TRIM32 Antibody
-
中文名稱:TRIM32兔多克隆抗體
-
貨號:CSB-PA956978
-
規格:¥1100
-
圖片:
-
The image on the left is immunohistochemistry of paraffin-embedded Human cervical cancer tissue using CSB-PA956978(TRIM32 Antibody) at dilution 1/25, on the right is treated with fusion protein. (Original magnification: ×200)
-
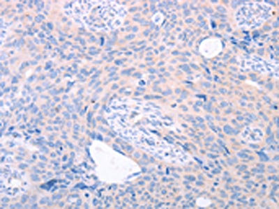
The image on the left is immunohistochemistry of paraffin-embedded Human colon cancer tissue using CSB-PA956978(TRIM32 Antibody) at dilution 1/25, on the right is treated with fusion protein. (Original magnification: ×200)
-
Gel: 8%SDS-PAGE, Lysate: 40 μg, Lane: Lovo cells, Primary antibody: CSB-PA956978(TRIM32 Antibody) at dilution 1/200, Secondary antibody: Goat anti rabbit IgG at 1/8000 dilution, Exposure time: 30 minutes
-
-
其他:
產品詳情
-
Uniprot No.:
-
基因名:
-
別名:72 kda Tat interacting Protein antibody; 72 kDa Tat-interacting protein antibody; BBS11 antibody; E3 ubiquitin-protein ligase TRIM32 antibody; HT2A antibody; LGMD2H antibody; Limb girdle muscular dystrophy 2H (autosomal recessive) antibody; Limb girdle muscular dystrophy 2H antibody; Muscular dystrophy Hutterite type antibody; TAT interactive protein 72KD antibody; TATIP antibody; TRI32_HUMAN antibody; Trim32 antibody; Tripartite Motif Containing Protein 32 antibody; Tripartite motif-containing protein 32 antibody; Zinc finger protein HT2A antibody
-
宿主:Rabbit
-
反應種屬:Human,Mouse
-
免疫原:Fusion protein of Human TRIM32
-
免疫原種屬:Homo sapiens (Human)
-
標記方式:Non-conjugated
-
抗體亞型:IgG
-
純化方式:Antigen affinity purification
-
濃度:It differs from different batches. Please contact us to confirm it.
-
保存緩沖液:-20°C, pH7.4 PBS, 0.05% NaN3, 40% Glycerol
-
產品提供形式:Liquid
-
應用范圍:ELISA,WB,IHC
-
推薦稀釋比:
Application Recommended Dilution ELISA 1:1000-1:2000 WB 1:200-1:1000 IHC 1:15-1:50 -
Protocols:
-
儲存條件:Upon receipt, store at -20°C or -80°C. Avoid repeated freeze.
-
貨期:Basically, we can dispatch the products out in 1-3 working days after receiving your orders. Delivery time maybe differs from different purchasing way or location, please kindly consult your local distributors for specific delivery time.
-
用途:For Research Use Only. Not for use in diagnostic or therapeutic procedures.
相關產品
靶點詳情
-
功能:Has an E3 ubiquitin ligase activity. Ubiquitinates DTNBP1 (dysbindin) and promotes its degradation. May ubiquitinate BBS2. Ubiquitinates PIAS4/PIASY and promotes its degradation in keratinocytes treated with UVB and TNF-alpha. Also acts as a regulator of autophagy by mediating formation of unanchored 'Lys-63'-linked polyubiquitin chains that activate ULK1: interaction with AMBRA1 is required for ULK1 activation.; (Microbial infection) May play a significant role in mediating the biological activity of the HIV-1 Tat protein in vivo. Binds specifically to the activation domain of HIV-1 Tat and can also interact with the HIV-2 and EIAV Tat proteins in vivo.
