TMED10 Antibody
-
中文名稱:TMED10兔多克隆抗體
-
貨號:CSB-PA023655ESR2HU
-
規格:¥440
-
圖片:
-
Western blot
All lanes: TMED10 antibody at 4.88µg/ml
Lane 1: Hela whole cell lysate
Lane 2: Mouse liver tissue
Lane 3: Mouse lung tissue
Lane 4: 293T whole cell lysate
Lane 5: NIH/3T3 whole cell lysate
Lane 6: U87 whole cell lysate
Secondary
Goat polyclonal to rabbit IgG at 1/10000 dilution
Predicted band size: 25 kDa
Observed band size: 25 kDa -
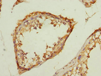
Immunohistochemistry of paraffin-embedded human testis tissue using CSB-PA023655ESR2HU at dilution of 1:100
-
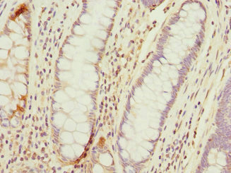
Immunohistochemistry of paraffin-embedded human colon cancer using CSB-PA023655ESR2HU at dilution of 1:100
-
-
其他:
產品詳情
-
產品名稱:Rabbit anti-Homo sapiens (Human) TMED10 Polyclonal antibody
-
Uniprot No.:
-
基因名:
-
別名:TMED10; TMP21; Transmembrane emp24 domain-containing protein 10; Protein TMED10; 21 kDa transmembrane-trafficking protein; S31I125; S31III125; Tmp-21-I; Transmembrane protein Tmp21; p23; p24 family protein delta-1; p24delta1; p24delta
-
宿主:Rabbit
-
反應種屬:Human, Mouse
-
免疫原:Recombinant Human Transmembrane emp24 domain-containing protein 10 protein (35-190AA)
-
免疫原種屬:Homo sapiens (Human)
-
標記方式:Non-conjugated
-
克隆類型:Polyclonal
-
抗體亞型:IgG
-
純化方式:Antigen Affinity Purified
-
濃度:It differs from different batches. Please contact us to confirm it.
-
保存緩沖液:PBS with 0.02% sodium azide, 50% glycerol, pH7.3.
-
產品提供形式:Liquid
-
應用范圍:ELISA, WB, IHC
-
推薦稀釋比:
Application Recommended Dilution WB 1:1000-1:5000 IHC 1:20-1:200 -
Protocols:
-
儲存條件:Upon receipt, store at -20°C or -80°C. Avoid repeated freeze.
-
貨期:Basically, we can dispatch the products out in 1-3 working days after receiving your orders. Delivery time maybe differs from different purchasing way or location, please kindly consult your local distributors for specific delivery time.
-
用途:For Research Use Only. Not for use in diagnostic or therapeutic procedures.
相關產品
靶點詳情
-
功能:Cargo receptor involved in protein vesicular trafficking and quality control in the endoplasmic reticulum (ER) and Golgi. The p24 protein family is a group of transmembrane proteins that bind coat protein complex I/COPI and coat protein complex II/COPII involved in vesicular trafficking between the membranes. Acts at the lumenal side for incorporation of secretory cargo molecules into transport vesicles and involved in vesicle coat formation at the cytoplasmic side. Mainly functions in the early secretory pathway and cycles between the ER, ER-Golgi intermediate compartment (ERGIC) and Golgi, mediating cargo transport through COPI and COPII-coated vesicles. In COPII vesicle-mediated anterograde transport, involved in the transport of GPI-anchored proteins by acting together with TMED2 as their cargo receptor; the function specifically implies SEC24C and SEC24D of the COPII vesicle coat and lipid raft-like microdomains of the ER. Recognizes GPI anchors structural remodeled in the ER by the GPI inositol-deacylase/PGAP1 and the metallophosphoesterase MPPE1/PGAP5. In COPI vesicle-mediated retrograde transport, involved in the biogenesis of COPI vesicles and vesicle coat recruitment. Involved in trafficking of amyloid beta A4 protein and soluble APP-beta release (independent from the modulation of gamma-secretase activity). Involved in the KDELR2-mediated retrograde transport of the toxin A subunit (CTX-A-K63)together with COPI and the COOH terminus of KDELR2. On Golgi membranes, acts as primary receptor for ARF1-GDP, a GTP-binding protein involved in COPI-vesicle formation. Increases coatomer-dependent GTPase-activating activity of ARFGAP2 which mediates the hydrolysis of ARF1-bound GTP and therefore modulates protein trafficking from the Golgi apparatus. Involved in the exocytic trafficking of G protein-coupled receptors F2LR1/PAR2 (trypsin and tryspin-like enzyme receptor), OPRM1 (opioid receptor) and P2RY4 (UTD and UDP receptor) from the Golgi to the plasma membrane, thus contributing to receptor resensitization. In addition to its cargo receptor activity, may also act as a protein channel after oligomerization, facilitating the post-translational entry of leaderless cytoplasmic cargo into the ERGIC. Involved in the translocation into ERGIC, the vesicle entry and the secretion of leaderless cargos (lacking the secretion signal sequence), including the mature form of interleukin 1/IL-1 family members, the alpha-crystallin B chain HSPB5, the carbohydrate-binding proteins galectin-1/LGALS1 and galectin-3/LGALS3, the microtubule-associated protein Tau/MAPT, and the annexin A1/ANXA1; the translocation process is dependent on cargo protein unfolding and enhanced by chaperones HSP90AB1 and HSP90B1/GRP9. Could also associates with the presenilin-dependent gamma-secretase complex in order to regulate gamma-cleavages of the amyloid beta A4 protein to yield amyloid-beta 40/Abeta40.
