TFEB Antibody
-
中文名稱:TFEB兔多克隆抗體
-
貨號:CSB-PA023429EA01HU
-
規格:¥440
-
圖片:
-
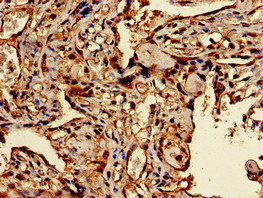
Immunohistochemistry of paraffin-embedded human placenta tissue using CSB-PA023429EA01HU at dilution of 1:100
-
Immunofluorescent analysis of Hela cells using CSB-PA023429EA01HU at dilution of 1:100 and Alexa Fluor 488-congugated AffiniPure Goat Anti-Rabbit IgG(H+L)
-
Western Blot
Positive WB detected in: Rat lung tissue
All lanes: TFEB antibody at 3μg/ml
Secondary
Goat polyclonal to rabbit IgG at 1/50000 dilution
Predicted band size: 53, 44 kDa
Observed band size: 70 kDa
-
-
其他:
產品詳情
-
產品名稱:Rabbit anti-Homo sapiens (Human) TFEB Polyclonal antibody
-
Uniprot No.:
-
基因名:
-
別名:Alpha TFEB antibody; AlphaTFEB antibody; bHLHe35 antibody; Class E basic helix-loop-helix protein 35 antibody; T cell transcription factor EB antibody; TCFEB antibody; TFEB antibody; TFEB_HUMAN antibody; Transcription factor EB antibody
-
宿主:Rabbit
-
反應種屬:Human, Rat
-
免疫原:Recombinant Human Transcription factor EB protein (1-476AA)
-
免疫原種屬:Homo sapiens (Human)
-
標記方式:Non-conjugated
本頁面中的產品,TFEB Antibody (CSB-PA023429EA01HU),的標記方式是Non-conjugated。對于TFEB Antibody,我們還提供其他標記。見下表:
-
克隆類型:Polyclonal
-
抗體亞型:IgG
-
純化方式:>95%, Protein G purified
-
濃度:It differs from different batches. Please contact us to confirm it.
-
保存緩沖液:Preservative: 0.03% Proclin 300
Constituents: 50% Glycerol, 0.01M PBS, pH 7.4 -
產品提供形式:Liquid
-
應用范圍:ELISA, WB, IHC, IF
-
推薦稀釋比:
Application Recommended Dilution WB 1:500-1:5000 IHC 1:20-1:200 IF 1:50-1:200 -
Protocols:
-
儲存條件:Upon receipt, store at -20°C or -80°C. Avoid repeated freeze.
-
貨期:Basically, we can dispatch the products out in 1-3 working days after receiving your orders. Delivery time maybe differs from different purchasing way or location, please kindly consult your local distributors for specific delivery time.
-
用途:For Research Use Only. Not for use in diagnostic or therapeutic procedures.
相關產品
靶點詳情
-
功能:Transcription factor that acts as a master regulator of lysosomal biogenesis, autophagy, lysosomal exocytosis, lipid catabolism, energy metabolism and immune response. Specifically recognizes and binds E-box sequences (5'-CANNTG-3'); efficient DNA-binding requires dimerization with itself or with another MiT/TFE family member such as TFE3 or MITF. Involved in the cellular response to amino acid availability by acting downstream of MTOR: in the presence of nutrients, TFEB phosphorylation by MTOR promotes its cytosolic retention and subsequent inactivation. Upon starvation or lysosomal stress, inhibition of MTOR induces TFEB dephosphorylation, resulting in nuclear localization and transcription factor activity. Specifically recognizes and binds the CLEAR-box sequence (5'-GTCACGTGAC-3') present in the regulatory region of many lysosomal genes, leading to activate their expression, thereby playing a central role in expression of lysosomal genes. Regulates lysosomal positioning in response to nutrient deprivation by promoting the expression of PIP4P1. Acts as a positive regulator of autophagy by promoting expression of genes involved in autophagy. In association with TFE3, activates the expression of CD40L in T-cells, thereby playing a role in T-cell-dependent antibody responses in activated CD4(+) T-cells and thymus-dependent humoral immunity. Specifically recognizes the gamma-E3 box, a subset of E-boxes, present in the heavy-chain immunoglobulin enhancer. Plays a role in the signal transduction processes required for normal vascularization of the placenta. Involved in the immune response to infection by the bacteria S.aureus or S.enterica, acting downstream of protein kinase D (PKD), probably by regulating cytokine and chemokine expression.
