TAB3 Antibody
-
中文名稱:TAB3兔多克隆抗體
-
貨號:CSB-PA910574
-
規格:¥1100
-
圖片:
-
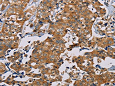
The image is immunohistochemistry of paraffin-embedded Human thyroid cancer tissue using CSB-PA910574(TAB3 Antibody) at dilution 1/35. (Original magnification: ×200)
-
The image is immunohistochemistry of paraffin-embedded Human thyroid cancer tissue using CSB-PA910574(TAB3 Antibody) at dilution 1/35. (Original magnification: ×200)
-
Gel: 6%SDS-PAGE, Lysate: 40 μg, Lane: Raw264.7 cells, Primary antibody: CSB-PA910574(TAB3 Antibody) at dilution 1/500, Secondary antibody: Goat anti rabbit IgG at 1/8000 dilution, Exposure time: 10 seconds
-
-
其他:
產品詳情
-
Uniprot No.:
-
基因名:
-
別名:MAP3K7IP 3 antibody; Mitogen-activated protein kinase kinase kinase 7-interacting protein 3 antibody; NAP1 antibody; NF-kappa-B-activating protein 1 antibody; NFkB activating protein 1 antibody; TAB-3 antibody; Tab3 antibody; TAB3_HUMAN antibody; TAK1 binding protein 3 antibody; TAK1-binding protein 3 antibody; TGF-beta-activated kinase 1 and MAP3K7-binding protein 3 antibody; TGF-beta-activated kinase 1-binding protein 3 antibody
-
宿主:Rabbit
-
反應種屬:Human,Mouse
-
免疫原:Fusion protein of Human TAB3
-
免疫原種屬:Homo sapiens (Human)
-
標記方式:Non-conjugated
-
抗體亞型:IgG
-
純化方式:Antigen affinity purification
-
濃度:It differs from different batches. Please contact us to confirm it.
-
保存緩沖液:-20°C, pH7.4 PBS, 0.05% NaN3, 40% Glycerol
-
產品提供形式:Liquid
-
應用范圍:ELISA,WB,IHC
-
推薦稀釋比:
Application Recommended Dilution ELISA 1:1000-1:2000 WB 1:200-1:1000 IHC 1:50-1:200 -
Protocols:
-
儲存條件:Upon receipt, store at -20°C or -80°C. Avoid repeated freeze.
-
貨期:Basically, we can dispatch the products out in 1-3 working days after receiving your orders. Delivery time maybe differs from different purchasing way or location, please kindly consult your local distributors for specific delivery time.
-
用途:For Research Use Only. Not for use in diagnostic or therapeutic procedures.
相關產品
靶點詳情
-
功能:Adapter required to activate the JNK and NF-kappa-B signaling pathways through the specific recognition of 'Lys-63'-linked polyubiquitin chains by its RanBP2-type zinc finger (NZF). Acts as an adapter linking MAP3K7/TAK1 and TRAF6 to 'Lys-63'-linked polyubiquitin chains. The RanBP2-type zinc finger (NZF) specifically recognizes Lys-63'-linked polyubiquitin chains unanchored or anchored to the substrate proteins such as RIPK1/RIP1: this acts as a scaffold to organize a large signaling complex to promote autophosphorylation of MAP3K7/TAK1, and subsequent activation of I-kappa-B-kinase (IKK) core complex by MAP3K7/TAK1.; May be an oncogenic factor.
-
基因功能參考文獻:
- these results demonstrated that TAB3 may be a promising therapeutic target for the treatment of Esophageal squamous cell carcinoma. PMID: 30226617
- The combination of WES, genomic triangulation, and systems biology has uncovered perturbations in TGF-beta activated kinase 1 signaling as a novel pathogenic substrate for polyvalvular syndrome. PMID: 27452334
- Our study provides insights into the mechanism of TAB3 regulating activity and suggests its important implications in triple negative breast cancer metastasis. PMID: 27009840
- Data show that knockdown of transforming growth factor-activated kinase 1 (TAK1)-binding protein 3 (TAB3) inhibited proliferation of non-small cell lung cancer (NSCLC) cells. PMID: 26476534
- TAB3 regulated ovarian cancer cell bioactivity and chemotherapy performance via the NF-kappaB pathway. PMID: 27651027
- Upregulation of miR-532-5p and subsequent suppression of the SESTD1 and TAB3 genes represent an antiviral response aimed at limiting West Nile virus infection. PMID: 26676784
- miR-30a in MSCs may participate in the immune dysregulation of the maternal-fetal interface during PE PMID: 26555189
- miR-26b suppresses NF-kappaB signaling and sensitizes hepatocellular carcinoma cells to doxorubicin-induced apoptosis by inhibiting the expression of TAK1 and TAB3. PMID: 24565101
- conclude that TRIM38 negatively regulates TNFalpha- and IL-1beta-induced signaling by mediating lysosome-dependent degradation of TAB2/3, two critical components in TNFalpha- and IL-1beta-induced signaling pathways PMID: 24434549
- Studies show that three proteins expressed in HEK-293T cells (NAP1, TANK and TBKBP1) interact with TBK1. PMID: 23286385
- MiR-23b suppresses IL-17-, tumor necrosis factor alpha (TNF-alpha)- or IL-1beta-induced NF-kappaB activation and inflammatory cytokine expression by targeting TAB2, TAB3 and IKK-alpha. PMID: 22660635
- human TAB2 and TAB3, ubiquitin-chain sensory proteins involved in NF-kappaB signalling, are directly inactivated by enteropathogenic Escherichia coli NleE, a conserved bacterial type-III-secreted effector responsible for blocking host NF-kappaB signalling PMID: 22158122
- These results point to the existence of an autophagy-stimulatory 'switch' whereby TAB2 and TAB3 abandon inhibitory interactions with Beclin 1 to engage in a stimulatory liaison with TAK1. PMID: 22081109
- TAB3 is involved in IL-1-induced NF-kappaB activation by physically linking TAK1 to TRAF6. PMID: 14633987
- Identification of TAB3 as a binding partner of the protein kinase TAK1. PMID: 14670075
- TAB3 transforming growth factor is a constituent of the NF-kappaB pathway functioning upstream of tumor necrosis factor alpha-associated factor 6/transforming growth factor beta-activated kinase PMID: 14766965
- Data show that TAB2 and TAB3 are receptors that bind preferentially to polyubiquitin chains through a highly conserved zinc finger (ZnF) domain, and activate NF-kappa B and IKK. PMID: 15327770
- The TAB2/TAB3 interaction with TAK1 is crucial for the activation of signaling cascades mediated by interleukin-1, tumor necrosis factor, and receptor activator of nuclear factor-kappa B ligand (RANKL). PMID: 17158449
顯示更多
收起更多
-
組織特異性:Widely expressed. Constitutively overexpressed in certain tumor tissues.; [Isoform 1]: Major transcript.; [Isoform 2]: Minor transcript.
-
數據庫鏈接:
Most popular with customers
-
-
YWHAB Recombinant Monoclonal Antibody
Applications: ELISA, WB, IHC, IF, FC
Species Reactivity: Human, Mouse, Rat
-
Phospho-YAP1 (S127) Recombinant Monoclonal Antibody
Applications: ELISA, WB, IHC
Species Reactivity: Human
-
-
-
-
-















