SSX2IP Antibody
-
中文名稱:SSX2IP兔多克隆抗體
-
貨號:CSB-PA154755
-
規格:¥1100
-
圖片:
-
The image on the left is immunohistochemistry of paraffin-embedded Human liver cancer tissue using CSB-PA154755(SSX2IP Antibody) at dilution 1/45, on the right is treated with fusion protein. (Original magnification: ×200)
-
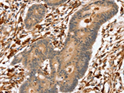
The image on the left is immunohistochemistry of paraffin-embedded Human colon cancer tissue using CSB-PA154755(SSX2IP Antibody) at dilution 1/45, on the right is treated with fusion protein. (Original magnification: ×200)
-
Gel: 8%SDS-PAGE, Lysate: 40 μg, Lane: Hepg2 cells, Primary antibody: CSB-PA154755(SSX2IP Antibody) at dilution 1/500, Secondary antibody: Goat anti rabbit IgG at 1/8000 dilution, Exposure time: 10 seconds
-
-
其他:
產品詳情
-
Uniprot No.:
-
基因名:
-
別名:ADIP antibody; ADIP_HUMAN antibody; Afadin and alpha actinin binding protein antibody; Afadin DIL domain interacting protein antibody; Afadin DIL domain-interacting protein antibody; Afadin- and alpha-actinin-binding protein antibody; FLJ10848 antibody; KIAA0923 antibody; MGC75026 antibody; OTTHUMP00000011574 antibody; SSX 2 interacting protein antibody; SSX2 interacting protein antibody; SSX2-interacting protein antibody; SSX2IP antibody; Synovial sarcoma X breakpoint 2 interacting protein antibody
-
宿主:Rabbit
-
反應種屬:Human
-
免疫原:Fusion protein of Human SSX2IP
-
免疫原種屬:Homo sapiens (Human)
-
標記方式:Non-conjugated
-
抗體亞型:IgG
-
純化方式:Antigen affinity purification
-
濃度:It differs from different batches. Please contact us to confirm it.
-
保存緩沖液:-20°C, pH7.4 PBS, 0.05% NaN3, 40% Glycerol
-
產品提供形式:Liquid
-
應用范圍:ELISA,WB,IHC
-
推薦稀釋比:
Application Recommended Dilution ELISA 1:2000-1:5000 WB 1:500-1:2000 IHC 1:40-1:150 -
Protocols:
-
儲存條件:Upon receipt, store at -20°C or -80°C. Avoid repeated freeze.
-
貨期:Basically, we can dispatch the products out in 1-3 working days after receiving your orders. Delivery time maybe differs from different purchasing way or location, please kindly consult your local distributors for specific delivery time.
-
用途:For Research Use Only. Not for use in diagnostic or therapeutic procedures.
相關產品
靶點詳情
-
功能:Belongs to an adhesion system, which plays a role in the organization of homotypic, interneuronal and heterotypic cell-cell adherens junctions (AJs). May connect the nectin-afadin and E-cadherin-catenin system through alpha-actinin and may be involved in organization of the actin cytoskeleton at AJs through afadin and alpha-actinin. Involved in cell movement: localizes at the leading edge of moving cells in response to PDGF and is required for the formation of the leading edge and the promotion of cell movement, possibly via activation of Rac signaling. Acts as a centrosome maturation factor, probably by maintaining the integrity of the pericentriolar material and proper microtubule nucleation at mitotic spindle poles. The function seems to implicate at least in part WRAP73; the SSX2IP:WRAP73 complex is proposed to act as regulator of spindle anchoring at the mitotic centrosome. Involved in ciliogenesis. It is required for targeted recruitment of the BBSome, CEP290, RAB8, and SSTR3 to the cilia.
-
基因功能參考文獻:
- This study determined the crystallographic structure of human Afadin in complex with LGN. PMID: 26751642
- Studied afadin in complex with beta-catenin in glomeruli and in cultured mesangial cells. Found expression of afadin at mesangial intercellular junctions was greatly decreased in mesangial proliferative nephritis in rats & patients w/glomerulonephritis. PMID: 26568295
- Knockdown of Wdr8 or hMsd1/SSX2IP displayed very similar mitotic defects, in which spindle microtubules became shortened and misoriented. PMID: 26545777
- SSX2IP-mediated microtubule anchoring is essential for proper centriole assembly and duplication. On SSX2IP knockdown, the centriolar satellites become stuck at the microtubule minus end near the centrosome. PMID: 25833712
- results showed that SSX2IP promotes the development and metastasis of hepatocellular carcinoma and contributes to the drug resistance of hepatoma cells PMID: 23452395
- Nuclear protein SS2IP interacts with cancer-related protein SSX2 and the human homologue of a Ras-like GTPase interactor, RABIN3. PMID: 12007189
- data shows that SSX2IP is affected in two ways that relate to the cell cycling of acute myeloid leukaemia cells PMID: 18028484
顯示更多
收起更多
-
亞細胞定位:Cell junction, adherens junction. Nucleus. Cytoplasm, cytoskeleton, microtubule organizing center, centrosome, centriolar satellite. Cytoplasm, cytoskeleton, cilium basal body.
-
蛋白家族:ADIP family
-
組織特異性:Widely expressed, with the highest expression in brain, intermediate expression in kidney, testis, spinal cord, liver, heart, lung, skeletal muscle, ovary, fetal liver and fetal brain, and little to no expression in pancreas and spleen. All specific brain
-
數據庫鏈接:
Most popular with customers
-
-
YWHAB Recombinant Monoclonal Antibody
Applications: ELISA, WB, IHC, IF, FC
Species Reactivity: Human, Mouse, Rat
-
Phospho-YAP1 (S127) Recombinant Monoclonal Antibody
Applications: ELISA, WB, IHC
Species Reactivity: Human
-
-
-
-
-















