SREBF1 Antibody
-
中文名稱:SREBF1兔多克隆抗體
-
貨號:CSB-PA022657LA01HU
-
規格:¥440
-
圖片:
-
Western Blot
Positive WB detected in: Jurkat whole cell lysate
All lanes: SREBF1 antibody at 5.7µg/ml
Secondary
Goat polyclonal to rabbit IgG at 1/50000 dilution
Predicted band size: 122, 114, 112, 125, 49, 46 kDa
Observed band size: 122 kDa -
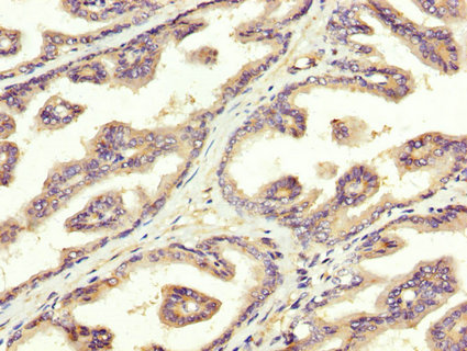
IHC image of CSB-PA022657LA01HU diluted at 1:300 and staining in paraffin-embedded human prostate tissue performed on a Leica BondTM system. After dewaxing and hydration, antigen retrieval was mediated by high pressure in a citrate buffer (pH 6.0). Section was blocked with 10% normal goat serum 30min at RT. Then primary antibody (1% BSA) was incubated at 4°C overnight. The primary is detected by a biotinylated secondary antibody and visualized using an HRP conjugated SP system.
-
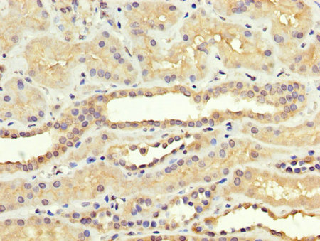
IHC image of CSB-PA022657LA01HU diluted at 1:300 and staining in paraffin-embedded human kidney tissue performed on a Leica BondTM system. After dewaxing and hydration, antigen retrieval was mediated by high pressure in a citrate buffer (pH 6.0). Section was blocked with 10% normal goat serum 30min at RT. Then primary antibody (1% BSA) was incubated at 4°C overnight. The primary is detected by a biotinylated secondary antibody and visualized using an HRP conjugated SP system.
-
Immunofluorescence staining of A549 cells with CSB-PA022657LA01HU at 1:100, counter-stained with DAPI. The cells were fixed in 4% formaldehyde, permeabilized using 0.2% Triton X-100 and blocked in 10% normal Goat Serum. The cells were then incubated with the antibody overnight at 4°C. The secondary antibody was Alexa Fluor 488-congugated AffiniPure Goat Anti-Rabbit IgG(H+L).
-
-
其他:
產品詳情
-
產品名稱:Rabbit anti-Homo sapiens (Human) SREBF1 Polyclonal antibody
-
Uniprot No.:
-
基因名:
-
別名:SREBF1; BHLHD1; SREBP1; Sterol regulatory element-binding protein 1; SREBP-1; Class D basic helix-loop-helix protein 1; bHLHd1; Sterol regulatory element-binding transcription factor 1
-
宿主:Rabbit
-
反應種屬:Human
-
免疫原:Recombinant Human Sterol regulatory element-binding protein 1 protein (38-201AA)
-
免疫原種屬:Homo sapiens (Human)
-
標記方式:Non-conjugated
本頁面中的產品,SREBF1 Antibody (CSB-PA022657LA01HU),的標記方式是Non-conjugated。對于SREBF1 Antibody,我們還提供其他標記。見下表:
-
克隆類型:Polyclonal
-
抗體亞型:IgG
-
純化方式:>95%, Protein G purified
-
濃度:It differs from different batches. Please contact us to confirm it.
-
保存緩沖液:Preservative: 0.03% Proclin 300
Constituents: 50% Glycerol, 0.01M PBS, pH 7.4 -
產品提供形式:Liquid
-
應用范圍:ELISA, WB, IHC, IF
-
推薦稀釋比:
Application Recommended Dilution WB 1:1000-1:5000 IHC 1:200-1:500 IF 1:50-1:200 -
Protocols:
-
儲存條件:Upon receipt, store at -20°C or -80°C. Avoid repeated freeze.
