SRF Antibody
-
中文名稱:SRF兔多克隆抗體
-
貨號:CSB-PA555646
-
規格:¥1100
-
圖片:
-
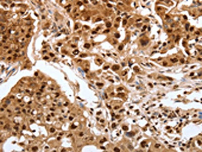
The image on the left is immunohistochemistry of paraffin-embedded Human cervical cancer tissue using CSB-PA555646(SRF Antibody) at dilution 1/30, on the right is treated with synthetic peptide. (Original magnification: ×200)
-
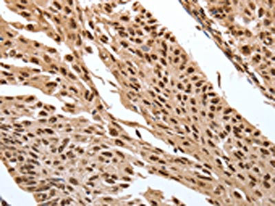
The image on the left is immunohistochemistry of paraffin-embedded Human lung cancer tissue using CSB-PA555646(SRF Antibody) at dilution 1/30, on the right is treated with synthetic peptide. (Original magnification: ×200)
-
Gel: 10%SDS-PAGE, Lysate: 50 μg, Lane 1-2: HT29 cells, Jurkat cells, Primary antibody: CSB-PA555646(SRF Antibody) at dilution 1/400, Secondary antibody: Goat anti rabbit IgG at 1/8000 dilution, Exposure time: 1 minute
-
-
其他:
產品詳情
-
Uniprot No.:
-
基因名:
-
別名:c fos serum response element binding factor antibody; c fos serum response element binding transcription factor antibody; ELK3 antibody; ERP antibody; MCM 1 antibody; MCM1 antibody; OTTHUMP00000039820 antibody; SAP2 antibody; Serum response factor antibody; SRF antibody; SRF serum response factor c fos serum response element binding transcription factor antibody; SRF_HUMAN antibody
-
宿主:Rabbit
-
反應種屬:Human,Mouse
-
免疫原:Synthetic peptide of Human SRF
-
免疫原種屬:Homo sapiens (Human)
-
標記方式:Non-conjugated
-
抗體亞型:IgG
-
純化方式:Antigen affinity purification
-
濃度:It differs from different batches. Please contact us to confirm it.
-
保存緩沖液:-20°C, pH7.4 PBS, 0.05% NaN3, 40% Glycerol
-
產品提供形式:Liquid
-
應用范圍:ELISA,WB,IHC
-
推薦稀釋比:
Application Recommended Dilution ELISA 1:2000-1:5000 WB 1:200-1:1000 IHC 1:50-1:200 -
Protocols:
-
儲存條件:Upon receipt, store at -20°C or -80°C. Avoid repeated freeze.
-
貨期:Basically, we can dispatch the products out in 1-3 working days after receiving your orders. Delivery time maybe differs from different purchasing way or location, please kindly consult your local distributors for specific delivery time.
-
用途:For Research Use Only. Not for use in diagnostic or therapeutic procedures.
相關產品
靶點詳情
-
功能:SRF is a transcription factor that binds to the serum response element (SRE), a short sequence of dyad symmetry located 300 bp to the 5' of the site of transcription initiation of some genes (such as FOS). Together with MRTFA transcription coactivator, controls expression of genes regulating the cytoskeleton during development, morphogenesis and cell migration. The SRF-MRTFA complex activity responds to Rho GTPase-induced changes in cellular globular actin (G-actin) concentration, thereby coupling cytoskeletal gene expression to cytoskeletal dynamics. Required for cardiac differentiation and maturation.
