SLC38A2 Antibody
-
中文名稱:SLC38A2兔多克隆抗體
-
貨號:CSB-PA847210LA01HU
-
規格:¥440
-
圖片:
-
Western blot
All lanes: SLC38A2 antibody at 1.5µg/ml + A431 whole cell lysate
Secondary
Goat polyclonal to rabbit IgG at 1/10000 dilution
Predicted band size: 57, 46 kDa
Observed band size: 57 kDa -
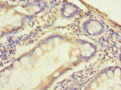
Immunohistochemistry of paraffin-embedded human small intestine tissue using CSB-PA847210LA01HU at dilution of 1:100
-
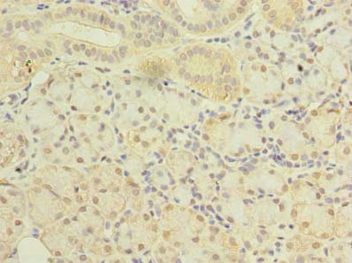
Immunohistochemistry of paraffin-embedded human pancreatic tissue using CSB-PA847210LA01HU at dilution of 1:100
-
Immunofluorescent analysis of A431 cells using CSB-PA847210LA01HU at dilution of 1:100 and Alexa Fluor 488-congugated AffiniPure Goat Anti-Rabbit IgG(H+L)
-
-
其他:
產品詳情
-
產品描述:
The SLC38A2 antibody is produced in the rabbit immunized with the partial recombinant protein corresponding to the topological domain of human SLC38A2 protein. It is available as the unconjugated IgG isoform. It only reacts with human SLC38A2 protein. Its purity is 95%+ using protein G purified. It has been validated for use in ELISA, WB, IHC, and IF applications. The target protein of this antibody is SLC38A2 protein, which is expressed both in the fetus and placenta and plays a crucial role in the control of fetal growth and development.
-
產品名稱:Rabbit anti-Homo sapiens (Human) SLC38A2 Polyclonal antibody
-
Uniprot No.:
-
基因名:
-
別名:Amino acid transporter 2 antibody; Amino acid transporter A2 antibody; ATA2 antibody; KIAA1382 antibody; PRO1068 antibody; Protein 40-9-1 antibody; S38A2_HUMAN antibody; SAT2 antibody; Slc38a2 antibody; SNAT2 antibody; Sodium-coupled neutral amino acid transporter 2 antibody; Solute carrier family 38 member 2 antibody; System A amino acid transporter antibody; System A amino acid transporter 2 antibody; System A transporter 1 antibody; System N amino acid transporter 2 antibody
-
宿主:Rabbit
-
反應種屬:Human
-
免疫原:Recombinant Human Sodium-coupled neutral amino acid transporter 2 protein (1-76AA)
-
免疫原種屬:Homo sapiens (Human)
-
標記方式:Non-conjugated
本頁面中的產品,SLC38A2 Antibody (CSB-PA847210LA01HU),的標記方式是Non-conjugated。對于SLC38A2 Antibody,我們還提供其他標記。見下表:
-
克隆類型:Polyclonal
-
抗體亞型:IgG
-
純化方式:>95%, Protein G purified
-
濃度:It differs from different batches. Please contact us to confirm it.
-
保存緩沖液:Preservative: 0.03% Proclin 300
Constituents: 50% Glycerol, 0.01M PBS, PH 7.4 -
產品提供形式:Liquid
-
應用范圍:ELISA, WB, IHC, IF
-
推薦稀釋比:
Application Recommended Dilution WB 1:500-1:2000 IHC 1:20-1:200 IF 1:50-1:200 -
Protocols:
-
儲存條件:Upon receipt, store at -20°C or -80°C. Avoid repeated freeze.
-
貨期:Basically, we can dispatch the products out in 1-3 working days after receiving your orders. Delivery time maybe differs from different purchasing way or location, please kindly consult your local distributors for specific delivery time.
-
用途:For Research Use Only. Not for use in diagnostic or therapeutic procedures.
相關產品
靶點詳情
-
功能:Functions as a sodium-dependent amino acid transporter. Mediates the saturable, pH-sensitive and electrogenic cotransport of neutral amino acids and sodium ions with a stoichiometry of 1:1. May function in the transport of amino acids at the blood-brain barrier and in the supply of maternal nutrients to the fetus through the placenta.
