TAOK1 Antibody
-
中文名稱:TAOK1兔多克隆抗體
-
貨號:CSB-PA752101LA01HU
-
規格:¥440
-
圖片:
-
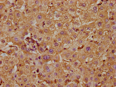
IHC image of CSB-PA752101LA01HU diluted at 1:300 and staining in paraffin-embedded human liver tissue performed on a Leica BondTM system. After dewaxing and hydration, antigen retrieval was mediated by high pressure in a citrate buffer (pH 6.0). Section was blocked with 10% normal goat serum 30min at RT. Then primary antibody (1% BSA) was incubated at 4°C overnight. The primary is detected by a biotinylated secondary antibody and visualized using an HRP conjugated SP system.
-
Immunofluorescence staining of Hela cells with CSB-PA752101LA01HU at 1:100, counter-stained with DAPI. The cells were fixed in 4% formaldehyde, permeabilized using 0.2% Triton X-100 and blocked in 10% normal Goat Serum. The cells were then incubated with the antibody overnight at 4°C. The secondary antibody was Alexa Fluor 488-congugated AffiniPure Goat Anti-Rabbit IgG(H+L).
-
Western Blot
Positive WB detected in: A549 whole cell lysate, U251 whole cell lysate, SH-SY5Y whole cell lysate, 293 whole cell lysate
All lanes: TAOK1 antibody at 1:2000
Secondary
Goat polyclonal to rabbit IgG at 1/50000 dilution
Predicted band size: 117, 47, 98 kDa
Observed band size: 117 kDa
-
-
其他:
產品詳情
-
產品名稱:Rabbit anti-Homo sapiens (Human) TAOK1 Polyclonal antibody
-
Uniprot No.:
-
基因名:
-
別名:2810468K05Rik antibody; AU020252 antibody; D130018F14Rik antibody; EC 2.7.11.1 antibody; FLJ14314 antibody; hKFC B antibody; hKFC-B antibody; KIAA1361 antibody; Kinase from chicken homolog B antibody; MAP3K16 antibody; MARK kinase antibody; MARKK antibody; MGC29021 antibody; Microtubule affinity regulating kinase kinase antibody; mKIAA1361 antibody; Prostate-derived sterile 20-like kinase 2 antibody; PSK2 antibody; Serine/threonine kinase TAO1 antibody; Serine/threonine protein kinase TAO1 antibody; Serine/threonine protein kinase TAO1 homolog antibody; Serine/threonine-protein kinase TAO1 antibody; STE20 like kinase antibody; STE20 like kinase PSK2 antibody; STE20-like kinase PSK2 antibody; TAO kinase 1 antibody; Taok1 antibody; TAOK1_HUMAN antibody; Thousand and one amino acid protein 1 antibody
-
宿主:Rabbit
-
反應種屬:Human
-
免疫原:Recombinant Human Serine/threonine-protein kinase TAO1 protein (400-659AA)
-
免疫原種屬:Homo sapiens (Human)
-
標記方式:Non-conjugated
本頁面中的產品,TAOK1 Antibody (CSB-PA752101LA01HU),的標記方式是Non-conjugated。對于TAOK1 Antibody,我們還提供其他標記。見下表:
-
克隆類型:Polyclonal
-
抗體亞型:IgG
-
純化方式:>95%, Protein G purified
-
濃度:It differs from different batches. Please contact us to confirm it.
-
保存緩沖液:Preservative: 0.03% Proclin 300
Constituents: 50% Glycerol, 0.01M PBS, pH 7.4 -
產品提供形式:Liquid
-
應用范圍:ELISA, WB, IHC, IF
-
推薦稀釋比:
Application Recommended Dilution WB 1:1000-1:5000 IHC 1:200-1:500 IF 1:50-1:200 -
Protocols:
-
儲存條件:Upon receipt, store at -20°C or -80°C. Avoid repeated freeze.
-
貨期:Basically, we can dispatch the products out in 1-3 working days after receiving your orders. Delivery time maybe differs from different purchasing way or location, please kindly consult your local distributors for specific delivery time.
-
用途:For Research Use Only. Not for use in diagnostic or therapeutic procedures.
相關產品
靶點詳情
-
功能:Serine/threonine-protein kinase involved in various processes such as p38/MAPK14 stress-activated MAPK cascade, DNA damage response and regulation of cytoskeleton stability. Phosphorylates MAP2K3, MAP2K6 and MARK2. Acts as an activator of the p38/MAPK14 stress-activated MAPK cascade by mediating phosphorylation and subsequent activation of the upstream MAP2K3 and MAP2K6 kinases. Involved in G-protein coupled receptor signaling to p38/MAPK14. In response to DNA damage, involved in the G2/M transition DNA damage checkpoint by activating the p38/MAPK14 stress-activated MAPK cascade, probably by mediating phosphorylation of MAP2K3 and MAP2K6. Acts as a regulator of cytoskeleton stability by phosphorylating 'Thr-208' of MARK2, leading to activate MARK2 kinase activity and subsequent phosphorylation and detachment of MAPT/TAU from microtubules. Also acts as a regulator of apoptosis: regulates apoptotic morphological changes, including cell contraction, membrane blebbing and apoptotic bodies formation via activation of the MAPK8/JNK cascade.
-
基因功能參考文獻:
- we characterize a compound that inhibits TAOK1 and TAOK2 activity with IC50 values of 11 to 15 nmol/L, is ATP-competitive, and targets these kinases selectively. TAOK inhibition or depletion in centrosome-amplified SKBR3 or BT549 breast cancer cell models increases the mitotic population, the percentages of mitotic cells displaying amplified centrosomes and multipolar spindles, induces cell death, and inhibits cell growt PMID: 28830982
- this study reveals a protective role for miR-706 by blocking the oxidative stress-induced activation of PKCalpha/TAOK1. Our results further identify a major implication for miR-706 in preventing hepatic fibrogenesis and suggest that miR-706 may be a suitable molecular target for anti-fibrosis therapy. PMID: 27876854
- This study reports a novel set of Dengue virus (DENV) NS1-interacting host cell proteins in the HepG2 cell line and proposes possible roles for human NEK2, TAO1, and COG1 in DENV infection. PMID: 27108190
- The TAO1 kinase is required for ensuring the normal congression of chromosomes. Depletion of TAO1 reduces the density of growing interphase and mitotic microtubules in human cells, showing TAO1's role in controlling microtubule dynamics. PMID: 24898139
- tau is a good substrate for PSK1 and PSK2 phosphorylation with mass spectrometric analysis of phosphorylated tau revealing more than 40 tau residues as targets of these kinases. PMID: 23585562
- Human TAO1 can phosphorylate and activate human MST2 PMID: 22075148
- Data do not support the notion that Tao1 is a component of the spindle checkpoint. PMID: 20162290
- the apparent role of the Tao1 kinase in spindle checkpoing signaling might in reality reflect an off-target effect produced by particular Tao1-directed siRNA oligonucleotides on Mad2 PMID: 19904549
- Prostate-derived sterile 20-like kinase 2 (PSK2) regulates apoptotic morphology via C-Jun N-terminal kinase and Rho kinase-1 PMID: 16407310
- TAO kinases are regulators of p38-mediated responses to DNA damage and are intermediates in the activation of p38 by ATM. PMID: 17396146
- Dual functions of TAO1 in regulating microtubule dynamics and checkpoint signalling may help to coordinate the establishment and monitoring of correct congression of chromosomes, thereby protecting genomic stability in human cells. PMID: 17417629
- It is concluded that human TAO kinase 1 induces apoptosis in SH-SY5Y cells and the kinase domain is essential, but its catalytic activity seems to be dispensable in this case. PMID: 17900936
- Spred1-MARKK binding has no effect on the activity of MARKK; therefore, it does not change microtubule (MT) stability. PMID: 18216281
顯示更多
收起更多
-
亞細胞定位:Cytoplasm.
-
蛋白家族:Protein kinase superfamily, STE Ser/Thr protein kinase family, STE20 subfamily
-
組織特異性:Highly expressed in the testis, and to a lower extent also expressed in brain, placenta, colon and skeletal muscle.
-
數據庫鏈接:
Most popular with customers
-
-
YWHAB Recombinant Monoclonal Antibody
Applications: ELISA, WB, IHC, IF, FC
Species Reactivity: Human, Mouse, Rat
-
Phospho-YAP1 (S127) Recombinant Monoclonal Antibody
Applications: ELISA, WB, IHC
Species Reactivity: Human
-
-
-
-
-















