-
中文名稱:TES兔多克隆抗體
-
貨號:CSB-PA890679LA01HU
-
規格:¥440
-
圖片:
-
Western Blot
Positive WB detected in: 293 whole cell lysate, Hela whole cell lysate
All lanes: TES antibody at 2.92µg/ml
Secondary
Goat polyclonal to rabbit IgG at 1/50000 dilution
Predicted band size: 48, 47 kDa
Observed band size: 48 kDa -
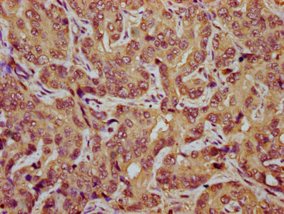
IHC image of CSB-PA890679LA01HU diluted at 1:800 and staining in paraffin-embedded human liver cancer performed on a Leica BondTM system. After dewaxing and hydration, antigen retrieval was mediated by high pressure in a citrate buffer (pH 6.0). Section was blocked with 10% normal goat serum 30min at RT. Then primary antibody (1% BSA) was incubated at 4°C overnight. The primary is detected by a biotinylated secondary antibody and visualized using an HRP conjugated SP system.
-
Immunofluorescence staining of Hela cells with CSB-PA890679LA01HU at 1:266, counter-stained with DAPI. The cells were fixed in 4% formaldehyde, permeabilized using 0.2% Triton X-100 and blocked in 10% normal Goat Serum. The cells were then incubated with the antibody overnight at 4°C. The secondary antibody was Alexa Fluor 488-congugated AffiniPure Goat Anti-Rabbit IgG(H+L).
-
-
其他:
產品詳情
-
產品名稱:Rabbit anti-Homo sapiens (Human) TES Polyclonal antibody
-
Uniprot No.:
-
基因名:TES
-
別名:DKFZP586B2022 antibody; MGC1146 antibody; TES antibody; TES_HUMAN antibody; TESS 2 antibody; TESS antibody; TESS2 antibody; Testin antibody; Testis derived transcript (3 LIM domains) antibody; Testis derived transcript antibody
-
宿主:Rabbit
-
反應種屬:Human
-
免疫原:Recombinant Human Testin protein (130-260AA)
-
免疫原種屬:Homo sapiens (Human)
-
標記方式:Non-conjugated
本頁面中的產品,TES Antibody (CSB-PA890679LA01HU),的標記方式是Non-conjugated。對于TES Antibody,我們還提供其他標記。見下表:
-
克隆類型:Polyclonal
-
抗體亞型:IgG
-
純化方式:>95%, Protein G purified
-
濃度:It differs from different batches. Please contact us to confirm it.
-
保存緩沖液:Preservative: 0.03% Proclin 300
Constituents: 50% Glycerol, 0.01M PBS, pH 7.4 -
產品提供形式:Liquid
-
應用范圍:ELISA, WB, IHC, IF
-
推薦稀釋比:
Application Recommended Dilution WB 1:500-1:5000 IHC 1:500-1:1000 IF 1:200-1:500 -
Protocols:
-
儲存條件:Upon receipt, store at -20°C or -80°C. Avoid repeated freeze.
-
貨期:Basically, we can dispatch the products out in 1-3 working days after receiving your orders. Delivery time maybe differs from different purchasing way or location, please kindly consult your local distributors for specific delivery time.
-
用途:For Research Use Only. Not for use in diagnostic or therapeutic procedures.
引用文獻
- Increased IGFBP2 Levels by Placenta-Derived Mesenchymal Stem Cells Enhance Glucose Metabolism in a TAA-Injured Rat Model via AMPK Signaling Pathway DH Lee,International journal of molecular sciences,2023
相關產品
靶點詳情
-
功能:Scaffold protein that may play a role in cell adhesion, cell spreading and in the reorganization of the actin cytoskeleton. Plays a role in the regulation of cell proliferation. May act as a tumor suppressor. Inhibits tumor cell growth.