-
基因功能參考文獻:
- TRIM32 as a crucial positive regulator of Herpes Simplex Virus type 1 (HSV-1) induced IFN-beta production in corneal epithelial cells, and it played a predominant role in clearing HSV-1 from the cornea. PMID: 28954259
- HSP70-TRIM32 complex is biochemically distinct from the previously characterized 14-3-3-TRIM32 phospho-complex. PMID: 28052117
- Data suggest that, in cardiomyocytes, TRIM32 attenuates activation of SRF signaling and hypertrophy due to dysbindin; TRIM24 promotes these effects. TRIM32 promotes dysbindin degradation; TRIM24 protects dysbindin from degradation. (TRIM = tripartite motif-containing protein; SRF = serum response factor) PMID: 28465353
- Duchenne muscular dystrophy muscles showed a selective up-regulation of the ubiquitin ligase tripartite motif-containing protein 32 (TRIM32). The induction of TRIM32 was due to a transcriptional effect and it correlated with disease severity. PMID: 27295345
- we provide a detailed characterization of the TRIM ligases TRIM25 and TRIM32 and show how their oligomeric state is linked to catalytic activity PMID: 27154206
- that TRIM32 plays a protective role in aortic banding-induced pathological cardiac remodelling by blocking Akt-dependent signalling PMID: 26884348
- these findings suggest that TRIM32 might play important roles in the hepatocarcinogenesis. PMID: 27573002
- results show a novel molecular cascade involving miR-155 and TRIM32 leading to HIV-1 Tat-induced attenuated proliferation of neural precursor cells; study also uncovered an unidentified role for miR-155 in modulating human neural stem cell proliferation, helping in better understanding of neural precursor cells and diseased brain PMID: 26586575
- Results suggest that Salmonella effector SseK3 binding to host tripartite motif-containing 32 protein (TRIM32) in the inhibition of nuclear factor kappa B (NF-kappaB) activation: [SseK3] PMID: 26394407
- TRIM32 represents a model of intrinsic immunity, in which a host protein directly senses and counters viral infection in a species specific fashion by directly limiting viral replication PMID: 26057645
- Data indicate that variants in tripartite motif-containing 32 protein (TRIM32) in two patients presenting nonspecific limb-girdle muscular dystrophy type 2H (LGMD2H) were identified by using high-throughput variants screening techniques. PMID: 25351777
- TRIM32, an E3 ubiquitin ligase, promotes HIV reactivation from latency by directly modifying IkappaBalpha PMID: 25873391
- Identification of TRIM32 as a novel p53 target and as a novel negative regulator for p53. PMID: 25146927
- Trim32 is a positive regulator of ACD that acts against MYCN and should be considered as a tumor-suppressor candidate PMID: 25100564
- Deletions near the 3' terminus of ASTN2, a subset of these deletions also includes TRIM32, are significantly enriched in neurodevelopmental disorder subjects. PMID: 24381304
- BBS11 promotes accumulation of NPHP7, changing the properties of NPHP7. TRIM32 Modulates the Transcriptional Activities of Glis2 PMID: 24500717
- a novel connection between ubiquitylation and phosphorylation pathways, which could modulate a variety of cell events by stimulating the formation of the 14-3-3-TRIM32 signaling complex. PMID: 23444366
- TRIM32 assembles polyubiquitin chains as a Ubc5-linked thioester intermediate. PMID: 23408431
- TRIM32 protein modulates type I interferon induction and cellular antiviral response by targeting MITA/STING protein for K63-linked ubiquitination PMID: 22745133
- These findings suggest that TRIM32 functions as one of the coactivators for RARalpha-mediated transcription in acute promyelogenous leukemia cells. PMID: 22182411
- promotes neural differentiation through retinoic acid receptor-mediated transcription PMID: 21984809
- Malin is related to TRIM32 at both the phylogenetic and functional level. PMID: 21798009
- TRIM32 sensitizes TNFalpha-induced apoptosis by antagonizing XIAP PMID: 21628460
- It is likely that C-terminal mutations in TRIM32 affect the ability of muscle proteins to be degraded by the ubiquitin-proteasome pathway.[review] PMID: 21496629
- As CCL20 is activated by Th17 cytokines, the upregulation of CCL20 production by Trim32 provides a positive feedback loop of CCL20 and Th17 activation in the self-perpetuating cycle of psoriasis PMID: 20054338
- limb-girdle muscular dystrophy type 2H associated with mutation in TRIM32, a putative E3-ubiquitin-ligase gene PMID: 11822024
- TRIM32 mutation found in the sarcotubular myopathy patients is identical to the causative mutation for LGMD2H (D487N) PMID: 15786463
- Mutation analysis of TRIM32 shows it is a Bardet-Biedl syndrome gene. PMID: 16606853
- by controlling Piasy stability, Trim32 regulates UVB-induced keratinocyte apoptosis through induction of NFkappaB PMID: 16816390
- The mutations here reported may cause muscular dystrophy by affecting the interaction properties of TRIM32. PMID: 17994549
- Together with two recently reported mutations, this novel mutation confirms that integrity of the C-terminal domain of TRIM32 is necessary for muscle maintenance. PMID: 19303295
- TRIM32 is a widely expressed ubiquitin ligase and binds and ubiquitinates dysbindin. PMID: 19349376
- Intragenic deletion of TRIM32 in compound heterozygotes with sarcotubular myopathy/LGMD2H PMID: 19492423
- The interplay between Trim32 and Pias3 is positively regulated by nitric oxide. PMID: 17987106
顯示更多
收起更多
-
相關疾病:Limb-girdle muscular dystrophy 2H (LGMD2H); Bardet-Biedl syndrome 11 (BBS11)
-
亞細胞定位:Cytoplasm.
-
蛋白家族:TRIM/RBCC family
-
組織特異性:Spleen, thymus, prostate, testis, ovary, intestine, colon and skeletal muscle.
-
數據庫鏈接:
Most popular with customers
-
-
YWHAB Recombinant Monoclonal Antibody
Applications: ELISA, WB, IHC, IF, FC
Species Reactivity: Human, Mouse, Rat
-
Phospho-YAP1 (S127) Recombinant Monoclonal Antibody
Applications: ELISA, WB, IHC
Species Reactivity: Human
-
-
-
-
-