-
基因功能參考文獻:
- there is a disulfide bond between Cys245 and Cys279 in SNAT2 which has no effect on cell surface trafficking, as well as transporter function PMID: 27355203
- In the absence of SLC1A5 there is a crucial role of SNAT1 in supplying glutamine for glutaminolysis with SNAT2 acting as a "backup" for glutamine transport. PMID: 27129276
- Propose regulation of placental SNAT2/LAT1 ubiquitination by mTORC1 and Nedd4-2. PMID: 26608079
- Decreased placental mTOR activity causes down-regulation of placental system A activity by shifting SNAT-2 trafficking towards proteasomal degradation, thereby contributing to decreased fetal amino acid availability and restricted fetal growth in IUGR. PMID: 26374858
- GADD34 promotes cell survival and adaptation to increased extracellular osmolarity by increasing the uptake of small neutral amino acids via the amino acid transporter SNAT2. PMID: 26041779
- Increased availability of unsaturated fatty acids can compromise the stress-induced induction/adaptation in SNAT2 expression. PMID: 25653282
- SLC38A1 and SLC38A2 transcript levels are altered in placental malaria with intervillositis. PMID: 23408887
- SNAT2 mRNA levels were significantly decreased in intrauterine growth-restricted placentas with reduced umbilical blood flows. PMID: 23728383
- Placental mRNA expression of system A transporter isoforms SLC38A1 and -2 was lower in teenagers than in adults which may underlie their susceptibility to delivering small-for-gestational-age infants. PMID: 22028413
- findings show methylation status of rRNA differentially influenced the mechanism of 80S complex formation on IRES elements from SNAT2)versus the hepatitis C virus mRNA PMID: 21930789
- Proteomic analysis of TAP-tag purified SNAT2 fusion proteins identified two novel SNAT2-interacting proteins that may potentially function in conjunction with SNAT2 transceptor to regulate signalling pathways influencing protein turnover and cell growth PMID: 21622135
- Lower placental system A activity in women who reported strenuous exercise and had a lower arm muscle area may reflect an adaptation in placental function which protects maternal resources in those with lower nutrient reserves. PMID: 20206993
- SNAT2 amino acid response element, along with a nearby conserved CAAT box, has enhancer activity and it confers regulated transcription to a heterologous promoter PMID: 14623874
- The synthesis of SNAT2 is required for the hypertonic stimulation of system A transport activity. PMID: 15581851
- Up-regulation of SNAT2 is essential for the rapid restoration of cell volume after hypertonic stress. PMID: 15922329
- Amino acid depletion was associated with an up-regulation of amino acid transport system A activity, largely mediated through an enhancement of SNAT2 expression at both the protein and mRNA level in BeWo cells. PMID: 16125834
- deficient in the amino acid response pathway exhibited little or no induction of SNAT2 mRNA PMID: 16445384
- The strong expression of Na(+)-coupled neutral amino acid transporter 2 in the somato-dendritic compartment and in non-neuronal elements that are integral parts of the blood-brain and brain-cerebrospinal fluid barrier. PMID: 16616430
- SNAT2 expression can be modulated by specific signaling pathways in response to different stresses PMID: 16621798
- Results suggest that cortisol may be involved in upregulation of system A (SNAT2)in the placenta to ensure sufficient amino acid supply to the developing fetus. PMID: 16621896
- Therefore, we can speculate that such anion-conducting pathways are general features of Na+-transporting systems. PMID: 17237199
- Despite increased ATF4 binding at the C/EBP-ATF composite site following activation of the unfolded protein response, system A transporter 2 (SNAT2) transcription activity is repressed PMID: 18697751
- Report SNAT2 activity in fetal T lymphocytes in intrauterine growth restriction and with tumor necrosis factor-alpha treatment. PMID: 18703994
- analysis of a conserved Na(+) binding site of the sodium-coupled neutral amino acid transporter 2 PMID: 19589777
- we have identified a novel regulatory pathway involving increased gene expression of the SNAT2 isoform mediated by a STAT-dependent pathway, which links IL-6 to increased activity of amino acid transporter system A PMID: 19741197
顯示更多
收起更多
-
亞細胞定位:Cell membrane; Multi-pass membrane protein.
-
蛋白家族:Amino acid/polyamine transporter 2 family
-
組織特異性:Ubiquitously expressed. Widely expressed in the central nervous system with higher concentrations in caudal regions. Expressed by glutamatergic and GABAergic neurons together with astrocytes and other non-neuronal cells in the cerebral cortex (at protein
-
數據庫鏈接:
Most popular with customers
-
-
YWHAB Recombinant Monoclonal Antibody
Applications: ELISA, WB, IHC, IF, FC
Species Reactivity: Human, Mouse, Rat
-
Phospho-YAP1 (S127) Recombinant Monoclonal Antibody
Applications: ELISA, WB, IHC
Species Reactivity: Human
-
-
-
-
-















