SOST Antibody
-
中文名稱:SOST兔多克隆抗體
-
貨號:CSB-PA858415ESR2HU
-
規格:¥3900
-
圖片:
-
Western blot
All lanes: SOST antibody at 4μg/ml + Hela whole cell lysate
Secondary
Goat polyclonal to rabbit IgG at 1/10000 dilution
Predicted band size: 24 kDa
Observed band size: 24 kDa -
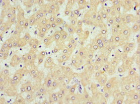
Immunohistochemistry of paraffin-embedded human liver tissue using CSB-PA858415ESR2HU at dilution of 1:100
-
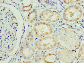
Immunohistochemistry of paraffin-embedded human kidney tissue using CSB-PA858415ESR2HU at dilution of 1:100
-
-
其他:
產品詳情
-
產品描述:
The synthesis of the rabbit anti-human SOST polyclonal antibody involves several steps, including injecting the recombinant human SOST (24-213aa) into the rabbit multiple times to induce an immune response, collecting and isolating the rabbit's blood to get the anti-serum, and purifying the anti-serum via the antigen affinity chromatography.
The purified SOST antibody has been tested for its specificity and affinity towards human SOST protein in ELISA, WB, and IHC applications. The target protein SOST decreases bone formation and increases bone resorption by inhibiting the activity of osteoblasts. It also plays a role in muscle and adipose tissue metabolism.
-
產品名稱:Rabbit anti-Homo sapiens (Human) SOST Polyclonal antibody
-
Uniprot No.:
-
基因名:
-
別名:BEER antibody; CDD antibody; Cortical hyperostosis with syndactyly antibody; Sclerosteosis antibody; Sclerostin antibody; Sost antibody; SOST_HUMAN antibody; SOST1 antibody; UNQ2976/PRO7455/PRO7476 antibody; VBCH antibody
-
宿主:Rabbit
-
反應種屬:Human
-
免疫原:Recombinant Human Sclerostin protein (24-213AA)
-
免疫原種屬:Homo sapiens (Human)
-
標記方式:Non-conjugated
-
克隆類型:Polyclonal
-
抗體亞型:IgG
-
純化方式:Antigen Affinity Purified
-
濃度:It differs from different batches. Please contact us to confirm it.
-
保存緩沖液:PBS with 0.02% sodium azide, 50% glycerol, pH7.3.
-
產品提供形式:Liquid
-
應用范圍:ELISA, WB, IHC
-
推薦稀釋比:
Application Recommended Dilution WB 1:500-1:2000 IHC 1:20-1:200 -
Protocols:
-
儲存條件:Upon receipt, store at -20°C or -80°C. Avoid repeated freeze.
-
貨期:Basically, we can dispatch the products out in 1-3 working days after receiving your orders. Delivery time maybe differs from different purchasing way or location, please kindly consult your local distributors for specific delivery time.
-
用途:For Research Use Only. Not for use in diagnostic or therapeutic procedures.
相關產品
靶點詳情
-
功能:Negative regulator of bone growth that acts through inhibition of Wnt signaling and bone formation.
-
基因功能參考文獻:
- Sclerostin is degraded by cathepsin K in vitro. Cathepsin K degradation of sclerostin is affected by hypoxia. PMID: 29859187
- Study found that sclerostin concentrations were not significantly higher in patients with bone metastases compared to non-metastatic prostate cancer (PC) but they were significantly higher in patients with CRPC. Sclerostin levels were significantly higher in patients with advanced disease and increased bone turnover due to a compensatory response to the increased number of osteoblasts. PMID: 30116403
- Patients with Latent autoimmune diabetes in Adults (LADA) presented lower bone resorption than did controls, similar to patients with T2 diabetes (T2D). Sclerostin is increased in T2D but not in LADA, suggesting possible roles on bone metabolism in T2D only. PMID: 29506222
- Higher Sclerostin/SOST expression is associated with lower percentage of circulatory blasts and better prognosis in patients with myelofibrosis. PMID: 29532161
- Sclerosteosis is caused by loss-of-function mutations in the SOST gene which encodes a secreted glycoprotein, sclerostin--{REVIEW} PMID: 29080811
- Serum sclerostin level was not an independent predictor of mortality in Maintenance Hemodialysis Patients PMID: 29940587
- these results suggest a possible role of sclerostin in the identification of ankylosing spondylitis patients PMID: 29854850
- important role for SOST SNP rs1877632 and VDR SNPs rs10735810 and rs731236 in the pathophysiology of stress fracture PMID: 29129460
- Sclerostin increased after exercise in comparison to baseline (mean +/- SEM: 410 +/- 27 vs. 290 +/- 19 pg/mL; p < 0.001) corresponding to an increase of +44.3 +/-5.5% PMID: 28374174
- serum sclerostin levels correlated positively with carotid intima-media thickness and inversely with the augmentation index, a marker of arterial stiffness PMID: 28339088
- The difference of serum sclerostin levels in Ankylosing Spondylitis and Rheumatoid Arthritis patients was not significantly different from HC, indicating that the sclerostin may not associate with the development of Ankylosing Spondylitis and Rheumatoid Arthritis. PMID: 28553652
- SOST gene silencing promotes the proliferation, invasion, and migration, and inhibits apoptosis of osteosarcoma cells by activating Wnt/beta-catenin signaling pathway PMID: 28246931
- No difference was found in the serum sclerostin levels between the hyperthyroidism patients and healthy control. PMID: 29059259
- Positivity of RANKL and anti-CCP2 yielded significant risk for progression with negativity for both as reference. No single nucleotide polymorphism encoding TNFSF11 or SOST was associated with increased concentrations of the factors. PMID: 28190118
- Osterix and RUNX2 are transcriptional regulators of sclerostin in human bone PMID: 27154028
- An association was found between rs851054 of the SOST promoter and the fracture rate during childhood osteogenesis imperfecta. PMID: 27519970
- The increased expression of sclerostin in the liver and the association with histologic cholangitis may explain the high serum levels of this protein in patients with primary biliary cirrhosis. PMID: 27019303
- SOST silencing promotes the proliferation, invasion and migration, and decreases the apoptosis of human retinoblastoma cells by activating the Wnt/beta-catenin signaling pathway. PMID: 28485721
- Sclerostin concentrations in serum significantly decreased and IGF-I significantly increased after 12months of resistance training or JUMP. PMID: 27744012
- observed an association between sclerostin levels with fasting insulin levels and homoeostatic model assessment-insulin resistance, but there was no clear association with type 2 diabetes risk. PMID: 28090669
- Sclerostin levels in KTR are normal and influenced more by bone turnover than by eGFR. Its involvement with other hormones of mineral homeostasis (FGF23/Klotho and Vitamin D) is part of the sophisticated cross-talk between bone and the kidney PMID: 28558021
- Vitamin D receptor agonism by paricalcitol causes a moderate increase in serum sclerostin in CKD patients, and this effect is modified by circulating pentosidine levels. PMID: 28017524
- SOST is frequently expressed in skeletal bone- and cartilage-forming tumors. The strong spatial correlation with bone formation and the in vitro expression patterns are in line with the known functions of SOST in nonneoplastic bone, as a feedback inhibitor on osteogenic differentiation. PMID: 27498059
- Intermittent compressive stress regulates Notch receptor and target gene expression via the TGF-beta signaling pathway. Notch signaling participates in TGF-beta-induced sclerostin expression in periodontal ligament cells. PMID: 27966788
- Dickkopf-1 and sclerostin were never correlated with each other or with bone turnover markers patients with Paget's disease of bone. Sclerostin was positively correlated with age. PMID: 28054306
- These data suggest that sclerostin plays an important role in the bone remodeling of tooth movement. PMID: 28081119
- SOST is expressed in the aorta and downregulated in human aortic aneurysms and atherosclerosis, possibly because of epigenetic silencing. PMID: 28062506
- The level of sclerostin was higher in the female obstructive sleep apnea (OSA) patients than that in female controls. Further, in OSA women with cardiovascular comorbidities, sclerostin was higher than in women without such comorbidities. In men, there were no differences in the serum sclerostin level between the OSA and control subjects, nor was there any relationship with cardiovascular diseases. PMID: 26820731
- Knockdown of SOST in MG-63 cells increases osteogenesis and ratio of OPG/RANKL in vitro PMID: 27774939
- The findings confirm that the human SOST gene and sclerostin expression can be considered to be directly 1,25-dihydroxyvitamin D-responsive in osteocytes. PMID: 26690786
- Sclerostin is an osteocyte marker that is strongly expressed in human woven and lamellar bone and mineralizing chondrocytes PMID: 26896083
- similar levels in type 1 diabetes patients and controls; decrease concurrent with adolescent growth spurt PMID: 26094958
- Findings indicate that sclerostin expression is closely associated with the degree of joint damage in primary knee osteoarthritis (OA), confirming its involvement in the development of OA. PMID: 27665782
- Results suggest that sclerostin may have a role in the development of or the response to abdominal aortic calcification in chronic kidney disease. PMID: 27165564
- serum sclerostin levels were lower in nonalcoholic steatohepatitis patients than in controls. PMID: 26056025
- The aim of this study was to evaluate the renal handling of sclerostin. PMID: 27214309
- chronic TNFalpha (tumor necrosis factor alpha)-dependent arthritis, fibroblast-like synoviocytes constitute a major source of sclerostin and that either the lack of sclerostin or its antibody-mediated inhibition leads to an acceleration of rheumatoid arthritis (RA)-like disease. PMID: 27089204
- Sclerostin levels are elevated in CKD patients and are associated with inflammation, vascular lesions, uremia and (potentially) mortality. PMID: 25070604
- Our data also demonstrated that vitamin D deficient newborns exhibited lower sclerostin levels than vitamin D sufficient newborns. PMID: 26352089
- the first evidence suggesting that LRP4 is responsible for the retention of sclerostin in the bone environment in humans. PMID: 26751728
- higher serum sclerostin levels are associated with higher bone mineral density, lower aortic calcification scores, and a better survival rate in hemodialysis patients PMID: 26890570
- findings suggest that serum TGF-beta1 level increases during postmenopause and declines in old age. Sclerostin production is inhibited by TGF-beta1 during early postmenopause PMID: 26826396
- a cell model of human dermal fibroblasts in order to investigate the functions of sclerostin, is reported. PMID: 26851122
- The aims of this study were to evaluate OCN and sclerostin levels in subjects who underwent coronary artery bypass graft (CABG) surgery compared with those in normal controls. PMID: 26576474
- two affected siblings who carried a novel nonsense mutation of SOST in a consanguineous family from China, is reported. PMID: 26283468
- Sclerostin serum levels are not associated with an adverse metabolic profile during pregnancy in women with GDM and PE PMID: 25753744
- Quantitative RT-PCR analysis showed that SOST expression dose-dependently decreased with increasing Wnt signaling, while BMP4 induced SOST expression PMID: 26095393
- The correlation of SOST polymorphisms with changes of BMD and bone biomarkers after treatment was analyzed. PMID: 26250343
- highly sulfated glycosaminoglycans might control bone homeostasis via interference with sclerostin/LRP5/6 complex formation. PMID: 26232882
- Serum sclerostin was associated with serum intact parathyroid hormone in patients undergoing peritoneal dialysis. PMID: 25974190
顯示更多
收起更多
-
相關疾病:Sclerosteosis 1 (SOST1); Van Buchem disease (VBCH); Craniodiaphyseal dysplasia autosomal dominant (CDD)
-
亞細胞定位:Secreted, extracellular space, extracellular matrix.
-
蛋白家族:Sclerostin family
-
組織特異性:Widely expressed at low levels with highest levels in bone, cartilage, kidney, liver, bone marrow and primary osteoblasts differentiated for 21 days. Detected in the subendothelial layer of the aortic intima (at protein level).
-
數據庫鏈接:
Most popular with customers
-
-
YWHAB Recombinant Monoclonal Antibody
Applications: ELISA, WB, IHC, IF, FC
Species Reactivity: Human, Mouse, Rat
-
Phospho-YAP1 (S127) Recombinant Monoclonal Antibody
Applications: ELISA, WB, IHC
Species Reactivity: Human
-
-
-
-
-















