuRF1-mediated muscle atrophy. PMID: 24671946
- MURF-1 protein gene expression is increased in patients with severe burn injury. PMID: 23816995
- Quadriceps muscle MuRF-1 levels did not differ between patients with COPD (with normal or low fat-free mass index) and controls. MURF1 levels were not associated with quadriceps fiber cross-sectional area or strength in patients. PMID: 23844868
- Regular exercise training leads to a decrease in Rnf28 expression in skeletal muscle in patients with advanced chronic heart failure. PMID: 22445192
- relationship was found between IL-6 and MuRF-1 expression after incubation with PGE2 PMID: 23490068
- MuRF-1 RNA expression was significantly increased in malnourished cirrhotic patients vs. well-nourished patients. PMID: 23432902
- Data suggest that expression of atrogin-1 and MuRF-1 likely play role in aging-related decrease in muscle mass (i.e., development of sarcopenia); up-regulation of atrogin-1 and MuRF-1 has potential to prevent or reverse sarcopenia. [REVIEW] PMID: 22815045
- Human molecular genetic and functional studies identify TRIM63, encoding Muscle RING Finger Protein 1, as a novel gene for human hypertrophic cardiomyopathy. PMID: 22821932
- investigation of factors regulating expression of two ubiquitin ligases (MURF1 and MAFbx) in skeletal muscle (i.e., vastus lateralis): effects of resistance exercise and anabolic dietary supplement (i.e., branched-chain amino acids) PMID: 22127230
- Data suggest that the inhibition of MuRF1 could be a novel mechanism to prevent or reverse muscle wasting associated with various pathologies. PMID: 21448668
- MuRF1 regulates cardiomyocyte cell size and energy metabolism to inhibit cardiac hypertrophy and reverse experimental cardiac hypertrophy. PMID: 21686210
- 11beta-HSD1 controls glucocorticoid-induced protein degradation in human and murine skeletal muscle via regulation of the E3 ubiquitin ligases Atrogin-1 and MuRF-1. PMID: 21304964
- Reduced expression of MuRF1 and MAFbx in the myocardium might permit hypertrophy characteristic of the early post-infarction remodeling phase. PMID: 19859778
- atrogin-1 specifically targets truncated M7t-cMyBP-C, but not WT-cMyBP-C, for proteasomal degradation and that MuRF1 indirectly reduces cMyBP-C levels by regulating the transcription of myosin heavy chain. PMID: 19850579
- interacts with titin to regulate sarcomeric M-line and thick filament structure and may have nuclear functions via its interaction with glucocorticoid modulatory element binding protein-1. PMID: 11927605
- MURF2 associates transiently with microtubules, myosin and titin during sarcomere assembly. PMID: 12414993
- MuRF1 functions as a ubiquitin ligase to catalyze ubiquitylation of troponin I through a RING finger-dependent mechanism PMID: 15601779
- MuRF1 mRNA expression was significantly increased in quadriceps of patients with COPD; transcriptional regulation of atrogin-1 and MuRF1 may occur via FoxO-1, but independently of AKT PMID: 17478621
- Expression of mRNA for MuRF-1 increased approximately 3-fold at 10 days without changes in MAFbx or tripeptidyl peptidase II mRNA, but all decreased between 10 and 21 days of muscle disuse. PMID: 17901116
- MuRF-1 and MAFbx, are differently affected by the exercise as well as by repeated exercise PMID: 17971512
- Results showed upregulation of MuRf1 and MAFbx in atrophied muscle and support their role as regulatory peptides in various conditions which lead to muscle atrophy. PMID: 17977773
- MuRF1 expression in skeletal muscle re-directs glycogen synthesis to the liver and stimulates pancreatic insulin secretion, providing a feedback loop that connects skeletal muscle metabolism with the liver and the pancreas during metabolic stress. PMID: 18468620
- These findings present new insights into the role of the glucocorticoid receptor and FOXO family of transcription factors in the transcriptional regulation of the MuRF1 gene PMID: 18612045
- Findings aid the future exploration of the cellular function and therapeutic potential of MuRF1. PMID: 18795805
- This study demenostrated that the muscle RING finger 1 protein, human is reduced in skeletal muscle of chronic spinal cord-injured patients. PMID: 19533653
顯示更多
收起更多
-
亞細胞定位:Cytoplasm. Nucleus. Cytoplasm, myofibril, sarcomere, M line. Cytoplasm, myofibril, sarcomere, Z line.
-
組織特異性:Muscle specific. Selectively expressed in heart and skeletal muscle. Also expressed in the iris.
-
數據庫鏈接:
Most popular with customers
-
-
YWHAB Recombinant Monoclonal Antibody
Applications: ELISA, WB, IHC, IF, FC
Species Reactivity: Human, Mouse, Rat
-
Phospho-YAP1 (S127) Recombinant Monoclonal Antibody
Applications: ELISA, WB, IHC
Species Reactivity: Human
-
-
-
-
-