-
貨期:Basically, we can dispatch the products out in 1-3 working days after receiving your orders. Delivery time maybe differs from different purchasing way or location, please kindly consult your local distributors for specific delivery time.
-
用途:For Research Use Only. Not for use in diagnostic or therapeutic procedures.
相關產品
靶點詳情
-
功能:Precursor of the transcription factor form (Processed sterol regulatory element-binding protein 1), which is embedded in the endoplasmic reticulum membrane. Low sterol concentrations promote processing of this form, releasing the transcription factor form that translocates into the nucleus and activates transcription of genes involved in cholesterol biosynthesis and lipid homeostasis.; Key transcription factor that regulates expression of genes involved in cholesterol biosynthesis and lipid homeostasis. Binds to the sterol regulatory element 1 (SRE-1) (5'-ATCACCCCAC-3'). Has dual sequence specificity binding to both an E-box motif (5'-ATCACGTGA-3') and to SRE-1 (5'-ATCACCCCAC-3'). Regulates the promoters of genes involved in cholesterol biosynthesis and the LDL receptor (LDLR) pathway of sterol regulation.; Isoform expressed only in select tissues, which has higher transcriptional activity compared to SREBP-1C. Able to stimulate both lipogenic and cholesterogenic gene expression. Has a role in the nutritional regulation of fatty acids and triglycerides in lipogenic organs such as the liver. Required for innate immune response in macrophages by regulating lipid metabolism.; Predominant isoform expressed in most tissues, which has weaker transcriptional activity compared to isoform SREBP-1A. Primarily controls expression of lipogenic gene. Strongly activates global lipid synthesis in rapidly growing cells.; The absence of Golgi proteolytic processing requirement makes this isoform constitutively active in transactivation of lipogenic gene promoters.; The absence of Golgi proteolytic processing requirement makes this isoform constitutively active in transactivation of lipogenic gene promoters.
-
基因功能參考文獻:
- results reveal that nBP1a/PKM2 interaction activates lipid metabolism genes in cancer cells and that Thr-59 phosphorylation of SREBP-1a plays an important role in cancer cell proliferation. PMID: 29514980
- GTEE also downregulated the expression of AR and prostate-specific antigen (PSA) in both androgen-responsive and castration-resistant PCa cells. By blocking the SREBP-1/AR axis, GTEE suppressed cell growth and progressive behaviors, as well as activating the caspase-dependent apoptotic pathway in PCa cells PMID: 30301150
- SREBP1 trans-activates CYP24A1 expression through SREBP binding elements present in the promoter. PMID: 29653103
- Berberine (BBR), an effective suppressor of SREBP1 and lipogenesis regulated through reactive oxygen species (ROS)/AMPK pathway, selectively inhibited the growth of G-R nonsmall cell lung cancer cells and rheumatoid arthritis patiens but not that of normal cells PMID: 28665143
- These findings suggest that SREBP-1c serves as a molecular bridge between lipid metabolism and cell cycle control inclear cell renal cell carcinoma tumorigenesis. PMID: 29138263
- findings showed that PTEN inhibits HBV replication as well as HBV HCV co-replication. SREBP-1 is involved in HBV HCV replication inhibition by PTEN PMID: 29803738
- FTO increased the lipid accumulation in hepatocytes by increasing nuclear translocation of SREBP1c and SREBP1c maturation, thus improving the transcriptional activity of lipid droplet-associated protein CIDEC. PMID: 29486327
- common SNPs (rs62064119, rs2297508, rs11868035 and rs13306741) in the SREBP-1c gene were selected and genotyped in 593 Han patients with NAFLD and 593 healthy controls. No significant differences in genotype and allele frequencies of these four SNPs were found between cases and controls, suggesting that the SNPs are not associated with risk of NAFLD in the Chinese Han population. PMID: 27572914
- Data suggests that expression of CYP4F2 is down-regulated in liver of mice with non-alcoholic fatty liver disease after high-fat/Western diet and in human hepatocyte cell line exposed to excess palmitic acid, oleic acid, or fructose. Two other genes are down-regulated, PPAR gamma and SREBP-1. (CYP4F2 = cytochrome P450 family 4 subfamily F member 2; PPAR = peroxisome proliferator-activated receptor ) PMID: 28628909