-
基因功能參考文獻:
- TMEM106B drives lung cancer metastasis by inducing TFEB-dependent lysosome synthesis and secretion of cathepsins. PMID: 30013069
- data on TFEB nucleo-cytoplasmic shuttling suggest an unpredicted role of mTOR in nuclear export. PMID: 30120233
- The transcription factor EB (TFEB) nuclear export signal (NES) integrates carbon (glucose) and nitrogen (amino acid) availability by controlling TFEB flux through a nuclear import-export cycle. PMID: 29992949
- TFEB knockdown reduces invasion and migration of cancer cells, likely through lysosomal regulation. Taken together, TFEB influences cell invasion and migration of oral squamous cell carcinomas. PMID: 29316035
- Akt phosphorylates TFEB at Ser467 and represses TFEB nuclear translocation independently of mechanistic target of rapamycin complex 1, a known TFEB inhibitor. Pharmacological inhibition of Akt promotes cellular clearance in cells from patients with a variety of lysosomal diseases. PMID: 28165011
- these data suggest that the TFEB/TMEM55B/JIP4 pathway coordinates lysosome movement in response to a variety of stress conditions. PMID: 29146937
- Data suggest that the effects of Alpha-TFEB gene fusion are specific in renal cell carcinoma, which results in the overexpression of a native TFEB protein and then promotes cell canceration. PMID: 29328409
- MAP4K3 is identified as an amino acid-dependent regulator of autophagy through its phosphorylation of transcription factor EB (TFEB), a transcriptional activator of autophagy. PMID: 29507340
- Overexpression of TFEB is associated with Breast Cancer. PMID: 28017540
- Results identify cigarette smoke (CS)-induced accumulation of TFEB in aggresome-bodies as a specific novel mechanism for CS-mediated autophagy-impairment and resulting aggresome-formation and emphysema progression. PMID: 27835930
- This study reveals a critical link between two keys factors in tumourigenesis and autophagy, and suggests a potential important role of p53-TFEB signaling axis in lung cancer. PMID: 28292013
- Taken together, these data demonstrate that ATO induces osteosarcoma cell death via inducing excessive autophagy, which is mediated through the ROS-TFEB pathway. The present study provides a new anti-tumor mechanism of ATO treatment in osteosarcoma. PMID: 29307831
- cellular vacuolization, represents a condition of profound lysosome stress, and cells sense and respond to this stress by facilitating mTOR-dependent TFEB nucleus translocation in an effort to restore lysosome homeostasis. PMID: 27593892
- TFEB and TFE3 collaborate with each other in activated macrophages and microglia to promote efficient autophagy induction, increased lysosomal biogenesis, and transcriptional upregulation of numerous proinflammatory cytokines PMID: 27171064
- TFEB is affected by a novel curcumin analog in vitro and in vivo independent of MTOR inhibition PMID: 27172265
- TFEB regulates PER3 expression via glucose-dependent effects on CLOCK/BMAL1 PMID: 27373683
- These data reveal a novel mechanism of TFEB regulation by MTORC1 essential for lysosomal biogenesis. PMID: 28055300
- Data suggest that transcription factor EB (TFEB) is a protective transcription factor against endothelial cell inflammation and a potential target for treating atherosclerosis and associated cardiovascular diseases. PMID: 28143903
- Both Danon Disease and glycogen storage disease type II show accumulation and altered localization of VPS15 in autophagy-incompetent fibers. However, TFEB displays a different pattern between these two lysosomal storage diseases PMID: 28102838
- Studies identified TFEB and TFE3 as master modulators of stress response notably in the lysosomal biogenesis and autophagy with capability to upregulate hundreds of genes involved in intracellular clearance, catabolism, metabolic processes, and cellular homeostasis. PMID: 27892768
- Findings suggest that TFEB activation in tauopathy model mice stimulates the autophagy-lysosome pathway, resulting in the clearance of PHF-tau and lipofuscins, which in turn may rescue loss of synapses, and learning and memory deficits. PMID: 27257626
- Data suggest that PEG3 is required for TFEB induction and nuclear translocation in a VEGFR2- and AMPK-dependent manner for decorin/decorin receptor-evoked autophagy. (PEG3 = paternally expressed 3 protein; TFEB = transcription factor EB; VEGFR2 = vascular endothelial growth factor receptor-2; AMPK = AMP-activated protein kinase) PMID: 28798237
- review of role linking cellular stress to immune response PMID: 28656016
- Results demonstrate that TFEB levels and subcellular distribution undergo distinct short-term and long-term control. These findings suggest that the rapid rheostatic response, mediated by mTOR, allows the cell to quickly adapt to metabolic changes, while the long-term, mTOR independent homeostatic response controls the magnitude and duration of TFEB activation, and presumably limits excessive autophagy. PMID: 27268034
- Consistent with reduced transcription factor EB (TFEB) activity, accumulation of phosphorylated TFEB in STUB1-deficient cells resulted in reduced autophagy and reduced mitochondrial biogenesis. These studies reveal that the ubiquitin-proteasome pathway participates in regulating autophagy and lysosomal functions by regulating the activity of TFEB. PMID: 28754656
- TFEB has attracted a lot of attention owing to its ability to induce the intracellular clearance of pathogenic factors in a variety of murine models of disease, such as Parkinson's and Alzheimer's, suggesting that novel therapeutic strategies could be based on the modulation of TFEB activity. PMID: 27252382
- Amplification of chromosome 6p including the TFEB gene is a novel occurrence in renal cell carcinoma, which seems to be associated with an often aggressive and infiltrative tubulopapillary growth pattern. PMID: 28009604
- TFEB-amplified renal cell carcinomas represent a distinct molecular subtype of high-grade adult renal cell carcinomas associated with aggressive clinical behavior, variable morphology, and aberrant melanocytic marker expression PMID: 27565001
- Case Report: suggest that extensive sclerosis and ossification may be a less common recurring histology of TFEB-rearrangement renal cell carcinoma. PMID: 27864122
- Overexpression of deacetylated transcription factor EB at K116R mutant in microglia accelerated intracellular fibrillar Amyloid beta-peptide degradation by stimulating lysosomal biogenesis and greatly reduced the deposited amyloid plaques in the brain. PMID: 27209302
- the central autophagy regulator TFEB is expressed and active in PDAC, but autophagy is sustained after TFEB knockdown, suggesting alternative bypass signaling. TFEB is dispensable for gemcitabine-induced cell death, but inversely correlated with KRAS expression. PMID: 27175909
- Neuronal C-ETS2 senses oxidative stress, activates TFEB transcription, and mediates the upregulation of lysosomal genes. PMID: 27195074
- TFEB is phosphorylated and inactivated by Akt. PMID: 28165011
- Activation of TFEB ameliorates disease phenotypes in a mouse model of Batten disease. PMID: 28165011
- Lack of cystinosin reduced TFEB expression and induced TFEB nuclear translocation. PMID: 26994576
- The autophagic response to polystyrene nanoparticles is mediated by TFEB and depends on surface charge. PMID: 26596266
- TFEB1 overexpression is associated with drug resistance of ovarian cancer. PMID: 26307679
- Review of the role of TFEB in lysosome biogenesis, transcriptional and post-transcriptional regulation of TFEB, and TFEB involvement in neurodegenerative disease as a dysregulated factor or as an agent used to promote cellular clearance. PMID: 27299292
- TFEB and TFE3 are novel components of the integrated stress response PMID: 26813791
- Silencing of TFEB with siRNAs in lung cancer cell lines resulted in reduced migration ability. PMID: 26264650
- during mitophagy TFEB translocates to the nucleus and displays transcriptional activity in a PINK1- and Parkin-dependent manner. PMID: 26240184
- a virus modulating TFEB localization and helps to explain how HIV modulates autophagy to promote its own replication and cell survival PMID: 26115100
- RIP1 represses basal autophagy in part due to its ability to regulate the TFEB transcription factor;RIP1 activates ERK, which negatively regulates TFEB though phosphorylation of serine 142 PMID: 25908842
- TFEB modulates autophagic clearance of alpha-syn PMID: 25790376
- Data show that drug-induced TFEB-associated lysosomal biogenesis is a determinant of multidrug resistance (MDR) and suggest that circumvention of lysosomal drug sequestration is a strategy to overcome chemoresistance. PMID: 25544758
- This study demonstrated that transcription factor EB (TFEB) regulate the lysosome biogenesis in neurons of APP/PS1 mice, steady-state levels of APP were reduced, resulting in decreased interstitial fluid Abeta levels and attenuated amyloid deposits PMID: 26338325
- TFEB was found to regulate MuRF1 expression in Angiotensin II-induced skeletal muscle atrophy. PMID: 26137861
- Review of the role of gene fusions involving TFE3 and TFEB in carcinogenesis in sporadic renal cell carcinoma. PMID: 25048860
- Results showed the amplification of TFEB locus was found only in the aggressive t(6;11) Renal Cell Carcinoma. PMID: 25438924
- Lysosomal calcium signaling regulates autophagy through calcineurin and TFEB. PMID: 25720963
顯示更多
收起更多
-
亞細胞定位:Cytoplasm, cytosol. Lysosome membrane. Nucleus.; Nucleus.
-
蛋白家族:MiT/TFE family
-
數據庫鏈接:
Most popular with customers
-
-
YWHAB Recombinant Monoclonal Antibody
Applications: ELISA, WB, IHC, IF, FC
Species Reactivity: Human, Mouse, Rat
-
Phospho-YAP1 (S127) Recombinant Monoclonal Antibody
Applications: ELISA, WB, IHC
Species Reactivity: Human
-
-
-
-
-















