TNFRSF11B Antibody
-
中文名稱:TNFRSF11B兔多克隆抗體
-
貨號:CSB-PA213664
-
規格:¥1100
-
圖片:
-
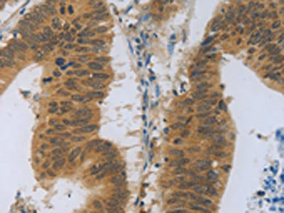
The image on the left is immunohistochemistry of paraffin-embedded Human colon cancer tissue using CSB-PA213664(TNFRSF11B Antibody) at dilution 1/30, on the right is treated with fusion protein. (Original magnification: ×200)
-
The image on the left is immunohistochemistry of paraffin-embedded Human breast cancer tissue using CSB-PA213664(TNFRSF11B Antibody) at dilution 1/30, on the right is treated with fusion protein. (Original magnification: ×200)
-
Gel: 10%SDS-PAGE, Lysate: 40 μg, Lane: Mouse kidney tissue, Primary antibody: CSB-PA213664(TNFRSF11B Antibody) at dilution 1/400, Secondary antibody: Goat anti rabbit IgG at 1/8000 dilution, Exposure time: 2 minutes
-
-
其他:
產品詳情
-
Uniprot No.:
-
基因名:
-
別名:MGC29565 antibody; OCIF antibody; OPG antibody; Osteoclastogenesis inhibitory factor antibody; Osteoprotegerin antibody; PDB5 antibody; TNF receptor superfamily member 11b antibody; TNFRSF 11B antibody; TNFRSF11B antibody; TR 1 antibody; TR1 antibody; TR11B_HUMAN antibody; Tumor necrosis factor receptor superfamily member 11B antibody
-
宿主:Rabbit
-
反應種屬:Human,Mouse,Rat
-
免疫原:Fusion protein of Human TNFRSF11B
-
免疫原種屬:Homo sapiens (Human)
-
標記方式:Non-conjugated
-
抗體亞型:IgG
-
純化方式:Antigen affinity purification
-
濃度:It differs from different batches. Please contact us to confirm it.
-
保存緩沖液:-20°C, pH7.4 PBS, 0.05% NaN3, 40% Glycerol
-
產品提供形式:Liquid
-
應用范圍:ELISA,WB,IHC
-
推薦稀釋比:
Application Recommended Dilution ELISA 1:2000-1:5000 WB 1:500-1:2000 IHC 1:25-1:100 -
Protocols:
-
儲存條件:Upon receipt, store at -20°C or -80°C. Avoid repeated freeze.
-
貨期:Basically, we can dispatch the products out in 1-3 working days after receiving your orders. Delivery time maybe differs from different purchasing way or location, please kindly consult your local distributors for specific delivery time.
-
用途:For Research Use Only. Not for use in diagnostic or therapeutic procedures.
相關產品
靶點詳情
-
功能:Acts as decoy receptor for TNFSF11/RANKL and thereby neutralizes its function in osteoclastogenesis. Inhibits the activation of osteoclasts and promotes osteoclast apoptosis in vitro. Bone homeostasis seems to depend on the local ratio between TNFSF11 and TNFRSF11B. May also play a role in preventing arterial calcification. May act as decoy receptor for TNFSF10/TRAIL and protect against apoptosis. TNFSF10/TRAIL binding blocks the inhibition of osteoclastogenesis.