-
基因功能參考文獻:
- miR-647 functions as a tumor metastasis suppressor in gastric cancer by targeting SRF/MYH9 axis. PMID: 28900514
- Findings indicate that miR-101-3p suppresses HOTAIR-induced proliferation and invasion through directly targeting SRF in gastric carcinoma cells. PMID: 28251884
- promote GC metastasis by facilitating myofibroblast-cancer cell crosstalk PMID: 27323859
- High SRF expression is associated with breast cancer. PMID: 26885614
- Results identified SRF as one of the transcription factors responsible for docetaxel-resistant prostate cancer where docetaxel treatment increases its transcriptional activity. Its knockdown re-sensitizes resistant cells to docetaxel. PMID: 28249598
- NANOG enabled reactivation of the ROCK and Transforming Growth Factor (TGF)-beta pathways-both of which were impaired in senescent cells-leading to ACTIN polymerization, MRTF-A translocation into the nucleus and serum response factor (SRF)-dependent myogenic gene expression. PMID: 27350449
- HOTAIR is regulated by the RhoC-MRTF-A-SRF signaling pathway in breast cancer cells. PMID: 28069441
- The findings of the work indicate a role for Galphaq and/or Galpha14 and in CCR2a/CCR2b-stimulated Rho A GTPase-mediated serum response factor activation. PMID: 26823487
- Blood pressure-associated polymorphism controls ARHGAP42 expression via serum response factor DNA binding PMID: 28112683
- Subset of cellular variants of myofibroma and myopericytoma showing a smooth muscle-like immunophenotype and harboring recurrent SRF-RELA gene fusions, which mimic sarcomas with myogenic differentiation. PMID: 28248815
- We identified that SRF was a novel target gene for miR-22 by luciferase reporter assay and knockdown of SRF could cause endothelial dysfunction. PMID: 28161397
- miR-181a/b is one of the factors involved in VSMC differentiation toward a synthetic phenotype through targeting at SR PMID: 27911586
- miR-483-3p is upregulated in Endothelial progenitor cells (EPCs) from deep vein thrombosis patients, and it targets SRF to decrease EPCs migration and tube formation. PMID: 26801758
- ADGRG2 constitutively activates RhoA-SRE pathways. PMID: 26321231
- FLNA functions as a positive cellular transducer linking actin polymerization to MKL1-SRF activity, counteracting the known repressive complex of MKL1 and monomeric G-actin. PMID: 26554816
- The SRF-IL6 axis is the critical mediator of YAP-induced stemness in mammary epithelial cells and breast cancer. PMID: 26671411
- Data show that microRNA miR-320a is a key regulator of rtherogenesis, and down-regulating serum response factor (SRF). PMID: 25728840
- These data support a central role of the SRF/MRTF pathway in the pathobiology of lung fibrosis. PMID: 25681733
- STAT3 protein regulates vascular smooth muscle cell phenotypic switch by interaction with myocardin and SRF. PMID: 26100622
- high levels of Myc engage Miz1 in repressive DNA binding complexes and suppress an SRF-dependent transcriptional program that supports survival of epithelial cells. PMID: 25896507
- SRF regulates neutrophil migration, integrin activation, and trafficking. Disruption of the SRF pathway results in myelodysplasia and immune dysfunction. PMID: 25402621
- Methylation changes of GFRA1, SRF, and ZNF382 may be a potential biomarker set for prediction of gastric carcinoma metastasis. PMID: 25009298
- SRF promotes gastric cancer metastasis and the epithelial to mesenchymal transition through miR-199a-5p-mediated downregulation of E-cadherin. PMID: 25080937
- Studied a new therapeutic alternative in the treatment of multiresistant lung adenocarcinoma via siRNA-specific transfection of six crucial molecules involved in lung carcinogenesis: SFR, E2F1, Survivin, HIF1, HIF2 and STAT3. PMID: 24627437
- These results suggest that SRF is critical for HCC to acquire a mesenchymal phenotype, which leads to resistance against a sorafenib-mediated apoptotic effect. PMID: 24173109
- Dilated cardiomyopathy-associated FHOD3 variant impairs the ability to induce activation of transcription factor serum response factor. PMID: 24088304
