-
中文名稱:SRGN兔多克隆抗體
-
貨號:CSB-PA022664ESR2HU
-
規格:¥440
-
圖片:
-
Western blot
All lanes: Serglycin antibody at 9μg/ml
Lane 1: THP-1 whole cell lysate
Lane 2: HL60 whole cell lysate
Secondary
Goat polyclonal to rabbit IgG at 1/10000 dilution
Predicted band size: 18 kDa
Observed band size: 18 kDa -
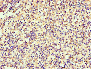
Immunohistochemistry of paraffin-embedded human spleen tissue using CSB-PA022664ESR2HU at dilution of 1:100
-
-
其他:
產品詳情
-
產品名稱:Rabbit anti-Homo sapiens (Human) SRGN Polyclonal antibody
-
Uniprot No.:
-
基因名:SRGN
-
別名:Chondroitin sulfate proteoglycan core protein antibody; Cytolytic granule proteoglycan core protein antibody; FLJ12930 antibody; gp600 antibody; Hematopoetic proteoglycan core protein antibody; Mastocytoma proteoglycan core protein antibody; MGC9289 antibody; OTTHUMP00000019716 antibody; P.PG antibody; PG19 core protein antibody; Pgsg antibody; Platelet proteoglycan core protein antibody; platelet proteoglycan protein core antibody; PLATELET PROTEOGLYCAN PROTEIN CORE; PPG antibody; PPG antibody; PRG antibody; PRG1 antibody; PROTEOGLYCAN 1 antibody; proteoglycan 1; secretory granule antibody; Proteoglycan 10K core protein antibody; Proteoglycan peptide core protein antibody; PROTEOGLYCAN PROTEIN CORE FOR MAST CELL SECRETORY GRANULE antibody; secretory granule proteoglycan 1 antibody; Secretory granule proteoglycan core peptide antibody; Secretory granule proteoglycan core protein antibody; Serglycin antibody; serglycin proteoglycan antibody; Sgc antibody; Srgn antibody; SRGN_HUMAN antibody
-
宿主:Rabbit
-
反應種屬:Human
-
免疫原:Recombinant Human Serglycin protein (28-158AA)
-
免疫原種屬:Homo sapiens (Human)
-
標記方式:Non-conjugated
-
克隆類型:Polyclonal
-
抗體亞型:IgG
-
純化方式:Antigen Affinity Purified
-
濃度:It differs from different batches. Please contact us to confirm it.
-
保存緩沖液:PBS with 0.02% sodium azide, 50% glycerol, pH7.3.
-
產品提供形式:Liquid
-
應用范圍:ELISA, WB, IHC
-
推薦稀釋比:
Application Recommended Dilution WB 1:500-1:2000 IHC 1:20-1:200 -
Protocols:
-
儲存條件:Upon receipt, store at -20°C or -80°C. Avoid repeated freeze.
-
貨期:Basically, we can dispatch the products out in 1-3 working days after receiving your orders. Delivery time maybe differs from different purchasing way or location, please kindly consult your local distributors for specific delivery time.
-
用途:For Research Use Only. Not for use in diagnostic or therapeutic procedures.
引用文獻
- Serglycin as part of IL-1β induced inflammation in human chondrocytes Scuruchi M,archives of biochemistry and biophysics,2019
相關產品
靶點詳情
-
功能:Plays a role in formation of mast cell secretory granules and mediates storage of various compounds in secretory vesicles. Required for storage of some proteases in both connective tissue and mucosal mast cells and for storage of granzyme B in T-lymphocytes. Plays a role in localizing neutrophil elastase in azurophil granules of neutrophils. Mediates processing of MMP2. Plays a role in cytotoxic cell granule-mediated apoptosis by forming a complex with granzyme B which is delivered to cells by perforin to induce apoptosis. Regulates the secretion of TNF-alpha and may also regulate protease secretion. Inhibits bone mineralization.