-
基因功能參考文獻:
- Low TMED10 expression is associated with breast cancer. PMID: 28115518
- TMP21 modulates cell growth in papillary thyroid cancer cells by inducing autophagy, which may be associated with activation of AMPK/mTOR pathway. PMID: 26617795
- Study demonstrates that NleF binds to the human Tmp21 protein and subsequently disrupts intracellular protein trafficking. PMID: 23434013
- This study suggested that The role ofTMP21 in the modulation of gamma-secretase activity and protein trafficking and related to alzheimer disease. PMID: 22299712
- Data show that the level of p23 expression is critical for neuronal function, and p23 overexpression initiates a cascade in brainstem that leads to severe motor deficits and other neurological problems, culminating in premature death. PMID: 22204304
- Results suggest that Tmp21 is a novel protein that preferentially binds to Beta(2)-microglobulin-free MHC-I heavy chains. PMID: 21699748
- p23 acts as an anchoring protein that retains PKCdelta at the perinuclear region, thus limiting the availability of this kinase for activation in response to stimuli. PMID: 21454541
- Transmembrane protein 23 and p24A differentially control G-protein coupled receptor trafficking and signaling in astrocytes. PMID: 21219331
- These results demonstrate that p23/Tmp21 acts as an anchor that distinctively modulates compartmentalization of C1 domain-containing proteins, and it plays an essential role in beta2-chimaerin relocalization. PMID: 20164256
- TMP21, a member of the p24 cargo protein family, is a component of presenilin complexes and differentially regulates gamma-secretase cleavage without affecting epsilon-secretase activity PMID: 16641999
- TMP21 behaves as a regulator of gamma- but not epsilon-cleavages of beta-amyloid precursor protein generated by presenilin-dependent gamma-secretase complex. PMID: 18405662
- p23 is widely distributed throughout the frontal cortex, hippocampus and cerebellum of control and Alzheimer disease (AD)brains; steady-state p23 levels are reduced in the brains of individuals with AD. PMID: 18652896
- Taken together, these results indicate that the degradation of TMP21, as with the other presenilin-associated gamma-secretase complex members, is mediated by the ubiquitin-proteasome pathway. PMID: 19046380
- the TMP21 transmembrane domain promotes its association with the presenilin complex that results in decreased gamma-cleavage activity PMID: 19710022
顯示更多
收起更多
-
亞細胞定位:Endoplasmic reticulum membrane; Single-pass type I membrane protein. Endoplasmic reticulum-Golgi intermediate compartment membrane; Single-pass type I membrane protein. Golgi apparatus membrane; Single-pass type I membrane protein. Golgi apparatus, cis-Golgi network membrane; Single-pass type I membrane protein. Golgi apparatus, trans-Golgi network membrane; Single-pass type I membrane protein. Cytoplasmic vesicle, secretory vesicle membrane; Single-pass type I membrane protein. Cell membrane; Single-pass type I membrane protein. Melanosome.
-
蛋白家族:EMP24/GP25L family
-
數據庫鏈接:
Most popular with customers
-
-
YWHAB Recombinant Monoclonal Antibody
Applications: ELISA, WB, IHC, IF, FC
Species Reactivity: Human, Mouse, Rat
-
Phospho-YAP1 (S127) Recombinant Monoclonal Antibody
Applications: ELISA, WB, IHC
Species Reactivity: Human
-
-
-
-
-