-
基因功能參考文獻:
- validated two new TES cocomplex partners: TGFB1I1 and a short form of the glucocorticoid receptor. TES and TGFB1I1 are shown to oppositely affect cell spreading providing biological validity for their copresence in complexes since they act in similar processes PMID: 28378594
- these data indicate that TES functions as a necessary suppressor of colorectal cancer progression by activating p38-MAPK signaling pathways. PMID: 27323777
- testin region (amino acids 52-233) harbouring the PET domain interacts with the C-terminal LIM1-2 domains PMID: 28542564
- Testin plays an important role in the development and progression of non-small cell lung cancer. Testin is a tumor suppressor. PMID: 28000866
- VASP, zyxin and TES are tension-dependent members of focal adherens junctions independent of the alpha-catenin-vinculin module. PMID: 26611125
- we confirm that the TES promoter is unmethylated in normal adult and fetal tissues. Re-expression of TESTIN protein in acute lymphoblastic leukemia cells using expression plasmid transfection results in rapid cell death or cell cycle arrest. PMID: 26985820
- Loss of TES gene expression is associated with nasopharyngeal carcinoma. PMID: 25824796
- findings suggest that the TES gene is a novel tumor suppressor gene PMID: 25498217
- TESTIN was hypermethylated in 43.7% endometrial cancer tissues (p < 0.001). Moreover, TESTIN hypermethylation was significantly correlated with advanced tumor stage, deep myometrial invasion and lymphatic node metastasis. PMID: 25720371
- Downregulation of TES was associated with breast cancer. PMID: 25119600
- TESTIN was commonly downregulated in human endometrial carcinoma and was associated with poor prognostic markers. PMID: 24929083
- A further significant correlation was observed between TES downregulation and the luminal B subtype independent of survivin expression. PMID: 23715752
- TES, as a valuable marker of breast cancer prognosis, plays an important role in the development and progression of breast cancer. TES may be an effective novel target in breast cancer prevention and treatment. PMID: 22957844
- Low TES gene expression is associated with coronary artery disease. PMID: 22156939
- Alterations of TES mRNA level may predict the location of metastasis. CAV1 possibly affect the cancer cell invasion PMID: 22201996
- These results suggest an interplay between the CaR and testin in the regulation of CaR-mediated Rho signalling with possible effects on the cytoskeleton. PMID: 21843504
- data implicate TES methylation in ALL and provide additional evidence for the involvement of LIM domain proteins in leukaemogenesis PMID: 20573277
- results support the role of TES as a TSG in gastric carcinogenesis and that TES is inactivated primarily by LOH and CpG island methylation PMID: 20626849
- The expression level of TES is significantly down-regulated in primary gastric cancer. PMID: 18799041
- TES gene functions as a tumor suppressor gene and is frequently silenced by hypermethylation and loss of heterozygosity in ovarian cancers. PMID: 20180808
- TES is best candidate tumor suppressor gene at 7q31 in prostate tumors PMID: 15252854
- Loss of TES from focal adhesions results in loss of actin stress fibres. PMID: 15662727
- Oservations identify Tes as an atypical binding partner of EVH1 domain of Mena and a regulator specific to a single Ena/VASP family member. PMID: 18158903
- Results suggest that testin has different conformational states in different cellular compartments, and a "closed" conformational state of TES may be involved in nucleolar localization. PMID: 18696217
- Inactivation of TESTIN is involved in head and neck carcinogenesis through its downregulation. PMID: 19289703
顯示更多
收起更多
-
亞細胞定位:Cytoplasm. Cell junction, focal adhesion. Note=Detected along actin stress fibers.
-
蛋白家族:Prickle / espinas / testin family
-
組織特異性:Ubiquitous.
-
數據庫鏈接:
Most popular with customers
-
Phospho-YAP1 (S127) Recombinant Monoclonal Antibody
Applications: ELISA, WB, IHC
Species Reactivity: Human
-
-
-
-
-
-
-