-
基因功能參考文獻:
- SRGN overexpression promoted colorectal cancer cell migration and invasion and SRGN was physically binding to a hypoxia response element in its promoter region. PMID: 30121667
- SRGN secreted by tumor cells and stromal components in the TME promotes malignant phenotypes through interacting with tumor cell receptor CD44 PMID: 27819672
- Extracellular spce serglycin upregulated CD44 receptor expression to maintain nasopharyngeal carcinoma stemness by interacting with CD44 and activating the MAPK/beta-catenin pathway. PMID: 27809309
- SRGN expression is significantly upregulated in human masticatory mucosa during wound healing PMID: 28005267
- Patients with NPC with tumors showing strong tumor intensity and low infiltrated percentage of tumor-infiltrated lymphocytes with serglycin may be at high risk for distant metastases. PMID: 24995621
- The elevated levels of serglycin in aggressive cancer and stromal cells may suggest a key role for serglycin in disease progression PMID: 26581653
- These results suggest functions for serglycin in endothelial cells trough interactions with partner molecules, in biological processes with relevance for diabetic complications, cardiovascular disease and cancer development. PMID: 26694746
- These results suggest that different signaling pathways are involved in regulating secretion of serglycin and partner molecules in activated endothelial cells. PMID: 24513305
- The reduced expression of SRGN was accompanied by elevated levels of E-cadherin. PMID: 23996242
- These studies provide direct evidence for a critical role for serglycin in MM pathogenesis and show that targeting serglycin may provide a novel therapeutic approach for MM. PMID: 24403068
- These results suggest that human epicardial adipose tissue (EAT) has strong inflammatory properties in patients with coronary artery disease and provide novel evidence that serglycin is an adipocytokine highly expressed in EAT. PMID: 23376071
- Cell-surface SRGN promotes the adhesion of myeloma cells to collagen type I. PMID: 23387827
- This review covers recent studies on the involvement of serglycin in various pathological conditions, as well as its roles in immunity, hemostasis, cell growth, apoptosis, and reproduction. PMID: 22807344
- Human granulocyte precursors transfected with siRNA against serglycin displayed reduced capability to retain fully processed HNP-1. PMID: 21849484
- Serglycin regulates NPC metastasis via autocrine and paracrine routes, and that it serves as an independent prognostic indicator of metastasis-free survival and disease-free survival in NPC patients. PMID: 21289131
- Serglycin secreted by human multiple myeloma cell lines inhibits both the classical and lectin pathways of complement, without influencing alternative pathway activity. PMID: 21268013
- Serglycin is a major proteoglycan in polarized human endothelial cells and is implicated in the secretion of the chemokine GROalpha/CXCL1. PMID: 21075844
- proapoptotic granzyme is exocytosed predominantly as a macromolecular complex with serglycin PMID: 12388539
- cell- and differentiation-specific alterations in chromatin structure may control serglycin gene expression PMID: 14506241
- serglycin-bound granzyme B in high-molecular-weight degranulate material from cytotoxic T lymphocytes predominantly followed a dynamin-dependent pathway to kill target cells PMID: 14739229
- mechanism of delivery is proposed entailing electrostatic transfer of granzyme B from serglycin to cell surface proteins PMID: 15788411
- Serglycin release is a constitutive process, which may be of fundamental biological importance in the study of multiple myeloma. PMID: 16870619
- Serglycin is of importance for secretory processes in human monocytes. PMID: 17909965
- Mutations in SRGN is not associated with familial hemophagocytic lymphohistiocytosis PMID: 18000860
顯示更多
收起更多
-
亞細胞定位:Cytoplasmic granule. Cytolytic granule. Secreted, extracellular space. Golgi apparatus.
-
蛋白家族:Serglycin family
-
數據庫鏈接:
Most popular with customers
-
-
YWHAB Recombinant Monoclonal Antibody
Applications: ELISA, WB, IHC, IF, FC
Species Reactivity: Human, Mouse, Rat
-
Phospho-YAP1 (S127) Recombinant Monoclonal Antibody
Applications: ELISA, WB, IHC
Species Reactivity: Human
-
-
-
-
-