-
基因功能參考文獻:
- REVIEW: role of osteoprotegerin in the crosstalk between vessels and bone: circulating OPG levels could be used as independent biomarkers of cardiovascular disease in patients with acute or chronic cardiometabolic disease and thus an improved prognosis PMID: 28867452
- OPG is one promising susceptibility gene of bone mineral density or osteoporotic fractures. PMID: 28496203
- The concentration of circulating osteoprotegerin can be a biomarker for both medial artery calcification and atherosclerosis in patients with chronic kidney disease (CKD); OPG might be an early indicator of all-cause mortality in CKD patients with advanced medial arterial calcification PMID: 29974642
- We conclude that non-small cell lung cancer patients have a higher content of OPG in bronchoalveolar lavage fluid than healthy people. PMID: 29052177
- positive correlation of OPG with age and an inverse correlation with IGF-I favor the compensatory response of OPG against bone loss in the aging skeleton PMID: 29895074
- The results indicated that mice treated with low levels of human recombinant OPG may have a more stable aneurysmal phenotype due to compensatory production of collagen and increased vessel wall thickness of the aorta, potentially protecting the aneurysm from rupture. PMID: 29749489
- TNF-alpha, DKK1, and OPG have roles in pathogenesis of knee osteoarthritis PMID: 28676900
- OPG mRNA expression was higher in tumour tissue from patients with metastatic prostate cancer compared to local disease. The RANKL/OPG ratio was low in normal prostate tissue and high in tumours with bone metastases. Expression was high in BPH tissue but did not exceed as much as in the tumour tissue. PMID: 29204705
- results of this study concluded that the RANK, RANK-L and OPG system participates in bone remodeling after RME PMID: 29297549
- In cardiovascular risks, OPG serum level might increase as a preventive compensatory mechanism to neutralize the RANKL level increment. The determination of the OPG-RANKL system is a diagnostic indicator for the intensity of vascular calcification and atherosclerosis in SSc patients. PMID: 29336616
- Demonstrate that rs3134069 in TNFRSF11B increases risk of ischemic stroke by decreasing TNFRSF11B expression. PMID: 29501268
- sRANKL and OPG may play a role in the pathogenesis of diabetes as well as metabolic disturbance PMID: 28146138
- The study revealed an enhanced sensitivity of aortic valve interstitial cells to osteogenic inductors in aortic stenosis patients, which indicates probable implication of OPN, OPG, and BMP2 genes in pathogenesis of aortic valve calcification. PMID: 29308559
- Patients with metabolic syndrome have increased osteoprotegerin serum levels than healthy individuals; osteoprotegerin plays an important role in the development of arteriosclerosis, and the effect of osteoprotegerin on intima media thickness strongly depends on the extent of arteriosclerotic changes in metabolic syndrome PMID: 29077157
- In African-Americans, higher OPG levels were associated with characteristics common in patients with heart failure with preserved ejection fraction (HFpEF) and were significantly associated with known precursors to HFpEF. PMID: 28787318
- rs2073618 not associated with bone mineral density PMID: 28488893
- TRACP-5b level is significantly associated with the OPG level and with the severity and extent of coronary atherosclerosis in coronary artery disease patients PMID: 28428481
- Vascular smooth cells are a significant source of osteoprotegerin within the vasculature but that RANKL, once present, downregulates this production and appears capable of preventing the "protective" upregulation of OPG seen with VSMCs exposed to physiological levels of cyclic strain. PMID: 29635231
- higher serum OPG levels represent an independent risk factor for cardiovascular and fracture risk. PMID: 28677166
- For the OPG gene, an association was observed between the group with chronic arthralgia and joint TMD and the control group (P=0.04). There was also a tendency towards an association of the haplotype CGCCAA with an increased risk of developing chronic joint pain, even in the absence of TMD (P=0.06). PMID: 28464982
- Vitamin D, tumor necrosis factor (TNF)-alpha, receptor activator of nuclear factor-KB ligand (RANKL), and OPG levels were determined in GCF and serum. Baseline clinical parameters were similar in all periodontitis groups (P > 0.05) but were higher than that in controls PMID: 28904316
- Adipose-derived stem cell-released osteoprotegerin protects cardiomyocytes from reactive oxygen species-induced cell death. PMID: 28931423
- down-regulated miR-143-5p promotes the differentiation of DPSCs into odontoblasts by enhancing Runx2 expression via the OPG/RANKL signaling pathway. PMID: 28608628
- OPG and OPG/TRAIL ratio expression were significantly increased in rheumatoid arthritis patients compared to controls (fold change = 1.79, p = 0.013 and 2.07, p = 0.030, respectively), RANKL/OPG ratio was significantly decreased (fold change = 0.50, p = 0.020). No significant differences were found between patients and controls in RANKL and TRAIL expression. PMID: 27403809
- Elevated OPG was a strong and independent predictor of longterm cardiovascular mortality, even after adjustment for traditional risk factors. Low levels of both OPG and act vWF were associated with a 99 % survival rate during the follow-up of five years. PMID: 28726980
- This study revealed a significant elevation of circulating OPG in septic patients with different levels of severity and those who progressed to AKI. PMID: 28840836
- Studied association between osteoprotegerin gene polymorphisms and osteoporosis in Roma and non-Roma postmenopausal women in Eastern Slovakia. PMID: 27859736
- In type 2 diabetes patients HMGB-1 and OPG serum levels are higher in patients affected by peripheral arterial disease and independently associated with its occurrence and clinical severity PMID: 28789654
- The epicardial adipose tissue expresses the mRNA of osteopontin, osteoprotegerin, and osteonectin genes that have been implicated in the calcification process; such expression is statistically associated with some components of HDL subclasses in coronary artery disease patients. PMID: 28821297
- Serum osteoprotegerin level is significantly associated with both the presence and severity of peripheral arterial disease in patients with type 2 diabetes. PMID: 29313442
- Serum osteoprotegerin was the strongest risk factor associated with new development and rapid progression of arterial calcification in incident peritoneal dialysis patients. PMID: 28614819
- concluded that in Mexican-Mestizo female patients with rheumatoid arthritis, the rs2073618 polymorphism of the TNRFS11B gene is not associated with low bone mineral density PMID: 28758134
- Osteoprotegerin was associated with chronic kidney disease in hypertensive patients. PMID: 28683789
- Data suggest that, in children with type I diabetes, serum levels of osteoprotegerin are up-regulated, serum levels of RANKL are unchanged, and serum levels of fetuin-A are down-regulated. (RANKL = receptor activator of nuclear factor kappa B ligand) PMID: 27028343
- Data indicate a significant inverse relationship between plasma osteoprotegerin (OPG) levels and breast cancer risk among women with an inherited BRCA1 or BRCA2 mutation. PMID: 27893411
- Progressive calcification of atherosclerotic plaques is accompanied by insignificant accumulation of calcitonin and osteoprotegerin, whereas the osteocalcin expression significantly increased during calcification. PMID: 28429221
- Elevated serum ferritin concentrations and bone remodeling marker, osteoprotegerin, are independent predictors of hip fracture in postmenopausal women hospitalized for fragility fracture. PMID: 27503623
- Results showed that colorectal liver metastasis tissues exhibited significantly reduced expression of osteoprotegerin compared to primary colorectal carcinomas and normal colorectal mucosa. This reduced expression was significantly associated with the extent of colorectal liver metastasis, including multiplicity of metastatic tumors, involvement of the bilateral hepatic lobes, and higher histological grade. PMID: 27764814
- Data indicate that the RANKL/RANK/OPG system is deregulated in post-menopausal women at high risk for breast cancer and in women with circulating tumor cells. Thus, serum levels of RANKL/OPG are potentially indicative of predisposition and progression of breast cancer in humans. PMID: 28002811
- High OPG expression is associated with triple negative breast cancer. PMID: 27015557
- show for the first time that OPG improves risk stratification for cardiovascular events in a non-dialysis chronic kidney disease population PMID: 27016924
- OPG has a role in cancer progression, especially breast cancer [review] PMID: 27072583
- OPG rs2073618 polymorphism could be a possible genetic marker for the prediction of increased risk for carotid plaque burden as a measure of advanced subclinical atherosclerosis in T2DM subjects. PMID: 28593808
- The compound with greatest potential is E05657 with high activity and low effective concentration in the HTS system. It increases the OPG/RANKL ratio and OPG secretion, decreases the NFATc1 expression, and reduces osteoclastogenesis in vitro PMID: 27301430
- OPG T950C polymorphism might be associated with an increased osteoporosis risk in the Chinese population PMID: 29253005
- We have concluded that low OPG levels may be associated with osteoporosis in ulcerative colitis, but it is not correlated with the c.-223C > T polymorphism in the TNFRSF11B gene. PMID: 27639566
- RANKL/Osteoprotegerin have roles in bone turnover in Hashimoto Thyroiditis PMID: 27328677
- High OPG expression is associated with colorectal carcinoma. PMID: 26942563
- Data suggest that elevated plasma levels of osteoprotegerin/TNFRSF11B correlate with increased risk of cardiovascular comorbidities in children and adolescents with type 1 diabetes (as compared to healthy control subjects); thus, osteoprotegerin/TNFRSF11B may serve as biomarker of cardiovascular risk in these patients. This study was conducted in Tunisia. PMID: 27111559
- Studies showed that the central hypothalamic-pituitary regulatory system, via it's relative hormones, seems to control OPG/RANKL/RANK system function, and the pulsatility and circadian rhythmicity of these hormones may induce an oscillatory fluctuation of the OPG/ RANKL ratio. Also, psycological characteristics may provoke a shift of the OPG/ RANKL ratio towards an unbalanced or a balanced status. [review] PMID: 27862210
顯示更多
收起更多
-
相關疾病:Paget disease of bone 5, juvenile-onset (PDB5)
-
亞細胞定位:Secreted.
-
組織特異性:Highly expressed in adult lung, heart, kidney, liver, spleen, thymus, prostate, ovary, small intestine, thyroid, lymph node, trachea, adrenal gland, testis, and bone marrow. Detected at very low levels in brain, placenta and skeletal muscle. Highly expres
-
數據庫鏈接:
Most popular with customers
-
-
YWHAB Recombinant Monoclonal Antibody
Applications: ELISA, WB, IHC, IF, FC
Species Reactivity: Human, Mouse, Rat
-
Phospho-YAP1 (S127) Recombinant Monoclonal Antibody
Applications: ELISA, WB, IHC
Species Reactivity: Human
-
-
-
-
-