- LncARSR promotes hepatic lipogenesis via Akt/SREBP-1c pathway and contributes to the pathogenesis of nonalcoholic steatohepatitis. PMID: 29555473
- CpG sites located in SREBF2 gene showed differential methylation in association with lipid traits. The expression of SREBF1 gene was inversely associated with methylation of its corresponding CpGs. Genetic variants in SREBF1 were also associated with lipid profile. SREBF1 expression was directly associated with HDL cholesterol. PMID: 28173150
- Epidermal growth factor receptor (EGFR) signaling enhances miR-29 expression in glioblastoma cells via upregulation of Sterol regulatory element binding protein PMID: 27477273
- Our finding reveals a crucial roles for SREBP1 in lipid desaturation of ccRCC through regulation of NF-kappaB signaling, which provides not only new insights in regulatory mode of NF-kappaB signaling but also a novel target for potential metabolic therapies. PMID: 29183723
- Our results suggest that relatively common genetic variants in stearoyl CoA desaturase and SREBF1 attenuated the positive associations between intake of a traditional diet rich in n-3 polyunsaturated fatty acids and increases in fasting cholesterol and HbA1c levels, as well as the waist-to-hip ratio among Yup'ik participants. PMID: 27467133
- changes in distinct lipid ratios may converge on ARF1 to increase SBP-1/SREBP-1 activity. PMID: 27320911
- Variants in the TOM1L2/SREBF1 locus exert opposing effects of total-body lean mass (TB-LM) and total-body less head bone mineral density (TBLH-BMD) . PMID: 28743860
- Date indicate that sterol regulatory element-binding proteins Srebp1 and Srebp2 are essential for the metabolic reprogramming of NK cells and for the attainment of elevated glycolysis and oxidative phosphorylation. PMID: 28920951
- Study identified a novel human specific lncRNA, lncHR1, as a negative regulator of SREBP-1c expression. Overexpression of lncHR1 inhibited expression of SREBP-1c and fatty acid synthase (FAS) and then repressed oleic acid-induced hepatic cell triglyceride (TG) and lipid droplet (LD) accumulation. PMID: 28367099
- Glucose adsorption to chitosan membranes increases proliferation of human chondrocytes via mammalian target of rapamycin complex 1 and sterol regulatory element-binding protein-1 signaling. PMID: 28218386
- miR-185 negatively regulates the differentiation of 3T3-L1 cells by targeting SREBP-1 PMID: 28701079
- The authors further demonstrated that the upregulation of sterol regulatory element-binding protein (SREBP)-1c by activation of the Akt and p70S6K pathways is critical for high-glucose-treated Porphyromonas gingivalis-induced NLRP3 expression. PMID: 28083517
- Results show that PPARalpha is downregulated and SREBP-1c is upregulated in steatosis L-02 cells. These changes increase lipid synthesis and reduce lipid disposal, which ultimately lead to hepatic steatosis. PMID: 27270405
- SREBP-1 and SREBP-2 mRNA expression levels were measured in EAT from 49 patients with CAD (26 with diabetes) and 23 controls without CAD or diabetes.SREBP expression was associated as cardiovascular risk factor for the severity of CAD and the poor lipid control. PMID: 28367087
- The involvement of SREBP-1c in FASN promoter histone modification. PMID: 28027934
- the mitotic phosphorylation and stabilization of nuclear SREBP1 during cell division provides a link between lipid metabolism and cell proliferation. PMID: 27579997
- B7-H3 hijacks SREBP-1/FASN signaling mediating abnormal lipid metabolism in lung cancer PMID: 27939887
- The genetic polymorphisms of SREBF1 could play a role in the mechanism for interindividual variation of atypical antipsychotics-induced metabolic syndrome (MetS). SCAP polymorphisms with drug-induced MetS were negative in this study. PMID: 26982812
- NS5ATP6 regulates the intracellular triglyceride level via FGF21, and independently of SIRT1 and SREBP1. PMID: 27179781
- observations suggest that MALAT1 promotes hepatic steatosis and insulin resistance by increasing nuclear SREBP-1c protein stability. PMID: 26935028
