TMPRSS4 Antibody
-
中文名稱:TMPRSS4兔多克隆抗體
-
貨號:CSB-PA034529
-
規格:¥1100
-
圖片:
-
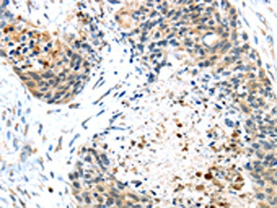
The image on the left is immunohistochemistry of paraffin-embedded Human esophagus cancer tissue using CSB-PA034529(TMPRSS4 Antibody) at dilution 1/45, on the right is treated with fusion protein. (Original magnification: ×200)
-
Gel: 8%SDS-PAGE,Lysate: 40 μg,,Primary antibody: CSB-PA034529(TMPRSS4 Antibody) at dilution 1/500 dilution,Secondary antibody: Goat anti rabbit IgG at 1/8000 dilution,Exposure time: 3 minutes
-
-
其他:
產品詳情
-
Uniprot No.:
-
基因名:TMPRSS4
-
別名:UNQ776/PRO1570 antibody; CAPH2 antibody; Channel-activating protease 2 antibody; Membrane type serine protease 2 antibody; Membrane-type serine protease 2 antibody; MT SP2 antibody; MT-SP2 antibody; TMPRSS 4 antibody; TMPRSS3 antibody; TMPRSS4 antibody; TMPS4_HUMAN antibody; Transmembrane protease serine 4 antibody; Transmembrane protease, serine 4 antibody; Transmembrane serine protease 3 antibody
-
宿主:Rabbit
-
反應種屬:Human,Mouse
-
免疫原:Fusion protein of Human TMPRSS4
-
免疫原種屬:Homo sapiens (Human)
-
標記方式:Non-conjugated
-
抗體亞型:IgG
-
純化方式:Antigen affinity purification
-
濃度:It differs from different batches. Please contact us to confirm it.
-
保存緩沖液:-20°C, pH7.4 PBS, 0.05% NaN3, 40% Glycerol
-
產品提供形式:Liquid
-
應用范圍:ELISA,WB,IHC
-
推薦稀釋比:
Application Recommended Dilution ELISA 1:1000-1:2000 WB 1:200-1:1000 IHC 1:30-1:150 -
Protocols:
-
儲存條件:Upon receipt, store at -20°C or -80°C. Avoid repeated freeze.
-
貨期:Basically, we can dispatch the products out in 1-3 working days after receiving your orders. Delivery time maybe differs from different purchasing way or location, please kindly consult your local distributors for specific delivery time.
-
用途:For Research Use Only. Not for use in diagnostic or therapeutic procedures.
相關產品
靶點詳情
-
功能:Plasma membrane-anchored serine protease that directly induces processing of pro-uPA/PLAU into the active form through proteolytic activity. Seems to be capable of activating ENaC.; (Microbial infection) In gut epithelial cells, facilitates human coronavirus SARS-CoV-2 infection through, at least, the cleavage of coronavirus spike glycoproteins which activates the glycoprotein for host cell entry.
-
基因功能參考文獻:
- The miR125a5p/TMPRSS4/NFkappaB axis may thus provide novel insight into the pathogenic mechanisms of lung adenocarcinoma and may be used in the development of novel treatment strategies for lung adenocarcinoma . PMID: 29750426
- we demonstrated a mechanistic cascade of TMPRSS4 up-regulating STAT3 activation and subsequent TWIST1 expression, leading to prostate cancer migration. PMID: 28466252
- TMPRSS4 is overexpressed in Idiopathic pulmonary fibrosis lungs. PMID: 29529050
- TMPRSS4 protein expression in esophageal carcinoma was correlated with patient demographic characteristics, tumor type, high TNM stages and overall survival. PMID: 29254316
- TMPRSS4 modulates both invasion and proliferation via Slug and cyclin D1, which is a previously unrecognized pathway that may regulate metastasis and cancer progression PMID: 27385093
- We conclude that TMPRSS4 overexpression in solid tumors is associated with patients' poor prognosis. TMPRSS4 could be a valuable prognosis biomarker or a promising therapeutic target of solid tumor. PMID: 27344186
- High TMPRSS4 expression is associated with pancreatic adenocarcinoma. PMID: 26993610
- TMPRSS4 is a novel independent prognostic biomarker regulated by epigenetic changes in lung squamous cell carcinomas PMID: 26989022
- These results revealed that CLDN1 contributed to cancer stem cell features of hepatocellular carcinoma, which was altered by TMPRSS4 expression via ERK1/2 signaling pathway, providing promising targets for novel specific therapies. PMID: 28651932
- TMPRSS4 overexpression promoted the proliferation, invasion and migration of breast cancer cells by possibly inducing epithelial-mesenchymal transition PMID: 28259959
- The increase of TMPRSS4 expression may be a key event for HCC progression and may be regarded as a potential prognostic marker for HCC. PMID: 26190376
- suggesting that TMPRSS4 is associated with a cancer stem cells phenotype in patients' tumors PMID: 26546046
- TMPRSS4 expression is associated with postoperative recurrence. In addition, the current survival curves demonstrated that TMPRSS4 expression is associated with statistically significant differences in survival among patients with lung adenocarcinoma. PMID: 26722035
- In prostate cancer, high TMPRSS4 expression was significantly associated with advanced tumor stage and lymphatic metastasis. PMID: 25550850
- TMPRSS4 is overexpressed in thyroid cancer and TMPRSS4-CREB signaling is needed to sustain thyroid cancer cell proliferation. PMID: 25244400
- TMPRSS4 is upregulated by silencing of TFPI-2 through aberrant DNA methylation and contributes to oncogenesis in non-small cell lung cancer. PMID: 25414083
- On the basis of this information and the structural characteristics of this druggable protease, we suggest that TMPRSS4 could be a novel potential therapeutic target in solid tumours. PMID: 25203520
- TMPRSS4 was associated with CRC stage and regulated the proliferation and self-renewal ability of colon cancer cells; TMRPSS4 was involved in the development and progression of CRC. PMID: 24335200
- TMPRSS4 was an independent predictor of OS and DFS. PMID: 24132607
- High expression of TMPRSS4 was significantly associated with advanced TNM stage. PMID: 24072509
- Expression of TMPRSS4 in gastric cancer is significantly associated with lymph node and distant metastasis, high Erk1 expression, and poor prognosis. PMID: 23922976
- TMPRSS4 induced the transcription of uPA gene through activating the transcription factors Sp1, Sp3, and AP-1 in a JNK-dependent manner and that the induction of uPA was required for TMPRSS4-mediated cancer cell invasion. PMID: 23978400
- increased TMPRSS4 expression was an independent predictor of poor prognosis for overall survival in gallbladder cancer. patients. PMID: 24532432
- High TMPRSS4 expression is associated with cervical squamous cell carcinoma. PMID: 24012692
- A mutation in the serine protease TMPRSS4 in a novel pediatric neurodegenerative disorder PMID: 23957953
- TMPRSS4 directly converted inactive pro-uPA into the active form through its proteolytic activity. Conditioned medium from cells overexpressing TMPRSS4 showed that the active TMPRSS4 protease domain is released and is associated with the plasma membrane. PMID: 24434139
- We have demonstrated for the first time a new molecular pathway that connects TMPRSS4 and integrin alpha5 through miR-205 to regulate cancer cell invasion and metastasis PMID: 24434435
- Our data suggest that TMPRSS4 positivity is associated with GC invasion and lymph node metastasis. We propose TMPRSS4 expression as an indicator of poor prognosis in GC patients PMID: 24299317
- TMPRSS4 expression is a putative biological marker for breast cancer and is an indicator of poor prognosis. PMID: 23420063
- Progression and metastatic potential of several cancers is concordant with an increased expression of TMPRSS4. PMID: 22944691
- results demonstrate overexpression of TMPRSS4 in non-small cell lung carcinoma at both the mRNA and protein levels. In addition, our findings suggest that expression of TMPRSS4 in the tumor microenvironment is regulated by hypoxia. PMID: 22692880
- Overexpression of TMPRSS4 has a critical role in radiation-induced long-term dissemination and metastasis of residual HCC by facilitating EMT. PMID: 21637307
- Kaplan-Meier curves demonstrated that high levels of TMPRSS4 were significantly associated (P=0.017) with reduced overall survival in the patients with SCC histology, whereas no correlation was found for the AC histology PMID: 22067904
- RNAi-mediated knockdown of TMPRSS2 and TMPRSS4 in Caco-2 cells, which released fully infectious virus without trypsin treatment, markedly reduced the spread of influenza virus, demonstrating that these proteases were responsible for activation of HA. PMID: 20631123
- TMPRSS4 expression was significantly higher in human colorectal cancer tissues from advanced stages than in that of early stage. PMID: 20118200
- The authors provide evidence that TMPRSS2 and TMPRSS4 activate the 1918 HA by cleavage and therefore may promote viral spread in lung tissue. PMID: 19158246
- TMPRSS4 plays a role in invasion, metastasis, migration and adhesion in cancer cells. TMPRSS4 may contribute to tumor cell invasion and metastasis by promoting an epithelial-mesenchymal transition(EMT) through the strong SIP1/ZEB2 induction. PMID: 17968309
顯示更多
收起更多
-
亞細胞定位:Cell membrane; Single-pass type II membrane protein.; [Transmembrane protease serine 4 catalytic chain]: Secreted.
-
蛋白家族:Peptidase S1 family
-
組織特異性:High levels in pancreatic, gastric, colorectal and ampullary cancer. Very weak expression in normal gastrointestinal and urogenital tract. Coexpressed with ACE2 within mature enterocytes.
-
數據庫鏈接:
Most popular with customers
-
Phospho-YAP1 (S127) Recombinant Monoclonal Antibody
Applications: ELISA, WB, IHC
Species Reactivity: Human
-
-
-
-
-
-
-