- results demonstrate that serum response factor (SRF) nuclear expression in castration-resistant prostate cancer bone metastases is associated with survival with patients with shortest survival showing high SRF nuclear expression and patients with longest survival having low SRF nuclear expression PMID: 24249383
- Androgen-responsive SRF target genes affect CaP cell behavior. PMID: 23576568
- The RhoA signaling axis, a well known upstream stimulator of SRF action that harbors drugable targets, conveyed androgen-responsiveness to SRF. PMID: 23469924
- Transfection of the NSCLC cell lines with specific siRNAs against SRF, E2F1 and survivin resulted in a very considerable reduction of the intracellular mRNA concentration. PMID: 23152437
- Itk enhances Galpha13 mediated activation of serum response factor (SRF) transcriptional activity dependent on its ability to interact with Galpha13, but its kinase activity is not required to enhance SRF activity. PMID: 23454662
- Substitution of any of the TFBS from our particular search of MEF2, CREB and SRF significantly decreased the number of identified clusters PMID: 23382855
- High expression of serum response factor is associated with gastric carcinoma. PMID: 23134219
- Upon neuronal injury via facial nerve transection, constitutively active SRF enhances motorneuron survival. PMID: 22537405
- Dysfunction or loss of the SRF-activating mitogen-associated kinase pathway under stress conditions in transgenic mice may be part of Parkinson's disease etiology. PMID: 22356487
- Lmod1 is a new SMC-restricted SRF/MYOCD target gene. PMID: 22157009
- Downregulation of the activity of the MRTF-SRF axis and the expression of muscle-specific microRNAs, particularly miR-1, may contribute to COPD-associated skeletal muscle dysfunction. PMID: 21998125
- overexpression of serum response factor in hepatocellular carcinoma may play an important role in tumor cell migration and invasion through upregulation of matrix metalloproteinase-2 and matrix metalloproteinase-9 PMID: 21842128
- RTVP-1 plays a role in the effect of serum response factor on glioma cell migration PMID: 21777672
- Data show that serum response factor (SRF) is one of miR-483-5p target genes. PMID: 21893058
- SRF is able to gain nuclear entry through an auxiliary, nuclear localization sequence-independent mechanism PMID: 21131446
- These data define serum response factor as a host cell transcription factor that regulates immediate early gene expression in Toxoplasma-infected cells. PMID: 21479245
- Serum response factor up-regulation, combined with the presence of co-morbidities, increase the risk of recurrent gastric ulcer bleeding. PMID: 21410985
- SRF pathway alterations are linked to insulin resistance, may contribute to type 2 diabetes pathogenesis, and could represent therapeutic targets PMID: 21393865
- Data show that the ancestor sequence of SRF- and MEF2-type MADS domains is more similar to MEF2-type MADS domains than to SRF-type MADS domains. PMID: 20724380
- Overexpression of SRF in hepatocellular carcinoma (HCC) cells modulates the Wnt/beta-catenin pathway, and this plays an important role in HCC progression. PMID: 20811705
- Data reveal that serum response factor is a novel interferon (IFN)gamma-regulated gene and further elucidate the molecular pathway between IFNgamma, IFNgamma-regulated genes, and SRF and its target genes. PMID: 20685657
- two transcription factors, SRF and TFAP2, as well as an intronic element encompassing EGR3-like sequence, that work together to regulate expression of the FXN gene PMID: 20808827
- SRF depletion affects the expansion of the high and low differentiation grade HCC cells HepG2 and JHH6 PMID: 20144681
- Data show that serum response factor is an essential regulator of primary human vascular smooth muscle cell proliferation and senescence. PMID: 20096952
顯示更多
收起更多
-
亞細胞定位:Nucleus.
-
數據庫鏈接:
Most popular with customers
-
-
YWHAB Recombinant Monoclonal Antibody
Applications: ELISA, WB, IHC, IF, FC
Species Reactivity: Human, Mouse, Rat
-
Phospho-YAP1 (S127) Recombinant Monoclonal Antibody
Applications: ELISA, WB, IHC
Species Reactivity: Human
-
-
-
-
-