- MiR-132 inhibited SIRT1 and SREBP-1c expression and downregulated their targeted genes, including HMGCR and FASN. PMID: 26898440
- Report demonstrated that overexpression of SULT2B1b-mediated angiogenic signaling was associated with tumor angiogenesis and poor clinical features of human gastric cancer. PMID: 26937945
- Data show that mutant p53 protein activates the sterol regulatory element-binding proteins SREBP-1 and SREBP-2-mediated signaling pathways in prostate cancer (PCa) cells. PMID: 26512780
- miR-33b is highly induced upon differentiation of human preadipocytes, along with SREBP-1 and miR-33b is an important regulator of adipogenesis PMID: 26830228
- Akt1 and Akt2 activated both SREBP-1 and SREBP-2, whereas Akt3 upregulated SREBP-1 to enhance hepatitis C virus translation. PMID: 26855332
- PRMT5-induced methylation prevented phosphorylation of SREBP1a on S430 by GSK3beta PMID: 26759235
- mTORC2 positively regulates mSREBP1 stability and lipogenesis. Findings reveal a novel biological function of mTORC2 in the regulation of lipogenesis PMID: 25893295
- mTORC1/SREBP pathway is a major mechanism through which common oncogenic signaling events induce de novo lipid synthesis to promote aberrant growth and proliferation of cancer cells PMID: 26028026
- hnRNP A1 is implicated in the free fatty acid-induced expression of SREBP-1a and of its target genes as well as in the lipid accumulation in hepatocytes. PMID: 26869449
- TG levels are regulated by HCBP6-sterol regulatory element binding protein 1c (SREBP1c)-mediated fatty acid synthase (FASN) expression. PMID: 25855506
- Aberrant activation of SREBP1c suppresses primary ciliogenesis by PLA2G3-mediated distortion of vesicular trafficking and suggest that PLA2G3 is a novel potential target to normalize ciliogenesis in SREBP1c-overexpressing cells, including cancer cells. PMID: 25904332
- PD-L1 induces epithelial-to-mesenchymal transition via activating SREBP-1c in renal cell carcinoma. PMID: 26141060
- performed a detailed promoter/enhancer analysis of ELOVL5 gene, and identified two new SREBP binding sites, one in the 10 kb upstream region and one in the exon 1 PMID: 26321664
- Data indicate that glucose-mediated glycosylation promotes SREBP cleavage-activating protein (SCAP) trafficking to the Golgi Leading to sterol regulatory element binding protein 1 (SREBP-1) activation. PMID: 26555173
- Single nucleotide polymorphism (rs2297508) of SREBF-1 may serve as a genetic predisposition factor for the development of endometrial cancer. PMID: 24614076
- Report PCR techniques for genotyping SREBF1 rs8066560 variant in Iranian children/adolescents with metabolic syndrome. PMID: 26771965
- Data show that the cleavage site of the lipid-signaling protein sterol regulatory element binding transcription factor 1 (SREBP-1) intermediate bears rigid alpha-helical topology. PMID: 26392539
- We concluded that 54(G/C) polymorphism of SREBF-1 gene is associated with polycystic ovary syndrome (PCOS) and suggest that SREBF-1 gene may play a role in genetic predisposition to PCOS. PMID: 25801724
- The results from this study demonstrate that metformin ameliorates PA-induced insulin resistance through the activation of AMPK and the suppression of SREBP-1c in skeletal muscle cells. PMID: 25891779
- Associations between triglyceride levels and SREBF1 and ABCG1 were also found in adipose tissue of the Multiple Tissue Human Expression Resource cohort PMID: 25583993
- gene expression analysis revealed that SREBP defines a gene signature that is associated with poor survival in glioblastoma PMID: 25619842
顯示更多
收起更多
-
亞細胞定位:[Sterol regulatory element-binding protein 1]: Endoplasmic reticulum membrane; Multi-pass membrane protein. Golgi apparatus membrane; Multi-pass membrane protein. Cytoplasmic vesicle, COPII-coated vesicle membrane; Multi-pass membrane protein.; [Processed sterol regulatory element-binding protein 1]: Nucleus.; [Isoform SREBP-1aDelta]: Nucleus.; [Isoform SREBP-1cDelta]: Nucleus.
-
蛋白家族:SREBP family
-
組織特異性:Expressed in a wide variety of tissues, most abundant in liver and adrenal gland. In fetal tissues lung and liver shows highest expression.; [Isoform SREBP-1A]: Predominates in hepatoma cell lines. Also expressed in kidney, brain, white fat, and muscle.;
-
數據庫鏈接:















